CAFE

knee

무릎, 고관절 관절염 jama 2020년 논문

작성자문형철|작성시간24.10.28|조회수384 목록 댓글 0

 

 

 

 

JAMA

. Author manuscript; available in PMC: 2022 Feb 9.

Published in final edited form as: JAMA. 2021 Feb 9;325(6):568–578. doi: 10.1001/jama.2020.22171

Diagnosis and treatment of hip and knee osteoarthritis: A review

Jeffrey N Katz 1,2,3, Kaetlyn R Arant 1, Richard F Loeser 4

  • Author information
  • Copyright and License information

PMCID: PMC8225295  NIHMSID: NIHMS1705936  PMID: 33560326

The publisher's version of this article is available at JAMA

See "Effect of Platelet-Rich Plasma Injections vs Placebo on Ankle Symptoms and Function in Patients With Ankle Osteoarthritis" in volume 326 on page 1595.

See "Krill Oil for Knee Osteoarthritis" in volume 331 on page 1997.

 

Abstract

Importance:

Osteoarthritis (OA) affects more than 240 million people worldwide and is the most frequent reason for activity limitation in adults. This review focuses on hip and knee OA.

 

Observations:

OA is the most common type of arthritis. It can involve almost any joint but typically affects the hands, knees, hips and feet. It is characterized by pathologic changes in cartilage, bone, synovium, ligament, muscle, and periarticular fat, leading to joint dysfunction, pain, stiffness, functional limitation, and loss of valued activities. Risk factors include age, female sex, obesity, genetics and major joint injury. Persons with OA have more comorbidities and are more sedentary than those without OA. The reduced physical activity leads to a 20% higher age-adjusted mortality. Several physical examination findings are useful diagnostically, including bony enlargement in knee OA and pain elicited with internal hip rotation in hip OA. Radiographic indicators include marginal osteophytes and joint space narrowing. The cornerstones of OA management are prescribed exercises, weight loss if appropriate, and education—complemented by topical or oral NSAIDs, in those without contraindications. Intraarticular steroid injections provide short-term pain relief and duloxetine has demonstrated efficacy.  Opiates should be avoided. Clinical trials have shown promising results for compounds that arrest structural progression (e.g. cathepsin K inhibitors, Wnt inhibitors, anabolic growth factors), or reduce OA pain (e.g. nerve growth factor inhibitors). Persons with advanced symptoms and structural damage are candidates for total joint replacement. Racial and ethnic disparities persist in the utilization and outcomes of joint replacement.

 

Conclusions and Relevance:

Hip and knee OA are highly preval‎ent and disabling. Education, exercise and weight loss are cornerstones of management, complemented by NSAIDS (in those who are candidates), corticosteroid injections, and several adjunctive medications. In persons with advanced symptoms and structural damage, total joint replacement effectively relieves pain.

 

요약
중요성:


골관절염(OA)은 전 세계적으로 2억 4천만 명 이상의 사람들에게 영향을 미치며 성인에서 활동 제한의 가장 흔한 원인입니다. 이 리뷰는 고관절과 무릎 관절염에 초점을 맞춥니다.

관찰:
골관절염은 가장 흔한 유형의 관절염입니다. 

거의 모든 관절에 발생할 수 있지만 일반적으로 

손, 무릎, 엉덩이 및 발에 영향을 미칩니다. 

 

연골, 뼈, 활막, 인대, 근육 및 관절 주위 지방의 

병리학적인 변화가 특징이며 

관절 기능 장애, 통증, 뻣뻣함, 기능 제한 및 가치 있는 활동의 상실로 이어집니다

 

위험 요인으로는 

나이, 성별, 비만, 유전, 주요 관절 부상 등이 있습니다. 

 

골관절염이 있는 사람은 

그렇지 않은 사람보다 동반 질환이 더 많고 

더 많이 앉아서 생활합니다. 

 

신체 활동이 감소하면 

연령 조정 사망률이 20% 더 높아집니다. 

 

무릎 관절염의 뼈 비대, 

고관절 관절염의 고관절 내부 회전으로 인한 통증 등 

여러 신체 검사 소견이 진단에 유용합니다. 

 

방사선 촬영 지표에는 

골극과 관절 공간 협착이 포함됩니다. 

 

marginal osteophytes and joint space narrowing

 

OA 관리의 기본은 

처방된 운동, 적절한 경우 체중 감량, 금기 사항이 없는 경우 국소 또는 경구 NSAID로 보완되는 교육입니다. 

 

관절 내 스테로이드 주사는 

단기적인 통증 완화를 제공하며 

둘록세틴(세로토닌 재흡수 억제, 우울증약)은 효과가 입증되었습니다. 

 

 

아편제는 피해야 합니다. 

 

임상 시험에 따르면 

구조적 진행을 억제하거나(예: 켑신 K 억제제, Wnt 억제제, 단백 동화 성장 인자) 

OA 통증을 감소시키는 화합물(예: 신경 성장 인자 억제제)에 대한 

유망한 결과가 나타났습니다. 

 

증상이 심하고 구조적 손상이 있는 사람은 

인공관절 전치환술을 받을 수 있습니다. 

 

인종과 민족에 따라 관절 치환술의 활용도와 결과에 차이가 있습니다.

결론 및 관련성:


고관절 및 무릎 관절염은 

유병률이 높고 장애를 유발합니다. 

 

교육, 운동, 체중 감량은 관리의 초석이며, 

NSAIDS(후보군에 해당하는 경우), 

코르티코스테로이드 주사 및 여러 보조 약물로 보완할 수 있습니다. 

 

증상이 심하고 구조적 손상이 있는 경우, 

인공관절 전치환술을 통해 통증을 효과적으로 완화할 수 있습니다.

 

Introduction:

Long characterized as a ‘wear and tear’ disorder, osteoarthritis (OA) is now understood to have a complex pathophysiology affecting multiple joints and joint structures, as captured by the Osteoarthritis Research Society International definition of OA: “The disease manifests first as a molecular derangement (abnormal joint tissue metabolism) followed by anatomic, and/or physiologic derangements (characterized by cartilage degradation, bone remodeling, osteophyte formation, joint inflammation and loss of normal joint function), that can culminate in illness.”1

Worldwide, an estimated 240 million persons have symptomatic, activity-limiting OA.2,3 The knee and hip are two commonly affected joints and are the focus of this review. Nearly 30% of individuals greater than 45 years old have radiographic evidence of knee OA, about half of whom have knee symptoms.4,5 The preval‎ence of symptomatic, radiographic hip OA is around 10%.6,7

 

The lifetime risk of symptomatic knee OA is greater in obese persons (BMI ≥ 30 kg/m2) than nonobese persons (19.7% versus 10.9%).8 Prior joint trauma, such as anterior cruciate ligament rupture and ankle fracture, increases risk, accounting for 12% of knee OA cases.9 The preval‎ence of symptomatic, radiographic knee OA was 11.4% in women and 6.8% in men in one large cohort study4 and 18.7% in women and 13.5% in men in another large cohort study.5 As compared to males with OA, women have more severe radiographic findings and symptoms.10 Older age and female sex are risk factors for hip OA as well as knee OA. In addition, congenital and acquired anatomic abnormalities (e.g. hip dysplasia) are risk factors for hip OA. Regarding race, African Americans and whites have similar preval‎ence of hip OA (accounting for race, sex and body mass index), while African Americans, especially women, have higher preval‎ence of knee OA.5,7

