CAFE

질문&상담 게시판

예 방장님

작성자Love Forever|작성시간10.09.03|조회수272 목록 댓글 0

 

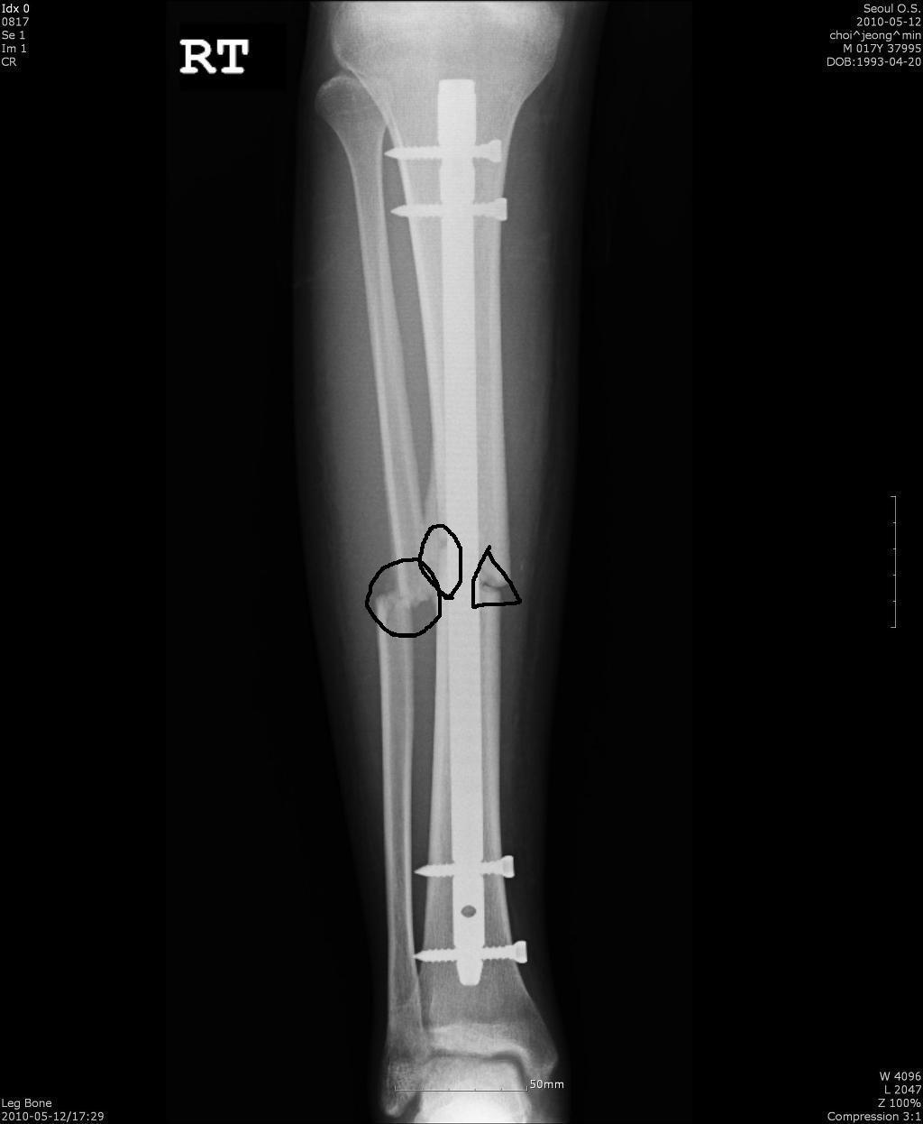
이사진은 5월달 그러니까 2월23이날 수술했으니까 거의 3개월 후사진입니다.

근데 지금 상태는 동그라미 친부분은 거의 다붙었는데 세모친부분이 저만큼이 아직도 안붙는다하더군요.

지금 6개월이 지났거든요.근데 제가 18살이긴한대 술.담배를 조금했었습니다 한동안 철없이요.

근데 요즘은 뼈가 안붙는데서 일절 끊었구요. 주치의 선생님 말씀으론 쇠를 좀더 일찍빼서 붙게 해보자고 하셨거든요.

그래서 겨울방학때쯤 뺄려고하거든요.

근데 질문좀 드릴게요.

 

1.경골쪽 반이 아직안붙었다는데 그런경우가 흔한가요?

 

2.이런경우 어떤 수술을 받아야하고 어떻게 해야되나요?

 

3.요즘 천천히뛰기도 하고 자전거도 오래타는데 가끔 시리더군요 괜찮나요?

 

4.어디에 쎄게 부딪히면 아직 많이 위험한가요?

 

5.겨울방학때쯤 쇠빼려는데 어떻게 생각하시는지요.

 

 

 

 

 

 

 

 

 

 

 

 

 

 

 

다음검색
현재 게시글 추가 기능 열기

댓글

댓글 리스트
맨위로

카페 검색

카페 검색어 입력폼