CAFE

양자역학

자기공명영상(MRI)의 원리

작성자유토피아|작성시간21.03.03|조회수2,100 목록 댓글 0

자기공명영상 (magnetic resonance imaging)

 

 

 

 

자기공명영상(MRI)

 

원자핵은 평소에는 자유자재로 각 방향을 축으로 회전운동을 하고 있다.

그러나 일단 강한 자기장에 놓이면 그 자기장의 방향과 평행하게 회전축이 정렬되는데 완전히 일치하지는 않고 약간의 경사각을 갖는 세차운동(precession)이 일어난다.

이 세차운동의 속도는 자기장의 세기와 밀접한 관계가 있어 자기장이 셀수록 빠르게 된다.

 

또한 같은 세기의 자기장에서 세차운동의 속도(주파수)는 원자핵에 따라 고유 수치를 가지게 된다.

이렇게 자화(磁化)되어 있는 원자핵에 고주파를 가하면 그 에너지를 흡수해 고에너지 상태가 되었다가, 다시 고주파를 끊으면 흡수했던 에너지를 방출하면서 원래의 상태로 돌아가게 된다.

 

이때 방출되는 에너지는 가했던 고주파와 똑같은 형태의 고주파를 방출하는 공명현상이 일어난다.

이렇게 원자핵이 고유하게 방출하는 고주파를 예민한 안테나로 모아서 컴퓨터로 영상화한 것이 MRI이다(→ 자기공명).

 

이러한 핵자기공명 현상은 원자번호가 홀수인 원자에서만 일어나는데 현재 임상적으로 쓰이는 MRI는 인체에서 가장 많은 홀수번호 원소인 수소(H:원자번호 1)를 이용한 것이다.

또한 나트륨·인·요오드·질소를 이용한 MRI도 가능하며 실제로 연구가 활발하게 진행되고 있으나 아직 실험단계이다.

 

 

현재까지 MRI는 주로 신경계통(중추 신경계, 두경부, 척추와 척수 등)의 이상병변을 찾기 위해 사용되었으나, 실제로 사용범위는 비교적 넓다(→ 의학).

 

① 중추신경계에서 대뇌반구의 병변, 뇌혈관을 침범하는 질환, 뇌막염과 같은 염증성 질환, 뇌종양의 여부, 뇌출혈, 선천기형 등을 검사할 때,

② 두경부에서 비인후종양, 림프절의 검사, 혈관 침범 여부, 종괴의 정확한 위치와 그 내용물의 성질을 파악할 때,

③ 척추와 척수에서 추간판탈출증의 진단, 선천성 기형, 충격손상 후에 척수가 눌리는지 검사하려 할 경우,

④ 흉부와 심혈관부에서 폐암의 전이 여부, 흉골 종양의 침범 여부, 폐기관지나 혈관의 침범, 심방·심실의 검사,

⑤ 복부·골반부에서 간종괴의 성질, 신부전 및 신장이식 수술 후의 거부반응 여부의 평가, 골반 내의 혈관 림프절과 난소의 구분,

⑥ 근골격계에서 종양의 침범 정도, 대퇴골두의 무혈관성괴사 진단, 대수술 후 경과의 관찰 등이다.

 

 

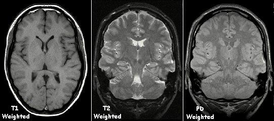
MRI의 영상을 나타내는 용어는 다음과 같다.

 

T1강조영상(T1 weighted image)이란 조직간의 T1이 서로 다른 데 따른 신호강도의 차이를 강조한 영상이다.

T1이란 종축이완시간(longitudinal relaxation time)으로서 고주파를 가한 후 원래의 축으로 돌아가는 데 걸리는 시간을 의미하며, 고주파를 반복해서 가하는 시간 사이의 간격인 반복시간(repetition time/RT)이 짧을수록 강조되어 나타난다.

