CAFE

척추,자세

[스크랩] 2) 허리디스크의 5가지 예후 판단방법

작성자kim|작성시간13.06.26|조회수235 목록 댓글 0

4월 16일.. 교정자료.. 한글자료가 최신자료임. -> 이후 그림넣고 치료사례 mri사진 넣고.. 정리 완성.

 

 파일이 너무 커서 넣을수가 없네요. 바탕화면에 있음. 

 

허리디스크의 5가지 예후 판단 방법

 

허리디스크로 나타나는 5가지 증상과 그 기전에 대해서 알아봤습니다. 다음으로 중요한 것은 허리디스크로 나타나는 증상의 경중(severity)을 살펴 예후(prognosis)를 아는 것입니다. 15년 동안 허리디스크 환자를 치료하면서 가장 어려웠던 게 예후를 아는 것이었습니다. 디스크 탈출이명확한데도 하지 방사통이 없는 환자, 디스크의 탈출은 buldging 또는 protrusion 정도로 심하지 않는데 환자가 느끼는 통증은 심하고 예후가 불량한 환자, 디스크 탈출은 extrusion 또는 sequestration 정도로 심한데도 통증이 그다지 심하지 않고 한 달 안에 치료되는 환자, 심지어는 자기공명영상사진(l-spine mri) 상 디스크 탈출 소견이 분명히 확인되는데도국소적 요통조차 없는 환자 등 이러한 환자들의 예후를 감별하는 것은 정말 어려운 일이었습니다. 

 

그림. disd buldging, pro, extr..sequestration

 

이렇게 복잡한 상황 속에서 허리디스크 환자의 예후를 어떻게 알 수 있을까요? 환자가 통증을 심하게 호소할 때 예후가 안 좋을까요? 자기공명영상 사진상 디스크 탈출이 심할 때 예후가 안 좋을까요? 디스크가 탈출되어 떨어져 나갔을 때(sequestration type) 흔히 의사들이 말하는 것처럼 반드시 수술해야 할 만큼 심각한 것일까요?

 

오랜 연구를 통해 허리디스크의 예후를 판단하는 방법을 크게 다섯 가지로 정리했습니다. 한가지, 한가지, 허리디스크 예후 판단의 노하우를 알아갈 때마다 환자의 치료율이 높아져 갔습니다. 의료인이 환자의 예후와 치료에 대해 확신하게 된다면 자연스레 환자의 신뢰를 얻게 되고 환자의 순응도도 높아져 치료율은 더욱 높아질 수 밖에 없습니다.

 

허리디스크의 예후를 결정하는 첫째 요소는 디스크가 얼마나 심하게 탈출되었느냐가 아니라 통증의 만성화(chronic) 여부, 즉 통증이 얼마나 오래되었느냐 입니다. 이 문제를 이해하기 위해서는 통각의 감작(pain sensitization) 현상을 알아야 합니다. 통증을 제외한 인체의 모든 감각(촉각, 압각, 진동각, 온도각, 두점분별각, 위치각 등)은 통증감각과 정반대로 적응(adaptation) 현상을 보입니다. 쉽게 말해 그 감각에 노출되면 노출될수록 감각이 둔해진다는 뜻입니다. 예를 들면 뜨거운 목욕탕에 몸을 담글 때 처음에 뜨겁지만 시간이 지나면 그 온도에 적응해 오히려 시원하다 느끼게 되는 것입니다. 이러한 현상을 감각의 "적응현상"이라고 합니다.

 

그림 감각(진동각)의 적응현상

그림. 통증의 말초 감작현상, 중추감작현상

 

그런데 통증은 다른 감각들과 정반대로 "감작(sensitization) 현상"이 일어납니다. 오랫동안 통증에 노출되면 대뇌로 전달되는 통증의 길이 열리게 되고, 만지는 감각(touch sense)에 의해서도 심한 통증을 느끼는 현상이 나타나는 것입니다. 그래서 어떤 원인에 의해서든지 통증이 만성화되면 치료가 어렵고 예후가 불량합니다. 이러한 인간의 영혼까지 망가뜨리는 만성통증에 대해서는 후술합니다.

