[103기 김미선] 이번 생은 망했다 싶으면 셀프로 인생 2회차 만들어보자

작성자에스엔피이|작성시간20.09.10|조회수792 목록 댓글 0

원문글 보러가기




나이 : 40대

성별 : 여

직업 : 예비강사

통증 : 허리디스크, 역c목, 목어깨통증, 휜다리, 습진, 생리통, 수족냉증, 위장장애, 소화불량, 복부팽만, 비염, 사시, 저혈압, 혈액순환장애, 하지부종, 건망증, 만성피로, 근막통증, 발바닥통증 등등.

병명 : 허리디스크, 부정맥, 무지외반증, 족저근막염, 역류성식도염, 역류성위염, 과민성대장증후군,자궁내막증-수술

SNPE를 하게 된 계기 : 유튜브 휜다리 검색

운동참여기간 : 1년

1주 평균 운동횟수 : 6-7일

??? : 선생님.. 저는 정말 이번 생은 실패인가봐요. 엄마 뱃속에 도로 들어가서 몸도 마음도 AS 받

고 나오고 싶은데 아무리 돈이 많아도 그건 안된다네요.. 저 같은 의지박약은 환골탈태를 할만한 노오오력도 능력도 딸리고.. 진짜 남은 인생이 너무 지루해요.. 빨리 다시 태어나고 싶어요..

※환골탈태 : 뼈를 바꾸고 태를 벗다라는 뜻으로, 몸과 얼굴이 몰라볼 정도로 아름답게 변하거나 시나 문장이 완전히 새로워졌음을 이르는 말.



인생 1회차 시절


학교 다닐 때 제 별명은 ‘실험체’, ‘종합병원’, ‘아톰다리’, ‘로봇’, ‘변온동물’ 뭐 이런 거였어요.

몸 어디든 손대기만 해도 아프고, 가만히 있다가 갑자기 머리카락이 춤 출 정도의 부정맥에, 허벅지보다 종아리가 굵은 하지부종, 이세상 다시 없을 뻣뻣함, 특히나 체온유지가 안되서 겨울엔 상의 7겹, 하의 3겹을 입어도 옷과 몸이 따로 놀아서 체온이 전혀 올라가지 않았어요.

샤워할 때도 뜨거운 물줄기를 계속 맞고 있어도 심장부근이 차가웠고, 잘 때도 난방을 아무리 팍팍 틀고 오리털이니 거위털이니 극세사니 별별 포근한 이불에 포근한 잠옷을 입어도 체온이 오르지 않아 불면증 아닌 불면증을 겪곤 했어요. 심박수도 자고 있는 것도 아닌데 평균 분당 50회, 혈압은 종종 측정불가 혹은 기계오류가 날 정도로 낮고, 기계에서 가장 낮게 나왔던 혈압은 80-40 정도였던 것 같아요.

심장으로 유명한 병원 가서 24시간 기계 달고 생활하는 검사를 받았는데 결과는 뭐 사는데 큰 문제는 없어보이니 서른 넘어서도 증상이 계속되면 다시 오라더군요…


                        

안 갔어요. 안 죽었으니까.

3살때부터 아토피, 습진, 각종 피부염으로 피부과를 다니다가 약바르면 낫고, 안 바르면 또 생기고를 반복하길래 아 이건 불치병이구나 싶었고, 7살인가부터 기관지가 안 좋아서 꾸준히 이비인후과를 다녔는데 고딩때 일반 계절성 비염에서 알러지성 비염이 생겼다는 얘기를 듣고 아, 이것도 불치병이구나 해서 그냥 끌어안고 살았어요.

비염 때문인지뭔지 코피가 수시로 흘러서 혈관땜빵 수술도 3번이나 했네요. 학교 다닐 때 요긴하게 잘 써먹었는데 하필 고3때부터 땜빵 수술이 효과를 봤는지 더 이상 나지 않아 안타까웠죠(?). 얼마 전에 친정동네에 갔다가 제가 어릴 때부터 다니던 그 피부과, 그 이비인후과가 아직도 잘되고 있는 것을 보고 참 감회가 새롭더라구요.

