CAFE

건강관리

정형외과 시술의 역사

작성자dhleepaul|작성시간25.11.26|조회수146 목록 댓글 0

정형외과 수술망사

정형외과 의사와 신경외과 의사 가 치료하는 질환 중 하나인 하부 경추 골절
D019637
위키데이터에서 편집 ]

정형외과 의사직업이름직업 유형활동 분야설명필요한 교육
취업 분야

대퇴골 간부 구조의 개방적 정복 및 내부 고정(ORIF)을 수행하는 정형외과 의사
전문
의학, 외과
병원, 진료소

정형외과 수술 또는 정형외과 ( 다른 철자 정형외과 )는 근골격계 와 관련된 질환을 다루는 외과 분야입니다 . [ 1 ] 정형외과 의사는 근골격계 외상 , 척추 질환 , 스포츠 부상 , 퇴행성 질환 , 감염, 종양 및 선천적 질환을 치료하기 위해 수술적 및 비수술적 수단을 모두 사용합니다 .

어원

추가 정보: 국제 과학 어휘 및 영어에서 사용되는 그리스어 형태소 목록

니콜라스 앙드리(Nicholas Andry) 는 프랑스어로 'orthopédie' 라는 단어를 만들어냈는데 , 이는 고대 그리스어 ὀρθός orthos ( "올바른", "곧은")와 παιδίον paidion ("아이")에서 유래한 것입니다. 그는 1741년에 'Orthopedie '( Orthopædia: Or the Art of Correcting and Preventing Deformities in Children [ 2 ] 로 번역됨 )를 출판했습니다 . 이 단어는 영어권에서 'orthopædics'로 동화되었으며, 당시 그리스어 와 라틴어 기반 단어에서 'ae'를 뜻하는 'æ'가 흔히 사용되었습니다 . 이름에서 알 수 있듯이, 이 분야는 처음에는 어린이를 대상으로 발전했지만, 모든 연령대의 척추 및 뼈 기형 교정은 결국 정형외과 진료의 초석이 되었습니다. [ 인용 필요 ]

철자의 차이점

"æ" 합자 에서 파생된 많은 단어와 마찬가지로 , 특히 북미 지역에서는 "ae" 또는 "e"로 축약하는 것이 일반적입니다. 미국에서는 대부분의 대학, 대학교, 레지던트 과정, 심지어 미국 정형외과학회(American Academy of Orthopaedic Surgeons) 에서도 이중모음 ae를 사용한 철자를 여전히 사용하고 있지만 , 병원에서는 보통 축약형을 사용합니다. 다른 지역에서는 용법이 통일되지 않습니다. 캐나다에서는 두 철자 모두 허용됩니다. 영국에서는 "orthopaedics"가 일반적인 철자이며, "ae"를 유지하는 다른 분야와 일치합니다. [ 출처 필요 ]

역사

초기 정형외과

정형외과 수술의 많은 발전은 전쟁 중의 경험에서 비롯되었습니다. [ 3 ] 중세 전장에서는 부상자를 말의 피에 적신 붕대로 치료했는데, 이 붕대가 말라서 비위생적이기는 하지만 딱딱한 부목이 되었습니다. [ 인용 필요 ]

원래 정형외과라는 용어는 어린이의 근골격계 기형을 교정하는 것을 의미했습니다. [ 4 ] 파리 대학교 의학 교수인 니콜라 앙드리(Nicolas Andry) 는 1741년 이 주제에 대해 쓰인 최초의 교과서에서 이 용어를 만들었습니다. 그는 어린이의 기형을 치료하기 위해 운동, 조작 및 부목을 사용할 것을 옹호했습니다. 그의 책은 부모를 대상으로 했으며 오늘날 정형외과 의사에게 익숙할 수 있는 일부 주제가 있었지만 '손바닥의 과도한 땀'과 주근깨도 포함되었습니다. [ 5 ]

