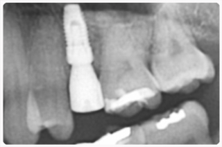
어금니 임플라늩 수술전후
치과명 : 강남사과나무치과병원
진 료 : 임플란트 수술
의사명 : 임플란트 의학박사 김명섭 병원장
임플란트 임상경력 19년의 김명섭 병원장님의 임플란트 수술 케이스.
김명섭병원장님의 임플란트는 [즉시 기능 임플란트]로, 발치후에 바로 임플란트를 심는 것으로, 사회생활에 불편함이 없도록 임플란트 기간을 혁신적으로 단축하였다.
다음검색
어금니 임플라늩 수술전후
치과명 : 강남사과나무치과병원
진 료 : 임플란트 수술
의사명 : 임플란트 의학박사 김명섭 병원장
임플란트 임상경력 19년의 김명섭 병원장님의 임플란트 수술 케이스.
김명섭병원장님의 임플란트는 [즉시 기능 임플란트]로, 발치후에 바로 임플란트를 심는 것으로, 사회생활에 불편함이 없도록 임플란트 기간을 혁신적으로 단축하였다.