 

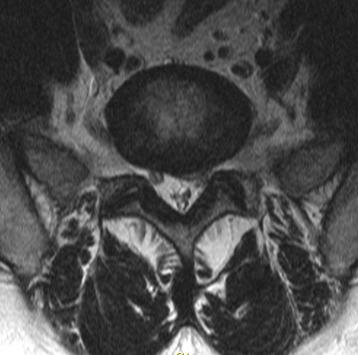
둘째, 허리디스크의 예후는 척추관(vertebral canal) 크기와 디스크 탈출 정도(Barrel and Contents mechanism)와 관련이 있습니다. 즉 척추관(vertebral canal) 형태가 작고, 아래 그림과 같이 클로버잎(trefoil shape) 형태인 경우에는 디스크가 약간만 탈출돼도 신경근(nerve root)이 심하게 압박되어 심한 통증과 근위약, 근위축 등 심각한 증상이 나타날 수 있습니다. 

 

이것은 컴퓨터단층촬영(CT), 자기공명영상(MRI) 축(axial)사진으로 쉽게 확인할 수 있습니다. 반대로 척추관이 넓으면 디스크 탈출이 심해도 신경근(nerve root) 압박은 미미하여 통증이 가볍고 신경학적 증상도 가벼울 수 있습니다. 특히 급성 허리디스크 환자에서는 척추관 크기와 디스크 탈출 정도에 따른 예후 판단과 신경학적 검진에 의한 예후판단이 매우 중요합니다.

 

 그림. trefoil shape 척추관과 디스크 탈출 사진

 

 

그림. 넓은 척추관과 디스크 탈출사진

 

셋째, 디스크 탈출로 압박된 신경근(nerve root) 병변을 해석하는 신경학적 검진(neurologic examination)을 통해 예후를 정확히 판단할 수 있습니다. 신경학적 검진을 정확히 하기 위해서는 말초신경의 생리, 병리를 이해해야 합니다. 신경학적 검진은 의료인의 해석능력을 필요로 하는, 대단히 중요한 부분이라 하겠습니다.

 

신경근 압박의 정도가 심각한지 그렇지 않은지를 어떻게 알 수 있을까요? 통증이 심하면 신경근도 심하게 압박된 것으로 봐야 할까요? 통증은 전혀 없는데 요추 5번신경근의 문제로 전경골근(anterior tibialis)이 마비되어 발생하는 계상보행(steppage gait)을 하는 환자는 어떻게 이해할 수 할까요? 앞에서 언급한 바와 같이 우리는 신경학적 검진을 통해 신경이 압박받은 정도를 해석할 수 있습니다. 그리고 예후를 알아낼 수 있습니다.

 

사진. 계상보행

 

신경학적 검진에 따라 신경근(nerve root) 압박 정도를 가벼운 것부터 살펴보면 다음과 같습니다. 가볍고 흔한 문제는 감각신경(sensory nerve lesion)의 문제로 피부분절에 따른 통증과 감각 이상(pain and dysthesia)입니다. 신경이 더 심하게 압박되면 운동신경(motor sensory lesion)의 문제로 근절(myotome)을 따라 근위약(muscle weakness)과 근위축(muscle atrophy)이 차례로 나타납니다. 더욱 심하게 신경이 압박되면신경 지배영역에 따른 심부건반사(deep tendon reflex)가 저하됩니다. 

 

순서대로 간단하게 정리해보면 1) 피부분절(dermatome)에 따라 통증과 감각이상감각신경 이상 증상(sensory nerve lesion) 2) 근절에 따른 신경이 지배하고 있는 근육의 근력 저하(motor nerve lesion) 3) 근절(myotome)에 따른 신경이 지배하고 있는 근육의 위축(amytrophy) 4) 각 신경의 지배영역에 따른 심부건반사(deep tendon reflex) 저하입니다.

 

그림. 근위축사진

 

 

 

허리디스크로 나타나는 신경학적 증상을 위와 같이 분류하여 판단하면 치료에 유용합니다. 허리디스크로 가장 흔하게 발생하는 감각신경 증상인 통증과 감각이상은 운동신경 장애인 근력저하, 근위축, 심부건반사 저하보다는 덜 심한 것으로 판단했습니다. 

