CAFE

질문&상담 게시판

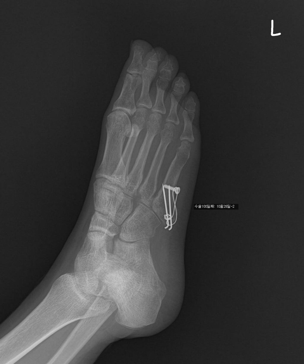
좌측제5중족골기저부 골절 100일차-사진 좀 봐주세요~

작성자여인95|작성시간14.10.28|조회수1,388 목록 댓글 2

 

안녕하세요?

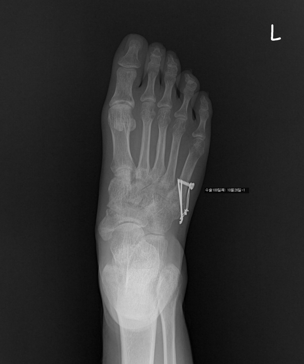
수술한지 100일 정도 됩니다.

 

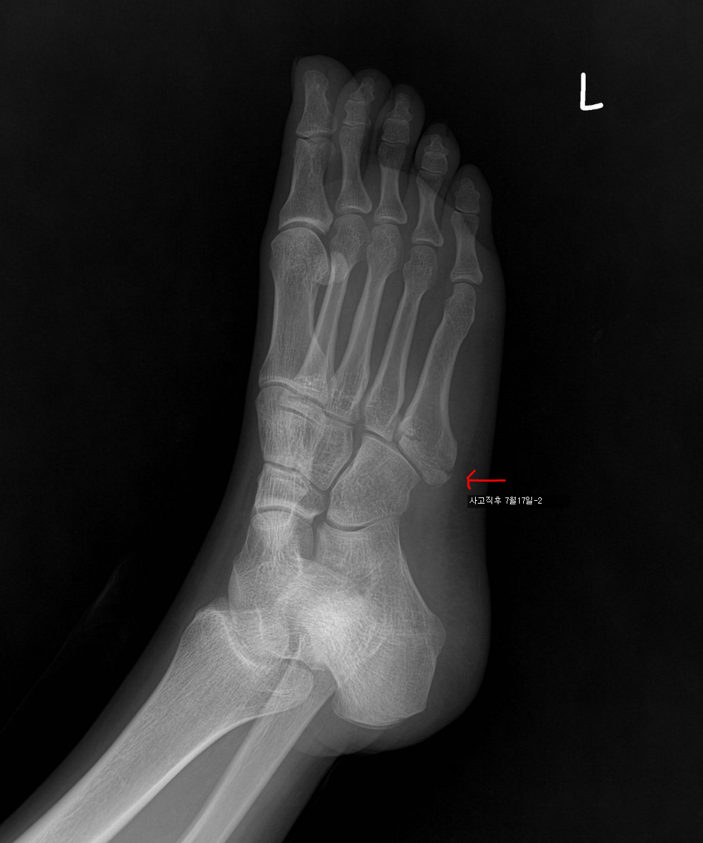
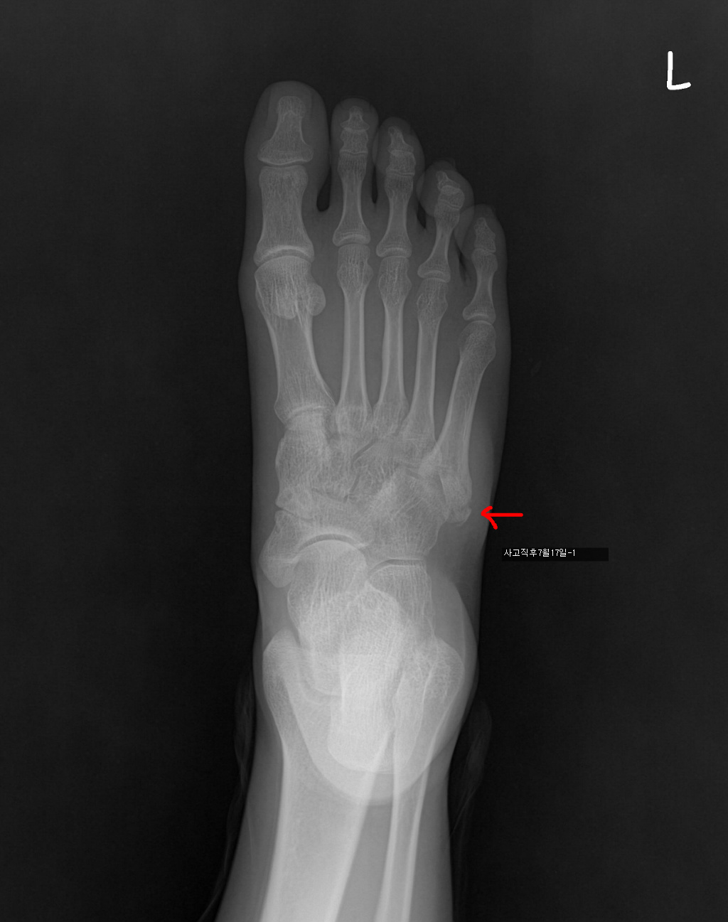
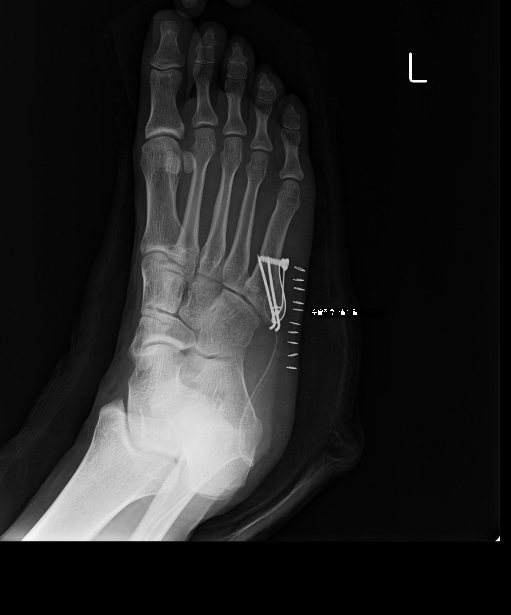
7/17 : 출근 중 지하철 계단에서 구르는 사고로 좌측제5중족골기저부 골절