무지외반증, 족저근막염은 14-15센티 킬힐이나 통굽을 사랑하던 저에겐 당연한 거였고, 하지부종은 체질인 줄 알았어요.

생리통, 소화불량 같은 건 병이라고 생각도 안 했어요. 남들보다 좀 심하게 겪는 편이구나. 각종 소화계통 질병은 신경성이라고 하니 무딘 마음으로 살아야겠다, 스트레스 안 받고 무시하고 살아야겠다, 그렇게 20-30대를 보냈어요.

그런데 결혼한지 몇 년이 지나도 아이가 생기지 않고 생리통은 너무 심해서 주기적으로 검사를 받았는데, 아이 대신 자라던 물혹이 있어서 제거 수술을 받으려고 했더니 내막증도 있었더라구요. 결과적으로는 내막증 수술까지 같이 했어요. 호르몬 조절한답시고 약먹으면서 생리를 안 하던 그 6개월이 얼마나 천국같던지.

이후 다시 시작한 생리통은 이전보단 나았지만 아픈 건 여전했어요. 전에는 회사를 못 나가고 쉬었다면 이후에는 회사에 가서 아픈 모습을 보여주고 반차쓰고 오는 수준이었어요 ㅋㅋ

스트레스 받지 말자, 마음 편하게 갖자, 밝게 긍정적으로 살자, 스트레스가 만병의 근원이니까.

아파서 병원에 가봤자 전부 진단은 스트레스성, 치료는 스트레스 받지 마세요. 그놈의 스트레스.

                   

이때까지도 전혀 몰랐죠.

스트레스라는 것이 근육의 경직이라는 것을.

그런데, 스트레스를 안 받는 줄 알았는데, 어느날 움직이지도 못하고 아무 생각도 못하고 그저 멍하니 있다가 갑자기 울음이 나와서 그날로 회사를 나와서 일주일을 회사를 안 나가고 쉬다가, 심리상담센터를 갑니다. 회사에서도 직원복지로 심리상담센터도 있었고, 네일아트랑 마사지도 한달에 한번씩 받을 수 있었지만 그 모든 복지를 매번 다 챙겨 먹어도 만족스럽지가 않았거든요.

암튼 그렇게 집근처에 있던 상담센터에서 상담해주신 임상심리사가 그 날 바로 옆에 정신건강의학과를 가보래요. 옆에 붙어있길래 갔더니.. 의사쌤이 내일 아침 대학병원 응급실을 가래요. 가서 입원하래요.

나름 그 의사쌤은 저에게 충격요법을 시행하고 싶으셨나 봅니다.

다행히 입원하지 않을만큼 정신을 잡고 대학병원 교수님과 잘 상담해서 중증우울증, 강박장애로 진단서 떼고 저를 도통 놔주지 않으려던 회사를 떼어내게 됩니다.

1년 반동안 꼬박꼬박 병원 잘 다니고, 약 잘 먹고, 이제 더 이상 약 안 먹고 일상생활을 해도 됩니다.

혹시 또 힘들어지면 오세요, 라고 병원에서 저를 드디어 손절한게 2019년 4월이었어요.

그 때 교수님이 이제는 운동도 좀 하고, 새로운 사람들을 만나보세요 라고 하셔서, 무슨 운동을 할까 검색하다가 눈에 띈 게 SNPE.

참 서론을 길게도 썼죠? ㅋㅋ


인생 1.5회차


이때까지는 퇴사하고 살이 계속 빠지던 시기라서 46-47을 오가며 수치상으로는 모델사이즈를 찍고 있었기에 이 기회에 몸매를 다듬어보자 싶은 생각이었어요. 뼈마디는 드러날 정도인데 똥배는 볼록하고 다리는 원래도 오다리였는데 살 빠지면서 더 앙상하게 보이면서 심해졌거든요.

