CAFE

흉부

흉부촬영 정리

작성자bica95|작성시간11.03.15|조회수5,427 목록 댓글 0

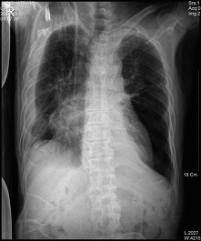
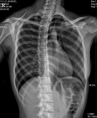
* CHEST PA (흉부 촬영)


                                          


           



♣검사목적


폐렴을 구분하거나 폐병소의 위치를 결정할 수 있다.


Central Ray


T-6 높이의 정중면에 수직으로 입사


 Fillim Size


14 " X 14 ", 14 " X 17 "


 Position


환자는 가능한 Erect Position을 취한다.

턱을 격자 장치 위에 올려놓고 두부의 정중면이 수직으로 놓이게 한 다음 견갑골이 흉부 외측으로 회전되도록 손바닥을 위쪽으로 향하게 한 상태로 양손을 둔부 위에 올려 놓는다.


 Check Point


양측 쇄골의 휴골단은(sternal end)은 척추로부터 같은 거리에 놓여야 한다.


 3~5cm의 폐첨부(apex)가 쇄골위에 보여야 한다.


 posterior rib이 diaphram위에 보여야 한다.


 척추로 부터 늑골의 외측연까지 거리는 양측 모두 같아야 한다.


 심장 음영의 일부가 척추의 오른쪽에 나타나야 한다


 심장과 diaphram의 윤곽은 뚜렷해야 한다


 흉추와 양측 rib의 희미한 음영(faint shadow)이 심장 음영을 통해 보여야   한다.














*흉부 측방향 촬영법(Chest lateral )



                                      




검사목적


Left Lateral에서는 좌측 심장과 폐의 병소를, Rignt Lateral에서는 우측 심장과 폐의 병소를 진단하기 위해 사용


 Central Ray


T-6 높이의 정중면에 수직으로 입사


 Film Size


14 " X 14 ", 14 " X 17 "


Position


환자는 가능한 Erect Position을 취한다.

환자는 Lateral Position을 취하고 인접한 견부를 격자에 밀착 한다


 Film의 상연이 양측 견부의 위 4cm 정도에 놓이도록 Detector의 높이를 조절한다


액와중앙선은 격자 중앙선 뒤  5cm 정도에 놓이게 조정한다.


Check Point


척주뒤의 Rib이 겹쳐서 보여야 한다

흉골이 회전되지 않아야 한다

Apex, CP angle은 포함되어야 한다

심장과 diaphragm의 윤곽은 선명하게 나타나야 한다

Hilum이 영상의 중앙에 나타나야 한다







*Chest AP(흉부전후방향촬영법)

 


검사목적


환자의 상태가 Erect에서는 검사를 할 수 없을 때 시행하며, 폐병소의 검사에 있어서 보충적인 촬영으로도 시행된다.


Central Ray


T-6 높이에 수직으로 입사


 Collimation Size


성인(14 " X 14 ", 14 " X 17 "), 소아(10 " X 12 ", 8 " X 10 ")


 Position


환자는 Supine 또는 Sitting Position을 취한다. Detector의 중앙선을 흉부의 정중면과 일치시켜  놓고, Film의 상연이 양측 견부의 위 약 5cm에 놓이도록 Detector의 위치를 조정한다.


 Check Point


Apex 부위가 넓게 나왔는가

Clavicle의 농도가 적당하고 hilum의 추구가 가능한가

Scapular가 폐야에서 제거되었는가

Diaphragm의 주행을 추구할 수 있는가

Breast 음영과 hilum을 구분할 수 있는가

Liver 와 lung이 중복된 부분에서 hilum을 구분할 수 있는가

Media Sternum 음영영역이 나타나고 있는가

우심실 2궁과 diaphragm의 교차상이 잘 나타나고 있는가

Clavicle이 대칭으로 잘 나타나고 있는가

Pulsation으로 인한 폐문리의 흐림이 적은가

심장과 폐가 중복되고 있는 부분의 hilum은 잘 구분할 수 있는가

costophrenic angle이 잘 나타나고 있는가

collimation이 적절한가



*Chest Decubitus

 


 검사목적


이 검사는 주로 흉곽내의 수면상과 기흉 등을 검사하기 위하여 시행한다.


 Central Ray


T-4,5 높이에서 수평으로 입사


 Collimation Size


14 " X 14 ", 14 " X 17 "


Position

                                                                       환자는 Decubitus position을 취한다

환자는 검사측(수면상) 또는 반대측(기흉)을 아래로 놓은 옆으로 누운 자세로 위치한다.

