CAFE

질문&상담 게시판

[[상담]]좌 족관절 골절 수술 후 철심제거 수술 관련

작성자용가리|작성시간12.01.02|조회수1,495 목록 댓글 4

안녕하세요. !

 

매번 도움을 주셔서 감사 드립니다.
 
다름이 아니라

제가 2010.1.13일에 다리를 다친 이후에 골진이 나오지 않아
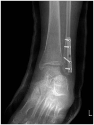
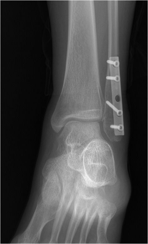
2010.4.30일에 인공 뼈 이식을 한 후 철판으로 고정하는 수술을 받았습니다.
그리고 현재 철심 제거수술을 받을 예정입니다.

 

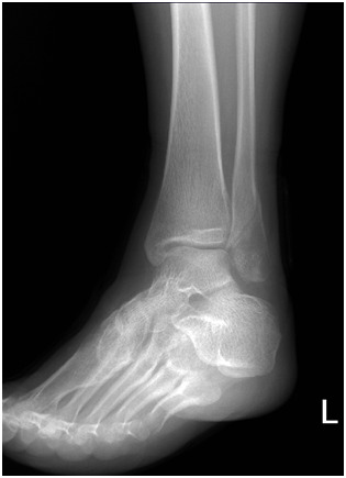
1. 의사소견: 다 붙었기 때문에 이제 철심제거가 가능함. 만약 불안하다면 6개월 뒤에 수술해도 된다고 합니다.
하지만 저는 아직 시리고저리고 아픈데.. x-ray상 제거해도 될까요?

 

2. 다른 병원에서 알아본 결과 철심은 제거해도 되고 제거하지 않아도 된다고 합니다.
저의 경우 어떻게 하는 것이 좋을까요?(20대중반 여자)

 

2-1. 철심제거시,미제거시 장단점이 있을까요??

 

2-2. 예전에 수술 당시 진이 안나와서 수술을 하였습니다.
만약 철심제거 수술한 후 나사가 있던 부분의 진이 안나올 가능성이 있나요?

 

3. 저의 경우 뼈가 조금 어긋나게 붙었기 때문에 퇴행성 관절염이 올 가능성이 많다고 합니다.
(집안 내력에 관절이 안좋으십니다...)
방장님의 소견은 어떠하신지요? 만약 그러하다면 퇴행성 관절염의 주의사항은 무엇인가요?

 

4. 의사소견으로는 평생 등산이나 오래걷기, 자전거, 힐 등등 못하고 못 신느다고 하던데..
정말인가요?

 

5. 예전에는 안 그랬는데.. 요즘들어 아침에 일어나서 첫 발을 내딛거나
오래 걷거나 하면 발바닥에 통증이 심합니다.
발목수술때문에 그러한 건지 아니면 수술 후 10kg가량 살이 쪄서 그런건지 의견 부탁드립니다.

 

질문이 상당히 많네요..^^;
그래도 꼭 답변을 부탁드립니다.
그럼 새해 복 많이 받으세요 ^^

 

수술전]

 

수술후]

 

현재]

 

다음검색
현재 게시글 추가 기능 열기

댓글

댓글 리스트
  • 작성자아가다 | 작성시간 12.01.02 저도 20대 중반의 여자입니다. 2010년 3월10에 수술하여 2011년3월9일에 핀제거 수술 받았습니다..... 저도 핀제거 안하면 안되냐고 여러병원을 전전하며 물어보았지만 답은 한가지였습니다... 제거 수술하는게 나을 거라고 말입니다. 나이가 젊기에 핀제거 안해서 다시 다칠경우는 처음 다치기 전보다 더 크게 다칠우려가 있으니 제거하는게 좋다는 의견이었습니다. 저는 저랑 나이때가 비슷한 경우라 제거 할것을 추천합니다
  • 작성자후훗 | 작성시간 12.01.03 오른발외과 골절이신가요 평생등산이나 오래걷기를못한다고하는건 좀 말이안되는거같네여.관절염이올수는있겠지만 더욱 운동을하셔서
    발목주변 인대나 근육을 강화시키는건어떨까요 저도 4개월째인데 아직많이아프네여.. 오래걷기가안되고 발목각도도 나오지가않습니다
    힘내세요 그리고 제거수술은꼭하시는게나을거같습니다.
  • 작성자주흘 | 작성시간 12.01.03 양과골절 8개월 좀 지났습니다... 현재 등산 잘 다니고 뜀박질도 합니다.... 넘 걱정 마시고 제 담당 의사샘도 핀은 제거하는게 좋다 말씀하시더군요.
  • 작성자용가리 작성자 본인 여부 작성자 | 작성시간 12.01.04 /모두 답변 감사드립니다.^^
댓글 전체보기
맨위로

카페 검색

카페 검색어 입력폼