CAFE

환자 및 보호자 정보

췌장암, 어떤 치료가 필요할까?

작성자브이맨2|작성시간24.11.08|조회수175 목록 댓글 0

췌장암, 어떤 치료가 필요할까?

임보크 임상 케이스 스터디

#4주차_췌장암, 어떤 치료가 필요할까?

2024년 2월 15일 한독생의학학회는 임보크 임상스터디를 온라인과 오프라인을 통해 진행하였습니다.

이번주 주제는 췌장암 이었습니다.

통계청이 발표한 ‘2022년 한국인 사망원인 통계’를 살펴보면 국내 암 사망률(10만 명당 사망자 수)은 162.7명으로, 전년보다 1.6명(1%) 증가했는데 폐암, 간암, 대장암, 췌장암, 위암 순으로 사망률이 높았다고 합니다.

특히 췌장암의 사망률은 전년보다 5.8% 상승하면서 위암 사망률을 처음으로 추월했습니다.

'진단이 곧 사형선고’ 라는 말을 실감할 수 있습니다.

박성주 원장님은 췌장암 환자분들의 임상사례를 통해서 효율적인 췌장암의 관리법과 최신 지견에 대해 강연해주셨습니다.

01. 제발 수술만이라도 받게 해 주세요.

췌장암세포가 상장간막정맥(superior mensenteric vein, SMV)을 침범하여 수술이 불가하였던 58세 장○○씨.

“제발 수술만이라도 받을 수 있도록 해주세요”라는 말을 입에 달고 살았던 그녀는 작년 9월 췌장암 완치 판정을 받았습니다.

췌장암 케이스를 보면 췌장암 체부에 진단을 받았습니다.
종양 크기는 3.5cm로 꽤 큰 편입니다. 그리고 간 쪽에 혈관종(Hemangioma)도 있었는 환자로 문제는 췌장암세포가 상장간막정맥을 침범하다 보니 수술이 힘들었습니다. 그래서 항암을 시작하여 항암치료와 함께 고용량의 셀레나제 치료와 온열치료 등의 통합의학적 암치료를 2017년 7월부터 시작하였습니다.
환자분의 췌장암 표식인자입니다.




췌장암 표식자(CA 19-9)의 정상수치는 37unit 이하인데 이 분의 치료 초기 97.89였으나 집중적인 치료 결과 정상수치 이하로 낮아졌습니다.


▲왼쪽) 췌장 췌부의 암세포에 상장간막정맥이 침범한 모습 ▲오른쪽) 수술 전 분리된 모습

3개월간의 통합의학적 치료 후 췌장암과 상장간막정맥이 분리된 환자분은 수술을 할 수 있게 되었고, 최근 2023년 6월경에 5년 완치판정을 받으셨습니다

​​

02. 수술도 안되고 항암제 부작용이 너무 심해요

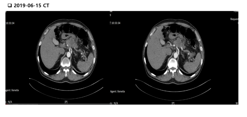
췌장암이 간으로 전이된 72세 박○○씨.

암세포가 상장간막정맥을 침범하였고 최소 37U/ml이하가 정상인 췌장암표지자(CA19-9)가 수치가 20000U/ml 을 넘었고, 5ng/ml이하가 정상인 CEA 수치가 19.6ng/ml나왔습니다. 그것보다 더 힘든 건 항암치료 인해 스스로 걷지도 못하는 상황입니다.


이 환자분은 췌장암으로 종양 크기가 4.3cm인데 문제는 암세포가 상장간맥정맥을 침범하였고, 간에 전이된 상황으로 진단을 받았습니다.

2019년 6월 25일 CEA는 19.6이었고 CA19-9은 20,000이 넘은 상황으로 내원하셨습니다.
이 환자분은 2019년 7월부터 고용량의 셀레나제 주사제(3000mcg/day)와 이뮤코텔 주사를 격일로 투여 받고 셀레나제 경구용제를 날마다 1000mcg/day씩 복용하셨습니다.



환자분의 CA19-9 와 CEA 수치 변화입니다.
두 수치 모두 4차부터는 확연하게 낮아지는 것을 볼 수 있습니다.


환자분은 8차까지 항암치료를 무사히 끝낼 수 있었고 통증이 경감되고,
산책을 하실 수 있을 정도로 컨디션이 매우 호전되었습니다.

03. 수술이 불가능했던 췌장암인데, 교수님께서 수술하자고 하세요.

왼쪽 횡격막에 위치한 암세포로 인해서 췌장암 수술이 불가능한 73세 여성분이 계셨습니다.

한달 동안의 집중적인 통합의학적 암치료(셀레나제와 이뮤코텔) 후 왼쪽 횡격막 암세포가 사라져 무사히 수술을 받을 수 있게 되었습니다.

항암치료를 한다고 모든 췌장암세포가 사라지는 것은 아닙니다.

그러나 이 환자분들은 췌장암 치료와 함께 고용량의 셀레늄 치료를 병행하였다는 것이 다른 환자분들과의 차이인데요. 어떻게 이렇게 드라마틱한 차이가 날 수 있었을까요?

