벌어진 앞니와 왜소치의 치아성형치료
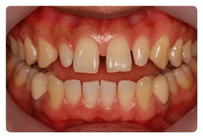
1. 치료 전 환자분의 치아상태
앞니가 다른 사람에 비해서 벌어져 있는 모습을 보실 수 있습니다.
그 옆치아는 다른 치아에 비해서 작죠.
그러인해서 치아가 점차적으로 벌어지는 현상도 함께 생기구요.
일반교정적인 치료를 통해서는 치열을 가지런하게 도움을 줄 수 있으나
치아의 형태를 이상적으로 만들기에는 무리가 있습니다.
결국 치아의 벌어진현상을 교정하고 치아의 형태를 심미적으로 개선하기 위해서
라미네이트 치아성형을 선택하셨습니다.
치료기간이 약 2 주 정도 걸렸구요.
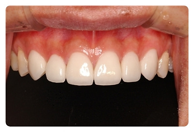
2. 치료 후 환자분의 치아상태
▶ 라미네이트 치아성형의 가격은
1) 비보험 진료과목으로 치과마다 비용이 다르구요
2) 앞니성형에 이용되는 도자기의 종류에 따라서 비용은 달라지구요.
도자기수준은 투명도.강도.색상에 따라서 차이가 있구요.
3) 추가적인 치료에 따라서 비용은 상승합니다. (예) 잇몸성형. 치아미백 등
4) 대략 도자기의 비용은 치아 당 50-90만원 정도 예상하시면 되구요.
다음검색
스크랩 원문 :
그대가 머문자리