장 앙드레 베넬은 1780년 최초의 정형외과 연구소를 설립했는데, 이는 소아 골격 기형 치료를 전문으로 하는 최초의 병원이었습니다. 그는 발 기형을 가지고 태어난 아이들을 위한 내반족 신발과 척추 만곡을 치료하는 다양한 방법을 개발했습니다. [ 출처 필요 ]

18세기에 존 헌터 의 힘줄 치유 연구와 퍼시벌 포트 의 척추 변형 연구 등 외과 기술이 발전하면서 효과적인 치료에 사용할 수 있는 새로운 방법의 범위가 꾸준히 확대되었습니다. 선구적인 영국 정형외과 의사 로버트 체셔는 1790년 하체 골절 치료에 사용되는 이중 경사면을 발명했습니다. [ 6 ] 네덜란드 군의관 안토니우스 마테이센 은 1851년 석고 모형을 발명 했습니다 . 그러나 1890년대까지 정형외과는 여전히 소아의 기형 교정에만 국한된 연구였습니다. 개발된 최초의 외과 시술 중 하나는 경피적 건 절단술이었습니다. 이는 보조기 및 운동과 함께 기형을 치료하기 위해 원래 아킬레스건이었던 힘줄을 절단하는 것을 포함했습니다. 1800년대 후반과 1900년대 초반에는 정형외과에 외과 시술을 포함해야 하는지에 대한 상당한 논란이 있었습니다. [ 출처 필요 ]

현대 정형외과

현대 정형외과 수술의 선구자 휴 오웬 토마스

현대 정형외과 수술의 발전을 도운 사람들의 예로는 웨일즈 출신 외과의사 휴 오웬 토마스 와 그의 조카 로버트 존스가 있습니다 . [ 7 ] 토마스는 어린 나이에 정형외과와 뼈 고정 에 관심을 갖게 되었고, 자신의 진료소를 설립한 후 골절 및 기타 근골격계 문제의 일반적인 치료로 분야를 확장했습니다. 그는 강제 휴식을 골절 과 결핵 의 가장 좋은 치료법으로 주장했으며 , 골절된 대퇴골을 안정시키고 감염을 예방하기 위해 소위 "토마스 스플린트"를 만들었습니다. 그는 또한 자신의 이름을 딴 수많은 다른 의료 혁신을 주도했습니다. 즉, 경추 결핵을 치료하기 위한 토마스 칼라, 고관절 골절에 대한 정형외과적 검사인 토마스 기동, 환자를 침대에 평평히 눕혀 고관절 기형을 탐지하는 방법인 토마스 테스트 , 골절을 줄이기 위한 토마스 렌치, 그리고 뼈를 부러뜨리고 다시 맞추기 위한 소위 "파골세포" 도구 등이 있습니다. [ 출처 필요 ]

토마스의 업적은 생전에 충분히 평가받지 못했습니다. 제 1차 세계 대전 중에야 그의 기술이 전장 에서 부상당한 병사들에게 사용되기 시작했습니다 . 그의 조카인 로버트 존스 경은 1888년 맨체스터 운하 건설의 외과 의사 감독관으로서 정형외과 분야에서 이미 큰 진전을 이루었습니다. 그는 2만 명의 근로자 중 부상자를 담당했고, 세계 최초의 종합적인 사고 지원 서비스를 조직하여 36마일 규모의 현장을 세 구역으로 나누고 각 구역에 병원과 일련의 응급 처치소를 설립했습니다. 그는 의료진에게 골절 관리 교육을 실시했습니다. [ 8 ] 그는 직접 3,000건의 사례를 관리하고 자신의 병원에서 300건의 수술을 수행했습니다. 이 직책을 통해 그는 새로운 기술을 배우고 골절 관리 수준을 향상시킬 수 있었습니다. 전 세계의 의사들이 그의 기술을 배우기 위해 존스의 진료소를 찾았습니다. 존스는 1894년 알프레드 터비와 함께 영국 정형외과 학회를 설립했습니다.


