골절상을 입었을때! 갈비뼈 부러지거나 금 갔을 때 이렇게 해라?!!

작성자해피터치쌤|작성시간21.07.22|조회수3,496 목록 댓글 0

 

갈비뼈 금이 가거나 부러졌을 때 증상은?

 

뼈가 부러진게 아닌

살짝 금이 간 정도라면 통증이 심하지 않을 수 있습니다.
담이 걸린 듯한 통증과 불편함이 있을 수 있습니다.

 

활동이나 근육이 움직이는 부위에 따라서
통증이 있기도 하고 없기도 할 수도 있답니다.
그렇기 때문에 몸을 계속 혹사하거나 사용하게 되면서
부러지거나 더 크게 악화되면서 고생하는 수가 많은 것이기도 하답니다.

살짝 금이 간 정도를 벗어나서 부러진 경우에는 정말로 조심하셔야 한답니다.
부러진 갈비뼈의 뾰족한 부분이 신체 내의 다른 장기들을 찌를 수 있기 때문이랍니다.


폐를 찌르게 되면서 공기나 피가 새어 나올 수가 있답니다.

그렇게 되면 호흡곤란, 저혈압, 수술 등을 해야 하는
상황으로 번질 수도 있기 때문에 조심하셔야 한답니다.
따라서 반드시 구급차, 엠브란스 등을 이용해서 병원으로 옮기셔야 한답니다.
그렇지 않으면 호송하는 과정에서 위험한 상황이 생길 수 있기 때문입니다.

 

감기에 걸리지 않도록 조심하셔야 한답니다.

감기나 재채기를 하게 되면 갈비뼈에 자극을 가하기 때문입니다.
숨을 쉴 때마다 갈비뼈는 “넓혀졌다, 오므라졌다….” 하는
과정을 반복하게 됩니다. 그런데 기침이나 재채기 같은 것들을
순간적인 충격에 해당되기 때문에 극심한 통증을 유발할 뿐만 아니라
갈비뼈가 빨리 붓는 것을 방해하고 상태를 더욱 악화 시킨답니다.


갈비뼈 회복기간?

부러지거나 금이 간

갈비뼈가 붙기까지는 보통 6~8주정도 걸린다고 합니다.
그리고 정상적인 활동이 가능한

갈비뼈 회복기간이라는 것은 3~6개월정도 된다고 합니다.
이 정도의 기간이라면 일상, 학업,
업무에 막대한 지장을 초래하기 때문에 평소에 조심하셔야 한답니다.

물론 이 기간이라는 것은 개인의 건강 상태,골밀도, 나이,

관리방법 등에 따라서 차이가 있답니다. 

 

 

두달전 소금이 가득담긴

무거운 소금항아리 두개를 옮기고나서
골반과 허리에 통증이 생겨 두달을 고생하였습니다
한의원에서 침치료와  자석요법 셀프테라피 등으로 
허리의 요추부분 통증은 치료가 되었지만
골반의 틀어짐으로 인한 통증은 쉬 없어지지 않고 괴롭혔습니다

 

                                   질변혈 (골반교정혈자리 / 전립선비대증 치료혈)

 

자가골반교정법으로 골반쪽의 질변혈을 눌러서 골반교정을 시도해봤지만
조금 나아지는듯하였지만 완전하게 골반통증이 사라지지 않았고
한의원 추나요법 하는곳에 가서 골반교정을 해달라고 요청을 하였더니

나이가 많아서 골반교정이 되지 않는다는 답변이었습니다
내가 생각컨데 골반교정은 자신이 없으니 하는 변명인듯 싶어습니다

하는수없이 고민끝에 60평생 처음으로 안마원이라는곳을 찾아서
안마를 받아보면 골반통증이 좀 나아질까 하는 마음으로 7월19일
안마원이라는곳에 가서 1시간여동안 안마를 받았습니다
그렌데 안마라는게 요혈을 지압하면서 근육의 긴장과 경결을 감지하고
풀어주는곳인줄 알았는데 이분은 무조건 힘으로 주물러서 안마를 하더군요

아무래도 좀 미심쩍어 경력을 물었더니 10년차라고하는데
본인은 손감각이 예민하지 못해서

근육의 경결이나 뭉친것을 느끼지 못한다고 하더군요 
헐! 돌파리인 나도 그정도는 느끼는데
아무래도 잘못온거같단 느낌이 들었지만 안마를 받고 돌아왔습니다

 

힘으로 근육을 주물렀으니

안아프던곳도 이곳저곳이 아팠지만 그런가부다 하고
하루밤을 지나고 다음날이 되었는데 

우측 견갑골 아래쪽으로 뭔가 맞추고 아픈 통증이 느껴졌습니다

대수롭지 않게 생각하고 하루를 넘겼는데 다음날 7월 21일은

아침부터 우측 견갑골 아래쪽으로 결리고 아픈 통증이 심해지고 

숨을 쉴때도 결려오고 우측팔을 움직여도 결리고 아파서
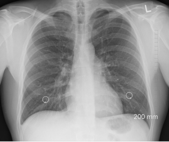
앗차! 싶었고 아무래도 갈비뼈 골절이 의심되어

