SNPE로 3개월만에! 20년동안 틀어져있던 골반,척추정렬을 잡고 평생몰랐던 허리,골반라인까지 발견했어요!

작성자JDY-instructor|작성시간19.07.09|조회수2,440 목록 댓글 0

   체험사례를 작성하시는 분의 기본 정보를 작성해주세요.

· 연령 : 만28세 (30세^^)
· 성별 : 여자
· 직업 : 회사원 (외국계기업근무중)
· 통증부위 : 목,어깨 (항상 뻐근하고아픔), 요추.엉치.오른쪽골반뼈통증(무리하면오는통증)
· 통증 원인 : 척추측만 및 안좋은자세고착화 (+다수의교통사고)
· 병명/수술여부 : 역C자목으로 인한 목,어깨통증 / 척추측만 / 요통(아래허리&우측골반) / 없음
· 처음 SNPE하게 된 계기 : 목교정, 체형교정등 검색하다가
· 운동 참여 기간 : 2018.11에 처음 접해서 아주 약하게 홈트 해보다가, 2019.3월~현재까지 집중수련
· 1주 평균 운동횟수(일) : 6일
· 운동목표 :통증타파, 척추정렬바로잡기, 몸매라인도 예뻐지기를.. 그리고 건강한 척추정렬을 되찾아서 100세에도 남편과 해외여행가기 ^-^
  체험사례 작성 Tip
· 사진 첨부 시, 촬영 날짜와 간단한 설명 부탁 드립니다. 
· 신체적&심리적 효과를 구체적으로 기술해주세요.
· 효과가 나타난 시기를 명시 해주시기 바랍니다.

  체험사례 시작


안녕하세요~ 저는 이보하라고 합니다. SNPE를 통해 정말 몰랐던 허리라인과, 골반라인을 발견한! 그리고 20년넘게 틀어져있던 척추 구조를 조금씩 바로잡아가고 있는 94기 수강생입니다!!  

저에게도 체험사례 쓰는 날이 오네요,, 어제 100일수련을 마무리하며, 그리고 체험사례를 위해 after 사진을 집에서 찍었는데 생각보다 크게 변화된 것 같지 않아 속상했습니다. 남편한테 다시한번만 더 찍어줘봐~ 라고 했어요 ^^

그런데, 3개월전 100일 수련 시작전 찍어두었던 사진과 비교를 해보니 저도 정말 많이 변했더라구요!! 기분좋게 체험사례 시작해보겠습니다!


[간략한 자기소개]

-아직도 키가 조금씩 자라는 174~175cm의 장신입니다 (SNPE하고 더큰거같아요 ㅎㅎ)

-전체적으로는 마른 체형이나, 유독 복부, 뒷구리살 (muffin top~), 엉덩이에 살이 많이 붙는 체형입니다.

- 허리비대칭이 심하고 골반이 넓은편이나,, 골반부터 허리 아래까지 살이 뽈록 이상하게 대칭이 안맞게 쪄서 예쁜 허리라인을 가져보는게 제 소원이었습니다... (지금 이뤄지고있는거같아요^^)

-역 C자목 (구조가 안좋습니다), 척추측만, 골반비대칭, 얼굴비대칭(특히눈,눈썹, 그리고 입의위치), 어깨비대칭 등,,전체적으로 몸이 틀어졌습니다

-5살때 아파트 지하 계단으로 심하게 굴러, 오른쪽 눈썹과 얼굴쪽이 싹 까져서,, 한달정도 입원해있었습니다. (엄마말로는 정말 큰일날뻔했다고 합니다)

-그 외 8살을 시작으로 작년까지 다양한 교통사고와 정말 친한 베프입니다 ^-^ (8살때 제발목위로 승용차 바퀴가 지나갑니다, 초딩때 신호등을 건너다가 접촉사고를 당합니다, 초딩떄 아빠차를 타고가다가 차사고가납니다, 고등학교때 제가 버스에서 내린 후 신호등을 건너는데 버스가 저를 못보고 훅 출발해서 버스에 부딪혀 공중으로 나릅니다..., 캐나다에서도 눈길에 교통사고, 미국에서도 접촉사고, 작년엔 아파트 근처에서 접촉사고 등등..휴!!!!! 그런데 누가 절 지켜주는지 정말 다행히도 크게 날뻔한 교통사고였는데도 크게 다친곳 없이 잘 자랐습니다)

-중학교때 버스에서 내리다가 발을 헛디뎌 미끄러져 버스하차 계단 3개를 엉덩이로 쿵쿵쿵 내려옵니다. (이때 제 꼬리뼈가 휘었어요)


[나의 통증 이야기] - 목&어깨 그리고 엉치통증

저는 7살때부터 가끔씩 고관절 쪽을 치면서 엄마 여기가 아파 라고 했습니다. 어린애가 왜 고관절이 아팠을까요.. 그리고 유치원때도 종종 아침에일어나면 목에 담이 결려서 고개를 잘 못움직이곤 했던게 기억이 납니다..