제1차 세계 대전 중에 존스는 지역군 외과의로 복무했습니다.그는 전선과 본국 병원에서 골절 치료가 부적절하다는 것을 관찰했고 그의 노력으로 군 정형외과 병원이 도입되었습니다.그는 30,000개의 병상을 책임지는 군 정형외과 감독관으로 임명되었습니다. 해머스미스 의 듀케인 로드에 있는 병원은 영국과 미국 군 정형외과 병원의 모델이 되었습니다. 대퇴부 골절 의 초기 치료에 토마스 스플린트를 사용하는 것을 옹호함으로써 1916년에서 1918년 사이에 대퇴골 개방 골절의 사망률이 87%에서 8% 미만으로 감소했습니다. [ 9 ]

대퇴골과 경골 골절 치료에 골수강내 고정술을 사용하는 것은 독일의 게르하르트 쿤처(Gerhard Küntscher) 에 의해 선구적으로 이루어졌습니다 . 이는 제2차 세계 대전 중 부상당한 독일 병사들의 회복 속도에 상당한 변화를 가져왔고 , 전 세계적으로 골절의 골수강내 고정술이 널리 채택되는 계기가 되었습니다. 그러나 1970년대 후반 시애틀의 하버뷰 메디컬 센터(Harborview Medical Center) 그룹이 골절 부위를 절개하지 않고 골수강내 고정술을 대중화하기 전까지는 견인 술이 대퇴골 골절 치료의 표준 방법이었습니다.

고관절 교체 수술 의 X선 사진

현대의 전체 고관절 교체술은 1960년대 영국의 Wrightington 병원 에서 마찰학 전문가 인 John Charnley 경에 의해 개척되었습니다 . [ 10 ] 그는 관절 표면을 뼈에 고정된 임플란트로 교체할 수 있다는 것을 발견했습니다.그의 디자인은 스테인리스 스틸 , 일체형 대퇴골 줄기와 머리, 폴리에틸렌 아세타불러 구성 요소로 구성되었으며 둘 다 PMMA (아크릴) 뼈 시멘트를 사용하여 뼈에 고정되었습니다 .20년 이상 Charnley 저마찰 관절성형술과 그 파생 디자인은 전 세계에서 가장 많이 사용된 시스템이었습니다.이것은 모든 현대 고관절 임플란트의 기초를 형성했습니다.

엑시터 고관절 치환술 시스템(스템 구조가 약간 다름)이 동시에 개발되었습니다. 찰리 이후, 인공관절 치환술 의 설계와 기술은 끊임없이 발전해 왔으며, RI 해리스의 아들인 WH 해리스를 비롯한 많은 전문가들이 이에 기여 했습니다 . WH 해리스는 하버드 대학에서 뼈가 임플란트에 직접 결합되는 무시멘트 인공관절 치환술 기법을 개척했습니다.

유사한 기술을 사용하는 무릎 교체술은 1970년대에 McIntosh가 류마티스 관절염 환자를 대상으로 시작했으며 이후 Gunston과 Marmor가 골관절염 환자를 대상으로 시작했으며 뉴욕의 John Insall 이 고정 베어링 시스템을 사용하여, Frederick Buechel과 Michael Pappas가 이동 베어링 시스템을 사용하여 개발했습니다. [ 11 ]

골절의 외부 고정은 베트남 전쟁 중 미국 외과의에 의해 개량되었지만 , 소련 의 가브릴 아브라모비치 일리자로프 가 큰 공헌을 했습니다 .그는 정형외과 훈련을 거의 받지 않은 채 1950년대 시베리아 에서 부상당한 러시아 군인들을 돌보기 위해 파견되었습니다 .장비가 없었던 그는 치유되지 않고 감염되고 정렬이 맞지 않는 골절로 극심한 고통에 직면했습니다.지역 자전거 가게의 도움으로 그는 자전거의 스포크처럼 긴장된 링 외부 고정 장치를 고안했습니다.이 장비를 사용하여 그는 다른 곳에서는 들어본 적이 없는 정도로 치유, 재정렬 및 ​​연장을 달성했습니다.그의 일리자로프 장치는 오늘날에도 신연 골형성 방법 중 하나로 사용됩니다. [ 12 ]