 

드물지만 허리디스크로 인해 신경근의 운동신경요소 부분만 심하게 압박되어 통증이나 감각이상은 전혀 나타나지 않고 심각한 근력저하, 근위축, 심부건반사 저하까지 나타나는 환자가 있습니다. 이런 환자는 대개 통증이 없기 때문에 조기 진단이 어렵습니다.  이렇게 통증 없이 근력저하와 근위축만 나타나는 환자와 통증이 심한 환자 중 어느 환자의 예후가 더 좋을 것인가에 대한 판단은 상황에 따라 다릅니다. 통증에 예민한 환자는 근력 저하로 인한 비정상적 보행보다 통증을 더 심각하게 볼 것이고, 운동선수라면 근력 저하를 통증보다 더 심각한 질환으로 받아들일 것입니다. 

 

6년전 원광대 광주한방병원 침구과장으로 있을 때 50세 남자 목디스크(cervical radiculopathy) 환자의 사례입니다. 환자는 목디스크가 있었는데, 특이하게 통증이나 감각장애는 전혀 없고 운동신경장애로 인한 우측상지 근마비(grade 1>2단계)로 질병발생 5개월만에 래원하였습니다. 환자는 통증이 전혀 없고 우측 어깨를 들지(외전) 못했기 때문에 오십견으로 진단 받고 처음 3개월 동안은 한방 치료를 받았습니다. 담당 한의사도 어깨가 올라가지 않는 걸 보고 오십견(frozen shoulder)이라 오진했고 3개월간 치료했는데도 호전이 안 돼 인근 대학병원에 방문, 목디스크 진단을 받은 것입니다.

 

대학병원에서는 진단 후, 목디스크로 운동신경이 완전히 마비됐기 때문에 평생 호전이 안 될 거라며 다른 방도가 없으니 포기하라 말했다 합니다. 환자는 포기한 상태로 지내다 팔의 움직임이 약간 호전되는 걸 보고 혹시나 하는 마음으로 제 진료실을 방문한 것이었습니다. 이후 환자는 저와 함께 1년 가량 치료하여 숟가락 들고 밥을 먹을 수 있을 만큼은 회복했습니다. 말초신경은 재생 가능하니 충분히 나을 수 있다고 독려하며 끊임없이 운동을 시킨 기억이 납니다. 당시에는 고유수용성 신경근촉진법에 대한 정확한 인식이 없어 체계적인 재활운동이라 할 수 없는, 주먹구구식 운동이었음에도 일정 정도의 효과를 볼 수 있었습니다.  

 

넷째, 허리디스크로 인해 이중압궤증후군(double crush syndrome)과 디스크-신경근포착이 발생했을 때 이를 잘 치료하지 못하면 예후가 안 좋습니다. 허리디스크 치료 과정에서 중요하지만 흔히 간과하기 쉬운 문제가 이중압궤증후군, 즉 이상근 단축에 의한 좌골신경의 2차 압박으로 나타나는 하지통증과 저림증입니다. 이는 디스크-신경근 포착에 의한 신경근 압박과 마찬가지로 반드시 치료해야 합니다. 

 

허리디스크로 인해 오랫동안 하지 방사통(하지 저림, 통증)으로 고통 받는 환자나 척추관협착증 환자를 자세히 진찰해보면 거의 대부분 이상근의 단축(shortening)으로 좌골신경이 2차 압박되어 있습니다. 이런 환자의 경우 하지저림, 통증 등이 오래되었더라도 이상근의 허혈성 압박, 강제스트레칭, 근에너지기법 등으로 치료하면 빠른 사람은 2~3주만에 그 증상이 사라지는 것을 경험할 수 있습니다.

 

그림. 이상근의 신경포착

 

허리디스크가 만성화되어 신경근 병증이 1~2년 이상 지속되지 않도록 하려면 급성 허리디스크 초기부터 디스크-신경근 포착에 의한 신경근 압박과 이중압궤증후군으로 인한 문제를 적극적으로 해결해야 합니다. 이상근 단축에 의한 좌골신경포착은 이중압궤증후군의 치료편에서, 디스크-신경근포착 문제는 신경가동기법에서 후술합니다.   