박성주 원장님께서는 SECAR study로 널리 알려진 스웨덴 카롤린스카의과대학의 마이클 뵈른스테트(Mikael Björnstedt) 박사님의 최신 논문을 통해 과학적인 효과에 대해 설명해 주셨습니다.

 

카롤린스카 연구소 - 위키백과, 우리 모두의 백과사전

카롤린스카 연구소 56개 언어 문서 토론 읽기 편집 역사 보기 도구 좌표 : 북위 59° 20′ 56″ 서경 18° 01′ 36″ 위키백과, 우리 모두의 백과사전. 카롤린스카 대학 ( 스웨덴어 : Karolinska Institutet )은 스웨덴 의 의과대학 이다. 1810년에 스톡홀름 서쪽에 위치한 쿵스홀멘 에 설립되었다. 캠퍼스 는 10년 후 스톡홀름주 외곽 솔나 시 로 이전되었다. 두 번째 캠퍼스는 후딩에 시 플레밍스베리 에 세워졌다. 이 대학은 웁살라 대학교 (1477년 설립)와 룬드 대학교 (1666년 설립) 다음으로 세...

ko.wikipedia.org

카롤린스카 대학(스웨덴어: Karolinska Institutet)은 스웨덴의 의과대학이다.

카롤린스카 대학은 세계 대학 순위 표에서 세계 일류 대학들 사이에서도 상위권을 유지하고 있다. 카롤린스카는 항상 세계 의학 대학 탑 10에 올라 있다. 카롤린스카 대학 노벨 위원회는 카롤린스카 대학의 중요한 부분이다. 노벨 위원회는 50명의 카롤린스카 대학 의과 교수들로 구성되어 노벨 생리학·의학상의 수상자를 임명한다.

인간 췌장관 선암종의 생체 외 전체 조직 모델에서 약물 유발 종양 특이적 세포독성

논문보기 ↓ ↓ ↓

 

Frontiers | Drug-induced tumor-specific cytotoxicity in a whole tissue ex vivo model of human pancreatic ductal adenocarcinoma

<p>Pancreatic ductal adenocarcinoma (PDAC) is the most common type of pancreatic cancer. PDAC has a dismal prognosis and an inherent resistance to cytostatic...

www.frontiersin.org


논문 개요

췌장 도관선암 PDAC(Pancreatic Ductal Adenocarcinoma)은 췌장암의 가장 흔한 유형입니다. PDAC는 암울한 예후와 세포증식억제제에 대한 고유한 저항성을 가지고 있습니다.

우리는 PDAC의 생존 가능성과 성장에 대한 아셀렌산나트륨에 의한 산화환원 조절 효과를 조사하기 위해 생체 외 전체 조직 배양 모델을 사용했습니다. 약물 저항성 종양은 높은 대사 활동과 산화환원 불균형으로 인해 산화환원 활성 셀레늄 화합물에 더 취약합니다.

아셀렌산나트륨은 정상조직을 보호하면서 PDAC 세포 생존력(p<0.02) 효율적으로 감소시키고 생존 가능한 신규종양세포의 증식을 감소시켰습니다.또한 주요 세포 반응은 15-30μM 사이의 아셀렌산나트륨 농도에서 관찰되었습니다.

이 연구에 사용된 셀레늄 수준은 이전에 보고된 인체의 최대 허용 용량보다 훨씬 낮았습니다. 전사체 데이터 분석에서는 PDAC 성장 및 전이 가능성을 촉진하는 것으로 알려진 유전자(CEMIP, DDR2, PLOD2, P4HA1)의 발현이 감소한 반면, 암세포 사멸유도유전자(ATF3, ACHE)는 상향 조절된 것으로 나타났습니다(p<0.0001).

결론적으로, 우리는 아셀렌산나트륨이 약물 내성 췌장암에 대해
탁월한 효능과 특이성을 가지고 있음을 보고합니다.

해당 논문은 췌장암에서 가장 흔한 형태인 췌장 도관선암 세포를 5mm, 7mm의 두께로 잘라낸 후 아셀렌산나트륨 용액에 담궈 아셀렌산나트륨의 농도에 따른 암세포의 반응도를 테스트한 실험이었습니다.

실험 결과 암세포는 아셀렌산나트륨의 용량 의존적으로 감소되었습니다.

5μM의 아셀렌산나트륨은 세포독성 효과가 최소화되었고 15μM이상의 아셀렌산나트륨에서 뚜렷한 세포독성 효과가 나타났습니다.

결론

*아셀렌산나트륨 효과는 어떤 약물이나 발표된 치료법보다 우수합니다. ​

*셀레늄 화합물은 특히 정상세포에 영향을 주지 않는 농도로 저항성이 높은 암세포 에서 종양 특이적 세포 독성을 유발합니다. ​

*15μM 이상의 아셀렌산나트륨(셀레늄)은 뚜렷한 세포독성 효과를 나타냈습니다.

15μM(마이크로몰)은 얼마나 되나?