현대 정형외과 수술과 근골격계 연구는 수술의 침습성을 줄이고 이식된 구성 요소를 더 좋고 내구성 있게 만들기 위해 노력해 왔습니다. 한편, 오피오이드 유행병이 나타난 이후 정형외과 의사는 오피오이드 약물을 가장 많이 처방하는 의사 중 하나로 확인되었습니다. [ 13 [ 14 ] 적절한 통증 조절을 제공하면서도 오피오이드 처방을 줄이는 것은 정형외과 수술의 발전입니다. [ 14 [ 15 [ 16 ]

훈련

2006년 9월에 촬영된 이 사진은 2000년에 시행된 오른쪽 비구(acetabulum )의 대대적인 수리 작업 6년 후의 모습을 보여줍니다. 뼈/관절 질환인 관절염이 발병하면서 관절 손상이 더욱 뚜렷해졌습니다.

이 섹션의 예시와 관점은 주로 미국을 대상으로 하며, 이 주제에 대한 전 세계적인 관점을 대변하는 것은 아닙니다 . 필요에 따라 이 섹션을 개선 하거나 , 토론 페이지 에서 이 문제를 논의 하거나, 새 섹션을 만들 수 있습니다. 2011년 12월 ) 이 메시지를 삭제하는 방법과 시기 알아보기 )

미국에서 정형외과 의사는 일반적으로 4년의 학부 교육과 4년의 의대 교육을 마치고 의학박사 (MD) 또는 정골의학박사 (DO) 학위를 취득합니다. 이후 의대 졸업생들은 정형외과 레지던트 과정을 수료합니다 . 5년 레지던트는 정형외과 전문의 수련 과정입니다.

정형외과 레지던트 수련 선발은 매우 경쟁적입니다. 미국에서는 매년 약 700명의 의사가 정형외과 레지던트 수련을 마칩니다. 현재 정형외과 레지던트의 약 10%는 여성이고, 약 20%는 소수 민족입니다. 미국에서는 약 20,400명의 정형외과 의사와 레지던트가 활동하고 있습니다. [ 17 ] 미국 노동부 에서 발행한 최신 직업 전망 핸드북(2011-2012)에 따르면 , 모든 진료 의사의 3-4%가 정형외과 의사입니다.

많은 정형외과 전문의들이 레지던트 수련 과정을 마친 후 추가 수련이나 펠로우십 과정을 선택합니다. 정형외과 세부 전문 분야의 펠로우십 수련은 일반적으로 1년(경우에 따라 2년) 동안 진행되며, 임상 및 수술 수련 과정에 연구 내용이 포함되는 경우도 있습니다. 미국에서 정형외과 세부 전문 분야의 수련 과정은 다음과 같습니다.

이러한 전문 의학 분야는 정형외과에만 국한되지 않습니다. 예를 들어, 일부 성형외과 의사 는 손 수술을 , 대부분의 신경외과 의사 는 척추 수술을 시행합니다 . 또한, 미국의 족부 외과 (DPM) 의사는 발과 발목 수술을 시행합니다 . 일부 가정의학과 의사는 스포츠 의학을 전문으로 하지만, 그 진료 영역은 비수술적입니다.

전문 레지던시 또는 등록자 교육을 마친 후 정형외과 의사는 American Board of Medical Specialties 또는 American Osteopathic Association Bureau of Osteopathic Specialists 에서 보드 인증을 받을 수 있습니다 .American Board of Orthopedic Surgery 또는 American Osteopathic Board of Orthopedic Surgery 에서 인증을 받았다는 것은 정형외과 의사가 보드의 지정된 교육, 평가 및 시험 요구 사항을 충족했음을 의미합니다. [ 18 [ 19 ] 이 과정에는 표준화된 필기 시험에 합격한 후 6개월 동안 외과 의사의 임상 및 수술 성과에 초점을 맞춘 구두 시험을 치르는 것이 필요합니다.캐나다에서 인증 기관은 캐나다 왕립 내과 의사 협회 이고 , 호주와 뉴질랜드에서는 왕립 오스트랄라시아 외과 대학 입니다 .