유튜브에서 각종 헬스, 필라테스, 요가, 물리치료사들의 오다리 교정 영상을 보다가 매우 생소한, 듣도보도 못한 SNPE라는 것의 휜다리 교육영상을 보게 됐는데 접근방법이 다른 운동들과 달랐어요. 단순히 외반슬, 내반슬로만 보지 않고, 골반이 어떻게 틀어졌는지, 무릎이 어떤 방향인지, 발목이 어떻게 생겼는지, 다 똑같은 오다리가 아니더라구요. 그 때 처음으로 내 몸의 틀어짐을 하나하나 찾아보게 됐어요.

사실 휜다리 교정할라고 강남 세x병원도 다녀보고, 엄마손 약손도 다녀보고, 온갖 교정운동을 해봤지만 별로 신뢰도 안되고 도움도 안됐거든요. 근데 SNPE는 왠지 될 것 같았어요! 시간도 많고 할 것도 없는데 해보자 싶어서 벨트만 사서 해봤어요.



아니 이거 왜 이렇게 크게 올라가나요 ㅠㅠ 암튼 구르기는 실패.


벨트 구매하기 전에 처음 해본 1번. 왼쪽의 이 사진은 찍어놓고 잊어버리고 있다가 오늘에서야 다시 봤네요. ㅎㅎ 저렇게나 팔이 틀어져있었다니.. 오른쪽은 글 쓰기 전에 찍은 사진입니다. 같이 뒷모습을 찍었어야 하는데.. 가장 오래전 비포사진을 찾다보니 비교가 잘 안되네요;;

아무튼 체험을 해봤으니 집에서 꾸준히 홈트할 수 있도록 한번쯤 배우자 싶어서 교육기관을 알아보니 문화센터는 3달을 결제해야 하는데다가 시간도 애매하고 나는 당장 하고 싶은데, 지금 이 마음이 며칠이나 갈지 모르는데 더 기다릴 수는 없겠다 싶어서 본원을 알아보니 한승은 강사님의 베이직 클래스가 있더라구요!

6월이 되어 처음 강의를 듣는 시간. 웨이브베개라는 것을 접하고 누웠는데 눈앞에 별이 보이고 머릿속에 스파크가 튀면서 눈물이 나더라구요. 아니 여기서 좌우로 움직이라니.. 눕기는 했는데 좌우는커녕 다시 일어나지도 못할 것 같은데 ㅋㅋㅋㅋ

목이 한쪽으로 잘 안 돌아가고 어깨가 무겁고, 고개를 한바퀴 돌리는 것도 못하고, 고개를 젖히는 건 불가능한 일이고. 그건 다 사무직하는 모든 사람들이 다 그런거 아닌가? 나이들어서 몸이 굳는 건 당연하지. 살다보니 틀어졌겠지.

… 그 클래스에서 저만 안되더라구요.. 제가 생각하던 ‘다 그런 거겠지’는 ‘나만 그런 거’였어요.

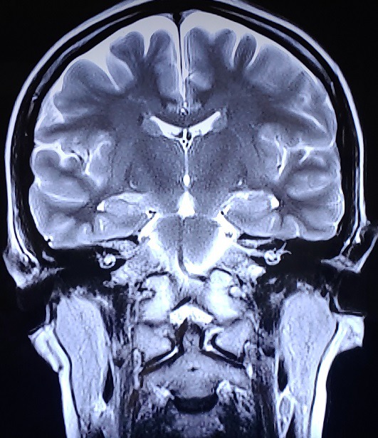
그러고보니 몇 년 전 욕실에서 기절하는 바람에 뇌진탕으로 신경외과에 입원했었는데 그 때 찍은 MRI 에서 약간의 목디스크, 허리디스크가 있다고 했었어요. 근데 그 의사쌤은 ‘요즘 사람들 이정도 다 갖고 사는데 뭘~ 못 걷겠거나 막 심하게 저린거 아니면 괜찮아. 뇌에는 이상없어. 교과서에 실려도 될 정도로 멀쩡하니까 근육쪽만 주사 맞고 물리치료 하자. 내일도 와.’ 라고 하셨습니다..

