CAFE

상지장해

해외근재보험: 요골골절 장해급여 보상받기

작성자태양신|작성시간14.04.12|조회수334 목록 댓글 0

 

 

 

 해외근재보험의 내용                                                 

 

해외근재보험은 근로자가 해외에서 업무중 사고를 입은 경우

이에 대한 현지법에 따른 보상이 안되는 때를 대비하여

사업주가 가입하는 보험을 말합니다.[해외근로자 재해보장책임보험]

 

 

 해외근재보험의 구성                                                 

 

해외근재보험은 재해보상확장담보특약[W/C]과 사용자배상책임담보[E/L]로 구성되어 있습니다.

 

가. 재해보상확장담보특약[W/C]

동 특약은 해외근무중 사고를 당한 경우 국내의 산재보상과 동일한 기준으로

보상함으로써 해외근로자의 상해에 따른 경제적 곤란을 감경하는데에 그 목적이 있습니다.

 

동 특약에서 보장되는 내용으로는 휴업급여, 요양급여, 장해급여, 간병급여[특약]가 있으며

근로기준법에 따라 보상하되 보장내용이 산재법에 미달할 경우에는

산재법의 보상수준에 맞춰 피해근로자에게 급여를 제공하게 됩니다.

 

그러므로 해외근로자분이 상해를 입고 외국에서 국내로 송환되어

국내병원에서 치료를 받는 경우에도

치료기간동안[입원+통원] 평균임금의 70%가 휴업급여로 보상되고

치료비[요양급여]또한 직불처리됩니다.

나. 사용자배상책임담보특약[E/L]

이는 해외근로자의 업무상재해에 대하여 재해보상담보특약으로 보상후

민법상 사용자책임 또는 채무불이행책임[안전배려의무불이행]에 따른

민사상 손해배상액을 보장하는 특약입니다.

 

실무상 사배책특약이라고도 하는데

동 특약에서는 위자료, 일실수익 차액[재해보상특약상 급여액과 상계]을 보상하게 됩니다.

 

 

 

 

 해외근재보험[외국에서 업무상 재해를 입은 경우] 처리사례

 

 

 

가. 사고내용

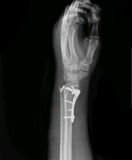
아랍에서 2013년 초 업무중 사고로 추락하여 요골원위부분쇄골절의 상해를 입었으며

국내로 이송되어 수술후 입원 3개월, 통원치료 2개월 시행하였으며

보험회사에서 해외근재보험으로 휴업급여만지급하고 잠정종결상태였습니다.

 

나. 급여내역

750만원가량 수령하셨고 일당으로 환산하면 25만원산정되었습니다.

 

 

다. 근재보험회사에서 수령한 내역

치료비지급받으시고 휴업급여로 525만원씩 5개월 수령후

보험회사에서 더이상 언급이 없어 잠정종결하셨습니다.

 

그러던 중 소개를 받고 본 손해사정사와 상담결과

미지급된 장해급여 및 사용자배상책임담보특약상 위자료를 청구할 수 있음을

알게 되었으며 이에 대한 절차를 위해선 후유장해진단이 필요하여

대학병원에서 후유장해진단을 실시한 결과

 

해외근재보험약관상 후유장해 12급,

맥브라이드방식에 따른 후유장해 13%를 판정받았습니다.

 

라. 추가보상내역

 

보험회사에서 기지급한 휴업급여액 2625만원[525만원 X 5개월]을 제외한

추가청구내역은 다음과 같습니다.

  

 

 * 해외 근재보험 장해급여 : 250,000원[평균임금] X 154일 = 38,500,000원

 

 * 해외근재보험상 사배책특약상 위자료 : 8000만원 X 13% X [1-(40%X60%)]

                                                        = 7,904,000원

 

 *동 특약상 장해일실수익차액 : 피해근로자의 연령이 고령인 관계로 차액은 발생하지 않음.

 

 * 해외근재보험 추가청구금액 : 46,404,000원

 


 

 

 

 

 업무종결후 결과                                                      

 

상기 청구금액을 모두 수령하신 후 의뢰인분께서는

"보험회사에서 말안해도 알아서 다 챙겨주는 것"이라 생각하여

 

저희와 상담시에는 반신반의했는데

어차피 법무법인이라 해도 소송을 제기하지 않는 한

비용도 보험금 수령 후 지급하는 것이라

손해볼것 없다는 생각으로 속는셈치고 진행하셨다고 합니다

 

하지만 보험금을 수령하신 후에는

사고후 생각치도 못했던 추가보험금이 지급되는 것을 보시고

스스로 권리를 챙기지 않으면 안된다는 사실을 크게 느끼셨다고 하며

굉장히 고마워하셨고 저희 역시 큰 보람을 느낀 사안이었습니다.  

 

 


다음검색
현재 게시글 추가 기능 열기

댓글

댓글 리스트
맨위로

카페 검색

카페 검색어 입력폼