CAFE

[건강/신체]조혈과 혈구생성기관

작성자혼인잔치|작성시간10.05.05|조회수1,882 목록 댓글 0

조혈과 혈구생성기관
Hemopoiesis and Hemopoietic Organs

  

 

   구체적 학습목표

    1. 조혈모세포와 조혈미세환경의 개념을 설명한다.
    2. 조혈과 관련된 세포의 명칭을 알아야 한다.
    3. 조혈모세포의 분화과정 및 관련된 조혈인자를 설명한다.
    4. 태생기와 출생후 혈구생성 기전의 원칙을 이해한다.
    5. 혈구생성기관의 구조와 기능을 이해한다.
    6. 골수검사의 적응증을 설명할 수 있어야 한다.

   참고서적

   WebSites

 

1. 조혈(Hemopoiesis)의 개념

조혈모세포(造血母細胞, hemopoietic stem cell)는 일정하게 자기복제(self-renewal)와 증식(proliferation)을 계속하여 혈구를 생성하고, 한편으로는 성숙하여(maturation) 일정 생존기간 후 파괴, 소실됨으로서 항정상태(steady state)를 유지한다. 혈액질환이란 이러한 항정상태에 불균형이 일어난 경우라고 할 수 있으며, 항정상태가 깨지면서 혈액세포의 양적. 질적 이상이 초래된다. 즉, 세포의 생성, 세포의 방출 및 세포의 생존기간이 증가(cytosis)하거나 또는 감소(cytopenia)하게 되고 또한 세포의 형태 및 기능에도 이상(dyspoiesis)이 오게 된다.       

[참고] 간세포(幹細胞) - 학술용어 사용에 관한 의견

 

 

2. 조혈모세포(Hemopoietic Stem Cells)

1) 특징: 자기복제로 존속하면서, 한편으로는 증식(proliferation)과 분화(differentiation)를 한다.    

2) 분류
(1) Colony-Forming Units-Spleen (CFU-S) : 방사선 조사한 마우스에 동계(syngeneic)의 골수세포를 정맥주사 하면 8~10일 후 비장에 적혈구계, 과립구계, 거핵구계 미성숙세포로 구성된 세포집락(colony)이 형성된다. 이러한 세포집락 형성 세포를 CFU-S라고 하였다.

 

(2) Colony-Forming Units-Granulocytes, Erythrocytes, Macrophages and Megakaryocytes (CFU-GEMM) : 다능성 조혈성장인자인 IL-3를 첨가한 세포배양계에서 형성되는 세포집락은 과립구계, 적혈구계, 거핵구계 미성숙세포로 구성된다. 이러한 세포집락을 형성할 수 있는 조혈모세포가 CFU-GEMM이며, CFU-S와 거의 같은 분화단계의 세포이다.

(3) Erythroid-committed Stem Cells (CUF-E, BFU-E) : 골수세포를 erythropoietin과 함께 상체외배양(in vitro culture)하면 적혈구계 세포집락이 형성되는데 생성되는 양상에 따라 두 종류로 나눌 수 있다.

    ① Burst forming unit-erythroid (BFU-E): 다량의 erythropoietin이 필요하며 세포배양 14일경에 적혈구계의 큰 세포집락(bursts)을 형성한다.
    ② Colony forming unit-erythroid (CFU-E): 배양 후 7~8일경 작은 세포집락이 형성된다. 소량의 erythropoietin에서 세포집락을 형성하며, 보다 성숙한 적혈구계세포가 관찰되므로 CFU-E는 BFU-E 다음 단계의 적혈구계 전구세포이다.

(4) Granulocyte and Monocyte-committed Stem Cells (CFU-GM, CFU-NM)
세포집락자극인자(colony-stimulating factor, CSF)를 첨가한 골수세포 배양에서 10~14일 후 50~2,000개의 중성구, 단구, 호산구 또는 대식세포로 구성된 세포집락이 형성된다. 이렇게 과립구계 또는 단구계의 세포집락을 만들 수 있는 세포를 CFU- GM이라 하고, 이는 과립구계와 단구계의 조혈모세포라고 할 수 있다.

(5) Megakaryocyte-committed Stem Cells (CFU-MEG, CFU-MK)
골수세포의 생체외배양에서 Thrombopoietin의 영향으로 10~12일경에 2~30개의 거핵구로 구성된 세포집락을 형성하는 혈소판계 조혈모세포이다.