정말 너무 많이 넘어져서, 넘어지면 엄마한테 정말 많이 혼나고 그랬습니다.. 똑바로 힘주고 걸으라고 ^^

그리고 초등학교 2학년즘 약한 척추측만이 있는 것을 알게되었고, 고관절도 살짝 비뚤다고 얘기 들었습니다.

어려서부터 또래들에 비해 키가 컸고, 워낙 말랐어서 엄마도 저도 그냥 뼈가 약한가보다 하고 넘겼습니다.

부모님께 '바른자세로 앉아라' '허리펴고앉아라' '다리꼬지말아라' 잔소리를 매일 들었지만 바른자세로 앉는게 저한텐 너무 힘들었습니다. 그러던 중 중학교때 여느때와 같이 허리통증으로 정형외과에 갔는데, 거기서 의사선생님이 이런 말씀을 하십니다. "괜찮아요, 이 학생은 어차피 다리꼬고 앉는게 오히려 더 편할거야~ 이미척추가 조금 틀어져서 그런데 이정도는 괜찮아~"  철없던 저는 그얘기를 듣고 웃으면서 엄마한테 "그거봐~ 다리꼬고 앉아도 된다잖아! 난 진짜 이게 더 편하단말이야" 라고 얘기하고 평생을 다리를 꼬고 앉게됩니다...... (의사선생님 왜그런말을 해주셨나요?ㅠ)

그렇게 고등학생이되고, 공부량이 많아지면서 이제는 목과 어깨가 너무 딱딱하게 굳어지고 아프고, 그렇게 물리치료 및 침 그리고 맹인마사지까지 받게 됩니다.

고등학생이후로 저에게 딱딱한 목과 굳은 어깨는 그냥 뗄 수 없는 존재였습니다. 그런데 너무무지하게도 전 대부분 이정도 불편함은 가지고 사는 줄 알았어요~ 그러다 24살 첫 직장에 들어갔는데 의류벤더쪽이라 옷도 많이 들어야하고 원단도 들어날라야하고, 매일같은 야근에 제 근골격계질환은 점점 더 악화됩니다.

이 때 제 목이 일자목에서 역C자목으로 한번더 악화되었음을 확인하고, 확인만하고 .. 무지하게 물리치료와 견인치료 받고는 또 그럭저럭 지냅니다. 그리고 외국계기업으로 이직을 해서 직장인의 라이프를 계속 살아갑니다.

제목은 늘 조금만 무리한 날이거나 컨디션이 안좋으면 정말 시멘트처럼?? 딱딱 뻣뻣하게 굳고 그 기분나쁜 쫘아악 뻗치는 느낌이 머리까지 타고 올라옵니다. 사실 너무 오래동안 안고온 통증이라그런지 그냥 무뎌져서 맨날 손으로 떄리고, 주무르고,, 아빠한테 어깨좀 주물러달라고하고 그렇게 통증과 함께 살아왔습니다.

그러다 작년부터 허리 통증이 갑자기 또 시작됩니다! 사실 허리(주로 엉치쪽이 아픕니다)는 무거운거를 들었거나, 무리해서 청소를 했다거나 등등 그럴때만 일시적으로 찾아오는 통증이었는데 작년부터 그 통증이 잦아졌습니다. 하루는 아침에 일어났는데 허리를 굽힐수가없어서 연차를 내고 병원에 가서 또 도수치료를 받습니다. 무서운마음에 MRI까지 찍어봤으나, 아직 추간판탈출증은 아니라고 판정을 받았습니다. 그런데 기분나쁜 지릿 쩌릿 오른쪽 엉치 (골반바로위 와 골반쪽) 통증은 계속됩니다.... 그래서 작년 말에는 산부인과까지 방문하여 골반염이 아닌지 여성질환은 아닌지 검사를 받는데 전혀 문제가 없다고 했습니다. 그때까지만해도 전 병원에 의존하는 사람이었고, 뚜렷한 이유를 듣지못하니 불안감만 커지고 그랬습니다. (이제는 절대 불안하지도, 병원에 의존하지도 않습니다 ^^)