그렇게 한달을 매일같이 병원에 가다가 이건 아니다 싶어서 우울증 핑계로 안 나갔어요 ㅋㅋ

근데 그 때 그 말을 들은 의사쌤이 ‘어, 나도 우울증 있어. 자낙스 먹지? 나도 그거 먹어봤는데 효과 좋더라. 나 심심한데 좀 자주와서 놀아주라’ ………….. 제가 만난 의사들은 왜 다 이럴까요.







2017.12.30 경추 회전변위/ 요추 회전변위 / 디스크돌출/ 2020.1.10 역C자 목




당시에는 제가 몇 번 디스크라고 말도 안 해주셔서 몰랐는데 이번 지도사 과정을 배우면서 스스로 알게됐네요. 4-5번 디스크 돌출과 약간 요추후만..으로 보이네요.

그리고 엉덩이는… 네, 소멸한 상태구요.

목디스크는 잘 모르겠지만 2년여만에 다시 찍어본 X-ray에서는 확실히 역c자 목이구요.

뭐 아무튼 디스크도 다 문제없이 운동을 한다고 하고, 저는 특히 목이 허리보다 더 심하게 아팠었기 때문에 웨베를 사서 매일 한시간씩 C무브를 했습니다. 고개를 좌우로 움직이는게 통증이 아닌 시원함이 될 때까지 한달이 걸린 것 같아요. 웨베를 무리없이 베고 자는데까지는.. 잘 모르겠어요. 어느 순간부터 꿀잠 자고 있었으니까요 ㅎㅎ 그래도 적어도 4-5개월은 걸린 듯 합니다. 어쨌든 초반의 SNPE는 매일매일 자기 전에 C무브만 1시간 이상을 했어요. 다시 회사를 다니면서 틀어진 몸을 막 쓰다보니 C뭅이라도 안 하면 잠을 잘 수가 없었어요. 구르기는 거의 못했고, 일하는 중간중간 1번만 매일 3번 이상 하면서 자세를 잡아갔죠. 기지개 대신 1번을 계속 했어요.

쉬는 날에는 T무브를 하는 날로 잡고 다나손으로 꾹꾹 눌러주거나 웨베를 가로로 대고 움직이는데, 이것만 하는데도 한나절이 걸렸어요. 일단 처음 댄 자리에서 움직이질 못하고 가만히 있다가 겨우 적응해서 좌우로 움직이는건데, 등 전체를 훑으려다보니 두 세시간이 훌쩍 지나더라구요~ 한번은 뭣도모르고 타원도자기를 극돌기에 댔다가 잠시 기절하기도 했어요 ㅋㅋ

이렇게 세 달을 나름 열심히(!) 몸을 풀면서 이 정도면 숙련자 과정을 할 수 있을 거야! 라고 착각하고 다음에 들은 수업이 작년 10월 방심하지마 프로젝트였습니다. 그 때의 후기는 여기를 읽어보시면 될 듯 해요.

그때서야 집에서 하던 운동은 운동이 아니라 그냥 생존재활 수준이었고 정상인(?)이 되기엔 멀고 멀었구나 라고 실감했습니다. 그래서 나중에 지도사 과정을 들으면 나도 더 드라마틱한 변화를 겪을 것이고, 그 100일간 정말 치열하게 운동해야지 라고 마음을 먹었었습니다.

현실은 매우 달랐지만요 ㅎㅎ 오히려 그 때는 없었던 각종 흙탕물에 절여지면서 이번 지도사과정은 너무너무 힘들었어요. 그래도 그 때 그렇게 매일같이 미션을 클리어하면서 내 몸이 바뀌는 경험을 한번 했기에 그 이후 하루도 빠짐없이 운동을 할 수 있었습니다. C무브를 10분이라도 하던가, 웨베를 10분을 밟던가 어쨌건, 도구를 한번도 손에 쥐지 않은 날은 없었어요. 이 지도사과정을 지나면서 제가 얻은 가장 큰 수확은 진정한 습관성형이라고 생각합니다.



