CAFE

GMH 촬영

Broden view

작성자박근홍|작성시간15.03.30|조회수5,661 목록 댓글 0

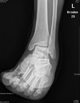
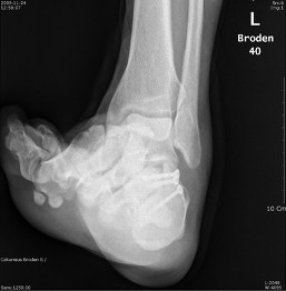
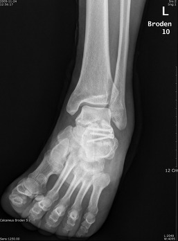
촬영목적 : Subtalar joint의 골절시(comminuted fracture) 관절의 관련 여부를 관찰

 

촬영자세 : Supine 자세로 다리와 카세트 중앙은 일치하도록 하며,internal oblique자세에서 발목관절이 90˚ 굽힌상태를 유지하도록 발을등쪽으로 굽힌다.

 

중심선 :  cephalic 10˚ ,20˚, 30˚, 40˚ 로  Lateral malleolar에서 아래앞쪽으로 2~3Cm 떨어진지점에 입사한다

 

촬영Point : Subtalar Joint가 열려져 나타나며,10˚에서는 뒤쪽관절면의 뒷부분,20˚~30˚에서는 Sustentaculum(재거돌기)과 talus(거골)사이의 관절,40˚에서는 앞부분이 잘나타나야한다.

 

 

 

 

 

 

                        

 

 

 

 

 

 

 

 

 

 

다음검색
현재 게시글 추가 기능 열기

댓글

댓글 리스트
맨위로

카페 검색

카페 검색어 입력폼