검사 테이블로 이동이 불편하신 경우 침대에서 Wall Detector를 이용하여 DR로 검사 가능하다.


Check Point


환자는 정 정면 자세로 부터 전혀 회전되지 않아야 한다.

검사측은 그 전체가 포함되어야 한다.

양측 폐첨부도 포함되어야 한다.

시행된 수평방향 촬영을 나타내기 위한 적절한 인식표지가 필름상에 보여야 한다.

환자의 팔은 검사측 폐야로부터 제거되어야 한다.


 *Chest  Apicogram(lodortic position)

 


 검사목적

양측 폐첨부와 우측폐의 중엽과 좌측폐의 설상부, 양측 하엽의 상하엽구를 검사하는데 사용되며,   

엽간 삼출액과 같은 병리학적 상태를 검사하기 위함이다.


 Central Ray


Sternum 중앙부 높이에 수평으로 입사


Collimation Size


14 " X 14 "


Position


환자는 Erect Position을 취한다.

환자는 수직격자 장치에서 한발정도(약30cm) 앞에 AP Position으로 선다. Film의 상연이 양측 견부의 상연에서 약 4cm위에 위치하도록 조정한다


 Check Point


양측 clavicle이 apex상부에 투영되었는가

양측 clavicle이 수평하게 나타났는가



*Rib AP(늑골 전후방향촬영)

 


검사목적

Rib Fracture, Bone Metastasis등을 관찰 한다.


 Central Ray


Upper Ribs의 경우는 T-6, Lower Ribs의 경우는 T-10에 수직 입사


Collimation Size


14 " X 17 "


Position


환자는 Supine 또는 Erect Position을 취한다.


Check Point

좌우 양측의 제1~9 전측 늑골이 횡격막 위에 나타나야 하고 이들 전체 늑골이 포함되어야 한다.

늑골은 폐를 통해서 명확히 나타나야 하고 충분한 대조도를 나타내야 한다

*Rib Oblique

 


 검사목적

Rib Fracture, Bone Metastasis등을 관찰 한다.


 Central Ray


Upper Ribs의 경우는 T-6, Lower Ribs의 경우는 T-10에 수직 입사


 Collimation Size

14 " X 17 "


Position


환자는 Supine 또는 Erect Position을 취한다. PA Position에서 촬영 측을 45°정도 거상 시킨다. Upper Ribs를 촬영할 때는 Erect Position이, Lower Ribs를 촬영할 때는 Prone Position이 이용된다.


 Check Point


양측 늑골의 측면부가 중복되지 말아야 한다.

상부 늑골(제1~10늑골)은 횡격막 위에 하부 늑골(제8~12늑골)은 횡격막 아래에 나타나야 한다

늑골은 경사되는 부위에 따라 폐나 복부를 통해서 명확하게 묘사 되어야 한다

*Sternum Oblique(흉골사방향촬영)

 


검사목적


Sternum Fracture, Osteomyelitis등을 진단한다.


Central Ray


Detector의 중앙에 수직 입사


 Collimation Size


10 " X 12 "


Position


환자는 Prone 또는 Erect Position을 취한다. PA Position에서 RAO Position이 되도록 한다.

Vertebra와 Sternal shadow가 중복되지 않도록 Thorax를 Elevate시키고 Midsternal Area를 Detector의 중앙에 오게 한다.


Check Point


검상돌기 끝까지 전체 흉골이 포함되어야 한다.

흉곽을 통해서 흉골이 선명하게 나타나야 한다.

흉골과 흉곽은 가벼운 사위자세가 되어야 한다.

흉골은 심장 음영 안에 묘사 되어야 한다.


*Sternum lateral(흉골측방향촬영)

 


 검사목적


Sternum Fracture, Osteomyelitis등을 진단한다.


 Central Ray


Detector의 중앙에 수직 입사


Collimation Size


10 " X 12 "


 Position


환자는 되도록 Erect Position을 취한다. Lateral Position에서Sternum의 Long Axis가 일치되게 한다. Sternum과 Arm의 Overlap을 방지하기 위하여 팔을 머리 위로 올리거나 뒤쪽으로 젖혀 잡게 한다.


 Check Point 


흉골의 전체 부분이 나타나야 한다.

어깨의 연부 조직이 흉골병과 겹치지 않아야 한다.

늑골과 흉골이 중복되지 않아야 한다.

흉골은 확대되지 않아야 한다.

여성 환자의 유방 음영이 흉골의 일부분을 흐리게 해서는 안 된다.


다음검색
현재 게시글 추가 기능 열기

댓글

댓글 리스트
맨위로

카페 검색

카페 검색어 입력폼