OA leads to substantial cost and mortality. Forty-three percent of the 54 million individuals in the US living with arthritis (most of whom have OA) experience arthritis-related limitations in daily activities.11 Wage losses due to OA amount to $65 billion and direct medical costs exceed $100 billion.2,12 Persons with knee OA spend, on average, around $15,000 dollars (discounted) over their lifetimes on direct medical costs of OA.13 OA is commonly associated with comorbidities, which may stem from lack of physical activity, medication toxicity, and the effects of inflammatory cytokines. It has been estimated that 31% of persons with OA have ≥5 comorbid conditions.2 Persons with hip and knee OA have ~20% excess mortality as compared with age-matched controls, due in part to lower levels of physical activity.2

 

소개

오랫동안 '마모' 질환으로 특징지어졌던

골관절염(OA)은

이제 여러 관절과 관절 구조에 영향을 미치는 복잡한 병태 생리를 가진 것으로 이해되고 있으며,

국제골관절염연구학회(Osteoarthritis Research Society International)에서 정의한 OA에 따르면

이 질환은 먼저 분자적 이상(관절 조직 대사 이상)이 나타나고

해부학적, 또는 생리적 이상(연골 분해, 뼈 리모델링, 골 형성, 관절 염증 및 정상 관절 기능 상실)이 이어지며

질병으로 절정에 이를 수 있습니다.”. “1

 

The disease manifests first as a

molecular derangement (abnormal joint tissue metabolism) followed by anatomic, and/or physiologic derangements (characterized by cartilage degradation, bone remodeling, osteophyte formation, joint inflammation and loss of normal joint function), that can culminate in illness

 

전 세계적으로

약 2억 4천만 명의 사람들이 증상을 동반하고

활동을 제한하는 골관절염을 앓고 있습니다.2,3

 

무릎과 고관절은

일반적으로 영향을 받는 두 가지 관절이며

이 리뷰의 초점입니다.

 

45세 이상 인구의 약 30%가

무릎 OA의 방사선학적 증거를 가지고 있으며,

이 중 약 절반은 무릎 증상이 있습니다.4,5

 

증상이 있는 방사선학적 고관절 OA의 유병률은

약 10%입니다.6,7

 

증상이 있는 무릎 OA의 평생 위험은

비만한 사람(BMI ≥ 30kg/㎡)이 비만한 사람보다 높습니다

(19.7% 대 10.9%).8

 

전방십자인대 파열 및 발목 골절과 같은 이전 관절 외상은

무릎 OA 사례의 12%를 차지하며 위험을 증가시킵니다.9

 

한 대규모 코호트 연구에서 증상이 있는 방사선학적 무릎 OA의 유병률은

여성 11.4%, 남성 6.8%였으며4

 

또 다른 대규모 코호트 연구에서는

여성 18.7%, 남성 13.5%였습니다.5

 

OA가 있는 남성보다 여성이 방사선학적 소견과 증상이 더 심합니다.10

 

고령과 여성 성별은

무릎 OA뿐 아니라

고관절 OA의 위험 요인입니다.

 

또한 선천적 및 후천적 해부학적 이상(예: 고관절 이형성증)도 고관절 OA의 위험 요인입니다. 인종과 관련하여 아프리카계 미국인과 백인은 인종, 성별, 체질량 지수를 고려했을 때 고관절 OA 유병률이 비슷하지만 아프리카계 미국인, 특히 여성은 무릎 OA 유병률이 더 높습니다.5,7

 

 

OA는 상당한 비용과 사망률로 이어집니다.

 

미국 관절염 환자 5,400만 명 중 43%(대부분 OA 환자)가 관절염으로 인한 일상 활동 제한을 경험합니다.11

 

OA로 인한 임금 손실은 650억 달러에 달하며 직접 의료 비용은 1,000억 달러를 초과합니다.2,12 무릎 OA 환자는 평생 평균 약 15,000달러(할인 시)를 OA 직접 의료 비용으로 지출합니다.13

 

OA는 일반적으로 신체 활동 부족, 약물 독성 및 염증 사이토카인의 영향으로 인한 동반 질환과 연관되어 있습니다.

 

OA 환자의 31%가

5가지 이상의 동반 질환을 앓고 있는 것으로 추정됩니다.2

 

고관절 및 무릎 OA 환자는

신체 활동 수준이 낮기 때문에

연령이 일치하는 대조군에 비해 사망률이 최대 20% 더 높습니다.2

 

Methods

We searched PubMed for English-language articles on the diagnosis and management of hip and knee OA, using the search terms osteoarthritis and treatment; osteoarthritis and epidemiology; osteoarthritis and diagnosis or imaging; osteoarthritis and disability or comorbidity. We reviewed these publications and relevant references in these papers. We based our conclusions on treatment efficacy primarily using the rigorous systematic literature syntheses and metaanalyses that support the Osteoarthritis Research Society International 2018 OA treatment guidelines.14 The efficacy parameter in these studies is the standardized mean difference (SMD), the mean difference in improvement between active treatment and placebo, divided by the standard deviation of the difference. For questions not addressed by the metaanalyses, we provide results of pivotal trials.

 

방법

골관절염과 치료, 골관절염과 역학, 골관절염과 진단 또는 영상, 골관절염과 장애 또는 동반 질환이라는 검색어를 사용하여 고관절 및 무릎 OA의 진단 및 관리에 관한 영어 논문을 PubMed에서 검색했습니다. 이러한 논문과 관련 참고 문헌을 검토했습니다. 주로 국제골관절염연구학회 2018 골관절염 치료 가이드라인을 뒷받침하는 엄격한 체계적 문헌 종합 및 메타분석을 사용하여 치료 효능에 대한 결론을 도출했습니다.14 이 연구의 효능 매개변수는 표준화 평균 차이(SMD)로, 활성 치료와 위약 간의 평균 개선 차이를 표준편차로 나눈 값입니다. 메타분석에서 다루지 않은 질문에 대해서는 중추적 임상시험의 결과를 제공합니다.