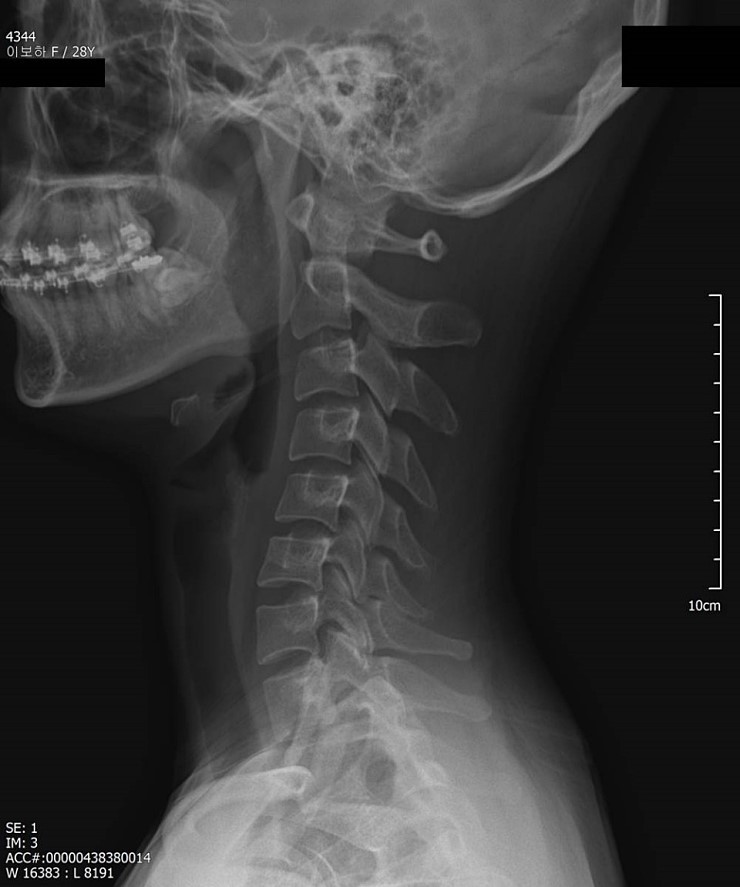
[사진 - 경추 X-ray, 역 C자 (내 통증의 원인!!)] - 목이 매우 길기도 하고, 역 C자로 구조가 안좋음

[왜? 7살때부터 아팠을까..]

SNPE 100일 수련을 하면서 몸을 정말 많이 돌아봤습니다. 왜이렇게 나는 어렸을때부터 고관절이 안좋고, 허리가 약하고, 항상 근골격계질환을 안고 살았을까.. 곰곰히 돌이켜봤습니다.

5살때 아파트 1층계단에서 난간을 잡고 대롱대롱 혼자 놀고있었습니다. (겁이 없었던 여자아이였어요) 그러다 중심을 잃고 매우 깊은 지하로 굴러떨어집니다. 사실 너무 어렸을때지만 그때 생생히 기억나는건 "아 너무 아프다,, 언제까지 구르지? 언제 멈추지" 이렇게 생각했던 기억이 있습니다. 그러고 엄마말에 따르면 거품을 물고 기절을 하였고 큰병원에 실려가 이런저런 검사를 했다고 합니다. 그당시 오른쪽 눈썹이 모두 까졌고, 얼굴도 오른쪽이 많이 다쳤어요! 사실 저한텐 '얼굴 다친 사고'로 기억이 남아있었는데,, 곰곰히 생각해보니 그 깊은 지하를 고꾸라져서 데굴데굴 굴렀는데 눈썹뼈에 이상이 조금이라도 있으면 뇌가 다쳤을거라고까지 얘기를 들었는데 당연 고관절, 허리 등 척추에도 조금이나마 무리가 가지 않았을까? 하는 생각이 들었습니다. 엄마에게 물어보니 그당시 엑스레이를 다 찍었는데 뼈에는 이상이 없었다고 하더라구요~ 물론 금이가거나 부러진게 아니었지만 이는 분명 제 근골격계질환의 시발점이었다고 생각합니다.

그래서, 저는 제 몸을 온전히 올바른 구조로 회복하는데 꽤 긴시간이 걸릴 거라고 생각을 했고 (7살때부터시작된 문제였다면 23년동안이나 장기간 지속된 거니까요), 급하지 않게 천천히 제 페이스에 맞추어 수련을 하게 됩니다 ^-^


[SNPE를 만나기 전 통증해결과 체형교정을 위해 경험한 것]

- 요가 2년 : 어느정도 시원했고 유연성도 조금 생겼지만 나에게는 안되는 동작들이 너무 많았고 손목이 너무 아팠고 화려하고 어려운 동작들만 많다보니 계속 못따라가면서 흥미를 잃음.. (그리고 무엇보다 어떤 동작을 하고나면 더 허리나 목이 아팠음..)

- 수영 1년 : 평영, 접영을 하면 허리가 자꾸 더 아파져서 그만둠

- 필라테스 1년반 : 처음 개인 레슨을 받을때는 좋았으나 그룹레슨을 받을땐 요가와 마찬가지로 어떤 동작은 나에게 잘 맞는데 어떤 동작은 오히려 너무 힘들고 허리가 더 아프고, 목에 힘이 너무 많이 들어가는 등 나에게 정말 맞는 운동일까? 라는 의문점과 두려움이 생겨 중단

- 물리치료, 침, 도수치료, 추나요법, 마사지 : 정말 자주 받았던 것 같고 도수치료는 경추쪽 10회, 척추요추쪽 5회정도 받았음. 그러나 도수치료사에 따라 방식도 다르고 효과도 너무 달랐고, 퇴근후 저녁타임에 예약은 항상 예약이 모두 차있어서 제때 치료를 받기도 어려웠고,, 받는 당시에는 시원한 듯 하나 내가 정말 불편한 그 곳! 그 정확한 포인트를 나도 말로 설명을 못하고, 치료사도 모르고 그런부분이 많이 아쉬웠다. 결정적인건 매번 시간을 내서 비용을 내고 꾸준히 다니는게 너무 힘들었다.

