CAFE

knee

무릎(슬관절) 주위의 점액낭염 (Knee Bursitis)

작성자조영훈|작성시간15.04.21|조회수5,101 목록 댓글 0

무릎(슬관절) 주위의 점액낭염 (Knee Bursitis)

 

 

 점액낭(Bursa)은 활막(synovium)과 유사한 막(membrane)으로 싸여 있는 주머니(sac)이며, 그 대부분은 관절 주위나 골의 돌출 부위를 지나는 피부, 건 또는 근육 주위에 위치한다. 그 기능은 마찰을 감소시키고, 섬세한 조직을 압박으로부터 보호하는 것이다. 슬관절 주위에는 11개 또는 그 이상의 점액낭이 있다. 그 위치는 대퇴사두건의 심층에 슬개상 점액낭(suprapatellar bursa), 슬개골과 피부 사이에 비교적 큰 슬개전 점액낭(prepatellar bursa), 슬개건의 천층과 심층에 천층 및 심층 슬개하 점액낭(superficial and deep infrapatellar bursa), 비복근의 내측두와 반막양근 사이에 슬와 낭종(popliteal cyst) 일명 Baker 낭종, 거위발건 주위의 거위발 점액낭(pes anserine bursa) 및 내·외측측부인대 점액낭(medial·lateral collateral ligament bursa) 등이 있다.

 

 

 슬관절과 연결이 있는 점액낭 슬개상 점액낭, 슬와 낭종, 슬와근 열공(politeal hiatus: 슬와건이 외측 반월연골판과 관절낭 사이를 지나면서 만든 낭)이다. 슬관절의 염증이 슬와근 열공이나 슬와낭종을 따라 슬와 부위로 파급될 수 있다.

 

 

Knee Bursitis, Prepatellar Bursitis - Dr. Nabil Ebraheim Youtube 동영상

 

 

1. 원인 및 증상

 

 점액낭염(Bursitis)점액낭의 염증성 변화에 의하여 통증(pain)과 종창(swelling) 등을 일으키는 것이다. 슬관절의 점액낭 중 임상적으로 슬개전 점액낭, 슬개하 점액낭, 슬와낭종, 그리고 거위발 점액낭이 주로 문제를 일으킨다.

 

 그 원인에 따라 외상성, 급성 감염성, 만성 감염성으로 구분할 수 있다. 외상성 점액낭염은 직접적인 급성 외상으로 점액낭의 출혈에 의하여, 또는 반복되는 만성 외상이 원인이다. 외상성 점액낭염슬개전 점액낭에서 빈발하며, 특히 무릎을 꿇고 일을 많이 하는 사람에서 발생하면 Housemaid's knee라 부른다. 급성 감염성 점액낭염은 화농성 염증으로 심한 통증 및 종창, 발열 또는 관절 운동 제한의 증상이 나타난다. 만성 감염성 점액낭염은 결핵, 류마티스 관절염, 매독 또는 통풍 등의 원인에 의하여 발병한다.

 

 

2. 진단

 

 대부분의 정상적인 점액낭은 소량의 점액을 함유하여 MRI에서 잘 관찰되지 않지만, 염증성 변화에 의해 점액양이 증가되면 T1 영상에서 저신호 강도를, T2 영상에서 고신호 강도를 보이는 경계가 명확한 점액낭이 관찰된다.

 


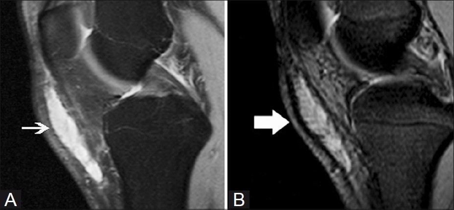
△ 슬개전 점액낭염(Prepatellar bursitis)의 MRI 소견