 

참고로 하지방사통 등 신경근 병증이 오래된 환자 중에는 이상근 단축에 의한 좌골신경의 2차 압박을 분명히 치료했는데도 하지 신경근병증(하지통증, 저림 등)이 치료되지 않는 경우가 있습니다. 이런 경우는 대개 척추관협착증으로 척추관이 좁아져 신경근(nerve root)이 여러 군데 압박됐기 때문인 경우가 많습니다. 이런 환자는 신경 가동(neural mobilization), 각종 근이완법, 근에너지기법(muscle energy technique), 고유수용성 신경근촉진법(PNF), 자가 운동치료 등 가능한 모든 방법을 다 이용해도 증상이 쉽게 개선되지 않습니다. 그럴 때마다 통증이 만성화되지 않도록 허리디스크 초기부터 최적의 움직임 회복을 위해 치료하는 것이 얼마나 중요한지를 절감하게 됩니다.

 

다섯째, 척추기립근(다열근)의 지방침착(fat infiltration)이 있으면 예후가 매우 불량합니다. 허리디스크가 만성화되어 허리움직임이 오랫동안 제한되면 척추기립근(다열근)은 약화되고 위축되는 것으로 끝나지 않고 아래 그림과 같이 지방으로 대치됩니다. 논문에 의하면 지방침착은 하부 요추(L3-4, 4-5, L5-S1)부위에서 흔히 일어나고, 근육 재생을 위한 치료적 재활운동을 아무리 해도 한번 지방으로 대치된 부위는 다시는 근육으로 되돌아가지 않습니다. 참으로 무서운 일입니다. 허리의 미세한 움직임을 조절하고, 척추의 안정성에 중요한 역할을 하는 다열근이 제 기능을 하지 못하면 어떤 일이 벌어질까요? 척추는 약해지고 불안정해져 척추전방전위증, 척추후방전위증 등으로 진행될 수밖에 없습니다.

 

그림 척추전방전위, 후방전위 엑스레이 사진

 

그림. 다열근의 지방침착

 

 

 

우리가 할 수 있는 최선의 방법은 허리디스크가 발생했을 때 가능한 한 빨리 허리의 움직임을 통해 다열근이 약화, 위축되어 지방이 침착되는 것을 예방하는 것입니다. 즉 척추의 안정성을 전제로, 가능하면 빨리 치료적 재활운동을 하는 것입니다. 

 

이렇게 다섯 가지 허리디스크의 예후를 판단할 수 있는 기준을 제시했습니다. 제가 오랫동안 허리디스크의 예후에 대해 고민하면서 찾은 해답입니다. 이러한 문제들 외에도 허리디스크의 예후에 영향을 주는 요인은 많습니다. 그 중 가장 중요한 것은 환자의 마음(mind)입니다.

 

가끔 환자들이 "저는 선천적으로 허리가 약해요", "저는 허리 아픈 지 20~30년 됐어요", "저는 평생 허리가 아팠어요" 말하는 걸 듣습니다. 그런 언어를 사용하는 환자들은 이미 자신의 뇌(마음)에서 완치할 수 있다는 사실을 받아들이지 못합니다. 그런 말을 들을 때마다 저는 환자들에게 말합니다. "허리디스크 수술까지 받은 제 동생은 풀코스 마라톤을 달리고, 배드민턴을 시작한 지 3년만에 A급 선수가 되었고, 아마추어 클럽 코치를 하고 있습니다. 수술하여 약해질대로 약해진 허리도 다시튼튼하게 만들어 완치할 수 있습니다"

 

그리고 어떻게 튼튼하게 하고 어떻게 완치할 수 있는지, 어떻게 척추관 협착증이라는 복잡하고 심각한 상황에서도 최선의 치료를 시도해 볼 수 있는지 설명합니다. 스스로 완치할 수 있다고 믿지 못하는 환자가 힘든 재활운동을 열심히 하는 것은 불가능하기 때문에매우 중요한 문제입니다.  