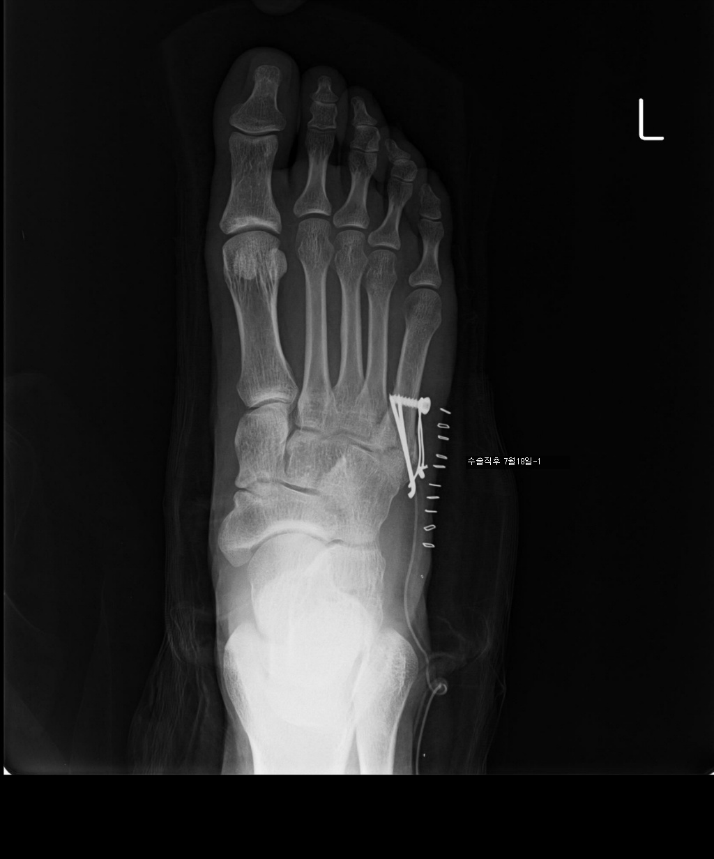
7/18 : 관헐적 정복 및 금속내고정술  시행 및 반깁스 (2주)

