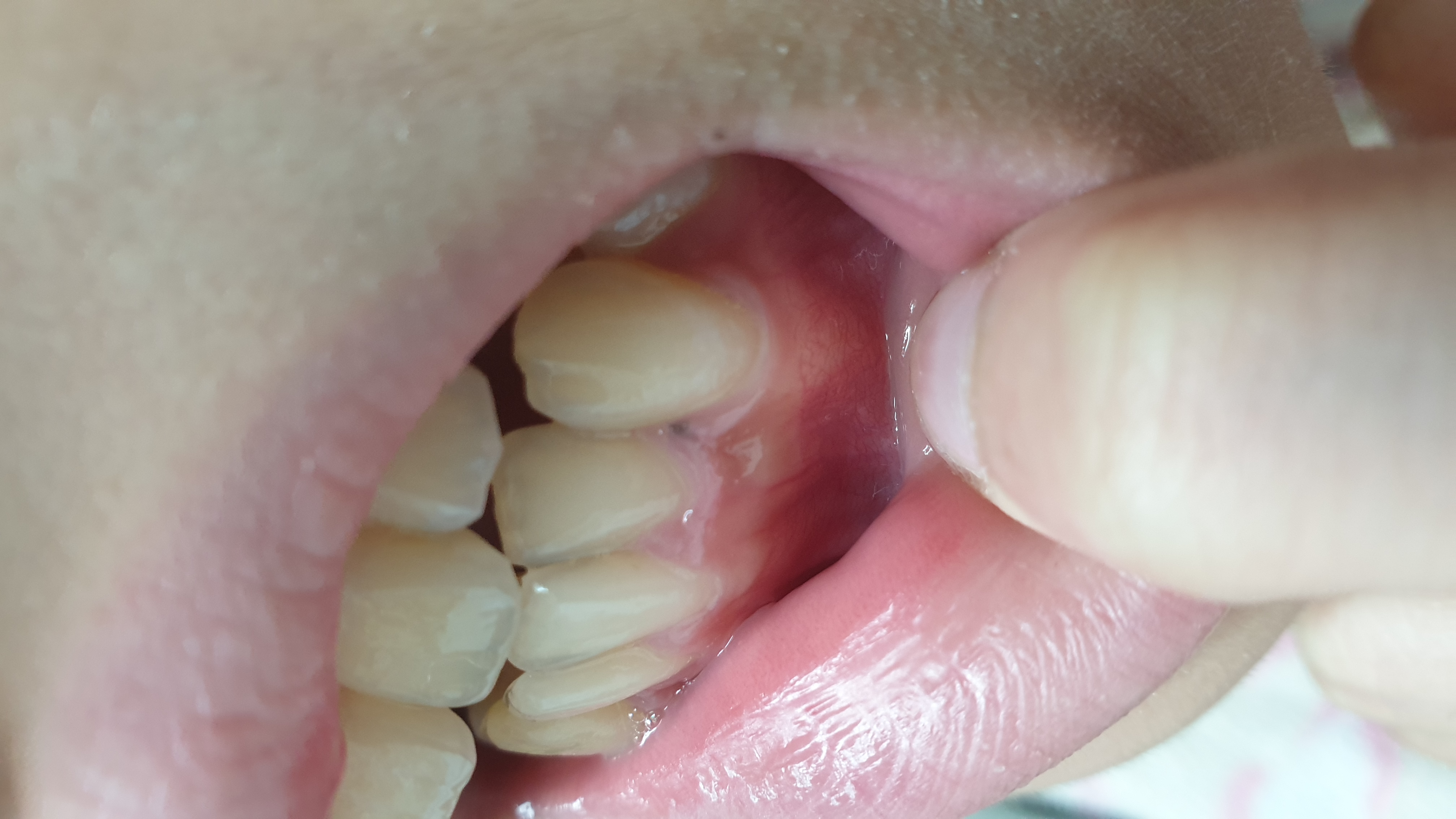
아이 잇몸에 검은 점같은게 작성자Carpe Diem|작성시간25.11.20|조회수91 목록 댓글 0 글자크기 작게가 글자크기 크게가 아이잇몸에 검은 점같은게 생겼어요.생긴지 한달정도 넘었고 양치 열심히 하는데 없어지지 않네요.저게 뭘까요?치아부분이 아니라 잇몸부분이요. 다음검색 현재 게시글 추가 기능 열기 북마크 공유하기 신고 센터로 신고 댓글 댓글 0 댓글쓰기 답글쓰기 댓글 리스트