급성 경막하 출혈 acute subdural hemorrhage
- 정의
-
급성 경막하 출혈은 뇌를 둘러싸고 있는 경막(dura)이라는 막의 안쪽에서 뇌 표면의 혈관이나 뇌와 경막 사이를 이어주는 혈관이 외상에 의해 파열되어 다량의 급성 출혈이 발생하여 뇌와 경막 사의의 경막하 공간(subdural space)에 피가 고여 뇌를 압박하는 상태로서, 흔히 뇌 실질의 좌상(타박상)과 파열, 뇌내출혈을 동반한다.


- 원인
-
노인의 경우 낙상(落傷)에 의하여 주로 발생하며 젊은이들에서는 교통사고와 폭행에 의해 주로 발생한다. 영유아에서는 아동학대에 의한 폭행으로 발생하는 경우가 종종 있다. 머리에 대한 직접적인 충격과 함께 가속력에 의하여 회전 모멘텀(회전운동량)이 발생하는 경우, 뇌와 경막 사이를 이어주는 연결 혈관이 파열되어 발생하는 경우가 가장 많다. 심장병은 태어날 ...','/medical/disease/detail.nhn?diseaseSymptomCode=AB000035&diseaseSymptomTypeCode=AB&selectedTab=detail');" [안내]태그제한으로등록되지않습니다-xx[안내]태그제한으로등록되지않습니다-xxxxxxonmouseout="layerHide();">심혈관계 질환이나 뇌혈관 질환 때문에 항응고제(anticoagulant)를 복용하는 경우 발생 빈도가 높고, 장기간 다량의 음주를 하는 경우 위험도가 증가한다.
-
- 증상
-
급성 경막하 출혈은 가장 심각한 형태의 두부 외상으로서 많은 경우에 의식장애가 동반된다. 응급실에 도착할 때 이미 혼수상태에 있는 경우도 볼 수 있다. 초기에는 인지 기능과 지남력(사물을 가리키거나 지적할 수 있는 능력)이 저하되어 의사소통이 잘 되지 않거나 자꾸 잠을 자려는 경향을 보이기도 한다. 출혈이 계속되고 뇌 부종(cerebral edema)이 생기면서 뇌압이 증가하면 환자의 의식이 급격하게 악화되면서 반신 마비, 동공 확대, 호흡곤란 등이 나타나고 환자는 완전한 혼수상태에 빠지게 된다.
출혈이 경미하고 뇌 실질의 손상이 없는 경우 환자의 의식상태가 양호하여 두통만 호소하는 경우도 있다. -
- 진단
-
젊은 사람이 오토바이 사고를 당하고 의식을 잃었거나 노인이 길 또는 계단에 쓰러져 있다가 발견되는 경우와 같은 사고의 정황을 이해하고 의심하는 것이 중요하다. 머리 부위에 상처나 혹이 있는 경우도 있으나, 겉으로 외상이 전혀 보이지 않는 경우도 많다.
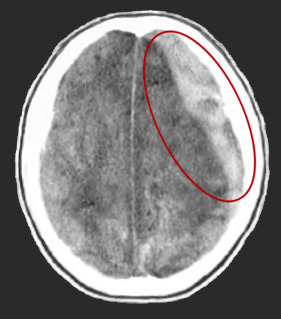
흔히 의식장애를 동반하며 반 혼수나 혼수상태에 빠질 수 있으며 경련성 발작을 일으킬 수도 있다. 뇌 전산화 단층촬영(CT)을 통하여 정확한 진단을 하게 된다.

- 검사
-
뇌 전산화 단층촬영으로 급성 경막하 출혈을 진단하고 동시에 뇌 실질에 좌상(타박상), 열상(찢어짐), 뇌내출혈 등이 동반되어 있는지 확인할 수 있다. 또한 뇌 부종의 정도와 뇌가 압박을 받는 정도를 확인할 수 있으므로 환자의 상태를 이해하고 치료방침을 정하는데 매우 중요하다.
-
- 치료
-
환자의 의식이 저하되고 있으며 전산화 단층촬영에서 출혈량이 상당하여 뇌가 압박을 받는 소견이 보인다면 수술적 치료가 필요하다. 일반적으로 두개골과 경막을 열고 응고된 혈괴(血塊)를 제거하여 뇌에 대한 압박을 풀어주는 수술을 하며, 심한 경우 혈괴를 제거하더라도 뇌 부종이 계속 진행되어 뇌압이 올라가는 경우가 많으므로 인조 경막을 써서 경막을 여유있게 봉합하고 그 위에 두개골을 닫지 않고 피부만 봉합하여 압력을 줄여주는 감압술을 하기도 한다.
뇌 실질의 손상이 심하고 뇌 부종이 너무 심하여 조절되지 않을 때는 대뇌의 일부를 제거하여 뇌의 부피와 압력을 줄이는 뇌엽 절제수술(lobectomy)을 병행하기도 한다. 이 경우 수술 후에도 마취 상태를 유지하면서 뇌압을 낮추는 약물을 수일간 투여하기도 한다.
모든 방법을 다 사용하여도 뇌의 상태가 호전되지 않는 경우, 이미 뇌 손상이 치명적인 수준을 넘은 것이며 많은 경우 뇌사 상태로 진행하게 된다.
출혈량이 적고 환자의 의식상태가 양호한 경우에 한하여 관찰치료를 하기도 하며, 이 경우 환자의 의식상태와 뇌 전산화 단층촬영을 지속적으로 관찰한다.
급성 경막하 출혈의 예후는 뇌출혈 및 뇌 손상의 정도에 의하여 좌우되며, 수술 전에 의식수준이 나쁜 환자들에서는 매우 높은 사망률을 보이고 있다. -
- 경과/합병증
-
증상의 진행이 완만하고 예후가 좋은 만성 경막하 출혈과 달리 급성 경막하 출혈은 매우 예후가 나쁘며 수술을 받더라도 진단받은 환자들의 60%가 사망한다고 알려져 있다. 생존하더라도 심한 신경기능 이상의 후유증이 남을 수 있다.
-
- 예방방법
-
노인(老人)의 낙상 주의
-
- 생활 가이드
-
장기간의 과음(過飮)은 뇌 위축을 초래하여 경막하 출혈의 위험을 증가시킨다. 또한 교통사고, 낙상, 폭행 등 경막하 출혈이 생길 수 있는 사고의 상당수가 음주와 관련하여 발생하고 있다. 따라서 절주를 통하여 경막하 출혈의 위험을 줄일 수 있다.
-
- 관련질병