미국에서는 손 수술 및 정형외과 스포츠 의학 전문의가 별도의 표준화된 시험을 통과하면 기본 자격증 외에 추가 자격증을 취득할 수 있습니다. 다른 세부 전문 분야에는 별도의 자격증 취득 절차가 없습니다.

관행

무릎 부상 후 발생할 수 있는 골절을 식별하기 위한 방사선 촬영

요골과 척골 골절을 치료하기 위한 정형외과 임플란트. 척골의 눈에 띄는 골절을 확인하세요. (오른쪽 아래팔)

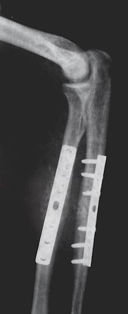
수술 후 내부 고정을 한 좌측 다리 골절의 전면 및 측면 X선 사진

1999년부터 2003년까지의 전문의 자격증 신청에 따르면 정형외과 의사가 수행한 가장 흔한 시술 상위 25개는 다음과 같습니다(순서대로): [ 20 ]

  1. 무릎 관절경 검사 및 반월판 절제술
  2. 어깨 관절경 검사 및 감압술
  3. 손목 터널 증후군 해소
  4. 무릎 관절경 및 연골성형술
  5. 지지 임플란트 제거
  6. 무릎 관절경 검사 및 전방 십자인대 재건술
  7. 무릎 교체 수술
  8. 대퇴경부 골절 수술
  9. 대퇴골 골절 수술
  10. 피부/ 근육 /  /골절 제거
  11. 양쪽 반월판의 무릎 관절경 수술
  12. 고관절 교체 수술
  13. 어깨 관절경 검사/원위 쇄골 절제술
  14. 회전근 개 힘줄 수술
  15. 반경 골 / 척골 골절 수리
  16. 척추절제술
  17. 발목 골절(양과골형) 수술
  18. 어깨 관절경 검사 및 변연절제술
  19. 요추 척추 융합술
  20. 반경골 원위부 골절 수리
  21. 허리 디스크 수술
  22. 손가락 힘줄집 절개
  23. 발목 골절( 비골 ) 수술
  24. 대퇴골 간부 골절 수술
  25. 대퇴골 골절 수술

영어: 일반적인 정형외과 의사의 근무 일정은 진료, 수술, 다양한 행정 업무, 그리고 학문적 환경에서라면 교육 및/또는 연구에 나누어 주당 50~55시간의 작업을 포함합니다. 2021년 미국 의과대학 협회 에 따르면 정형외과 의사의 평균 주당 근무 시간은 57시간이었습니다. [ 21 [ 22 ] 그러나 이는 매우 낮은 추정치입니다. 해당 분야에서 탁월한 지위로 인해 "매우 성공적"이라고 스스로를 정의한 정형외과 의사를 대상으로 한 2013년 설문 조사에서 얻은 연구에 따르면 평균 주당 근무 시간이 70시간 이상이었습니다. [ 23 [ 21 ]

관절경 검사

주요 기사: 관절경 검사

관절경 수술은 특히 부상 환자에게 중요했습니다. 관절 경 수술은 1950년대 초 일본의 마사키 와타나베 가 최소 침습 연골 수술과 파열된 인대 재건을 위해 선구적으로 개발했습니다. 관절경 수술은 기존의 "개방형" 수술에 필요한 몇 주에서 몇 달이 아닌 며칠 만에 수술에서 회복할 수 있도록 해주며, 매우 널리 사용되는 수술입니다. 무릎 관절경 수술은 오늘날 정형외과 의사가 시행하는 가장 흔한 수술 중 하나이며, 종종 반월판 절제술이나 연골 성형술과 병행됩니다. 현재 상지 외래 정형외과 시술의 대부분은 관절경 수술을 통해 시행됩니다. [ 24 ]