 

사실 환자가 그렇게 생각하는 데에는 의료인의 잘못도 있습니다. 허리디스크는 완치할 수 있다, 역도선수 장미란처럼 허리를 튼튼하게 해서 100킬로그램을 들 수 있다고 말하며 적극적 재활운동을 유도하는 의료인이 없기 때문입니다. 의료인이 흔히 하는 "아프면 움직이지 말고 쉬세요.", "움직이니까 더 아프죠."라는 말을 들은 환자는 재활운동을 통해 자신의 허리를 튼튼하게 만들 생각을 못하고 평생 척추 불안정성으로 인한 만성통증에 시달리게 되는 것입니다.

 

참고) 신경학적 검진(Neurologic examination)

 

신경 질환(nerve disease)은 질병 발생 위치와 통증을 느끼는 부위가 흔히 다르기 때문에 진단에 신중을 기해야 합니다. 신경학적 검진(neurologic examination)은 만지고 두드리고 관찰하는 것만으로 환자의 상태에 대해 많은 정보를 얻게 하는 중요한 수단입니다. 신경학적 검진을 숙지하면 환자가 어디가 아픈지, 어떻게 아픈지, 얼마나 심하게 아픈지, 언제까지 문제가 지속될 것인지를 알 수 있습니다. 신경학적 검진은 근전도 검사, 엑스레이, CT, MRI보다 훨씬 중요합니다.

 

위에서 사례로 들었던 목디스크로 인한 상지마비 환자도 신경학적 검진과 병력청취를 통해 예후를 예측할 수 있었기 때문에 확신을 가지고 치료할 수 있었습니다. 환자는 목디스크로 상지 근위축과 부분마비(grade 1>2)가 있었지만 5개월 전에 질병이 발생했고, 3개월 전에 가장 악화됐고, 이후 서서히 자연회복되는 과정이라는 것을 예측할 수 있었습니다. 말초신경은 재생되기 때문에 회복할 거라는 확신을 가지고 적극적인 운동을 통해 치료했었던 것입니다. 그 당시 고유수용성 신경근촉진법과 같은 근육생리를 이용하여 좀더 빠르게 회복시키는 방법을 알았더라면 더 빨리 회복시켰을 것이라는 아쉬움이 있습니다. 지금 이 책을 쓰는 이유는 저와 같은 오류를 범하지 않았으면 하는 마음 때문입니다.

 

중추신경의 신경학적 검진까지 이해하려면 너무 복잡하고 어렵기 때문에 여기서는 허리디스크가 있을 때 필요한 말초신경의 신경학적 검진만을 소개합니다. 말초신경의 신경학적 검진은 크게 감각신경기능 검사, 운동신경기능 검사, 자율신경기능 검사로 나눌 수 있습니다.

 

첫째, 감각신경기능 검사(sensory nerve test)입니다. 환자가 가장 흔하게 호소하는 증상인 통증, 저림증, 둔한 감각, 뜨거운 감각, 시린 감각 등의 증상이 양측 하지에 어떻게 다르게 나타나는지 검사하는 방법입니다.

  

그림 dermatome 그림

 

그림 촉각검사

 

임상에서 간편하게 사용할 수 있는 감각검사는 촉각검사와 통각검사인데, 촉각검사는 허리디스크로 압박받은 신경근이 지배하는 감각영역(피부분절)의 촉각(touch sense) 차이를 비교하는 것입니다. 촉각검사과정에서 감각과민(hyperalgesia)과 감각둔화(hypothesia) 두 가지 반응으로 나타나는데, 이는 신경병변으로 감각요소가 손상되었음을 알려주는 것입니다. 촉각 이외의 다른 감각(온냉각, 통각, 두점분별감각 등)을 비교하여 감각신경의 이상 여부를 판단할 수 있습니다.  

 

그림, 통각검사

 

그림과 같이 통각검사는 피부분절을 바늘, 볼펜으로 찔러 통증 차이를 비교하는 것입니다. 대개 통각이 둔화되는 방향으로 나타나는데, 양하지의 통각에 차이가 있으면 이는 감각신경에 문제가 있다는 것을 의미합니다.통각검사상 통증을 과민하게 느낀다고 해서 감각신경 문제가 더 심각한 것은 아닙니다. 또 통각이 둔하다고 해서 감각신경 문제가 더 심각한 것도 아닙니다.

