간질성 폐질환이란?
우리는 폐를 통해 공기중의 산소를 흡입하는데 우리의 코와 입으로 들어마신 산소는 폐포라고 하는 기관지의 가장 끝에 있는 아주 작은 공기주머니까지 도달한 후 그곳에서 주위에 위치한 작은 모세 혈관들로 녹아 들어갑니다.
이렇게 산소가 녹아 들어간 혈액은 심장을 통해 우리 몸의 여러 조직에 공급됩니다.
반대로 이산화탄소는 모세 혈관으로부터 폐포로 나와 다시 호흡을 통해 공기중으로 내뱉어지게 됩니다. '
간질(間質, interstitium)'이라고 하는 곳은 이 폐포라고 하는 공기주머니의 벽에서부터 주위 모세 혈관의 벽까지의 공간을 말합니다.
다시 말하면 폐와 우리 몸 사이에 ‘산소와 이산화탄소의 교환이 일어나는 벽’이라고 생각할 수 있습니다.
폐포로부터 모세 혈관까지 산소가 녹아 들어가는 공간인 간질에 염증이 생기고 섬유화가 일어난다면 기관지를 통해 들어온 산소가 혈액 속으로 잘 녹아 들어가지 못하는 것은 당연할 것입니다. 그러니까 쉬고 있을 때는 괜찮다가 운동을 하여 우리 몸이 산소를 많이 필요로 하게 되면 그 산소 요구량을 충족시켜 주지 못하기 때문에 숨이 차게 되는 것입니다.
- 정의
-
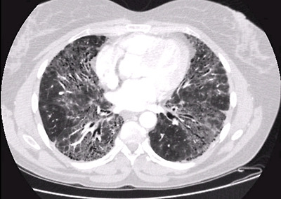
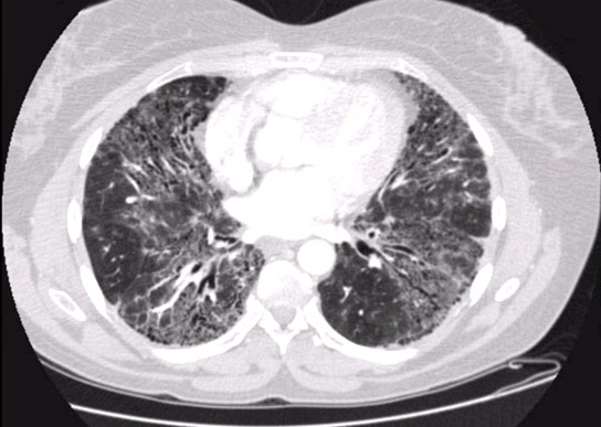
폐간질(interstitium)이란 폐포벽을 이루는 조직을 지칭하며 폐포상피세포와 내피세포와 그 기저막, 이를 둘러싸는 결체조직 및 모세혈관과 림프관들을 모두 포함합니다. 미만성 간질성 폐질환(DILD)은 간질을 주로 침범하는 비종양성, 비감염성 질환들을 총칭하지만, 이들 질환들의 대부분에서 간질뿐 아니라 그 주위의 조직과 페포 내에도 병변이 동반됩니다.

- 원인
-
미만성 간질성 폐질환은 진폐증 등의 직업성 폐질환, 환경적으로 접촉되는 여러 가지 유기물질에 대한 과민성 폐렴, 약제에 의한 폐질환, 유전성 질환, 류마티스성 관절염이나 공피증 등의 교원성 질환의 폐침윤, 방사선 폐렴, 또한 최근에 우리나라에서도 빈도가 증가하고 있는 유육종증 등 다양한 원인에 의해 발생할 수 있습니다.

- 증상
-
임상적으로 운동 시 호흡곤란과 마른 기침을 주 증상으로 하며, 흉부방사선학적으로 폐침윤이 양측 폐에 미만성으로 광범위하게 관찰됩니다. 몇 개월 또는 몇 년에 걸쳐 서서히 악화되며, 갑자기 생긴 경우에는 며칠 만에 악화되기도 합니다. 간혹 관절통이 생기는 경우도 있습니다.

- 진단
-
폐기능검사에서는 폐확산기능이 감소되고 폐활동량 등 폐용적이 감소하는 제한성 폐기능 장애 소견이 관찰되고, 동맥혈가스분석 검사 상 저산소혈증, 특히 운동 시에 산소농도가 감소되는 것이 특징입니다.

- 치료
-
소수에서는 점진적인 섬유증과 주요장기의 장애 발생으로 스테로이드 치료를 필요로 하게 되는데, 처음 유육종증의 진단 후 어떤 단계에서부터 치료를 시작하는지에 대해서는 아직 논란이 있습니다. 일반적으로 증상이 심하고 악화되는 경우에 해당합니다.