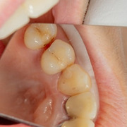
치과에서 치료 안 하는 충치가 있다? '정지우식'이란? 작성자Snoopy|작성시간20.02.08|조회수207 목록 댓글 2 글자크기 작게가 글자크기 크게가 치과에서 치료 안 하는 충치가 있다? '정지우식'이란?아무리 닦아도 지워지지 않고, 너무나 선명히 보이는 충치.까만 충치가 신경 쓰여 치과에 갔는데 이리저리 살펴보던 치과의사가 말하길 “치료는 할 필요 없고 칫솔질과 치실로 관리만 잘해주면 된다”고 한다. 너무 정직한 의사인지, 치료할 줄 모르는 의사인지... 반신반의했던 당신이라면 “정지우식”이라는 말을 잘 알아둘 필요가 있다. ◇ 치료가 필요 없는news.v.daum.net 다음검색 현재 게시글 추가 기능 열기 북마크 공유하기 신고 센터로 신고 댓글 댓글 2 댓글쓰기 답글쓰기 댓글 리스트 작성자계정혜 | 작성시간 20.02.08 그렇군요 작성자청명 | 작성시간 20.02.09 이상하게 치과만 가면 계속해서 할꺼리가 생기는 이상한 현상 ㅠㅠ안갈수도 없고, 갈수도 없는 치과! 댓글 전체보기