9/11 : 통깁스 해체(6주)------->반깁스(2주)+통깁스(6주): 총8주 깁스

 

 

 

*현재 상태

-보행:절뚝거림, 목발은 안쓰거나 통증시 한쪽만 사용, 계단오르기 가능. 내려오기는 불완전, 평지가 아닌곳은 보행 어려움 발이나

        몸이 흔들림.

        보행시 철사박은 곳이 땡기고 이물감이 많음...금속 부분이 간혹 간지러음.

-통증:전체적으로 통증이 심하지 않음. 발등,수술부위,발목의 은근한 통증, 가끔 격렬한 통증이 짧게 오기도 함. 오래 걸으면

      발목이 붓고 물차는 듯한 통증.

-붓기:정상 발보다 10%정도 부은 정도,많이 붓지 않음. 색깔은 아직 어두움,피쏠림현상있음.

-물리치료: 일주일에 세번. 적외선 및 레이저 치료 30분

 

*궁금한 점

1. 현재 유합은 몇프로 정도 되었나요?

    담당샘은 철심박아서 잘 안보인다고 하시고, 이맘쯤이면 거의 붙었을거라고 추측해서 말씀하셨습니다.

 

2. 요가 및 스트레칭 해도 되나요?

뛰지 말라고 하셔서 걷기 하고 있구요,,,요가나 스트레칭을 일주일에 4번 정도 한시간씩 하고 있는데요, 다친발의 근력이 없어서 무리한 동작은 자제하고 있는데요...(한발서서 균형잡기..이런게 잘 안됩니다...)요가가 은근히 근육을 많이 쓰게 되서 다친 발의 근육을 너무 잡아 당겨서 혹시 골절유합에 지장을 주는지요? 근육을 많이 늘리고 잡아당기는 동작을 하다가 문득 이러다가 골유합중인 뼈의 유합을 방해하는 건 아닌가 걱정이 되어서요.

 

3. 철심제거?

수술후 약9개월인 내년 4월경에 철심을 제거하는게 좋다다고 하셨습니다. 철심 제거시 누군가가 철사는 제거할 수 없다고 하는것 같은데....금속 전체 다 남김없이 제거가 가능한가요??

발이라 가죽이 얇아서 보행시 철심이 당기고 이물감이 많아 사실 빨리 제거하고 싶은데요..일찍 제거하면 뼈에 무리가 갈수 있나요?

정말 남김없이 다 제거하고 싶습니다..

 

4.계단오르내리기 연습?

오르는건 되는데 내릴때는 지지대를 잡지 않고서는 내려오지 못합니다.

계단연습 많이 해도 되나요?

 

 

아래는 그간의 사진입니다. 제 눈은로는 수술직후의 사진과 3개월후의 사진의 차이를 잘 모르겠네요..

긴 글 읽어주셔서 감사합니다.

 

 

 

 

 

 

 

 

 

다음검색
현재 게시글 추가 기능 열기

댓글

댓글 리스트
  • 작성자알럽베이스볼 | 작성시간 14.11.04 저도 수술 12주차입니다만. 발목 골절. 두 발로 잘 걷고 런닝 슬슬 하라네요. 발목 각도가 안 나와서 계단 내려갈때 힘들었는데 90프로까지 나와서 잘 내려갑니다. 저도 금속핀 얼른 뺐음 좋겠네요. 땡기고 느낌이 별로 안 좋네요 ㅡㅡ힘내세요.
  • 작성자hhh헤리 | 작성시간 14.11.20 저랑 비슷한데..피쏠림여전하신가요
댓글 전체보기
맨위로

카페 검색

카페 검색어 입력폼