 

Pathophysiology

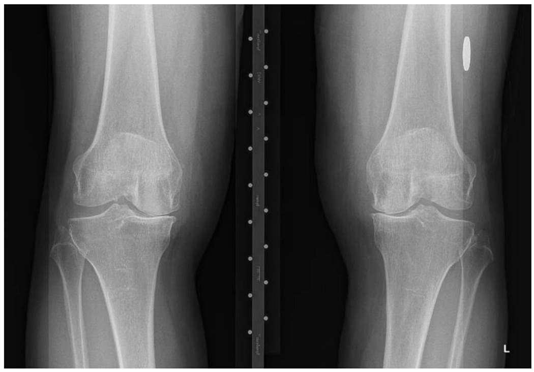
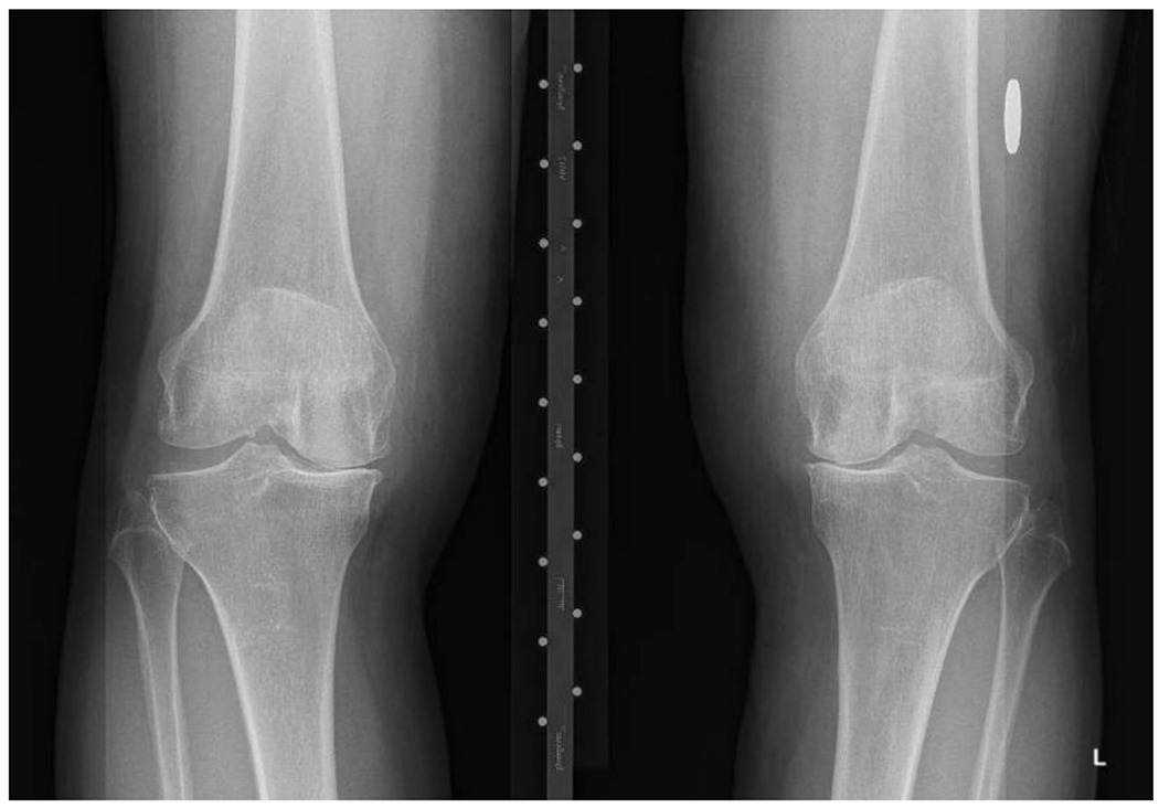
OA arises from complex biological processes that include cartilage, bone, synovium, ligaments, periarticular fat, meniscus, and muscle.15 The classic features of OA noted on radiographs include joint space narrowing due to loss of articular cartilage and meniscus, and bony changes including sclerosis of subchondral bone and osteophytes (Figure 1A). The effects of OA on cartilage, meniscus, syovium, subchondral bone and other structures can be appreciated on magnetic resonance imaging (Figure 1B).

 

병리 생리학

 

OA는

연골, 뼈, 활막, 인대, 관절 주위 지방, 반월판 및 근육을 포함하는

복잡한 생물학적 과정에서 발생합니다.15

 

방사선 사진에서 관찰되는 OA의 전형적인 특징으로는

관절 연골과 반월판의 손실로 인한 관절 공간 협착과

연골 하골 및 골육종의 경화증을 포함한 뼈의 변화가 있습니다(그림 1A).

 

연골, 반월상 연골, 활막, 연골하 뼈 및 기타 구조에 대한 OA의 영향은

자기공명영상에서 확인할 수 있습니다(그림 1B).

 

Figure 1A:

Open in a new tab

Bilateral varus deformity with medial joint space narrowing (nearly bone on bone) and osteophyte formation. Thin arrows show joint space narrowing and thick arrows medial marginal osteophytes.

 

내측 관절 공간이 좁아지고(거의 뼈와 뼈가 맞닿음) 골육종이 형성된 양측 내반 변형입니다. 

가는 화살표는 관절 공간 협착을, 굵은 화살표는 내측 가장자리 골극을 나타냅니다.

 

Figure 1B:

Open in a new tab

 

MRI (proton density, fat saturated) of right knee of 63 year old female. Coronal view on left and saggital view on right. Bone marrow lesions are identified with thin, solid white arrows on the coronal view; meniscal damage and cartilage damage are identified with dashed arrow on saggital view and retropatellar effusion as solid arrow on saggital view.

The biomechanical environment influences the disease process. Varus alignment of the lower extremities (“bowlegged”) shifts load medially, increasing risk of medial compartment knee OA, while valgus alignment (“knocked knees”) shifts load laterally leading to lateral compartment OA. These abnormalities in alignment are risk factors for OA incidence and, more importantly, for OA progression.16,17 Excessive loading of bone may result in bone marrow lesions, seen on magnetic resonance imaging (Figure 1B).18 Histologically, bone marrow lesions contain microfractures with bone fragments, necrosis, fibrosis and abnormal adipocytes suggestive of focal areas of damage and remodeling due to abnormal loading.19

 

Synovitis is commonly noted in OA joints.20 The synovitis seen in OA has a predominance of macrophages while the synovitis of rheumatoid arthritis (RA) has a predominance of T cells.21 This reflects activation of the innate immune response in OA joints, likely due to damage of joint tissues resulting in a chronic wound type of environment.22 OA synovitis is more focal than in RA; in the knee, it is commonly found in the suprapatellar pouch.23 Synovitis plays a prominent role in joint destruction in RA, while its role in the progression of OA may be limited to a subset of individuals.

 

Many proinflammatory cytokines and growth factors have been identified in the OA joint (Figure 2.) Cytokines present at relatively high levels in OA synovial fluid include IL-6, MCP-1, VEGF, IP-10 and MIG.24 The pro-inflammatory factors are responsible for the progressive destruction and remodeling of the joint through the stimulation of matrix-degrading enzymes, including the matrix metalloproteinases.15,25 The growth factors that normally would stimulate matrix production and repair of joint tissues are overwhelmed by pro-inflammatory mediators. Certain growth factors including TGFβ and BMP-2 promote osteophyte formation and contribute to subchondral sclerosis. The pro-inflammatory mediators and anabolic factors are produced locally by the cells within the affected tissues including the articular chondrocytes, synovial fibroblasts and immune cells in the synovium, inflammatory cells in periarticular fat, as well as cells in bone, including osteoblasts, osteocytes, osteoclasts and bone marrow mesenchymal stem cells (Figure 3).15,26 The cytokines are potential targets for disease modification in OA; however, currently it is not clear which cytokines are primary drivers of joint destruction, and which are involved secondarily.