 

둘째, 운동신경기능 검사(motor nerve test)입니다. 허리디스크로 운동신경 요소가 압박되면 근력저하, 근위축, 심부건반사저하 등이 나타나고, 이는 대개 순차적으로 나타납니다. 가장 흔하게 발생하는 요추 4-5번 디스크탈출을 예로 들면, 운동신경 요소가 압박되면 첫 증상으로 전경골근 근력저하가 나타나고 심해지면 전경골근의 근위축과 아킬레스 심부건반사 저하가 차례로 나타납니다.

 

1) 근력검사(manual muscel power test)

 

그림과 같이 요추 5번 신경근이 지배하는 전경골근(anterior tibialis)의 근력검사를 통해서 5번 신경근이 지배하는 운동신경(motor nerve)기능을 판단할 수 있습니다. 근력검사 결과는 다음과 같이 표기할 수 있습니다. 신경근의 압박을 호소하는 허리디스크 환자 10명중 1명은 전경골근 근력저하를 호소할 만큼 운동신경기능 저하는 흔한 소견이므로 반드시 체크해야 합니다. 

 

그림 근력검사

표 근력검사

 

2) 근위축 검사(inspection of muscle atrophy)

그림 전경골근 근위축

 

전경골근의 근력이 저하된 환자 10명중 1~2명의 환자에서 육안적으로 확연한 근위축을 관찰할 수 있는데, 요추 5번 신경근이 심하게 압박되면 그림과 같이 전경골근의 위축을 보입니다. 근위축은 시진(inspection)으로 쉽게 판단할 수 있습니다. 

 

3) 심부건반사 검사(deep tendon reflex test)

그림 심부건반사 검사방법

그림 심부건반사 기전

 

그림과 같이 심부건반사를 시행하여 정상보다 반응이 저하되어 있을 때 운동신경이 심각하게 손상된 것으로 판단할 수 있습니다. 심부건반사 저하는 근력저하, 근위축이 없는 환자에서는 보이지 않습니다. 그래서 1차 진료를 담당하는 의료인은 심부건반사까지 저하된 경우는 1년에 한두 번 보기도 어려울 것입니다. 

 

셋째, 자율신경기능검사(autonomic function test)입니다. 말초신경의 자율신경 검사는 발한검사(sweat test), 홍조검사 등이 있습니다. 발한 검사는 양손바닥의 땀분비 상태를 검사하는 것으로 적외선(IR)을 양손바닥에 쏘여 땀분비 차이를 검사합니다. 홍조검사도 손바닥으로 검사하면 되는데, 적외선을 양손바닥에 쏘여 홍조상태가 지속되는지를 관찰하는 것입니다.

 

신경이 심각하게 압박되면 감각, 운동신경의 문제를 넘어 자율신경의 증상까지 발생하는데, 자율신경까지 손상되면 땀분비가 과다, 혹은 과소해지고, 혈관 수축이완에 문제가 생겨 열을 쏘이면 손바닥의 혈관이 이완된 후 빨갛게 되는 것입니다. 그런데 추간공(neural foramen)바깥에서 교감신경가지가 합류되기 때문에 허리디스크로 신경근(nerve root) 압박되는 경우에 자율신경이상 증상은 거의 나타나지 않습니다.

 

사진. 그림. 양손의 땀분비 차이, 홍조를 띈 손바닥

 

앞에서 살펴본 바와 같이 신경학적 검진으로 환자의 많은 정보를 알아낼 수 있습니다. 그 중에서 가장 중요한 것은 무엇일까요? 신경학적 검진(neurologic examination)에서 중요한 것은 "신경병변의 발생 여부, 병변이 발생한 시간, 병변의 위치, 병변의 심각한 정도" 4가지입니다. 