 

 

 

 

 

 

 

3. 조혈성장인자 (造血成長因子, Hemopoietic Growth Factors, Hemopoietin, Cytokines)

혈구생성은 골수내 간질세포(間質細胞, stromal cells)와 조혈성장인자(造血成長因子, hemopoietic growth factor), 다양한 세포외 기질(extracellular matrix)로 구성된 조혈미세환경(造血微細環境, hemopoietic microenvironment)에 의해 조절되고 영향을 받는다. 세포외 기질은 fibronectin, hemonectin, laminin, collagen, proteoglycan 같은 단백이 주요성분이며, 조혈성장인자로는 IL-3, GM-CSF, G-CSF, M-CSF 등인데 대부분 대식세포(macrophage), 내피세포(endothelial cell), 섬유아세포(fibroblast)와 같은 간질세포에서 분비된다.

적혈구생성(erythropoiesis)은 신장에서 분비되는 erythropoietin에 의해 조절되는데, erythropoietin은 CFU-E가 proerythroblast로 분화할 때 작용하며 proerythroblast가 망상적혈구로 성숙하는데 시간도 단축시킨다.

    Factors        Chromosome      Molecular   Cellular               hemopoietic

                         location            weight(kD)   sources             target cells

    IL-3(Multi-CSF)    5q23-31       14-28       T cells                   CFU-GEMM,BFU-E
                                                                                            CFU-Eo,-GM,Mast
    GM-CSF              5q23-32       14-35       T-cells, Mono,                                                                                         CFU-GM,-Eo,-GEMM,
                                                                 Endoth, Fibro        BFU-E,CFU-Meg
    G-CSF                17q11-23      18-22        Mono, Fibro          CFU-G,CFU-GM,-M
                                                                 Endoth                CFU-GEMM
    M-CSF                1p13-p21      36-90        Mono, Endoth      CFU-M
                                                                 Fibro

     IL-4                    5q31                           T-cells                   B,T-cells
     IL-5                    5q31                           T-cells                   B-cells, CFU-Eo
     IL-6                    7p15                       Fibro, Leuko, Epi         B,T-cells,
                                                                                             CFU-GEMM,CFU-GM,  
                                                                                              BFU-E,Macro
     IL-7                   8q12-13                        Leuko                    B-cells
     IL-8                   4                                  Leuko                    T-cells,Neutro
     IL-9                   5p31                             Lympho                  BFU-E, CFU-GEMM
     IL-11                  Not identified                Macro                    B,T-cells,CFU-GEMM
     Erythropoietin(EPO)    7q11-22                Kidney, Liver           CFU-E,BFU-E
     Stem cell factor(SCF)                             Not identified
     Thrombopoietin(TPO)                             Liver, Kidney           Meg

     

     

     

     

4. 태아에서의 조혈  (embryo and fetal hematopoiesis)

1) 중아세포기(mesoblastic period)
혈구생성(hematopoiesis)은 14-19일된 embryo의 난황난(yolk sac)에서 시작된다.

2) 간성조혈기(hepatic hemopoiesis)
적혈구 및 골수구 생성이 제 6주에는 태아의 간에서, 12주가 되면 비장에서 관찰된다. 5개월까지 적혈구생성에 비하여 골수구 생성은 매우 적다. 림프구 생성은 제 17주부터 동맥 주위 림프구 대에서 주로 일어나게 되며 일생동안 계속된다. (제 8주에 림프총, 제 9주에 흉선, 제 12주에 림프절에서 발견됨). 거핵구는 임신 5~6주에 난황낭에서 처음 관찰되며, 제11주에는 혈액에서 혈소판이 보인다.

3) 골수조혈기(medullary hemopoiesis)
제 29주가 되면 적혈구 생성 및 골수구 생성이 골수에서 주로 일어난다. 이 때부터 전생애 동안 골수는 조혈의 주요장기가 된다. 태생 20주까지 골 수질부위(medullary space)에서는 조혈전 간질(prehemopoietic stroma)만 관찰된다. 제 22주부터는 골수의 혈구생성이 왕성해져서 모든 계통의 세포가 출현한다.

 

 

 

5. 골수의 구조와 기능

1) 골수의 구조

 

출생시에는 골수가 유일한 조혈기관이며 4세까지는 거의 모든 골수강(marrow  cavity)에 지방세포가 거의 없는 적색골수이다. 그러나 성인이 되면 두개골, 늑골, 흉골, 견갑골, 쇄골, 척추골, 골반, 상완골과 대퇴골 일부에서만 혈구가 생성된다. 또한 이들 조혈기관의 골수도 약 50%는 지방조직으로 대치되어 있다. 각종 질환 상태에서 조혈세포가 차지하는 비율 즉, 세포충실도(cellularity)가 변하게 되며(정상 성인은 50%) 간이나 비장과 같은 골수외 조혈(extramedullary hematopoiesis)이 나타날 수도 있다.

