CAFE

GMH 촬영

Radial head capitellum view

작성자전상우선생님|작성시간15.06.09|조회수960 목록 댓글 0

본명칭 : The trauma lateral (보통 Radial head capitellum view)

1. 촬영 목적 : elbow 4 view 후에도 잘 보여지지 않는 capitellum, radial head + neck 등을 보며, 윤활액이 많이 포함 된

                    Humeroradial Joint을 관찰

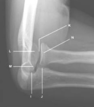
그림) 기본 영상검사에도 안보이는 병변이 관찰됨






































2. 촬영 자세 : Elbow true lateral 자세를 취한다.

                    튜브를 humerus 쪽으로 45도 기울인다.

※현상 후 routine 모습

L : capitellum

K : HumeroRadial joint

N : Radial head

M : medial trochlea

I : humeroulnar joint

J:  radioulnar joint











3. 촬영시 주의점

Radial head 가 olecranon에 가려지지 않게 촬영

true lateral 유지 필수 (ulnar와 humerus가 일직선상에 놓여져야함)


다음검색
현재 게시글 추가 기능 열기

댓글

댓글 리스트
맨위로

카페 검색

카페 검색어 입력폼