 

63세 여성의 오른쪽 무릎 MRI(양성자 밀도, 지방 포화도). 왼쪽은 관상면, 오른쪽은 시상면입니다. 골수 병변은 관상면에서 가늘고 단단한 흰색 화살표로, 반월상 연골 손상과 연골 손상은 시상면에서 점선 화살표로, 후방 슬개골 삼출은 시상면에서 실선 화살표로 식별할 수 있습니다.

 

생체 역학적 환경은 질병 진행에 영향을 미칩니다. 하지의 내반 정렬(“휜다리”)은 하중이 내측으로 이동하여 내측 구획 슬관절 OA의 위험을 증가시키고, 외반 정렬(“휜 무릎”)은 하중이 외측으로 이동하여 외측 구획 OA를 유발합니다.

 

이러한 정렬 이상은

OA 발생의 위험 요소이며,

더 중요한 것은 OA 진행의 위험 요소입니다.16,17

 

과도한 뼈의 하중은 자기 공명 영상에서 볼 수 있는 골수 병변을 초래할 수 있습니다(그림 1B).18 조직학적으로 골수 병변에는 골절, 괴사, 섬유증 및 비정상적인 지방 세포가 있는 미세 골절이 포함되어 비정상적인 하중으로 인한 국소 손상 및 리모델링을 시사합니다.19

 

활막염은

OA 관절에서 흔히 나타납니다.20

 

OA에서 보이는 활막염은

대식세포가 우세한 반면 류마티스 관절염(RA)의 활막염은

T 세포가 우세합니다.21

 

이는 만성 상처 유형의 환경으로 인한 관절 조직의 손상으로 인해 OA 관절에서 선천성 면역 반응이 활성화된 것을 반영합니다.22 OA 활막염은 RA보다 더 국소적이며 무릎에서는 슬개골 상부 주머니에서 흔히 발견됩니다.23 활막염은 RA의 관절 파괴에서 두드러진 역할을하는 반면 OA의 진행에서 그 역할은 일부 개인으로 제한 될 수 있습니다.

 

OA 관절에서 많은 염증성 사이토카인과 성장 인자가 확인되었습니다(그림 2). OA 활액에 비교적 높은 수준으로 존재하는 사이토카인에는 IL-6, MCP-1, VEGF, IP-10 및 MIG가 포함됩니다.24 전 염증성 인자는 매트릭스 메탈로프로테아제를 포함한 매트릭스 분해 효소의 자극을 통해 관절의 점진적인 파괴와 리모델링을 담당합니다.15,25 일반적으로 관절 조직의 매트릭스 생성 및 복구를 자극하는 성장 인자는 전 염증성 매개체에 의해 압도됩니다. TGFβ 및 BMP-2를 포함한 특정 성장 인자는 골세포 형성을 촉진하고 연골 연하 경화증에 기여합니다. 전 염증 매개체와 동화 인자는 관절 연골 세포, 활막의 활막 섬유아세포 및 면역 세포, 관절 주위 지방의 염증 세포, 조골 세포, 파골 세포 및 골수 중간엽 줄기 세포를 포함한 뼈의 세포를 포함하여 영향을 받는 조직 내의 세포에서 국소적으로 생성됩니다 (그림 3). 15,26 사이토카인은 골관절염에서 질병 변형의 잠재적 표적이지만, 현재 어떤 사이토카인이 관절 파괴의 주요 원인이고 어떤 사이토카인이 이차적으로 관여하는지는 명확하지 않습니다.

 

Figure 2.

Open in a new tab

Molecular Mediators of Osteoarthritis. A number of pro-inflammatory factors and anabolic factors are present in joint tissues and in the synovial fluid. Pro-inflammatory mediators contribute to joint tissue destruction in large part by stimulating production of matrix degrading enzymes, including the matrix metalloproteinases, but also through inhibition of matrix synthesis. The anabolic factors stimulate matrix production and, in some cases, also inhibit the catabolic signaling stimulated by pro-inflammatory mediators. Some factors including TGFβ and bFGF are capable of initiating either catabolic or anabolic activity depending on cell type and specific receptors expressed. TGFβ and BMP-2 can also stimulate osteophyte formation. The overall activity in the OA joint is tipped in favor of the pro-inflammatory side. (IL, interleukin; LIF, leukemia inhibitory factor; MCP, monocyte chemoattractant protein, MIF, macrophage migration inhibitory factor; MIG, monokine Induced By Interferon-Gamma; bFGF, basic fibroblast growth factor; TGF, transforming growth factor; IGF, insulin-like growth factor, BMP, bone morphogenetic protein; CDMP; cartilage-derived morphogenetic protein.)

 

골관절염의 분자 매개체. 

 

관절 조직과 활액에는 여러 전 염증 인자와 동화 인자가 존재합니다. 

전 염증 매개 인자는 기질 금속 단백질 분해 효소를 포함한 기질 분해 효소의 생성을 자극하고 기질 합성을 억제함으로써 관절 조직 파괴에 크게 기여합니다. 동화 인자는 매트릭스 생성을 자극하고 경우에 따라 전 염증 매개체에 의해 자극되는 이화 작용 신호도 억제합니다. TGFβ 및 bFGF를 포함한 일부 인자는 세포 유형과 발현되는 특정 수용체에 따라 이화 작용 또는 동화 작용을 시작할 수 있습니다. TGFβ와 BMP-2는 또한 골세포 형성을 자극할 수 있습니다. 골관절염 관절의 전반적인 활동은 염증성 측면에 유리하게 기울어져 있습니다. 

 

(IL, 인터루킨; LIF, 백혈병 억제 인자; MCP, 단핵구 화학 유인 단백질; MIF, 대식세포 이동 억제 인자; MIG, 인터페론-감마에 의해 유도되는 모노카인; bFGF, 기본 섬유아세포 성장 인자; TGF, 변형 성장 인자; IGF, 인슐린 유사 성장 인자; BMP, 뼈 형태 형성 단백질; CDMP; 연골 유래 형태 형성 단백질).

 

 

Figure 3.

Open in a new tab

Joint Tissue Involvement in Osteoarthritis. OA can involve all joint structures at some point in the disease process. Although articular cartilage degradation and loss is a central feature, changes in the neighboring bone accompany the cartilage damage. These include subchondral bone remodeling resulting in increased thickness, osteophytes, bone marrow lesions and vascular invasion into the overlying cartilage. Inflammatory cells, primarily macrophages, are present in the synovium and can also be noted in peri-articular fat. Meniscal and ligament damage is often found as well. All of these tissues are capable of producing a host of pro-inflammatory factors and matrix degrading enzymes and thus contribute to the progressive remodeling and destruction of the joint.

 

골관절염의 관절 조직 침범. 

