CAFE

흉부

CR에서 Chest PA와 AP setting의 차이

작성자문진수|작성시간09.03.19|조회수1,069 목록 댓글 0

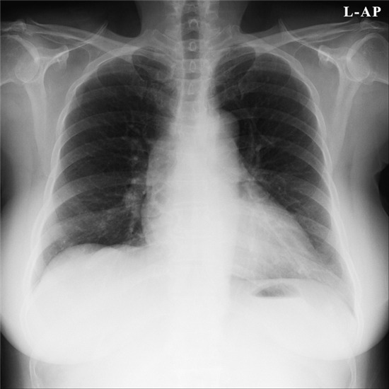
오늘은 Chest AP와 PA의 차이입니다~

 

Order가 Chest AP로 나와서 Worklist에서 AP로 setting을 불러왔어요...

하지만 환자 상태가 양호하여 서서 촬영을 했는데

FCR-Velosity에서 이런식으로 image를 만들어주네요 .....

무슨 Rib도 아니고....-_-

그래서 setting값을 바꿔서 보내주었어요.

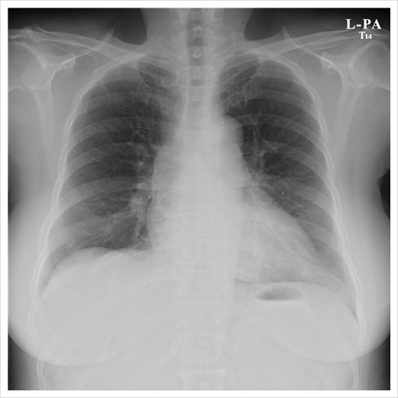
Chest PA사진 보세요.

영상의 차이가 확~ 나시나요???

미세한 Lung Image의 차이... 가끔 실수로 넘기게 되는 경우가 있는데

한번씩 다시  확인을 해야겠네요^^

 

 

 

다음검색
현재 게시글 추가 기능 열기

댓글

댓글 리스트
맨위로

카페 검색

카페 검색어 입력폼