CAFE

PRECICE-ISKD수술

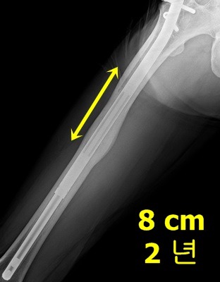
허벅지(ISKD) 8cm 수술후 2년 : 내고정 제거 축하드립니다. 왕자님 ^^

작성자항상 초심으로 ...|작성시간14.03.15|조회수963 목록 댓글 0

 

 

 

다음검색
현재 게시글 추가 기능 열기

댓글

댓글 리스트
맨위로

카페 검색

카페 검색어 입력폼