CAFE

└──작은 어금니

비대칭 R, 좌측 작은 어금니 붕괴교합, 계속 되는 발치, 턱의 불안정한 개폐구(opening-closing) 운동

작성자김동오|작성시간11.02.15|조회수394 목록 댓글 0

 50대 남성분의 치아 사진입니다.

 

a

앞니도 고르고 겉으로 봐서는 특별한 문제가 없어 보입니다. (3년전 사진) 

 

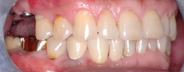
오른쪽(환자의) 부위 사진입니다.

위에는 임플란트가 식립되었고

아래는 수년전에 브릿지 치료를 받았습니다.

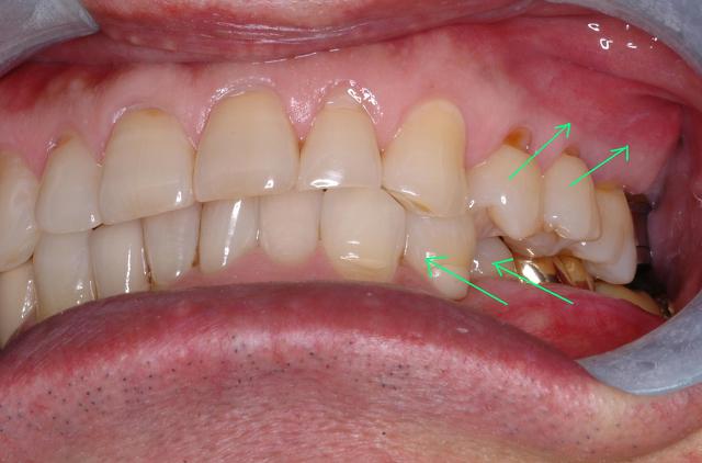
환자의 왼쪽 부위 사진으로 문제의 원인을 보여줍니다.

왼쪽 위 작은 어금니를 바깥으로

왼쪽 아래 작은 어금니는 안으로 누워있습니다.

 

이렇게 되면 아래턱의 전후적, 수직적 위치가 이상적인(정상적인) 위치에서 벗어나게 됩니다.

그에 따라 턱운동의 불안정성이 야기 됩니다.

환자분의 입을 벌리고 닫는 속도가 느립니다.

저작, 발음, 연하 등의 턱운동의 기준이 되는 턱관절이 불안하게 되면

잇몸이 나빠지거나 치아가 잘 썩게 되거나 턱이 아프게 됩니다.

이분은 주로 잇몸 질환의 양상을 보이는 체질입니다.

 

단편적으로 생각해도

왼쪽 작은 어금니들이 제대로 물리지 않으면

왼쪽 부위보다는 오른쪽으로 주로 씹게 되어 오른쪽 치아들이 먼저 망가지게 됩니다.

또한 왼쪽 작은 어금니 뒤에 있는 어금니들에 주로 부하가 가해져서

먼저 상하게 되고요.

 

기울어져서 씹히고 있는 왼쪽 작은 어금니들은

치아 장축(long axis)으로 힘을 받지 못해

치경부(치아의 옆구리)가 패이는 현상을 나타나게 됩니다.

 

  

 

발치된 치아와 임플란트를 보여주고 있습니다.

임플란트를 해도 걱정이 되는 것은

이런 불안정한 턱 상태는 계속되는 잇몸질환, 치아 상실을 야기시키는 것이

불을 보듯 뻔하기 때문입니다.

 

보이는 앞니가 중요한 것이 아니라

보이지 않는 어금니, 그것도 사소한 맞물림이

전체 치아의 장기적 건강과 전신적 건강의 중요한 요소입니다.

다음검색
현재 게시글 추가 기능 열기

댓글

댓글 리스트
맨위로

카페 검색

카페 검색어 입력폼