골수는 우리 인체에서 가장 큰 장기로서 하루에 적혈구 2천억개씩을 생산하는 아주 활발한 기능을 가지고 있다. 골수는 spongy bone 사이에 있으며 혈관, 신경, 망상세포, 섬유, 지방세포 및 조혈세포(haemopietic cell) 및 림프구를 포함한다.

 

그림 8. 늑골의 종단면

  

 

 

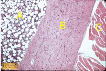
 그림 9. 골수 생검조직의 저배율 사진

            A: Bone marrow, B: Bone matrix, C: Skeletal muscle,  A: Osteocyte B: Hemopoietic cells

혈관은 다른 장기에서와 같이 소동맥, 동맥모세혈관, 정맥동(sinusoid), 정맥으로 구분할 수 있는데 영양동맥(nutrient artery)이 뼈를 뚫고 들어와 소동맥으로 나누어진다. 이들 소동맥의 일부는 뼛속으로 다시 들어갔다가 나와 모세혈관이 되어 골수에서 가장 중요한 구조인 정맥동이 된다. 이 정맥동이 모여 정맥을 이루고 이는 동맥이 들어온 길과 나란하게 뻗어 골수를 벗어난다. 골수에서 림프관이 없고 신경은 혈관을 따라 들어간다.

소동맥 주위에서는 과립구가 생성되고 때로는 형질세포가 모여 있다. 정맥동 주위에서는 거핵구와 적혈구들이 만들어진다. 또한 골수에서 생성된 세포가 말초혈액으로 나가는 장소가 이 정맥동이다. 그러므로 정맥동 주위에서는 성숙된 세포들이 모여있어 빠져나갈 순서를 기다리고 있게 된다.

     

     골수내 각 구조물의 정상적인 분포
     --------------------------------------------------------
      조혈조직        40  %           비만세포       2/mm2
      지방조직        28  %           거핵세포       8/mm2
      뼈(bone)        26  %           거식세포      16/mm2
      골양(osteoid)  0.3 %          형질세포      21/mm2
      정맥동            4.5 %
     --------------------------------------------------------

         Hemopoietic compartment :  packed with myelocytes, erythroblasts, promonocytes, et al
         Meg : megakaryocytes, lie directly outside the vascular wall.
         Erythroblastic islets : Erythroblasts closely surrounding macrophages

 2) 골수의 기능

(1) 적혈구 생성(erythropoiesis)  

         Proerythroblast  →  Basophilic Erythroblast  →  Polychromatophilic E.               

           →  Orthochromatophilic E.  →  (Reticulocyte)  →  Erythrocyte(RBC)

     

     

     

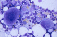
         그림 10. 골수내 분화 성숙단계의 유핵적혈구(적아구)

     

        

     

         그림 11. 다염색성 적혈구 Polychromatic RBCs  = Young RBC, Reticulocyte (0.5-1.5%)

적아구(erythroblast)는 정아구(normoblast)와 같은 뜻으로 사용된다. 적아구는 분화되면서 크기는 작아지고, 세포질과 핵의 비율(N:C ratio)이 증가하며, ribosomal RNA가 감소하면서 혈색소 양은 풍부해진다.
망상적혈구(reticulocyte)는 혈류에서 1-2일 후 RNA를 가지지 않는 성숙적혈구로 변화한다. 망상적혈구는 brilliant cresyl blue로 생체염색(supravital stain)하면 리보좀이 진청색의 과립상 또는 망상의 침전물(basophilic granular or filamentous precipitate)을 볼 수 있다.

비효율적 적혈구 생성(ineffective erythropoiesis)이라 함은 골수내에서 적혈구 전구세포가 성숙적혈구로 분화하지 못하고 사멸되는 현상이며, 이들 세포는 대부분 대식세포(macrophage)에 의해 탐식 처리된다.

(2) 과립구와 단구 생성(granulocytopoiesis, monocytopoiesis)

         →  CFU-GM  →  CFU-G  →  Myeloblast  →  Promyelocyte  →  Myelocyte                                                                    →  Metamyelocyte  →  Band Neutrophil  →  Seg. Neutrophil     

 

                                 CFU-M  →  Monoblast  →  Promonocyte  →  Monocyte   

                                                      →  Macrophage (mononuclear phagocytic system)   

     

     

    그림 12. 골수내 분화 성숙단계의 중성구계 선조세포

전골수구는 아주르호성 과립(azurophilic granules) 또는 일차과립(primary granules)이라 불리는 부속물을 갖고, 골수계 세포의 분화단계에서는 가장 큰 세포이다. 골수구 단계에서는 소수의 아주르호성 과립이 나타나지만 특이 과립(specific, neutrophilic, secondary granules)로 대치된다. 후골수구 단계에서는 핵 모양이 "C" 또는 "U"자형(kidney, bean-shaped)으로 변하며, 분절형(segmented) 중성구는 2-5개의 엽(葉, lobe)을 가진다.
        