-골타요법 : 뼈를 망치로 쳐서 제자리로 보낸다는 골타요법.. 1회에 10만원이나 했는데 한번 받아봤다.. 나같은 경우 경추부터 골반까지 전체적으로 틀어져있어서 골타요법이 필요하다고 하셨는데.. '타인'에게 내 뼈를 온전히 맡기기에는 겁이 나서 한번 받고 중단하였다.  (정말 망치같은걸로 뼈옆에 어떤..딱딲한거를 두고 망치로 탕탕 친다..ㅎㅎㅎ)


[SNPE를 만나게된 순간]


2018년 11월, 어김없이 역C자 통증 완화, 거북목, 엉치통증 등으로 SNS검색을 하다 'SNPE'라는 생소한 운동을 만나게 됩니다. 여러 후기를 읽어보고 웨이브베개, 다나손, 바른자세벨트, S바척 책을 구매하게됩니다. 웨이브베개와 다나손으로 목을 풀어주었는데,, 정말 신세계였습니다. 우와 이런 도구가 있다니 !! 그리고 책을 읽어보는데 '치아교정원리'에서 착안하여 운동이 만들어졌다고 합니다. 제가 그렇지않아도 2년전부터 치아 교정중이라, 왜 이빨은 교정이되는데 척추는 교정이안될까? 라는 생각을 했었는데.. 이렇게 이미 누군가가 운동을 창안했을거라고는 생각도 못했었습니다.

정말 작은 차이와 작은 생각의 변화, 실천으로 새로운 발명이 생기는구나! 를 느끼며 너무 기분이 벅찼습니다.

지금까지는 병원에서도, 운동하는곳에서도 이미 틀어진 뼈는 고치기가 힘들다, 이정도 틀어짐(측만)은 주변에 근육을 더 단단히 만들어 받쳐주는 방법밖에없다. 라고 들어왔는데,, 척추의 구조를 다시 바로 잡을 수 있다니 너무 혁명이었고 나도 드디어 내 척추라인을 바꿀 수 있겠다 라는 확신이 들었습니다.


[SNPE 100일 수련 시작 - 2019.3.9~현재까지]

 내가 할 수 있을까? 사실 이런 걱정이 제일 크게 들었습니다. 그런데 최중기 교수님의 첫 수업을 듣고 확신이 생겼습니다. 내 척추니까, 내가 잘 알고 지금까지 몰라왔다면 반성하고 더 열심히 알아가고, 내 페이스에 맞게 운동하면 되겠다. 라는 생각이 들었습니다.


처음에 어땠을까요?

T move : 처음에 웨배+웨스 위에서 T move를 로보트처럼 잘 하는 분을 보고 정말 어안이 벙벙 했습니다.. 저도 시도해봤는데 너무아파서,, 이걸 어떻게 하는거야? ㅇ_ㅇ 했습니다. 근데 지금은 자칭 티무버 입니다 ^^ (신랑이 퇴근할때마다 제가 티무브를 하고있으니 신랑이 지어준 별명입니다. T-mover~~)

L move : 처음 L move를 집에서 해봤을때 기억이 생생합니다. 다리를 내리는 순간 정말 ,, 골반쪽에 너무너무아픈 통증이와서 악 소리도 못내고 바로 스탑했습니다.

1번자세 : 정말..너무힘들었습니다. 두번째 수업에 인체균형테스트를 하는데.. 고작 5초 지났나.. 다리에 힘이풀려서 휘청했습니다. 워낙 다리근력도 약하고,, 무게중심이 앞으로 많이 쏠려있어서인지 정말 쉽지 않았습니다.

구르기 : 척추변위가 가장 심한 부분에 혹이 났고, 처음엔 정말 닿는거 자체가 소름끼치게 아파서 매트위에서도 30회밖에 못했습니다. 바닥구르기 하면 빠지직 빠지직 뼈 뽀개지는 소리가 납니다 ㅎㅎ


어떻게 수련했을까요?

전 스스로 매우 많이 굳어있다고 판단을 내렸습니다. 그래서 100일 수련 첫 한달은 '골반벨트+족궁보조구' 차고 퇴근후에 꼭 1시간씩 걸었습니다. 그리고 집에 들어와서 1시간씩 도구이완을 해줬습니다. 목, 어깨, 겨드랑이, 허리깎기(요방형근풀어주기), 엉덩이(무지아팠습니다), 허벅지, 무릎주변 도깨비손으로 문질러주기, 종아리, 그리고 발바닥까지.

도구이완은 정말 열심히 매일매일 피곤한 날에도 빼먹지 않고 했습니다. 도구이완을 제일로 많이 했고 구석구석 열심히 했다고 자부합니다. 그러다보니,, 2주뒤즘 티무브도 부드러워지고, 1번자세도 어깨가 활짝 열리고, 갑자기 2번자세가 완벽해지는 매직을 경험합니다!! 정말,, 도구이완 게을리하지 마세요! 굳어진것을 부드럽게 하라! 이게 정말 중요하다는 것을 몸소 체험했습니다.    일주일에 평균 6회정도 수련하였으며 순서는 걷기 -> 도구이완 -> 8가지동작 으로 진행했습니다. 그중에서도 구르기와 2번동작은 가장 마지막에 해주었구요! 8가지동작은 매일매일 모든 동작을 하지는 못했지만 1번, T 무브, L무브, 3번자세는 거의 매일 하려고 노력했습니다.