관절성형술

주요 기사: 관절성형술

인공관절수술은 근골격 관절의 관절면을 절골술 이나 다른 시술을 통해 교체, 재형성 또는 재정렬하는 정형 외과 수술입니다. [ 25 ] 관절염( 류마티스 수술 )이나 다른 유형의 외상 으로 인한 손상 후 통증을 완화하고 관절 기능을 회복하기 위해 시행하는 선택적 시술입니다 . [ 25 ] 표준적인 전체 무릎 교체 수술 외에도 관절염이 있는 무릎의 체중을 지탱하는 표면 하나만 교체하는 단일 구획 무릎 교체 수술도 시행할 수 있지만 [ 25 ] 재수술의 위험이 상당히 있습니다. [ 26 ] 인공관절 교체는 다른 관절, 특히 고관절 [ 27 ] 이나 어깨 에 사용됩니다 . [ 28 ]

인공관절 수술 후 우려 사항은 구성품의 베어링 표면 마모입니다. [ 29 ] 이는 주변 뼈의 손상으로 이어질 수 있으며 결국 임플란트가 실패하게 됩니다. [ 29 ] 선택된 플라스틱은 일반적으로 초고분자량 폴리에틸렌 이며 마모 특성을 개선할 수 있는 방식으로 변경될 수도 있습니다. [ 29 ] 재수술의 위험은 외과의의 수와 관련이 있는 것으로도 나타났습니다. [ 28 [ 30 ]

역학

2001년과 2016년 사이에 미국에서 근골격계 수술의 유병률은 병원 입원 중 수행된 모든 수술실(OR) 수술의 17.9%에서 24.2%로 급격히 증가했습니다. [ 31 ]

2012년 미국 입원 환자를 대상으로 한 연구에 따르면, 척추 및 관절 수술은 영아를 제외한 모든 연령대에서 흔했습니다. 척추 유합술은 1세 미만 영아와 85세 이상 성인을 제외한 모든 연령대에서 가장 많이 시행된 5대 수술 중 하나였습니다. 척추 후궁 절제술은 18~84세 성인에서 흔했습니다. 슬관절 인공관절 수술과 고관절 치환술은 45세 이상 성인에서 가장 많이 시행된 5대 수술 중 하나였습니다. [ 32 ]

또한 참조하세요

참고문헌

[ 33 ]

