CAFE

자유게시판

어금니 신경치료 안하고 크라운 씌우면 오래 못갈까요?

작성자새벽이소망|작성시간23.08.21|조회수978 목록 댓글 2

안녕하세요! 황새벽입니다.

 

책읽고 한번 검진받으러 갔었습니다.

 

왼쪽 위 어금니가 이상하게 떼워져있던 것이 말썽이되어 결국 치료하게되었습니다.

 

치실이 이 사이에 끼어서 병원에 갔고, 결국 둘 다 다시 손을 봤습니다.

맨 안쪽은 인레이 했지만 그 다음 이가 많이 썩어서 깊이 치아를 삭제했습니다.

치과의사선생님이 치아를 살리라는 주의서셔

어금니 충치 치료를 받고나서,  신경치료 하고 크라운을 씌울지 신경치료 안하고 씌울지 지켜보고 있습니다.

 

처음에는 굉장히 아팠고 1달 반 정도 되어 이제 차가운물 뜨거운물 마실때 느껴지는 정도이긴한데

쒸우면 오래가지 않을 것 같고, 얼마나 오래갈지도 감이 오지 않아서 여쭤봅니다.

신경치료 안하고 씌우는게 어느정도 상식선인지 저는 잘 몰라서 여줘봅니다.

 

감사합니다.

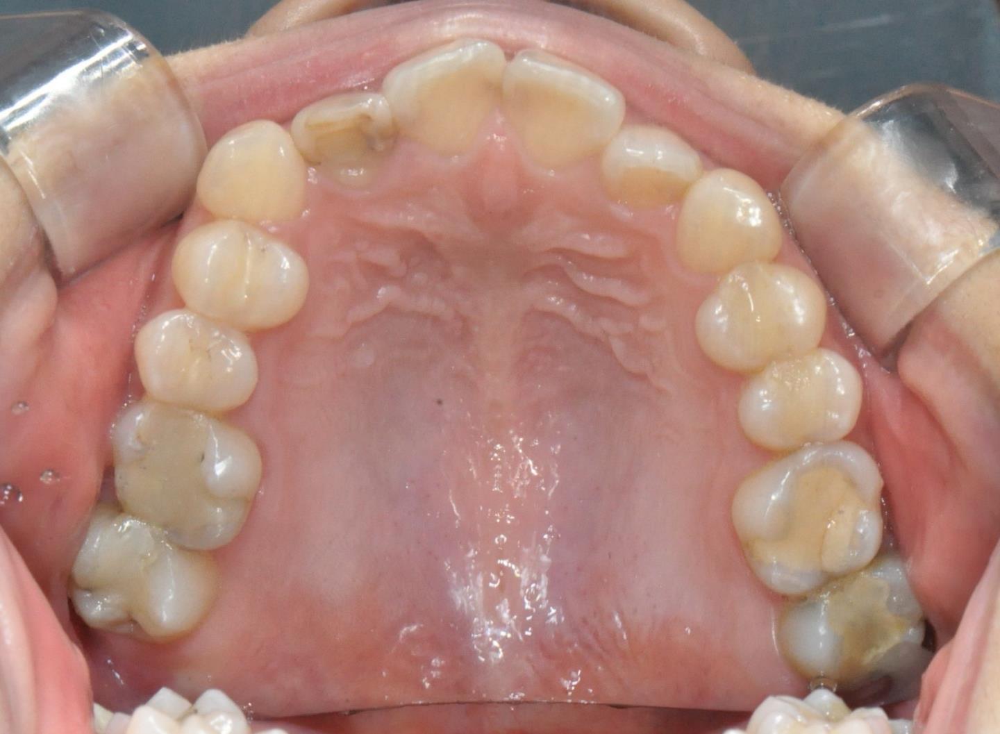
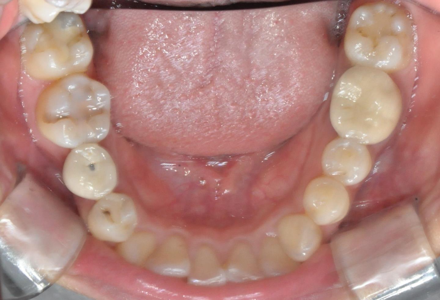
그때 가서 찍은 사진이고,

치료 받기 전 찍은 사진입니다.

 

 

 

다음검색
현재 게시글 추가 기능 열기

댓글

댓글 리스트
  • 작성자김동오 | 작성시간 23.08.22 신경치료하고 씌운 치아들이 더 빨리 망가지기 쉽습니다.

    왜냐하면 신경치료를 완벽하게 하기 어렵기 때문입니다.


    그럼에도 불구하고 신경치료를 하고 씌우는 이유는

    크라운을 할 때 치아 삭제가 많기 때문에 크라운을 하고 나서 이가 시리다고 하는 경우가 있기 때문입니다.

    또한 크라운을 하고 나서 나중에 신경 쪽에 염증이 생기는 경우가 있는데

    이런 상황이 발생했을 때 신경치료를 하지 않고 씌운 것을 비난하는 경우가 많기 때문입니다.


    그런데 이런 선택도 중요한 요소이지만

    슬프게도 교합이 너무 안 좋아서 이래도 저래도 나중에는 문제가 생긴다는 점입니다.
  • 답댓글 작성자새벽이소망 작성자 본인 여부 작성자 | 작성시간 23.08.23 감사합니다.
    치과의사선생님이 6개월까지는 지켜보기도 한다고 하셔서 그 때까지는 지켜보도록 하겠습니다.
    신경치료하고 씌운 치아가 더 빨리 상한다고 하시니 저는 이 시린 것 불편함 정도는 감수 할 수 있어서 되도록 신경치료 하지 않는 쪽으로 생각해보려 합니다.
    갈피를 잡지 못하고 있었는데 답변주셔서 방향을 정하는데 도움이 되었습니다.
    감사합니다!
댓글 전체보기
맨위로

카페 검색

카페 검색어 입력폼