노력의 결과

<1> 1번자세 - 무게중심 뒤로 보내는게 전 정말 힘들었습니다.. 아직도 사실 완벽하진 않아요..좀만 오래버티면 아직 다리가 떨린답니다.. C자곡선이 많이 생겼고 가슴확장이 정말 많이 되었어요!

2) 2번자세  - SNPE를 처음 접했을때 2번자세는 시도조차 못했던 무서운 동작이었는데 허리 근육이 부드럽게 풀리면서 어느순간 너무 잘 되었어요! ^^ (도구이완의 효과입니다!!)


3) 3번자세 - 정말 다리 들어올리기 너무 힘들었습니다.. 무릎도 너무아팠구요, 온힘을 다해서 올렸는데 남편이 사진찍어줄 때 올린거야? 이게? 라고 했던게 기억납니다..ㅎㅎ 아직 부족하지만 이제 23도까지 올라갑니다!! :) 3번자세할때 허리시원함을 정말,, 최근에서야 느꼈어요


4) 구르기 자국 변화과정  - 엑스레이사진과 같이 정렬이 많~이 틀어져 있으며 교수님께서 변위가 가장 심한 T12, L1 이 부분에서(빨간 동그라미혹이 날 수 있다고 하셨는데 정말 이 부분 혹 때문에 첫 한달은.. 너무나 고생을 했습니다.. 눈물을 참으며 구르기를 매트위에서 30번정도씩만 시작했습니다.. (매트위에서해도 너무 아팠다,, 이 부분이 닿을때 그 찌릿하며 온몸에 전기가 도는거같은 아픔...) 그런데 신기하게도 한달이 지날때마다 통증이 줄어들었고 바닥구르기가 가능해졌고, 지금은 전혀 통증이 없습니다. 그리고 변위가 가장 심해서 혹이 났던 저 부분이 손으로 만져봐도 오른쪽으로 조금 이동했습니다! 다나손으로 척추 뼈 마디마디 풀어줄때 위에서부터 내려오다보면 변위된 T12~L2 부분은 꼭 다나손 위치를 왼쪽으로 더 이동시켰어야 했는데 (변위가되어서 턱 하고 걸림), 2주전부터 갑자기 다나손이 너무 부드럽게 걸리는부분 없이 허리를 내려와서 깜짝 놀랐습니다. 놀라고, 기뻤습니다

[SNPE 수련 92일만에 내 몸의 변화]



*중요*정확한 비교를 위해 같은 공간에서 같은 컨디션으로(사진밝기만 조금 다릅니다.. 밝기조절을 똑같이 못만졌어요), 그리고 최대한 같은 옷을 입고 촬영했습니다.

(사진속 민트 레깅스는 색이 예뻐 샀으나, 군살을 전혀 커버해주지 못하고 몸매를 적나라하게 드러내는 레깅스로 ^^.. 사놓고 입지 못하고 있던 레깅스인데, 정확한 전후비교를 위해 저 레깅스를 입고 찍었습니다.

정직한 카메라 DSLR로 촬영했으며, 아주 깐깐한 사직작가님(제남편인데요, 제가 조금만 힘줘서 스려고하면 아니지아니지~ 평상시처럼 서야지 힘빼고 다시서봐! 라고 하는....)과 함께 하였습니다 ^^)



(1) 척추의 정렬이 바로 잡히다 - 위 척추 X-Ray에서도 보이듯이 골반을 기준으로 일직선으로 선을 그었을 때 상체가 왼쪽으로 틀어져 쏠려있는 것을 볼 수 있습니다. 100일수련시작 전 사진에서도 몸이 왼쪽으로 많이 치우쳐있습니다. (사진이라서 왼쪽 오른쪽이 반대입니다~) 그리고 제 최대 컴플렉스.. 허리비대칭과 골반과 바로위쪽 툭 튀어나온 살 그러다 허리만 쏙 들어가는 이상한 몸매가 적나라하게 드러납니다. 그런데,, 어제 사진을 찍어보니 몸의 정렬이 정말 똑바라 졌습니다!!! 너무..놀라고..감격스러워서.. ㅠ_ㅠ 이맛에 SNPE 하나봅니다 정말


2) 무게중심중력선을 회복하다 - 목이 앞으로 나가있었는데 이제 딱히 힘을 안주고 신경을 크게 안써도 목이 자연스럽게 뒤로 이동했습니다. 전체적으로 무게중심중력선 회복이 많이 되었습니다