2015년 마이클 뵈른스테트(Mikael Björnstedt) 교수님은 SECAR study로 유명한 말기암 환자 15명을 대상으로 환자가 견딜 수 있는 아셀렌산나트륨 최대 허용용량을 측정하기 위한 독성평가 임상을 발표하였습니다.

해당 논문에서 환자들의 최대 허용용량(MTD)는 체세표면적당 10.2mg/㎡라는 것을 발표하였고 5000mcg의 용량은 암환자들에게 어떠한 부작용이 없이 안전하였으며 환자들은 185464 mcg까지 견딜 수 있다는 것을 발표하였습니다.


MTD : 10.2mg/㎡=170cm,70kg 기준 18,564mcg/day

1mg/㎡=1,820mcg

이 당시 논문을 기준으로 봤을 때 최대허용용량(MTD) : 10.2mg/m2 는 것은 170cm의 70kg 성인기준으로 약 18,564mcg/day의 용량이 됩니다. 즉 1mg/ m2는 1,820mcg으로 계산할 수 있습니다.

이것을 마이크로몰로 계산을 하게 되면 5마이크로몰은 1mg/ m2이기 때문에 15마이크로몰은 5460mcg 가 되는 것이고 이 때부터 효율적으로 암세포를 사멸하기 시작하는 농도임을 알 수 있습니다. 이러한 기준으로 박성주 원장님께서 암환자에게 고용량의 셀레늄 치료를 위해서는 셀레나제 주사 5000mcg를 투여하신다고 합니다.

기타 췌장암 예방을 위한 방법과 주의사항

-췌장은 소화기기관/내분기 기관

-소화 효소, 인슐린 분비에 무리가지 않도록 식사시 천천히, 꼭 씹어 먹기, 물에 말아먹지 않기

-당이 급격히 올라가는 음식 (탄산음료, 과일쥬스, 탕후루) 자제하기

-흰쌀밥, 밀가루 음식 줄이기

-기름진 음식 (삼겹살, 탕수육)

-당이 천천히 올라가는 현미, 잡곡밥 대체하기

-탄수화물이 좋지않다고 하여 단백질 위주 식사를 하는데, 지나친 단백질 섭취는 오히려 신장에 독

암은 결국 만성 염증이고,

고용량의 아셀렌산나트륨은 암세포를 효과적으로 사멸사를 시킬 수 있기 때문에 수술이 어려운 환자일지라도 집중적인 고용량 아셀렌산나트륨 치료를 통해 치료의 예후를 개선할 수 있다는 것을 알 수 있는 좋은 시간이었습니다.

출처: https://blog.naver.com/imvoke/223380010290

 

[췌장암 예방법] 췌장암, 어떤 치료가 필요할까?

임보크 임상 케이스 스터디 #4주차_췌장암, 어떤 치료가 필요할까? 2024년 2월 15일 한독생의학학회는 임보...

blog.naver.com

NOTE:

암을 치료하는 방법은 다양 합니다, 기본적으로 수술과 항암 방사선 치료는 가장 과학적이고 체계적이며 재현성이 높습니다, 하지만 표준치료만으로 모든 환자가 좋은 결과를 얻는 것이 아니기에 표준치료와 더불어 통합의학적 치료를 병행하여 최상의 치료 성적을 얻도록 하는 것이 가장 바람직한 선택이라 생각 합니다

그리고 암 세포에게 타격을 줄 수 있는 표준 치료외 추가적으로 병행하면 보다 나은 시너지 효과를 얻을 수 있는 것은 인체의 면역 체계를 극대화 시켜 내 몸안의 암세포를 면역세포들이 효과적으로 공격하고 방어 할 수 있도록 환자의 컨디션을 최적의 상태를 유지하는 것 입니다,

면역을 극대화 시키는 방법은 다양 합니다, 하지만 그 중에서 가성비가 가장 높은 것을 잘 선택하는 것도 중요한 변수가 됩니다, 면역이라는 타이틀을 가지고 있는 많은 치료제와 기타의 방법도 가성비가 뛰어난 것을 잘 선택하는 것이 핵심 입니다

또한 암은 만성 염증 이기에 염증 수치를 조금씩 낮추어 주는 것도 암 치료와 관리에 있어서 너무나 중요 합니다, 염증 수치를 낮추는 방법을 알려주어도 실천하지 않는 환자분들이 있습니다, 암은 한 두가지 비법이나 특효약으로 절대로 제압 할 수 없습니다, 다양한 노력과 관리를 통하여 암을 효과적으로 제압하여야 완전 관해 상태를 오랜 기간 유지 할 수 있는 것 입니다,

힐링어드바이저ㅣ김동우

현대의학 자연의학 그리고 의용공학의 세계

[현대의학 자연의학] 네이버밴드로 초대합니다. ​

아래 링크를 눌러 들어오세요.

http://band.us/@cancer

다음검색
현재 게시글 추가 기능 열기

댓글

댓글 리스트
맨위로

카페 검색

카페 검색어 입력폼