사실 체형의 변화를 올리기에는 지금 제 몸이 우당탕탕 오락가락 하는 시기라 바른 자세를 보여드리기는 어렵지만, 이게 바로 환골탈태의 과정이 아닌가 싶어요.

단단하게 굳어있던 근육이 부드러워지면서 비로소 뼈가 움직이기 시작하는 것이니 왼쪽이 틀어졌던 게 오른쪽으로 다시 틀어질 수도 있고, 바른 위치였던 게 틀어진 위치로 가 있을 수도 있죠. 없어졌던 소화불량이 다시 생길수도 있지만 흙탕물이다보니 닦아내면 금방 사라지더라구요. 그래서 저는 요즘 매일같이 투레일로 척추 뼈마디를 닦아내듯 뽀득뽀득 샤워를 해주고 있습니다.





2020.6 / 2020.8.1 / 2020.8.2



휜다리는 사진처럼 오락가락 합니다. 바른자세걷기와 내전근 강화를 잘 한 날은 곧아보였다가, 조금이라도 힘이 빠지거나 운동을 소홀히 하면 바로 틀어지기도 해요. 수업을 들으면서 정말로 깨달은 건 우리 몸은 한군데만 보고 그것만 치료할 것이 아니라 전체를 보고 골고루 운동을 해야 몸이 정말 올바르게 선다는 것입니다.

그리고 그렇게 하다보면 어느 순간 정말 내가 그렇게 아팠던 적이 있었나? 내가 그랬었던가? 싶을 정도로 자연스럽게 몸이 변화되어 있어요.

저 위에 썼던 온갖 통증 중 지금 남아있는 건 하나도 없어요. 얼마 전 건강검진에서는 시력도 좋아졌더라구요.





참고로, 2017년은 안경 낀 시력이고, 라섹 후 1.0 / 0.9였습니다. ㅎㅎ

키는 원래 아래 사진처럼 163.9였는데... 조금 쪼그라들어 있었다가 다시 운동하면서 회복한 것 같아요!!

0.1cm의 문턱을... 넘고 싶은데 잘 안되네요




부주상골 있는 분들 꽤 계시죠? 운동 하다보니까 들어가긴 해요 ㅎㅎ

내용은 별거 없는데 각종 TMI가 난무하다보니 글이 쓸데없이 길어졌네요.

사실 제일 큰 변화는 어깨말림과 얼굴비대칭이 좋아진 건데 아직 부끄럽게도 짝짝이라.. 다음 체험사례에 쓰려고 합니다!

마지막으로 제일 하기 싫지만 오다리에 가장 도움이 되는 3번 자세를 올리며 스스로에게 자극을 주고 끝마칠게요



                            

인생 2회차는


덧. 제가 좋아하는 사람이 이런 말을 했어요.

나는 나의 40대가 기대된다. 40이라는 숫자는 생의 절반이라 다시 새출발을 하는 느낌이라고.

저도 올 여름으로 딱 40(만)이 되었는데 지금부터는 제 인생 2회차인 것 같아요.

환골탈태의 과정은 고통스러울 수 있지만, 그 결실은 꽤나 달콤할 듯 해요 ㅎㅎ

저를 이 snpe에 발 담글 수 있도록 유튜브에 강의를 올려주신 윤지유 교수님과 snpe학회분들, 첫 수업에서 완전 홀릭하게 만들어주신 한승은 강사님, 방심하지마 수업에서 저를 1차 변태(!)시켜주신 이은경 강사님, 이민진 강사님, 전정민 강사님, 정지은 강사님, 103기 교육에 아낌없이 공부를 풀어주신 정대영 강사님, 김소현 강사님, 한소희 강사님.

그리고 대대손손 전세계로 알려질 국민운동을 만들어주신 최중기 교수님께 정말 감사드립니다. 좋은 강사가 되어서 더 많이 snpe를 알릴게요 💕




다음검색
현재 게시글 추가 기능 열기
  • 북마크
  • 신고 센터로 신고

댓글

댓글 리스트
맨위로

카페 검색

카페 검색어 입력폼