.3. 못생긴 엉덩이탈출! 어깨라인도 변화진행형 - 제가 엉덩이도 콤플랙스 중 하나였는데, 골반이커서 엉덩이도 큰편인데 탄력이없고 저렇게 아래로 쳐져있는 모양이었습니다. 이게 척추의 구조가 틀어져서, 바른 C자가 만들어지지 않아서 인줄도 모르고, 저는 저 엉덩이를 숨기고 싶어 일부러 엉덩이가 위로 올라가보이도록 배를 앞으로 내밀고 다녀왔습니다.. 이제는 허리를 똑바로 하여도 엉덩이가 많~이 올라왔습니다. 아직 골반 비대칭은 완벽히 해결하지 못해 (저희 흙탕물이자 가장 오래된 변위부분입니다) 양쪽 엉덩이 라인이 조금 다르지만 이부분도 많이 개선이 되었습니다. 그리고 어깨가 아래로 많이 쳐지고 앞으로 굽어있는 형태였는데 지금은 많이 펴졌고, 높이도 비슷해져가고 있는 중입니다. 그렇지만 어깨는 아직도 갈길이 멉니다 ^^.. 다음 체험사례엔 일자어깨 예쁜 쇄골로 꼭 올리고싶어요!

4. 골반라인의 변화, 힙딥이 사라지고 매끄러워졌어요! -  허리라인 비대칭과 더불어 골반라인 비대칭도 꽤 있는 편이었고 저는 나름 스트레스를 받아왔습니다. 저에게 매끈한 허리~골반 까지의 라인은 기대할 수 없는 부분이었습니다. 그리고 원래 내 체형이 이런가보다, 운동을 해도 이부분은 해결이 안되니 내 뼈가 그렇게 생겼나? 내 체형이 이런가보다,, 난 평생 비키니는 자신있게 못입겠다 라고 생각했었습니다. (비키니입으면,, 골반위쪽이 진짜 엄청 툭! 튀어나오고 허리 들어간 위치는 양쪽이 다르고,, 팔다리 상체는 가는데 복부, 골반쪽만 툭 밉게 튀어나왔었어요..) 정말 전혀 보정하지 않은 DSLR사진입니다, 골반라인이 많이 부드러워졌고 울퉁불퉁한 부분도 많이 사라졌습니다. 그리고 허리에서 골반 내려오는 라인이 너무좋아졌어요.. 저 올해는 꼭 비키니 도전해보겠습니다 ^^?


5. 아직은 변화진행중인 어깨선 -  른쪽 어깨가 많이 올라가 있었습니다. 목부터 어깨까지 근육이 많이 타이트해져 있었습니다. 티무브 할 때 오른쪽 등 푸는게 왼쪽 등보다 한 2배는 더 시간이 걸렸습니다. 아직 어깨 양쪽 대칭이 완벽히 맞지는 않지만 전체적으로 어깨라인이 위로 올라오고, 라운드숄더가 개선되었습니다.

6. 척추변위의 (T12~L3) 변화 (왼쪽에서 오른쪽으로 아주조금씩 무브무브 중입니다~)

 왼쪽은 본원수업때 찍은 사진입니다. 제 척추 X-RAY와 너무나도 정직하게 똑같이 변위된 형태가 보입니다. 구르기를 하면서 변위된 T12~L2쪽이 많이 자극이 되었고 매일 1시간씩 도구이완을 해주고 회사에서 일할땐 항상 다나손으로 척추 NP를 진행해온 결과로, 조금씪 척추 정렬이 바로 잡히고 있습니다.  다나손으로 NP포인트 잡고 척추부터 내려오다보면 항상 T12~L2쪽에서 턱 걸리기때문에 다나손을 왼쪽으로 살짝 움직여서 눌러주었었는데요, 2주전 즈음 부터는 걸리는거 없이 자연스럽게 내려옵니다 ^_^! 그치만 아직도 제 T12~L4까지는 전반적으로 왼쪽으로 치우져 있어요, 현재 무브무브중이므로 더 열심히!! NP 잡고, 구르기 할 예정입니다.


7. 뱃살타파! (복근은아직없어요..)  - 이사진은 사실 좀 창피했으나,, 올립니다. 위에도 썼듯이 저는 마른체형에 비해 복부, 골반쪽에만 살이 많이 붙었어요.. (중학교때부터요~) 그래서 친구들한테는 나도 뱃살빼야해 하면 정말 맨날 혼났습니다.. 그치만 저에게는 큰 고민이었어요,, 회사다니면서 건강검진을 하면 늘 '복부비만'이라고 나왔습니다. 사실 어느정도 포기하고 살고 있었습니다. 아무리해도 뱃살이 없어지지 않았어요... 무지했던시절입니다. 뱃살이 찌는 이유도 유독 복부 골반에만 살이 붙었던 이유도 모두 '구조'의 문제였기 때문이죠! 허리와 골반구조를 바로잡으니 뱃살이 자연스럽게 조금씩 빠지기 시작했습니다. 사놓고 허리 안맞아서 못입던 바지도 요즘 입어요..행복합니다. (고마워SNPE)

아직 복근은 없습니다...^^ 이제 뱃살이 빠졌으니 다음 체험사례는 복근! 도전하고싶습니다.


8. 피부, 생식으로 속건조 없애기~ 생리때도 뾰루지 걱정 없이!

