CAFE

실습 레포트

류마티스 관절염(RA)

작성자이수진|작성시간13.03.14|조회수138 목록 댓글 0

류마티스 관절염

정의

 "다발성 관절염을 특징으로 하는 원인 불명의 만성 염증성 질환"

과정- 관절을 싸고 있는 활막에 염증이 발생 → 점차 주위의 연골과 뼈로 염증이 퍼져 관절의 파괴와 변형을 초래.

관절뿐만 아니라 관절 외 증상으로 빈혈, 건조증후군, 피하 결절, 폐섬유화증, 혈관염, 피부 궤양 등 전신을 침범할 수 있는 질환.

 

원인

 류마티스 관절염의 정확한 원인은 아직 밝혀지지 않았지만 자가면역현상이 주요 기전으로 알려져 있다. 자가면역이란 외부로부터 인체를 지키는 면역계의 이상으로 오히려 자신의 인체를 공격하는 현상이다. 일반적으로는 유전적 소인, 세균이나 바이러스 감염 등이 류마티스 관절염의 원인으로 생각되고 있다.

 

 

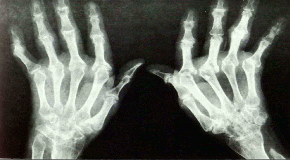
류마티스 관절염 환자의 손 X-선 사진 
양손의 관절이 모두 심하게 파괴되어 있고 손가럭의 모양이 변형되어 있다. 

 

 

 

증상

 어떤 원인에 의해서든 관절 안에 있는 활막(synovium, 윤활막)에 염증이 생기면서 혈액 내의 백혈구들이 관절로 모여들게 되고, 그 결과 관절액(joint fluid)이 증가하여 관절이 부으면서 통증이 나타나게 된다. 이러한 염증이 지속되면 염증성 활막 조직들이 점차 자라나면서 뼈와 연골을 파고들어 관절의 모양이 변형되고, 관절을 움직이는 데 장애가 발생한다.

 류마티스 관절염은 전형적으로 초기부터 손가락, 손목, 발가락 관절 등이 주로 침범되며, 병이 진행함에 따라 팔꿈치관절, 어깨관절, 발목관절, 무릎관절 등도 침범된다. 이러한 관절에 통증, 뻣뻣함, 종창(염증이나 종양 등으로 인하여 부어 오른 것) 등의 증상이 수 주에 걸쳐 서서히 나타난다.

 류마티스 관절염의 증상은 전구증상과 관절증상, 관절 외 증상으로 나누어 다음과 같이 살펴볼 수 있다.

 

1) 전구증상: 2/3정도의 환자에서 피로감, 식욕 부진, 전신 쇠약감, 애매모호한 근육 및 관절 증상이 먼저 나타나며, 이어서 활막염이 발생한다. 이러한 전구 증상은 수 주일에서 수개월에 걸쳐 나타나며 이 단계에서는 진단이 어렵다.

2) 조조강직: 조조강직이란, 아침에 자고 일어나서, 또는 오랜 시간 한 자세로 있는 경우 관절이 뻣뻣해져 움직이기 힘들다가 시간이 조금 지나서야 움직이는 것이 좋아지는 현상을 말한다. 류마티스 관절염에서는 이러한 조조강직이 1시간 이상 지속되는 것이 특징이다.

3) 관절증상: 초기 류마티스 관절염의 중요한 특징은 침범된 관절의 통증과 종창이다. 진단에 중요한 증상은 손에서 많이 발견되는데 류마티스 관절염은 손가락의 중간마디와 손바닥 부위를 잘 침범하고, 손가락 끝마디의 관절은 잘 침범하지 않는 경향이 있다. 침범된 관절은 만지면 아프고 움직임이 제한되며, 손바닥의 홍반이 동반되기도 한다. 또한 손목을 뒤로 굽히는 데 장애가 생기고 손가락을 굽히는 데에도 장애가 생긴다. 주먹을 꽉 쥘 수 없는 경우도 많으며, 이러한 증상은 진단뿐 아니라 질병의 활성도와 진행 정도를 파악하는 데 도움이 된다. 무릎은 우리 몸에서 가장 큰 관절로 류마티스 관절염 초기에는 잘 침범되지 않지만, 전 기간을 놓고 보면 80% 이상의 환자에서 침범된다. 침범된 무릎은 부어 오르고 압통이 있으며 관절액의 삼출도 잘 나타난다. 그 밖에도 팔꿈치, 발과 발목, 엉덩이 관절, 척추, 턱 관절을 침범할 수 있다.

4) 관절 외 증상: 류마티스 관절염은 관절 이외에도 여러 장기를 침범할 수 있다. 피하 결절은 팔꿈치, 손가락, 치골, 아킬레스건 등에 나타나는 딱딱한 결절이다. 또한 빈혈이 잘 동반되는데 이는 질병의 활동도, 특히 관절의 염증 정도와 상관관계가 있다. 심장, 폐, 눈, 신경, 간 등에서 전신 침범이 발생하면 병의 경과 및 치료 결과가 나쁠 수 있고, 특히 혈관염, 아밀로이드증, 폐섬유증이 여기에 해당된다. 전신 침범의 증상으로는 발열, 전신 쇠약감, 체중 감소 등이 있다.