정형외과에 가서 엑스레시 찰영결과
갈비뼈가 약간 금이 간게 발견이 되었습니다

황당하고 어이가 없었지만 안마사가 일부러 고의적으로

그런게 아니니 좋게 합의를 보려고 전화를 했더니
대뜸 하는말이 안마를 받은날은 아프다는 말이 없이

그냥 돌아갔는데 갈비뼈에 금이간게 자기와는 상관이 없다는 오리발이었습니다

참으로 황당하고 어이가 없었습니다 

고의적으로 그런게 아니기에 진심으로 사과를 하면

적당한 선에서 합의를 볼까 했는데 참으로 괘씸하였습니다
보건소로와 소비자보호원으로  전화 걸어문의를 해봤는데 

답변이 어이가 없습니다 이런경우 무자격자가  안마를 한게 아니고

그날 병원에가서 엑스레이를 찍은게 아니라서 증명을 하기가 쉽지 않고

법적으로는 제제 방법이 없다면서 경찰서에 가서 고소고발을 하라는 내용이었습니다

 

헐! 나도 대체의학을 23년째 하고 있는데 고소고발을 하고

이 무더운 여름날 고소고발을 하고 경찰서에서 오라가라 할것이고

설령 고소고발이 한다고 할지라도  합의금이 얼마나 받을수 있을것인가?

으로 난감하고 황당할뿐이었습니다

 

다행히도 저는 대체의학을 23년 하면서

한의원 원장님들과 많은 교류가 있었고 전통한의학적인 방법으로

골절상을 입거나 뼈가 금이갔을때 치료하는 방법을 알고 있고

그방법으로 많은 분들께 상담을 해드렸고 대다수가 큰 효과를 보셨고


2년전에도 헬스장에서 레그프러스라는

운동기구를 이용하다가 우측 앞가슴 갈비대가 살짝 금이갔었을때도

한달정도 통증이 지속될거라는 진단을 받았지만 뼈가 골절되었을때

한달정도 고생할거라는 병원 진단과 달리

 

뼈가 금이갔을때 뼈가 빨리 붙게하고 통증을 없애주는
어혈방 자석 치료방법을
알고 있기에 3000가우스 스텐자석으로

좌우 양쪽에서 어혈방 혈자리에 자석을 붙혔고 2주만에 완치되었습니다


그때는 우측 앞가슴 갈비뼈에 금이갔을때는

어혈방을 쓰자말자 쏴아하니 마치 사이다를 먹은것처럼

통증부위에 통증이 즉시 줄어들면서 시원함을 느꼈는데
이번에는 나이가 있어서인지 어혈방을 썼음에도 불구하고

그런 느낌을 느낄수없었지만 아침에 자고 일어나니

어제와 달리 숨을 쉴때나 우측 팔을 움직일때
약간 상체를 숙일때의 등쪽 갈비대 결림증상은 거의 느껴지지 않습니다

어혈방 자석요법 

하루동안 내내 어혈방에 3000가우스 스텐자석을 붙히고 있는동안은
통증이 크게 느껴지지 않고 생활에 큰 불편함은 없은데
문제는 무더운 여름날씨에  테이핑 테프로  8곳에 테이핑을 붙히고 있으니
피부에 트러블이 생길까하여  24시간이 지난후 어혈방 자석을 떼어내었습니다


자석을 떼어낸후 잠을 자면서 갈비뼈 골절부위에

약간 결림과 통증이 다시 느껴졌지만 피부가 회복될 시간을 주기위해 
어혈방을 다시 붙히진 않았습니다 아침에 일어나서 움직임이 있을때마다
처음보다는 덜하지만 결림과 통증이 느껴져서 좌우 양손의 

수지침 상응혈에 서암봉금색과 은색으로 어혈방처방을 응용해서 붙혔더니
자석으로 치료하는것만큼 효과가 강하지는 않치만 그래도 통증은 견딜만하네요

인터넷을 검색해보니 갈비대 금이간 경우도 안정을 취해야 한다고 하는데
마라셀을 하루3번씩 복용하면서 자석요법으로

어혈방 처방을 좌우 양쪽에 하면서 앞으로의 치료과정을 올려보겠습니다

 

 

 

PS : 7월 25일

 

폭염과 무더위 때문에 어혈방 혈자리에
테이핑테프로 24시간 자석을 붙히고 있으면
피부에 문제가 생길까 염려하여 처음 하루 정도는
24시간 3000가우스 자석을 어혈방에 붙혔다가
다음날부터는 저녀에 붙히고 아침에 떼어내기를 반복하고 있습니다

어혈방을 쓰기전에는 갈비뼈 금이간곳이 숨을 쉬거나
팔을 움직이는 동작을 취할때마다 결리고 아파왔는데
어혈방을 쓴 첫날은 통증을 거의 느끼지 못했고
그 다음날 낮시간은 어혈방을 쓰지 않아서 인지

약간의 통증이 느껴질 정도로만 불편함을 느꼈구요

3일째 되는 날부터는 낮시간에 어혈방을 사용하지않고
저녁에 붙히고 아침에 떼어내길 반복하는데두
갈비뼈에 금이간 사실을 깜빡 잊고 있을 정도로
통증을 전혀 느끼지 못하고 있습니다

아마도 어혈방자석요법과

SAC칼슘 마라셀 하루 3번 복용의 덕택인것 같습니다 

 

 

 

 

 

 

 

 

다음검색
현재 게시글 추가 기능 열기
  • 북마크
  • 신고 센터로 신고

댓글

댓글 리스트
맨위로

카페 검색

카페 검색어 입력폼