 

T2강조영상이란 T2에 의한 조직간의 서로 다른 신호강도의 차이를 강조한 영상이다.

T2란 횡축이완시간(transverse relaxation time)으로서 고주파를 가한 후 수소 원자들이 서로 부딪치면서 원래의 축과는 다른 방향으로 돌아가는 데 걸리는 시간을 말하며, 반복시간이 길수록 강조되어 나타난다.

T1강조영상에서는 물은 검정색(신호강도가 낮음)으로 보이고, 지방이나 단백질 등은 농도의 차이에 따라 다르지만 회색 또는 흰색(신호강도가 높음)으로 보인다.

T2강조영상에서는 물이 반대로 흰색으로 보이고 지방이나 단백질은 그보다 어두운 색으로 보인다.

 

 

자기공명영상(MRI)의 장점과 단점

 

 

MRI에서 볼 수 있는 영상은 기존의 여러 단층 촬영 기술이 갖는 장점을 고루 갖추고 있다.

① 인체의 생리적 또는 기능적 정보를 얻을 수 있다.

② 비침습성 검사이므로 환자에게 불필요한 고통을 줄일 수 있다.

③ MRI는 단층촬영 영상을 보여주는데 기존의 전산화단층촬영(CT)에 비해 조직간 대조가 우수하다.

④ 연부조직간의 구분이 용이하다. 즉 근육과 지방, 혈관과 근육, 뇌의 회백질과 백질 등을 쉽게 구분할 수 있어서 정상조직과 병적인 조직의 구분이 기존의 장비보다 명확하다. 또한 각 시기에서의 혈종의 영상이 특이하여 뇌를 비롯한 각종 출혈성 질환의 진단 및 시기의 판정이 용이하다.

⑤ 횡단면 촬영만이 가능한 CT와는 달리 MRI는 관상면과 시상면도 촬영할 수 있고, 필요한 각도의 영상을 검사자가 선택하여 촬영할 수 있다. 이러한 능력은 인체의 해부학적·병리적 형태 변화를 3차원적으로 보여줄 수 있어서 병변의 정확한 위치의 파악이 가능해진다. 따라서 수술방법의 결정 및 방사선 치료계획의 수립, 그리고 추적 검사에 대단히 유용하다.

⑥ MRI에서는 움직이고 있는 혈류의 신호 강도가 정지해 있는 인체조직과 다르다. 즉 심장·동맥·정맥의 혈액과 뇌척수액 등은 일정한 속도로 이동하기 때문에 전자파에 의한 자기공명신호를 수신할 수가 없다. 따라서 통상적인 스핀-에코법 촬영상에서 움직이는 혈류는 무신호로 까맣게 나타나서 주위 조직과 대조되어 나타나므로 특별한 경우를 제외하고는 조영제가 필요없다.

⑦ MRI는 T1이완시간(종축이완시간), T2이완시간(횡축이완시간), 수소의 밀도, 혈류의 운동상태, 병변의 화학적 성분 등 여러 요소가 영상 형성에 관여하므로 촬영기법이 다양하다.

 

따라서 검사자가 필요에 의해 병변을 찾아내기에 적합한 조건을 설정하여 촬영할 수 있으며 기계의 조작이 간편하다.

기존의 진단을 위한 방사선 검사에서 우려되었던 방사선 노출이 없다.

 

그러나 MRI는 고가의 의료장비로 인해 검사료가 비싸며, 촬영시간이 오래 걸린다.

또한 심장보조작동기 등 각종 금속 장비를 부착한 환자는 검사할 수 없고, 검사공간이 협소하여 환자 혼자 들어가야 하므로 중환자나 응급처치를 요구하는 위급한 환자와 폐소공포증이 심한 환자는 찍을 수 없는 단점이 있다.

 

 

 

다음검색
현재 게시글 추가 기능 열기

댓글

댓글 리스트
맨위로

카페 검색

카페 검색어 입력폼