 

골관절염은 질병 과정의 어느 시점에서 모든 관절 구조를 침범할 수 있습니다. 관절 연골의 퇴행과 손실이 주요 특징이지만, 연골 손상과 함께 주변 뼈의 변화도 동반됩니다. 여기에는 연골 하부 뼈의 리모델링으로 인한 두께 증가, 골 형성, 골수 병변 및 주변 연골로의 혈관 침범이 포함됩니다. 염증 세포, 주로 대식세포는 활막에 존재하며 관절 주위 지방에서도 발견될 수 있습니다. 반월상 연골과 인대 손상도 종종 발견됩니다. 이러한 모든 조직은 다양한 전 염증 인자와 기질 분해 효소를 생산할 수 있어 관절의 점진적인 리모델링과 파괴에 기여합니다.

 

Clinical presentation

Patients with OA typically present with pain and stiffness in the affected joint(s). Stiffness is worse in the morning or on arising after prolonged sitting, and improves within 30 minutes. Pain is use-related early in the course, but can become less predictable over time. While sometimes viewed as a disease of inexorable worsening, natural history studies show that most patients report little change in symptoms over six years of observation.27

 

임상 증상

 

골관절염 환자는

일반적으로 해당 관절에 통증과 뻣뻣함을 호소합니다. 뻣뻣함은 아침에 또는 장시간 앉아 있다가 일어날 때 악화되며 30분 이내에 호전됩니다. 통증은 초기에는 사용과 관련이 있지만 시간이 지남에 따라 예측하기 어려워질 수 있습니다. 때로는 끝없이 악화되는 질병으로 여겨지기도 하지만, 자연사 연구에 따르면 대부분의 환자는 6년 동안 관찰하는 동안 증상의 변화가 거의 없다고 보고합니다.27

 

Assessment and Diagnosis

The clinician must distinguish symptomatic OA from other entities that can cause hip or knee pain, including inflammatory (e.g. rheumatoid and psoriatic) arthritis, infectious and crystalline (e.g. gout, pseudogout) arthritis and soft tissue lesions such as bursitis, tendonitis, and meniscal tear. The stiffness in inflammatory arthritis may last over an hour. The pain of infectious arthritis and crystalline arthritis is typically acute. Individuals with retropatellar pain may have patellofemoral OA, which can exist in isolation or in the presence of tibiofemoral OA. Because the patellofemoral joint is loaded when the knee is bent, patellofemoral OA is especially painful when patients ascend and descend stairs and get in and out of cars or a bath.28 The syndrome of patellofemoral pain is common and often arises from malalignment of the patella in the femoral groove ( due for example to asymmetric tension from the lateral and medial quadriceps) rather than from OA.

 

On physical exam, knee effusions are generally either absent or small and cool in persons with OA. Those with effusions may have popliteal or “Bakers” cysts, which are extensions of the synovial swelling that can be palpated in the posterior aspect of the knee. In contrast, the knee often has warm, easily palpable effusions in inflammatory, infectious and crystalline arthritis. Soft tissue lesions such as anserine bursitis and trochanteric bursitis are extra-articular and do not cause joint effusions; they are identified by local tenderness. Effusions cannot be detected on physical exam of recessed joints such as the hip. Infectious, crystalline and other inflammatory arthritides can be distinguished incisively from OA because the synovial fluid white blood cells exceed 2000 cells/cc in these disorders.

 

The sensitivities, specificities and likelihood ratios of various elements of the physical examination and radiographic features for hip and knee OA are shown in Table 1. Bony enlargement on physical examination is specific (95%) for knee OA, though somewhat insensitive (55%), while crepitus is sensitive (89%) though somewhat nonspecific (58%).29 Osteophytes on knee radiographs are both sensitive (91%) and fairly specific (83%). The combination of osteophytes AND knee pain has good sensitivity (83%) and specificity (93%), with likelihood ratio of 11.9.29 (The likelihood ratio = sensitivity / (1 – specificity). If the likelihood ratio is > 1, a positive test indicates that the post-test probability of disease is greater than the pre-test probability.

 

평가 및 진단

임상의는 고관절 또는 무릎 통증을 유발할 수 있는 다른 질환(예: 류마티스 및 건선성 관절염, 감염성 및 결정성(예: 통풍, 가성 통풍) 관절염, 활액낭염, 건염, 반월상 연골 파열 등)과 증상이 있는 OA를 구별해야 합니다. 염증성 관절염의 뻣뻣함은 한 시간 이상 지속될 수 있습니다. 감염성 관절염과 결정성 관절염의 통증은 일반적으로 급성입니다. 슬개골 후방 통증이 있는 사람은 슬개대퇴 골관절염이 단독으로 또는 경골 대퇴 골관절염과 함께 존재할 수 있습니다. 슬개 대퇴 관절은 무릎을 구부릴 때 부하가 걸리기 때문에 슬개 대퇴 OA는 환자가 계단을 오르내리거나 자동차 또는 목욕탕에 타고 내릴 때 특히 통증이 심합니다 .28 슬개 대퇴 통증 증후군은 흔하며 종종 OA보다는 대퇴골 홈의 슬개골 부정렬 (예 : 외측 및 내측 대퇴사 두근의 비대칭 긴장으로 인해)로 인해 발생합니다.

 

신체 검사에서 무릎 삼출액은 일반적으로 무릎에 없거나 작고 차갑게 나타납니다. 삼출액이 있는 사람은 슬와 낭종 또는 “베이커스” 낭종이 있을 수 있는데, 이는 무릎 뒤쪽에서 만져질 수 있는 활액막 부종의 연장선입니다. 반대로 염증성, 감염성 및 결정성 관절염의 경우 무릎에 따뜻하고 쉽게 만져지는 삼출액이 있는 경우가 많습니다. 안세린 활액낭염 및 대전자 활액낭염과 같은 연조직 병변은 관절 외이며 관절 삼출을 일으키지 않으며 국소 압통으로 식별됩니다. 고관절과 같이 함몰된 관절의 신체 검사에서는 삼출액을 발견할 수 없습니다. 감염성, 결정성 및 기타 염증성 관절염은 이러한 질환에서 활액 백혈구가 2000세포/cc를 초과하기 때문에 OA와 명확하게 구분할 수 있습니다.

 

고관절 및 슬관절 OA에 대한 신체 검사의 다양한 요소와 방사선학적 특징의 민감도, 특이도 및 가능성 비율은 표 1 에 나와 있습니다. 신체 검사상 뼈 비대는 무릎 OA의 경우 민감도(95%)가 높지만 다소 둔감한 반면(55%), 크레피투스는 민감도(89%)가 높지만 다소 비특이적(58%)입니다.29 무릎 방사선 사진의 골극은 민감도(91%)와 상당히 특이도(83%)가 모두 높습니다. 골육종과 무릎 통증의 조합은 민감도(83%)와 특이도(93%)가 양호하며, 가능성 비율은 11.9.29입니다 (가능성 비율 = 민감도/(1 - 특이도)). 가능성비가 1보다 크면 양성 판정은 테스트 후 질병 확률이 테스트 전 확률보다 크다는 것을 나타냅니다.

