
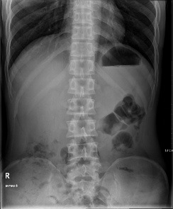
전반적인 복부의 전처치 상태, Liver, Spleen, Kidney, Stomach등의 크기와 형태 및
Calcification이나 Mass등의 유무를 관찰 한다.
Iliac Crest 에서 위로 5~7cm지점에 수직입사
14 " X 17 "
환자는 가능한 Erect Position을 취한다.
AP Position에서 몸무게를 양발에 균등 분배 시키고 양 어깨를 동일 횡단면에 놓고
양팔이 Cassette에 닿지 않도록 약간 벌린다.
치골 결합에서 상복부까지 포함 시켜야 한다.
척주는 사진의 중앙에 있어야 한다.
늑골, 골반, 사진의 양측 가장자리에서 똑같은 자리에 있어야 한다.
■ 자료제공 : 산재의료관리원 안산중앙병원 영상의학팀
다음검색
스크랩 원문 :
근로복지공단 안산산재병원 영상의학팀