저는 피부는 좋은 편입니다. 크게 트러블도 안나구요, 생리때 또는 가끔씩 피곤할때마다 염증성 여드름이 크게 한개씩 올라오곤 했습니다. 그런데 항상 건조함, 특히 속건조가 심했고 그러다보니 각질이 올라오고, 성인이되어서는 좁쌀 여드름 등 피부가 오돌토돌해지는 요철이 생기기 시작했어요 (특히 미세먼지가 심해진 근 2년동안 급 요철이 많아졌습니다). 아무리 좋은 화장품을 써도 잘 안없어지더라구요,, 100일 수련을 시작하면서 20일즘부터 생식을 먹기 시작했습니다. 이제 딱 한달 반정도 먹은 것 같습니다. 매일 아침 생식 1포+물 또는 두유를 타서 아침 대용으로 먹었어요! :)

일단 화장실도 잘 가서 너무 좋은데, 피부가 뭔가 촉촉!해졌습니다. 건조함도 많이 줄었구요, 속건조가 특히나 없어졌습니다. 사실 피부에 트러블은 안나고 깨끗한 편이지만 항상 푸석..푸석.. 윤기가 안났는데 요즘엔 피부에 윤기가 돕니다!

저는 평~생 생식 먹을거에요 ^_^  (사진엔 잘 안보이지만 왼쪽사진 푸석하고, 이마, 볼 등에 아주작은 오돌토돌 요철들이...)





9. 통증 - 통증의 변화를 빼먹을 수 없죠!

 (1) 목, 어깨 뻐근함 당김 저림 통증 : 완벽히 사라졌습니다. 저는 머리감다가, 침대에서 일어나다가, 약하게 스트레칭하다가도 목&어깨(날개뼈까지) 담이 심하게 걸리는 경우가 많았습니다. 심지어 제 담결림은 7살때부터 시작됐습니다. SNPE 수련을 하며 가장 먼저 사라진부분이 바로 목통증, 어깨통증입니다. 정~말 열심히 한 C무브와 (시간날때마다 틈 날때마다 했습니다, 웨이브베개->다나손NP->도깨비손마무리 코스) 매일매일한 T move 그리고 집중했던 도구이완 덕분에 금방! 통증이 해결 된 것 같습니다. 물론 지금도 갑자기 컴퓨터를 너무 많이 했거나 무리한 날엔 목이 굳어오는게 느껴집니다. 그럴땐 바로 C무브와 T무브를 해주면 금방 풀립니다. 수련하는도중 담이 딱 1번 왔는데, C무브 T무브로 바로 처리했습니다^^ (예전같았으면 물리치료받고~ 침맞고 했을텐데요..)

(2) 요추및 오른꼴 골반통증 :흙탕물 이었습니다. 사실 요추쪽 통증은 목,어깨에 비해 매일 있는 통증이 아니었습니다. 컨디션 안좋거나 집안일 많이했거나 하는 날 아팠습니다. 그런데 구르기를 제대로 시작하고 L MOVE를 열심히 하기 시작한후부터 오른쪽 골반위 (엉치쪽) 찌릿 저릿한 통증이 계속됐습니다. 사무실에서 계속 앉아있기가 매우 불편하고 힘들었습니다. 그렇지만 저는 치아교정을 하고 있었기 때문에 변화되는 과정에서 수반되는 통증은 너무나 당연하다는 것을 알았고 두려움이 없었습니다. 그냥,, 아프고 찌릿하고 불편해서 매일 신경이 쓰였을 뿐.. 위에서 여러번 얘기했지만 다나손으로 척추 NP 를 위에서부터 내려오는데 걸림이 사라진 2주전! 그때부터 통증이 많~이 사라졌습니다. 아침에 회사 출근해서는 허리가 많이 가벼웠고, 오래 앉아있다 한 오후 2-3시즘 되서야 그때부터 살짝 뻐근해지는 정도입니다. 물론 아직도 제 골반과 요추는 갈 길이 멀기 때문에 통증이 남아있지만 저는 서두르지 않고 천천히 제 페이스대로 계속 고쳐나갈겁니다.

(3) 생리통 완화 (진행중): 초등학교 6학년때 초경을 시작하던날 통증을 잊지 못합니다.. 학교에있다가 정말 배가 뒤틀리듯 아파서 조퇴를 했는데 그날 밤에 초경을 시작했습니다. 그이후, 제 생리통과 심지어 배란통은 매달 저를 너무 힘들게 했습니다. 중,고등학교때는 가끔 토를 하기도 했구요,, 첫날~ 둘째날은 거의 병자였습니다. 진통제를 달고 살았습니다. 한약, 산부인과검사, 좋다는 영양제 등등 많이 시도해봤지만 효과가 없었습니다. 생리통은 무지의 병이다, SNPE를 통해서 금방 해결할 수 있다 라는 교수님의 말씀을 듣고 3개월동안 배란통과 생리통을 관찰,기록 했습니다.