 

Table 1:

Performance characteristics* of key physical examination and radiographic features of hip and knee OA

FeatureSensitivitySpecificityLikelihood RatioKnee

Bony enlargement55%95%11.0
Crepitus with passive motion89%58%2.1
Osteophytes91%83%5.4
Knee pain PLUS osteophyte83%93%11.9
Hip
Internal rotation < 15 deg66%72%2.4
Pain with internal rotation82%39%1.3
Decreased hip adduction80%81%4.2
Femoral or acetabular osteophytes89%90%8.9
Superior joint space narrowing85%66%2.5
Hip pain PLUS osteophyte89%90%8.9

Open in a new tab

*

data from refs 3032

A recent review provided detailed data on the utility of physical examination maneuvers in the diagnosis of hip OA, and a video demonstration of the hip examination.30,31 Hip internal rotation <15 degrees is moderately sensitive (66%) and specific (72%), as is limited hip adduction (80% sensitive, 81% specific).30,32 Pain with hip internal rotation is more sensitive (82%) but less specific (39%). Osteophytes on radiographs are both sensitive (89%) and specific (90%). The combination of hip pain PLUS an osteophyte is also quite sensitive (89%) and specific (90%).32

These data suggest a presumptive diagnosis of hip or knee OA can be made on the basis of the history and physical exam. Radiographs portray the severity of structural damage and improve specificity when osteophytes or joint space narrowing are present. Pathologic features and symptoms of OA can occur before osteophytes are present on radiographs. Thus, a normal radiograph does not exclude OA. If the clinical presentation is highly suggestive of OA, clinicians should initiate management (detailed below) despite normal radiographs. Knee radiographs should be performed with the patient standing to reveal the extent of joint space narrowing of the tibiofemoral joint. For research purposes, hip and knee radiographs are typically assessed with the Kellgren-Lawrence grading system, with grade 0 representing no pathologic findings; Grade 1 questionable osteophytes; Grade 2 definite osteophytes; Grade 3, definite joint space narrowing; and Grade 4 advanced joint space narrowing.33,34 The radiograph in Figure 1A is Kellgren-Lawrence Grade 3 and nearly K-L 4 because of the advanced medial joint space narrowing is nearly bone-on-bone.

Hip radiographs typically include an anteroposterior view and a lateral view. Weight-bearing is not necessary. The inter- and intra-rater reliabilities of hip radiographs for detecting joint space narrowing are high.35 Hip radiographs involve greater exposure to ionizing radiation than radiographs of the chest or knee.

MRI is seldom indicated in the assessment or management of knee or hip OA. MRI detects changes in cartilage, meniscus (knee), labrum (hip), bone and synovium, providing a fuller picture of pathological involvement (Figure 1B).36 Because of its high sensitivity36, MRI is useful for research studies to identify early OA and document structural changes over time. In clinical care, MRI can be useful if there is suspicion of conditions such as subchondral insufficiency fracture, tumor or infection that would be treated differently and more urgently than OA.

Ultrasound can visualize joint effusion, osteophytes and other features.37 As compared with MRI, ultrasound has sensitivity and specificity exceeding 85% for detecting osteophytes. Ultrasound is not as accurate as MRI in assessing joint space narrowing.38 Because ultrasound is less expensive and more portable than MRI, it is used frequently in Europe and a growing number of US centers in the diagnosis of OA and assessment of progression.

Treatment

Several professional organizations have developed guidelines for OA management (Table 2). The guidelines suggest that patients with OA should be offered a core set of non-pharmacological interventions including education, weight loss (for those who are overweight), and exercises (strengthening, cardiovascular, and/or mind-body exercises such as Yoga or Tai Chi).14,3944

Table 2:

Summary of osteoarthritis treatment guidelines from major professional societies

Open in a new tab

*

Recommendations taken from ACR, EULAR, AAOS, and OARSI Guidelines for the Management of OA.14,43,44,101,102

*

EULAR does not distinguish between strong/conditional recommendations. In this table, any recommendation with a Level of Evidence of 1 (out of 4) and a level of agreement 8.5 (out of 10) or above is considered strongly recommended. AAOS includes 3 levels of evidence: strong, moderate, and limited. In this table, any recommendation that has moderate or limited evidence is considered conditionally recommended.

Structured exercise interventions that typically focus on strengthening of lower extremity muscles offer improvements in pain and functional status (SMD of 0.52 for knee OA and 0.34 for hip OA; Table 3). A randomized controlled trial of a structured walking program showed a reduction in pain scores of 1.38 points (on a 0-10 scale) in the walking group and just 0.1 points in the control group (p=0.003).45 Referral to a physical therapist is appropriate to initiate such a program, or to address lower extremity weakness or limitations in hip or knee range of motion. A combination of diet and exercise can result in substantial weight loss, pain relief, improvement in functional status, and reduction in inflammatory markers, as compared with exercise alone.46

Table 3:

Standardized mean differences in pain score from placebo controlled trials of 4-12 weeks duration

Knee OAHip OASMD95% CISMD95% CI

Structured Exercise Program0.520.37 – 0.680.340.19 – 0.49
Mind body programs*0.630.32 – 0.950.35−0.06 – 0.76
Dietary weight management^0.420.23-0.62NT
Acetaminophen0.05−0.11 – 0.210.230.13 – 0.33
Oral NSAID0.280.22 – 0.350.330.24 – 0.43
Topical NSAID0.200.11 – 0.29NT
Duloxetine0.390.25 – 0.52NT
Opioids0.200.05 – 0.350.210.10 – 0.32
IA Corticosteroids0.410.21 – 0.611.650.16 – 3.47
IA Hyaluronic Acid0.340.26 – 0.420.18−0.13 – 0.50

Open in a new tab

*

includes Tai-Chi, Yoga

^

dieteary weght management + exercise vs. exercise alone

From OARSI treatment guidelines Appendix.14

NT= no trials

While trials of lateral wedge shoe inserts have not been efficacious, a recent trial of an individualized external orthotic (attached below the sole) was associated with greater improvement in pain and functional status than a control orthotic.47 This observation should be replicated before being advanced to routine use.

Non-steroidal anti-inflammatory drugs (NSAIDs) are first line pharmacologic treatment for OA. In numerous placebo-controlled trials, NSAIDs have resulted in greater pain relief than placebo, with standardized mean differences in pain and function scores of ~ 0.33 standard deviations, reflecting a moderate effect (Table 3). Many NSAIDs are available over the counter. Topical NSAIDs generally have less gastrointestinal toxicity than oral NSAIDs,14,44 but are less useful in hip OA because the joint is recessed.

NSAIDs have important toxicities, including gastrointestinal irritation and ulceration, bleeding, and decreased renal blood flow with azotemia. Patients on anticoagulants who wish to take an NSAID should use a COX-2 inhibitor (such as celecoxib), which does not increase bleeding. Those with dyspepsia should use proton pump inhibitors and/or a COX-2 inhibitor. Patients with history of bleeding peptic ulcer are typically not prescribed NSAIDs at all. Risk factors for gastrointestinal bleeding from NSAIDs include older age, medical comorbidities, and concomitant use of corticosteroids and anticoagulants.48 Individuals with cardiovascular or renal disease are at risk of renal toxicity; alternatives to NSAIDs should be discussed. Acetaminophen is less efficacious than NSAIDs in management of knee (SMD 0.05) and hip (SMD 0.23) OA.4953 It is a reasonable, safe alternative for those intolerant to NSAIDs but should not be used in persons with liver disease or risk factors such as heavy alcohol use. The Medical Letter table published in this issue of JAMA provides rich information on formulations, dosages and costs of many of the pharmacologic agents noted in this review.