 

세심한 진찰을 하면 허리디스크로 인한 "신경근 압박 여부"를 정확하게 알아내는 것은 그렇게 어렵지는 않습니다. 하지만 병변의 위치와 통증의 위치가 다르고, 근막통증증후군에 의한 연관통(Referred pain)이 신경통과 비슷하기 때문에 환자의 증상이 연관통인지 허리디스크로 인한 신경근 병증에 의한 통증인지 감별하기가 약간 어렵습니다. 그러므로 발살바 테스트(valsalva's test), 하지직거상 검사(SLRT), 요부타진 검사 등으로 잘 검진하여 신경압박의 여부를 알아내야 합니다. 그 다음에 감각기능검사, 운동기능검사로 확인할 수 있습니다.

 

다음으로 허리디스크로 "신경근이 압박된 시기"를 알아내는 것은 왜 중요할까요? 허리디스크로 인한 통증의 예후 판단에서 가장 중요한 변수가 만성화 여부이기 때문입니다. 디스크가 신경근을 압박한 시간이 길면 길수록 신경근은 탈신경(denervation)되고, 염증이 만성화되어 치료하기 쉽지 않기 때문에 신경근이 압박된 시기를 알아내는 것은 매우 중요합니다. 병변이 발생한 시간을 알아내는 방법은 병력청취를 통해 추정하는 것과 근전도(EMG)검사입니다. 환자들은 증상을 애매하게 호소하기 때문에 하지 방사통이 발생한 시기(신경근이 압박한 시기)를 정확히 파악해야 합니다. 

 

근전도(EMG)검사는 감각신경전도검사, 운동신경전도검사, 근전도검사로 나눌 수 있는데, 신경이 눌린 위치를 정확하게 판단하는 가장 좋은 방법입니다.허리디스크로 인해 근전도 검사상 이상까지 발생하려면 受傷 후 3-4주가 지나야 합니다. 신경전도 검사는 전기자극을 주고 전달되는 에너지의 양을 측정하여 정상속도와 비교하여 지연(delay)되는 걸 찾는 것이고 파형의 크기 등을 비교하여 신경의 전도기능을 평가하는 것입니다. 신경전도검사는 신경 병변의 위치와 신경 손상의 정도는 상당히 정확히 알 수 있지만, 질병의 원인(예를들어 종양에 의해서 신경이 압박되는지)은 알 수 없는 단점을 가지고 있습니다.  근전도검사는 근마비, 근위축 등 근육 장애의 정도를 알아내는 데 유용한 검사입니다

 

그림. 근전도 검사 결과(파형) - 정상과 비정상의 비교

 

다음으로 중요한 것이 "어디에서 신경이 압박받고 있는지"를 알아내는 것입니다. 신경근이 압박된 위치(site)를 신경학적 검진으로 알아낼 수 있어야 치료부위를 명확히 할 수 있고, 자기공명영상 등으로 확인한 디스크탈출 부위와 매칭시켜 해석할 수 있습니다. 가장 먼저 알아내야 할 것이 중추신경문제에 의한 증상인지, 말초신경 병변인지입니다. 그 다음으로 신경근 부위인지, 신경총(nerve plexus)인지, 그 아래의 말초신경 부위인지를 알아내는 것이 중요합니다.

 

예를 들어 환자들이 오른 팔이 저리고, 오른쪽 다리가 저리다고 호소할 때 의료인은 먼저 중추신경 문제인지, 말초신경 문제인지를 신경학적 검진을 통해 추정할 수 있어야 합니다. 이러한 증상은 중추신경의 이상으로 나타날 수도 있고, 경추 또는 허리에서 디스크가 탈출되어 증상이 나타날 수도 있고, 근육과 근육사이(사각근과 중사각근 사이, 대흉근아래, 팔꿈치, 손목, 발목 등)에서 신경이 압박되어 나타날 수도 있습니다. 의료인이라면 신경학적 검진을 통해 신경이 어디에서 압박을 받고 있는지를 추정하여 정확한 진단을 위한 검사를 시행하고 치료할 수 있어야 합니다.  

 

저를 가장 오랫동안 힘들게 했던 허리디스크의 예후 판단 방법을 알아봤습니다. 다음 장에서는 허리디스크로 인한 통증의 경로(pathway)와 각종 통증 치료법에 대해서 알아보겠습니다.

다음검색
현재 게시글 추가 기능 열기

댓글

댓글 리스트
맨위로

카페 검색

카페 검색어 입력폼