(4) 기타 변화들

- 수족냉증완화 : 손발이 정말 차서 잠잘때 수면양말 필수! 이고 혈액순환이 늘 잘 안된다고 한의원에서 들었었는데,, 요즘엔 손발이 따듯.. 몸도 따듯... 너무 신기합니다 ^^

- 뒷통수 모양? : 뒤통수가 정말 절벽이었는데요,, 물론 지금도 위쪽 뒤통수는 절벽입니다. 그런데 목 구조가 바로잡혀서인지 C자형태가 생기니 목에서 연결되는 뒤통수가 좀 입체감이 생겼어요 ^^ (뒤통수가 안예뻐서 머리를 잘 안묶는데 요즘엔 머리 묶어도 예쁘게 포니테일이 잡혀서..가끔 묶습니다 ㅎㅎ)

- 여성질환 사라짐 : 이유없이 저는 청소년기때부터 질염, 방광염에 가끔식 걸렸고,, 직장인이 되어서는 매년 2-3번씩 꼭 지나가는 질환이었는데요,, (3-4개월에 1번정도), 산부인가에서 이런저런 초음파를 받아봐도 딱히 문제되는 부분이 없었습니다. SNPE를 접하고 나서 작년 12월부터 현재까지 전혀! 증상이 없었습니다 짝짝짝~ (척추를 바로잡아야, 만병에 도움이 되는 것을 몸소 경험했습니다)

- 소화가아주잘됨 : 만성위염을.. 중학교3학년때부터 달고 살았습니다! 소화가 잘 안되는 것은 물론! 신물 올라오는 경우도 잦았는데 요즘은..정말 속이 너무 편안하고 좋아요 (속이편하다보니 짜증도 안나구 너무 좋습니다)


[체험사례를 마치며...]

쓰다보니,, 체험사례가 이렇게나 길어졌습니다.

3월9일부터 지금까지 정말 SNPE만 했습니다. 다른 운동 및 스트레칭은 전혀! 하지 않았습니다.

회사를 다니느라 평일에 하루 수련시간은 최대 4시간정도였고 평균 2.5시간 정도였지만..

3월부터 지금까지 정말 SNPE에 집중해서 생활했던 것 같습니다.


SNPE가 너무나 고맙고 소중한 이유는, 평생 할 수 있는 운동을 찾는다는게 정말 쉽지 않기 때문입니다.

척추,경추에 좋다는 다른 운동들을 해봤지만 모두 1년을 넘기지 못했던 이유는 나와 맞지 않았기 때문입니다. 변위되어있고 틀어져있는 딱딱하게 굳어있는 제 몸에 (우리 현대인의 몸에)는 무리가되는 동작들도 많았고 화려하고 멋진 동작들이지만 꾸준히 집에서도 따라하기는 어려웠습니다.


SNPE는 통증을 없애는 전문적인 운동이며, 척추와 경추 우리의 근골격계 구조에 맞추어 만들어진 운동이기 때문에 전혀 부상의 위험이 없습니다. 3개월동안 몸소 경험해보니 운동과정에서 생기는 상처들은 (구르기시 혹, 티무브시 까짐, 운동 도중 나타나는 흙탕물 등..) 부작용이 아니라 몸이 제자리를 찾아가는 과정에 나타나는 반응들이었습니다.


그리고 SNPE 운동은 정해진 기준이나 척도가 없습니다. 남과 비교할 필요가 없습니다.

저는 구르기가 정말 더뎠습니다. 티무브, 엘무브도 마찬가지였습니다. 그럴수록 더 제 몸에 대해 공부하고 어디가 더 아픈지 도구로 직접 누르며 확인하는 과정에서 해답을 얻었습니다. 사람들 몸은 모두 다 제 각각 다릅니다.

그래서 운동도 자신의 몸에 맞게 자신만의 루틴을 만들며 해야한다는 것을요 ~ ^^

SNPE는 언제 어디서든, 시간에 구애받지 않고 장소에 구애받지 않고 어렵지 않은 동작들만으로도 척추를 바로잡을 수 있는 너무나 고마운 운동입니다.


저도 처음에는 나만 이 동작을 못하나? 내 몸은 왜 이게 안될까 라고 생각하는 시기가 있었지만 운동을 하다보니 '급하게 하면 체한다'라는 생각이 들었습니다. 저는 20년넘게 어려서부터 척추가 틀어져 있었고 7살때부터 고관절 통증이 있었기 때문에 지금 이 3개월만의 변화가 그저 놀랍고, 신기합니다.

욕심부리지 않고 앞으로도 계속 꾸준히 수련 할겁니다~^^ 진정한 척추미녀가 되는 그날까지요!!



마지막으로, 최중기교수님 윤지유 교수님 감사합니다.

SNPE를 알게되서 전 정말 복 받은 것 같습니다 ^^

저도 홍익인간의 정신으로 SNPE를 널리널리 알리고 싶습니다.

그리고 3개월동안 매주 일요일 함께 보냈던 94기 동기분들 만나게되서 너무 행복했어요헤헤 (하트)







































다음검색
현재 게시글 추가 기능 열기
  • 북마크
  • 신고 센터로 신고

댓글

댓글 리스트
맨위로

카페 검색

카페 검색어 입력폼