 

진단

 류마티스 관절염을 확실하게 진단하는 검사법은 아직 없다. 따라서 특징적인 증상, 검사 결과, 방사선학적 징후 등을 종합하여 의사의 판단으로 진단을 내리게 된다.

현재 다음 7개의 항목 중 4개 이상을 만족하고 1)~4)의 항목의 증상이 6주 이상 지속될 때 류마티스 관절염 진단을 내리게 된다. 초기 류마티스 관절염은 증상이 애매모호하기 때문에 평균 9개월 정도 진단이 지연되는 경향이 있다.

1) 조조강직: 관절이나 관절 주변의 뻣뻣함이 1시간 이상 지속됨

2) 세 부위 이상에 나타나는 관절염: 의사의 진찰로 3개 이상의 관절에서 동시에 붓기와 삼출이 관찰됨

3) 손 관절의 관절염: 손목, 손가락 중간마디 관절, 손바닥 관절 중 한 관절 이상의 종창

4) 대칭성 관절염: 좌우측의 같은 관절에 증상이 나타남

5) 류마티스 결절: 뼈가 튀어나오거나 관절의 한쪽에 만져지는 피하 결절

6) 혈액검사에서 류마티스 인자 양성

7) X-선 검사에서 발견되는 뼈의 침식 징후

 

치료

 어떠한 약제도 류마티스 관절염을 완치시키지는 못한다.

류마티스 관절염에 사용되는 약제로는 비스테로이드성 항염제와 스테로이드, 항류마티스약제와 TNF 차단제 등이 있다.

 

예방방법

류마티스 관절염의 발병은 예방할 수 없지만, 전문의에 의한 조기 진단과 적절한 치료를 통해 증상을 완화하고 관절 변형을 줄일 수 있다.

생활 가이드

1) 교육

환자로 하여금 치료 프로그램에 적극적으로 참여하고 약물을 잘 복용하게끔 교육하는 것이 매우 중요하다. 각 의료기관에서 시행하는 관절염 환자 교육 프로그램을 이용하는 것이 좋다.

2) 휴식

관절염에 의한 에너지의 소모를 줄이고, 염증이 있는 관절을 쉬게 하여 염증의 회복을 기대할 수 있다. 따라서 증상이 악화되었을 때는 쉬는 시간을 늘리고 염증이 가라 앉을수록 활동량을 늘리는 것이 좋다.

3) 운동

관절염이 심한 활동기에는 약한 정도의 운동만 하는 것이 좋으며, 염증이 가라앉을수록 근력을 강화하는 적극적인 운동을 시행한다. 운동의 종류에 따라서 관절의 손상이 증가할 수 있으므로 주의해야 한다.

 

류마티스 관절염의 통증을 줄이는데 좋은 운동

 류마티스 관절염 증상에 좋은 운동 '수영'은 수압이 부드럽게 관절과 근육을 마사지하여 관절과 근육을 부드럽게 이완시켜주고, 마사지하는 작용을 주어 류마티스 관절염 증상을 완화시킴.

또한 자신의 체중으로 인해 걷기가 힘들거나 운동이 힘든 분들의 경우 물 속에서 부력을 이용하여 편하게 운동할 수 있어 무리 없이 유산소 운동을 할 수 있다.

단, 충분한 준비운동을 통해 관절이나 근육이 차가운 물에 놀라지 않도록 충분히 대비한 후 물 속에 들어가는 것이 충분히 다리 힘이 약하신 분들의 경우에는 수영장 바닥이 미끄러울 수 있으니 근처에 잡을 것이 있는 곳에서 운동을 하는 것이 좋다.

 류마티스 관절염 증상에 좋은 운동'산책'은 가장 수월하게 어디에서나 가능한 운동법으로 낮에 하는 산책은 관절에 통증을 완화시켜 준다.

햇빛과 사람의 피부가 만나면 천연 진통제인 세로토닌이 분비가 되는데이 세로토닌은 '류마티스 관절염'증상으로 인한 통증을 완화시켜주고 마음을 편안하게 해주는 효과가 있다.

따라서 낮 시간을 이용하여 20분~30분 정도 약간 땀이 날 정도의 빠르기로 걷는 것이 좋으며 관절이 많이 안 좋으신 분들의 경우 처음부터 무리하기보다는 5분, 10분, 15분씩 시간을 조금씩 늘려가며 운동량을 늘려가는 것이 좋다.

 

 

 

 

 

 

 

다음검색
현재 게시글 추가 기능 열기

댓글

댓글 리스트
맨위로

카페 검색

카페 검색어 입력폼