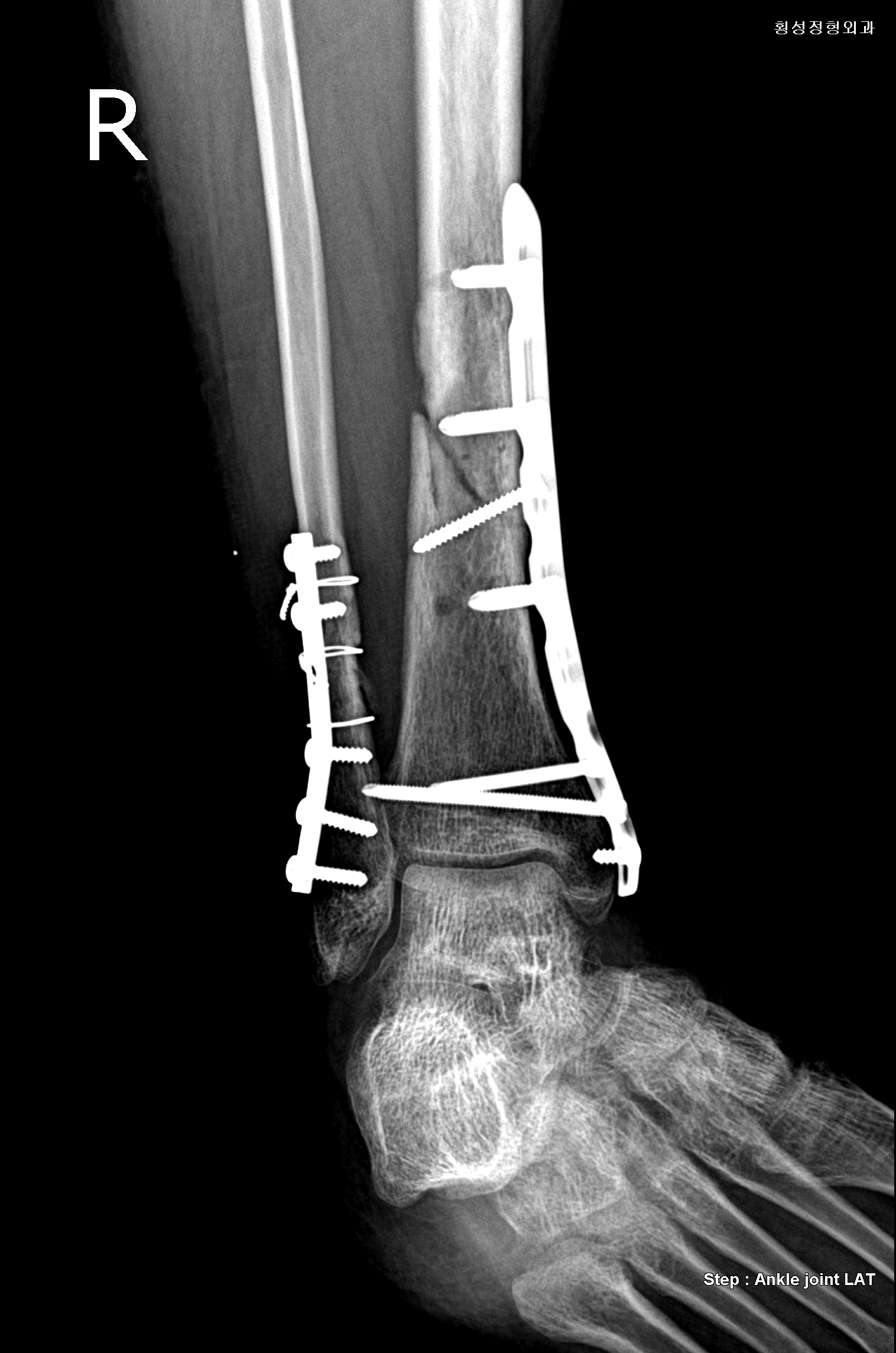
뼈세포 주입술 하기 전에 마지막으로 재활병원가서 엑스레이 사진을 찍어봤습니다...
그런데 3개월동안 차도가 없다고 하더니 오늘 가서 찍은 사진은 희미하게 뼈진이 보인다고 합니다.(저는 잘 안보이는데) 인제 목발 안 짚고 천천히 걸어도 된다고 하시더군요...
그래서 의사 선생님한테 뼈세포 주입술에 대해 말씀드렸더니 본인의 판단으로는 진행이 안되는 상태는 아니라서 좀 더 지켜보고 싶다고
하시더군요...근데 제가 넘 힘들다고 말씀드렸더니 본인이 힘들면 시술을 하는 것이 좋다고 합니다....
우선 제가 생활하기가 좀 힘들고 빨리 낫고 싶어서 그러는데...그리고 현재 상태가 정확하게 어느 정도인지 알고 싶습니다.
정말로 붙을 가능성이 있는건지...선생님의 의견을 듣고 싶습니다...(다음주 월요일에 뼈세포 주입술 관련 상담을 받으러 의정부에 갈려고 하는데 선생님한테 진료가 가능한지요?/
첨부파일첨부된 파일이 4개 있습니다.
다음검색