(3) 혈소판 생성(thrombocytopoiesis)
Megakaryocyte burst-forming unit (BFU-Meg)는 3~4회의 분열 후 CFU-Meg가 형성된다. CFU-Meg는 3~5회 분열한 후 미성숙 거핵아구(megakaryoblast)를 거쳐 성숙한 거핵구(megakaryocyte)로 분화한다. 혈소판은 거핵구의 세포질에서 생성되어 골수 정맥동으로 빠져나가고, 남은 핵은 대식구에 탐식되어 처리된다.

(4) 골수검사

    【실시부위】

      1) 후장골능(posterior iliac crest) : 모든 연령층에서 골수생검과 천자
      2) 전장골능(anterior iliac crest)  : 유아와 소아, 비대증 환자
      3) 흉골(sternum) : 15세 이하에서는 실시하지 않고 어른에서 천자만 가능
      4) 경골(tibia)    : 18개월 미만의 유아에서 실시하며 보통 골수천자만 시행

    【준비물】

    골수천자만을 위해서는 Illinois needle가 사용되기도 하지만, 통상 Jamshidi Bone Marrow Biopsy/ Aspiration needle로 천자와 생검을 실시한다. 고정액으로는 10% formalin을 사용하고 각종 세포화학검사(cytochemistry)를 실시할 경우에는 그에 해당하는 고정액을 준비하여야 한다. 염색체검사나 세포배양이 필요할 경우는 보존제가 첨가안된(preservative-free) heparin tube도 준비한다.

 

     

 

    그림 14. 골수천자용 Illinois Needle(왼쪽)과 Jamshidi BM Aspiration/Biopsy Needle(오른쪽)

    골수천자 도말과 생검조직 표본은 각각 Wright 염색과 H&E 염색을 시행하였다.

    【적응증】
     ① 임상적으로 혈액질환이 의심되고 임파절, 비장 및 간이 커져 있을 경우
     ② 말초혈액소견이 골수이형성증후군 또는 백혈병을 의심케 하는 경우
     ③ 원인을 알 수 없는 심한 빈혈, 혈소판 감소, 백혈구 감소가 있을 경우
     ④ 뼈의 방사선 소견에서 혈액질환이 의심되거나
     ⑤ 암의 전이여부(metastasis)를 확인하고자 할 경우
     ⑥ 육아종(granuloma)의 세균학적 또는 병리조직학적 검사를 목적으로
     ⑦ Storage disease나 골질환의 진단
     ⑧ 빈혈, 백혈병 등의 치료효과와 예후 판정
     ⑨ 다발성골수종의 진단이나 면역글로불린의 이상이 있는 경우
     ⑩ 철결핍성빈혈, 거구성빈혈 등 혈액질환의 추적검사, 골수배양, 세포유전학적검사

  • 시행해서는 안되는 경우 : 중증 혈우병(hemophilia) 환자에서는 응고인자를 보충해주고 실시하여야 하며, 혈소판감소증일 경우는 혈소판 수혈 없이도 대부분 골수검사를 시행할 수 있다.
  • 검사비용 (미국 W/U 및 국내 의료보험 수가 비교, 1991)

     

Bone marrow aspiration and biopsy = $550 (국내 36,680원)

Cytogenetic analysis                      = $685 (국내 70,270원)

CBC / Platelets / WBC differential    = $ 49  (국내  4,960원)

Chest X-Ray = $150

 

6. 비장의 구조와 기능

1) 비장의 구조
백색수질은 동맥주위 림프총과 종자중심(germinal center)으로 구성되어 있다. 하나의 림프총은 세로로 잘려져 보이고 몇 개는 방사상으로 위치한다. 적색수질은 splenic cord와 정맥동(sinus)이 있는 곳이다.

 

2) 비장의 기능
   (1) 면역기능 :  IgM 생성
   (2) 여과기능

       ① Culling: 오래된 혈구를 제거   

       ② Pitting: 적혈구내 부속물(inclusion) 제거

   (3) 체내 철 재활용(Iron reutilization)
   (4) 저장기능: 전체 혈소판의 30%. 림프구와 망상적혈구도 저장
   (5) 혈량조절(blood volume regulation)
   (6) 조혈기능(hemopoietic function)

       ① 태생 5개월까지 조혈    

       ② 골수양화생(myeloid metaplasia)



     [2004년 3월29일]

 

http://kdcp.hallym.or.kr/education/hemopoiesis1.htm

 

다음검색
현재 게시글 추가 기능 열기

댓글

댓글 리스트
맨위로

카페 검색

카페 검색어 입력폼