Patients unable to take NSAIDs, or who do not respond, can try intra-articular corticosteroid injections, which typically relieve pain for a few weeks.54 They are especially helpful in patients with OA of a single joint that can be injected easily, such as the knee. The hip is generally injected under imaging (fluoroscopy or ultrasound) guidance. Corticosteroid injections have no greater effect on pain than placebo after three months,55 and may be inferior to physical therapy at one year.56 A newer formulation of steroid injection (triamcinolone acetonide extended release) appears to have fewer systemic effects than traditional steroid injections.57 Some studies have suggested that intraarticular steroid injections may have deleterious effects on cartilage55,58; the clinical meaning of these findings is not yet known.

Injection of intra-articular hyaluronic acid (HA) products is another option for patients with persistent pain despite NSAIDs. Guidelines differ regarding recommendations of intraarticular HA (Table 2).14,4044 While efficacy of HA injections is similar to that of NSAIDs (SMD 0.37, Table 3), the highest quality trials showed weaker effects. Injection of growth factors, such as those found in platelet-rich plasma, and injection of stem cell preparations, are increasing in use. However, these products are non-standardized and studies of these agents are weak.

Osteoarthritis pain may be mediated in part by mechanisms in the central nervous system. Several medications have been used to address pain of central origin. Duloxetine, a serotonin-norepinephrine reuptake inhibitor, has been shown in randomized trials to result in greater pain relief than placebo in persons with knee OA (SMD 0.39).59,60 Gabapentin may have efficacy in knee OA, but evidence is limited.61 Opiate analgesics are used by over 20% of patients with OA, but have limited efficacy for hip and knee OA (SMD ~0.20) and considerable toxicity including constipation, falls, somnolence, respiratory depression and potential for addiction. OA treatment guidelines advise against use of stronger opiates, with conditional recommendation of tramadol, a synthetic opioid agonist that also inhibits reuptake of serotonin and norepinephrine.44

To date, trials of biologics to inhibit IL-1 or TNFα in knee OA failed to relieve symptoms or halt structural progression, as compared with placebo.6264 However, a secondary analysis of the CANTOS trial (canakinumab anti-inflammatory thrombosis outcome study) demonstrated a significant reduction in the incidence of hip and knee replacement in those receiving anti-IL-1β, with a pooled HR of 0.58 (CI 0.42-0.80, p=0.001).65 Some areas of current investigation for disease modification that are being examined in early phase studies include Wnt inhibiton66, intra-articular injection of an anabolic growth factor FGF-1867 and a cathepsin K inhibitor.68

Patients with persistent pain and functional loss and advanced radiographic changes are candidates for total knee or hip replacement (TKR, THR). More than 700,000 primary TKRs and 330,000 primary THRs are done annually in the US, >90% for OA.69 Ninety-day mortality is <1%, and serious complications at 90 days occur in <5%.7073 About 90% of recipients of THR and 80% of recipients of TKR report little to no residual pain following recovery from these procedures.74 A randomized controlled trial of TKR vs. a rigorous physical therapy program showed that those receiving TKR improved in KOOS Pain score by 35 points (on a 0-100 scale), as compared with 17 points in those receiving PT (difference of 17 points (95% CI 10.4, 23.8).75 Fewer than 10% of TKRs and ~20% of THRs need to be revised over 20 years.76,77 The failure rate is higher in younger and more active recipients, those with comorbidities and those operated upon in low volume centers or by low volume surgeons.78,79 The generally low revision rates mean that persons who receive TKR or THR in their 70’s’s are much more likely to die with their original implants in place than to need revision.80 In the patient with unicompartmental knee OA, surgical options include unicondylar knee replacement and osteotomy as well as TKR. Arthroscopic debridement is not appropriate for treating OA; arthroscopic partical meniscectomy has a limited role in patients with OA and symptomatic meniscal tear, for whom nonoperative therapy was not helpful.8183

Blacks and Hispanics are ~25% less likely to receive TKR than non-Hispanic whites, even after accounting for age and socioeconomic status.72,84 These patterns are seen for THR as well.85,86 Proposed reasons for these disparities in utilization include less frequent offers of joint replacement to non-Whites,87 less willingness to undergo TJR, implicit bias, and other factors.88,89 Blacks and Hispanics also have higher risk of adverse outcomes including mortality after THR and joint infections following TKR.90

Several innovative interventions for OA have been introduced into clinical use but have not been eval‎uated with sufficient rigor to be recommended. The include geniculate artery embolization, water-cooled radiofrequency ablation and botox injections.

Evolving concepts in management of OA

OA consists of multiple phenotypes.91 Knee OA developing after anterior cruciate ligament tear might have a mechanism distinct from OA associated with obesity. Individuals may have more than one mechanism at play, requiring multi-modal management. It will be important to determine which individuals with early OA are more likely to progress rapidly and would benefit from an intervention designed to slow disease progression. Machine learning approaches using datasets that include demographic, imaging and biomarker data are being harnessed to identify such subsets.92

Intensive research has identified potential targets for structure-modifying therapies,6668 including inhibitors of collagenases and aggrecanases that degrade cartilage, and of the cytokines and chemokines that contribute to the pro-inflammatory environment.93 Pre-clinical evidence suggests that senescent cells in the joint contribute to OA by releasing pro-inflammatory mediators and matrix-degrading enzymes. Targeting these cells with senolytics that selectively kill senescent cells could be of value.94 It remains unclear whether arresting progression of structural damage in OA will ultimately result in reduced pain and functional limitation.

In addition to structure modification, research in OA therapeutics has also focused on nerve growth factor (NGF), with several trials showing efficacy in pain relief with injections of anti-NGF antibodies.9597 However, individuals who received anti-NGF were more likely than those receiving placebo to experience rapid progression of OA requiring joint arthroplasty, especially if they were also taking NSAIDs. 98 If anti-NGF therapy is approved for OA, providers and patients will need to discuss risks and benefits carefully.

Prognosis

While some patients with OA follow a trajectory of steady increase in symptoms, others have waxing and waning pain over many years. There is also variability in the progression of joint damage. Model projections suggest that over 50% of persons in the US with symptomatic knee OA undergo TKR over their lifetimes.13 Several factors influence the rapidity of radiographic and clinical progression including older age, reduced physical activity, the extent of cartilage damage, short term changes of cartilage damage, malalignment and more severe pain.27,99,100

Conclusion

Evolving insights into pathophysiology portend a new age in OA therapeutics, with therapies that can curb structural progression and provide more potent and/or safer pain relief. The efficacy of diet and exercise interventions suggests that breakthroughs in efforts to sustain weight loss could move the field forward. Taken together these advances may change the outlook for patients with this painful, costly, disabling condition.

