CAFE

12장 큰 어금니

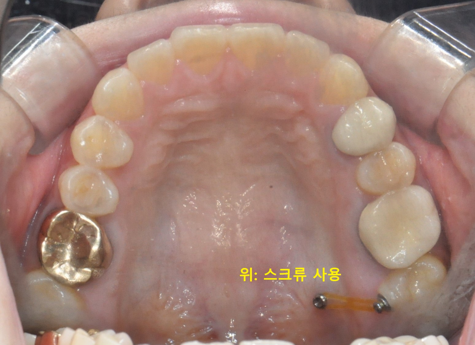
엇갈린 어금니 부분교정 (20대, 6개월)

작성자김동오|작성시간23.06.17|조회수646 목록 댓글 0

 

 

누구나 할 수 있는 아주 쉬운 증례이면서 가치는 매우 큰 치료..

 

그러나 관심이 없어서 충치치료로만 대응하다 치아가 빠지게 됨.

다음검색
현재 게시글 추가 기능 열기

댓글

댓글 리스트
맨위로

카페 검색

카페 검색어 입력폼