△ 천층 슬개하 점액낭염(Superficial infrapatellar bursitis)의 MRI 소견



△ 심층 슬개하 점액낭염(Deep infrapatellar bursitis)의 MRI 소견



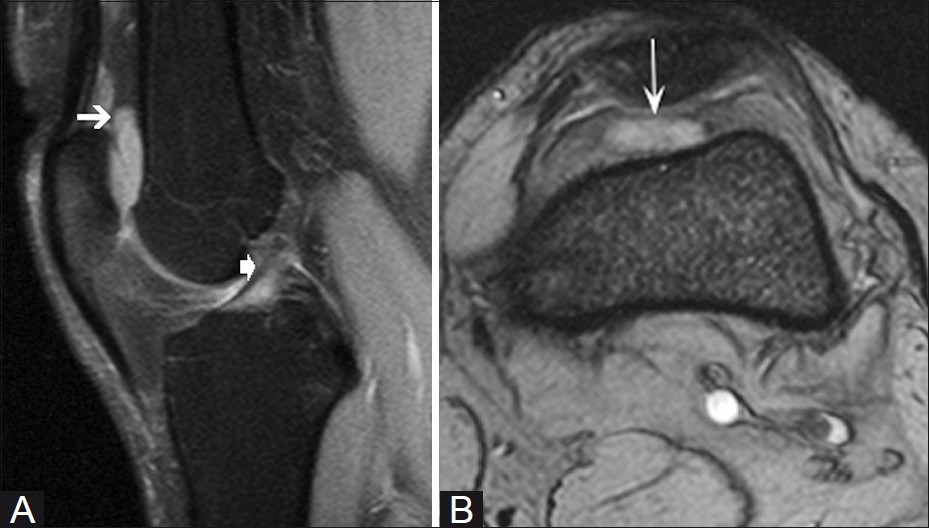
△ 슬개상 점액낭염(Suprapatellar bursitis)의 MRI 소견



△ 거위발 점액낭염(Pes anserine bursitis)의 MRI 소견



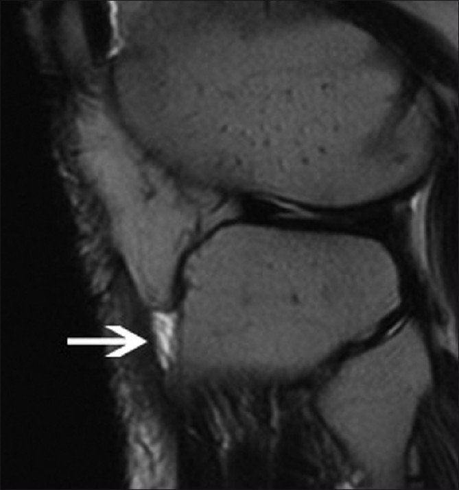
△ 내측측부인대 점액낭염(Medial collateral ligament bursitis)의 MRI 소견


△ 베이커 낭종(Baker's cyst)의 MRI 소견

(이미지 출처 : http://www.ijri.org/article.asp?issn=0971-3026;year=2012;volume=22;issue=1;spage=27;epage=30;aulast=Chatra)

 하지만 슬와근 열공측측부인대 점액낭(Voshell's bursa)의 경우에는 정상 관절에서도 MRI 검사 시 흔히 나타나므로 각각 외측 반월연골판의 후각부 파열과 내측측부인대 파열로 오진할 수 있으므로 병적 상태와 감별을 요한다.

 

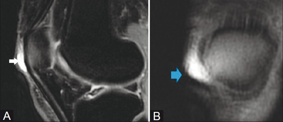
△ 내측측부인대 점액낭염 (Voshell's Bursitis)

(이미지 출처 : http://radiologycases.blogspot.kr/2010/08/voshells-bursitis.html)

 
 

3. 치료

 

 치료는 그 원인에 따라 하여야 한다. 일반적으로 수술적 치료보다는 보존적 치료를 한다. 보존적 치료는 안정, 압박 붕대로 압박, 얼음 찜질(ice packs), 고정 등이 있다. 점액낭에 고여있는 삼출액을 뽑고, 외상성인 경우는 스테로이드를 국소 주사하고, 감염성인 경우는 균 검사를 하여 적절한 항생제를 선택하여 투여하며, 필요시 절개 배농을 시행해야 한다. 결핵성인 경우는 항결핵 치료제를 사용하여야 한다. 수술적 치료는 절개 배농 혹은 점액낭 절제술을 시행하고, 만성 점액낭염의 경우 골의 돌출이 있으면 뼈제거술을 시행할 수도 있다. 슬관절 강(Knee joint space)과 연결되는 점액낭염은 관절 내 병적 과정에서 영향을 받는다. 특히 슬와 낭종(poplteal cyst, 일명 Baker 낭종)은 소아에서는 관절내와 교통(communication)이 드물어 단순 절제술로 치유가 잘 되지만, 성인에서는 슬관절 후방부 활액막의 탈출(herniation)과 연관이 있으며 약 반수에서는 슬관절 내 병변, 즉 반월연골판 후각 손상이 있어 낭종 절제술만 시행하면 낭종이 재발할 수 있으므로 반드시 슬관절 내 병변의 유무를 확인하여 적절한 치료를 시행해야 한다.

 

 

 

※ 참고 문헌 : 대한정형외과학회. 《정형외과학 2》 최신의학사. 2013. 1051~1052쪽

다음검색
현재 게시글 추가 기능 열기

댓글

댓글 리스트
맨위로

카페 검색

카페 검색어 입력폼