  1. "정형외과 의사: 꼭 알아야 할 7가지" . 펜실베이니아 근골격계 및 류마티스학 블로그 . 필라델피아, 펜실베이니아: 펜실베이니아 대학교 이사회. 2019년 12월 4일 . 2022년 2월 26일 확인 .
  2.  Andry de Bois-Regard N (1980년 11월 2일). "Orthopædia, or, The art of correcting and prevention deformities in children" . Classics of Medicine Library – Google Books 에서 제공 .
  3.  Smith DC (2015 년 9월). "사지 부상과 전쟁: 역사적 성찰" . 임상 정형외과 및 관련 연구 . 473 (9): 2771– 2776. doi : 10.1007/s11999-015-4327-5 . PMC 4523509. PMID 25930212 .  
  4. "정형외과" . 하얼빈 하웰 의료기기 유한회사 . 2022년 2월 26일 확인 .
  5.  Meals CG, Meals RA (2021년 7월 28일). Windle ML, Schraga ED (편). "Sugar-Tong Forearm Splinting Technique: Applying of Sugar-Tong Splint, Postprocedural Care, Complications" . Medscape . WebMD LLC . 2022년 2월 26일 확인 .
  6.  Valentin, Bruno (1958년 10월). "Robert Chessher (1750–1831): An English Pioneer in Orthopaedics" . Medical History . 2 (4): 308– 313. doi : 10.1017/s0025727300024054 . ISSN 0025-7273 . PMC 1034426 . PMID 13599783 .   
  7.  Beckett D (1999). "뼈 세공인에서 정형외과 의사까지: 정형외과 전문 분야의 역사" (PDF) . Surgical Technologist . 31 : 6– 11.
  8.  Irving M (1981년 9월). "영국의 응급 상황 관리" . British Medical Journal . 283 (6295): 847– 849. doi : 10.1136/bmj.283.6295.847 . PMC 1507078. PMID 6794724 .  
  9.  Jones AR (1959). "Jones, Sir Robert, Bart" . 웨일스 전기 사전 . 웨일스 국립도서관 2010년 12월 31일 검색 .
  10.  Wroblewski BM (2002년 7월). "존 찰리 경 교수(1911–1982)" . 류마티스학 . 41 (7). 영국 류마티스학회(Oxford Journals: 824–825 ). doi : 10.1093/rheumatology/41.7.824 . PMID 12096235 . 
  11.  Hamelynck KJ (2006년 9월). "이동형 베어링 슬관절 전치환술 시스템의 역사". Orthopedics . 29 (9 Suppl): S7-12. PMID 17002140 . 
  12.  Rozbruch SR, Ilizarov S, 편집. (2006). 사지연장술 및 재건수술 . CRC Press . ISBN 978-1-4200-1401-3– Google 도서를 통해 .
  13. "정보 설명: 정형외과 진료에서의 오피오이드 사용, 오용 및 남용" (PDF) . 미국 정형외과학회 . 2015. [ 영구적으로 끊어진 링크 ]
  14.  Armstrong AD, Hassenbein SE, Black S, Hollenbeak CS (2020년 11월)."수술 후 통증 증가 위험 요인 및 수술 후 진통제 사용 권장 순서".TheClinical Journal of Pain.36(11):845–851.doi:10.1097/AJP.0000000000000876.PMC 7671821. PMID32889819.  
  15.  Seangleulur A, Vanasbodeekul P, Prapaitrakool S 외 (2016년 11월). "슬관절 전치환술 후 수술 초기 국소 침윤 진통제의 효능: 체계적 문헌고찰 및 메타분석". European Journal of Anaesthesiology . 33 (11): 816– 831. doi : 10.1097/EJA.0000000000000516 . PMID 27428259. S2CID 13813622 .  
  16.  Hansen RN, Pham A, Strassels SA, Balaban S, Wan GJ (2016년 9월). "정형외과 수술 후 통증 치료를 위해 아세트아미노펜과 오피오이드 정맥 주사를 병행한 환자와 오피오이드 정맥 주사만 병행한 환자의 입원 기간 및 입원 비용 비교 분석" . Advances in Therapy . 33 (9): 1635–1645 . doi : 10.1007/s12325-016-0368-8 . PMC 5020121. PMID 27423648 .  
  17. "정형외과" . OrthoInfo . 미국 정형외과 학회(AAOS).
  18. "귀하의 외과의는 미국 정형외과 위원회(The American Board of Orthopaedic Surgery)의 인증을 받았습니다 ." 미국 정형외과 위원회. 2007년 6월 12일 원본 에서 보관됨 2008년 10월 26일 확인함 .
