CAFE

치료경험담

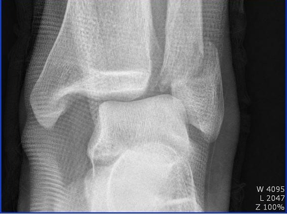
왼쪽 복숭아뼈 골절 13주차

작성자신림뽁써|작성시간11.02.07|조회수2,509 목록 댓글 0

 

 

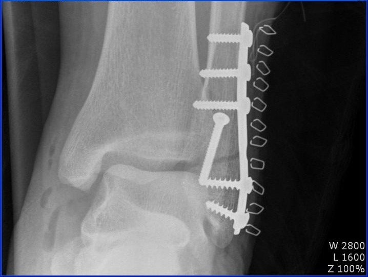
<11월 9일> 수술

                - 외과 골절 및 내외측 인대파열이라는 진단을 받았는데 골절부분만 수술

 

<11월 13일> long cast

 

<11월 19일> 2차 cast

                  - 거골과 경골의 이개가 다시 발생

 

<11월 22일> 3차 cast

                  - 또다시 이개가 발생해서 cast 다시함ㅠㅠ

 

<11월 24일> 대학병원 퇴원과 동시에 동네 정형외과 재입원, 실밥제거

 

<12월 10일> 1차 외래진료

                  - 별 얘기 없이 3주뒤에 다시 오라고 함

 

<12월 17일> 동네 정형외과 퇴원, 3주입원기간동안 발가락운동과 무릎에 힘줬다 뺐다하는 운동만 함

                  long cast.....모든 활동이 정말 불편하더군요....지금 다시 생각하면....에휴.....

 

<12월 27일> 2차 외래진료

                  - x-ray촬영, 7주만에 무릎밑으로 cast 교체, 허벅지두께가 거의 반으로 줄어들고,

                    무릎을 조금만 굽혀도 엄청난 통증과 부종

                  - 집에서 팩으로 무릎찜질시작해서 하루하루 꺾는 각도를 늘려감, 일주일 경과후 100도정도 꺾이고 통증도 조금씩 완화됨

                  - 눈이 많이와서 거의 외출을 못하고 집에서 생활

 

<1월 10일> 3차외래진료

                  - x-ray촬영, cast 완전히 제거하고, 찍찍이 달린 반깁스 받아옴

                  - 무릎은 거의 정상으로 돌아왔으나 살짝 부종이 있음  

                  - 수술한 발목 부근에 부종과 피쏠림이 처음 cast 했을때와 거의 동일했고, 마치 각목처럼 딱딱하게 굳어 있었음ㅠㅠ

 

<1월 26일> 4차외래진료

                  - x-ray촬영, 2달뒤에 다시 오라고 함

 

* 너무나 갑갑했던 3개월이라는 시간이 어떻게 갔는지 모르겠습니다....

   2월 7일(수술후 13주 경과) 현재, 집에서는 목발없이 절뚝거리면서 걸어다니고, 외출시에는 목발 하나만 짚고 다니고 있습니다.

   골절은 골유합만 잘 되어가면 시간이 해결해 주는 것 같습니다.

   지금 골절로 고생하시는 환우분들 너무 조급해 하지말고, 세세한 변화에 민감해하지 마시고

   병원치료 잘받고 운동열심히 하시기 바랍니다.

   빠른 쾌유를 빕니다....

다음검색
현재 게시글 추가 기능 열기

댓글

댓글 리스트
맨위로

카페 검색

카페 검색어 입력폼