CAFE

상담종료

(부산)초등학교1학년 치과치료 고민에 잠을 못자고 있습니다.

작성자Soyi|작성시간23.11.05|조회수281 목록 댓글 15

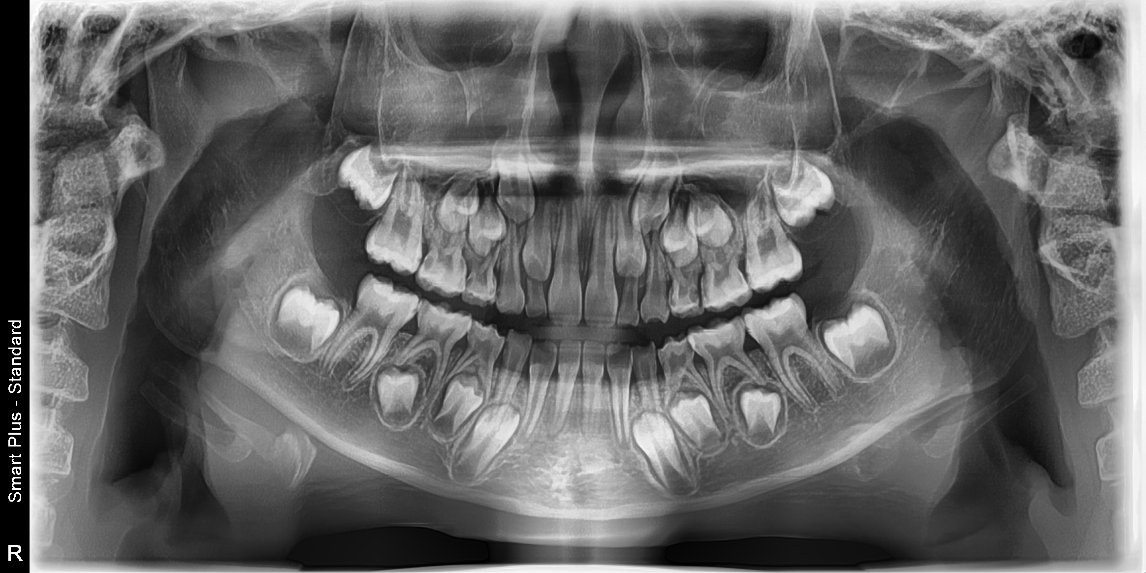
엄마인 제가 안일하게 치실을 안써서, 초등학교1학년(만7세8개월) 딸아이 어금니(영구치포함)에 모두 사이 충치가 생겼습니다. 선생님 책에도 치료가 필요하다고 하신 사이 충치입니다ㅠㅠㅠㅠㅠ

치과에 가보니 10개~13개정도 치료해야 한다고 합니다.(치료계획서 미호함된 오른쪽 아랫니도 포함 어금니전체)

이렇게 많은 이를 한꺼번에 치료하고 싶지 않고, 최소한의 치료만 하고 싶습니다. 치아를 위한 최선의 선택이 무엇인지 고민이 많습니다.

 

책은 다 읽었고, 부산이라, 선생님 치과로 가지도 못하고 이렇게 간절한 마음을 담아 조언을 구합니다.

"어떻게 치료하면 좋을까요? 선생님 ㅠㅠㅠ"

영구치 빨리 치료해야 한다 하시고 영구치는 너무나 중요한데 썩었으니 약간씩 생긴 사이충치는 모두 떼우자고 하시고, 유치들은 신경치료 하고크라운으로 5개정도 하고, 나머지는 떼우자고 하시는데.... 

약간씩 생긴 영구치의 충치는 깨끗하게 치료하는데 맞는지, 

육안으로 보이지도 않고 아프지도 않은 충치들 모두 제거 하는게 맞을까요?(육안으로 보이고, 과거 한참 아프다고 했고 현재는 안아프다고 하지만, 검은 구멍이 생기고 음식이 많이 끼는 불편한 곳은 왼쪽 윗니 뒤에서 두번째 사이입니다)

 

제발 지나치지 마시고, 안절부절 치료결정 못하고 있는 저에게 유치와 영구치 치료에 대한 선생님의 소견을 주시기 간절히 부탁드립니다.

선생님 보시기에 치료가 꼭 필요한 이와, 그 이들의 치료법은 어떤 것인지 여쭙니다.

(영구치의 레진 치료가 필요한 상태인가요?

유치 중 신경치료가 필요한 이가 있을까요?)

제일 불편한 왼쪽 윗니

다음검색
현재 게시글 추가 기능 열기

댓글

댓글 리스트
  • 해당 댓글은 작성자와 운영진만 볼 수 있습니다.
  • 답댓글 작성자Soyi 작성자 본인 여부 작성자 | 작성시간 23.11.06 네 이런 치과를 알게되어 감사한 하루입니다.
    일단 관리 잘하며 몇개월 후에 추적 관찰하고 또 도움이 필요하면, 여쭤보겠습니다.

    부산에 저같은 분이 계시다면, 도움이 되면 좋겠습니다.
  • 답댓글 작성자김동오 | 작성시간 23.11.06 GI 로 때우는 것은 원칙적/최고의 방법은 아닙니다. 이 점 참고해주시기 바랍니다.
  • 해당 댓글은 작성자와 운영진만 볼 수 있습니다.
  • 해당 댓글은 작성자와 운영진만 볼 수 있습니다.
댓글 전체보기
맨위로

카페 검색

카페 검색어 입력폼