  19. "AOBOS 2012 후보자 핸드북" (PDF) . 미국 정형외과학회(American Osteopathic Board of Orthopedic Surgery). 2012. 2012년 9월 19일 확인 .
  20.  Garrett WE, Swiontkowski MF, Weinstein JN, Callaghan J, Rosier RN, Berry DJ 외 (2006년 3월). "미국 정형외과학회 정형외과 의사 자격 시험 사례 모음: 2부" (PDF) . The Journal of Bone and Joint Surgery. American Volume . 88 (3): 660–667 . doi : 10.2106/JBJS.E.01208 (2025년 7월 1일 비활성). PMID 16510834. 2017년 2월 5일 원본 (PDF) 에서 보관됨 . 2016년 11월 30일 확인함 .  
  21.  Pollock JR, Moore ML, Llanes AC, Brinkman JC, Makovicka JL, Dulle DL 외 (2022년 4월 8일)."정형외과 스포츠 의학 클리닉의 의료 서기는 생산성과 의사의 웰빙을 향상시킨다".관절경, 스포츠 의학 및 재활.4(3):e997 –e1005.doi:10.1016/j.asmr.2022.02.003.ISSN2666-061X.PMC 9210372. PMID35747641.S2CID248064612.     
  22. "정형외과 | 의학 분야 진로" . www.aamc.org . 2022년 4월 17일 확인 .
  23.  Klein G, Hussain N, Sprague S, Mehlman CT, Dogbey G, Bhandari M (2013). "매우 성공적인 정형외과 의사의 특성: 정형외과 의자와 편집자 설문 조사" . Canadian Journal of Surgery . 56 (3): 192– 198. doi : 10.1503/cjs.017511 . PMC 3672433. PMID 23706848 .  
  24.  Jain NB, Higgins LD, Losina E, Collins J, Blazar PE, Katz JN (2014년 1월). "미국에서 근골격계 상지 외래 수술의 역학" . BMC Musculoskeletal Disorders . 15 4. doi : 10.1186/1471-2474-15-4 . PMC 3893587. PMID 24397703 .  
  25.  "관절 성형술을 통한 관절 기능 회복". 메릴랜드주 볼티모어:존스홉킨스 대학교. 2024.2024년 2월 17일 확인.
  26.  Levy KH, Fusco PJ, Salazar-Restrepo SA 외 (2023년 12월). "단일구획 슬관절 치환술 후 전치환술로의 전환 vs. 일차 전치환술: 비교 연구 메타분석" . The Knee . 45 : 1– 10. doi : 10.1016/j.knee.2023.09.001 . PMID 37708740 . 
  27. "고관절 치환 수술" . 존스홉킨스 대학교. 2024. 2024년 2월 17일 확인 .
  28.  "외과 의사가 1년에 10건 이상 어깨 인공관절 수술을 시행할 경우 재수술 가능성이 낮아진다" .NIHR Evidence. 2024년 1월 18일.doi:10.3310/nihrevidence_61746.S2CID267133950. 
  29.  Dreyer MJ, Weisse B, Contreras Raggio JI 외 (2023년 11월)."고정형 및 회전형 플랫폼 무릎 임플란트 회수 시 생체 내 마모율에 대한 임플란트 디자인 및 사지 정렬의 영향".Journal of Orthopaedic Research.42(4):777–787.doi:10.1002/jor.25734.hdl: 20.500.11850/645236 .PMID37975250. 
  30.  Valsamis, Epaminondas Markos; Collins, Gary S.; Pinedo-Villanueva, Rafael; et al. (2023년 6월 21일). "영국 국립 관절 등록부 및 병원 에피소드 통계 자료 를 활용한 선택적 어깨 교체 수술 후 외과의 수와 환자 결과 간의 연관성 인구 기반 코호트 연구" BMJ 381 e075355 . doi : 10.1136/bmj-2023-075355 . ISSN 1756-1833 . PMC 10283034. PMID 37343999 .   
  31.  Weiss AJ, Elixhauser A (2014년 3월). "2001~2011년 미국 병원 수술실 시술 동향" . HCUP 통계 요약 171호 . 메릴랜드주 로크빌: 의료연구품질청. PMID 24851286 . 
  32.  Fingar KR, Stocks C, Weiss AJ, Steiner CA (2014년 12월). "2003년부터 2012년까지 미국 병원에서 가장 많이 시행된 수술실 시술" . HCUP 통계 요약서 186호 . 메릴랜드주 로크빌: 의료연구품질청.
  33.  글로벌 정형외과 솔루션, 해외. "글로벌 정형외과 솔루션" 2024년 9월 11일 확인 .

 

다음검색
현재 게시글 추가 기능 열기

댓글

댓글 리스트
맨위로

카페 검색

카페 검색어 입력폼