Table 4:

Approach to the patient with osteoarthritis

Type of therapySpecific therapyComments

Non-pharmacologic therapiesExercise
Education
Weight loss (if obese)
Yoga or Tai Chi
-Physical therapist can provide structured exercise, especially if patient lacks confidence or knowledge
-Weight loss effective but difficult to achieve and sustain
-Yoga and Tai Chi beneficial, with few risks
Anti-inflammatory agentsTopical NSAIDs
PO NSAIDS
Cox-2 inhibitors
-Topical generally less toxic than oral

-Cox-2 inhibitors if on anticoagulant or if GI toxicity
Intra-articular injectionsCorticosteroids
Hyaluronic acid compounds
-Injections most useful in monoarticular presentations
-Steroid injections: risk of hyperglycemia, infection; benefits last a few weeks to months
-Long-acting steroid compound may offer advantages
-HA compounds more costly, conflicting evidence of efficacy
-Stem cells, Platelet rich plasma, other growth factors not recommended because of lack of efficacy data
Additional medicationsDuloxetine
Opioids
-Duloxetine efficacious, though may be difficult to tolerate
-Oioid side effects numerous and serious; reserve for short-term use or if no other options; tramadol preferred over stronger opioids
SurgeryArthroscopy
Total joint replacement
-Arthroscopy not indicated for OA per se; reasonable in OA and meniscal tear if no response to PT
-Joint replacement effective; cost effective; underutilized in Blacks and Hispanics

Open in a new tab

Commonly Asked Questions about Osteoarthritis.How common is osteoarthritis?

Osteoarthritis (OA) is among the most frequently seen problems in adult office practice. It affects over 240 million persons worldwide and over 32 million in the US..

Who is mostly likely to get osteoarthritis?

The risk of OA rises markedly with age. OA is exceedingly rare in persons less than 30 years old, while one third of individuals over 75 have symptomatic knee OA. OA is more common in women than in men. Other important risk factors of OA include obesity, prior joint injury, genetics and malignment of joints.

How is osteoarthritis diagnosed?

The cardinal symptom of OA is pain, which is typically provoked by load bearing and relieved by rest. Stiffness occurs following inactivity. On physical examination, bony overgrowth can often be appreciated and pain can often be provoked by joint motion. Radiographs typically reveal osteophyte formation and narrowing of the joint space, the latter reflecting loss of cartilage.

Is osteoarthritis a wear and tear disease?

OA was long considered a ‘wear and tear’ disease of articular cartilage caused by prolonged use of joints, but our understanding of the disorder has advanced considerably. Pathologic changes in OA involve cartilage, bone, synovium, ligament, adipose tissue and meniscus, as well as neurologic pathways involving pain processing. These changes can arise from external mechanical loads (including obesity), joint malignment, joint injury and metabolic and genetic factors. Pathologic features include inflammation. These insights have prompted an array of therapies that may soon permit clinicians to arrest the progression of joint damage and attendant symptoms.

What treatments are used for osteoarthritis?

Management of OA begins with educating patients about its natural history, the benefits of excercise and weight loss, and strategies to reduce pain. Weight loss and physical therapy have well documented benefits in persons with knee OA. Nonsteroidal anti-inflammatory drugs, given either topically or orally, are the backbone of pharmacologic treatment. Duloxetine has proven efficacy. Intraarticular injections of corticosteroids provide temporary relief. Injection of hyaluronic acid products is also offered frequently, though evidence of benefit remains disputed. Injections of biologic therapies (such as platelet rich plasma, stem cells) have not been studied rigorously. Joint replacement is highly effective for advanced arthritis of the knee and hip.

How effective is total joint replacement? How dangerous it is? How long does the implant last?

About 90% of recipients of total hip replacement and about 80% of recipients of total knee replacement report substantial improvement in pain following surgery. Mortality following these procedures is less than 1% and serious problems such as pulmonary embolus, myocardial infarction, pneumoinia and infection of the implant occur in less than 5%. The implants are durable with aobut 90% of knee implants and 80% of hip implants lasting 20 years. These procedures appear to be underutilized in African Americans and Hispanics with advanced OA.

Acknowledgement:

Dr. Katz has received research funding for a cohort study of subjects with osteoarthritis from Samumed and for a qualitative study of subjects with osteoarthritis from Flexion Therapeutics. Dr. Loeser has received research funding for a pre-clinical study in osteoarthritis from Bioventus and consulting fees from Unity Biotechnology. Ms. Arant has no disclosures.

Support: NIH/NIAMS P30AR072577, P30 AR072520

References

  • 1.Kraus VB, Blanco FJ, Englund M, Karsdal MA, Lohmander LS. Call for standardized definitions of osteoarthritis and risk stratification for clinical trials and clinical use. Osteoarthritis Cartilage. 2015;23(8):1233–1241. [DOI] [PMC free article] [PubMed] [Google Scholar]
  • 2.Hawker G Osteoarthritis: a serious disease Osteoarthris Research Society International 2016. https://www.oarsi.org/research/oa-serious-disease.
  • 3.Global, regional, and national incidence, preval‎ence, and years lived with disability for 301 acute and chronic diseases and injuries in 188 countries, 1990-2013: a systematic analysis for the Global Burden of Disease Study 2013. Lancet (London, England). 2015;386(9995):743–800. [DOI] [PMC free article] [PubMed] [Google Scholar]
  • 4.Felson DT, Naimark A, Anderson J, Kazis L, Castelli W, Meenan RF. The preval‎ence of knee osteoarthritis in the elderly. The Framingham Osteoarthritis Study. Arthritis Rheum. 1987;30(8):914–918. [DOI] [PubMed] [Google Scholar]
  • 5.Jordan JM, Helmick CG, Renner JB, et al. Preval‎ence of knee symptoms and radiographic and symptomatic knee osteoarthritis in African Americans and Caucasians: the Johnston County Osteoarthritis Project. The Journal of Rheumatology. 2007;34(1):172. [PubMed] [Google Scholar]
  • 6.Haugen IK, Englund M, Aliabadi P, et al. Preval‎ence, incidence and progression of hand osteoarthritis in the general population: the Framingham Osteoarthritis Study. Ann Rheum Dis. 2011;70(9):1581–1586. [DOI] [PMC free article] [PubMed] [Google Scholar]
  • 7.Jordan JM, Helmick CG, Renner JB, et al. Preval‎ence of hip symptoms and radiographic and symptomatic hip osteoarthritis in African Americans and Caucasians: the Johnston County Osteoarthritis Project. The Journal of rheumatology. 2009;36(4):809–815. [DOI] [PMC free article] [PubMed] [Google Scholar]
  • 8.Losina E, Weinstein AM, Reichmann WM, et al. Lifetime risk and age at diagnosis of symptomatic knee osteoarthritis in the US. Arthritis Care Res (Hoboken). 2013;65(5):703–711. [DOI] [PMC free article] [PubMed] [Google Scholar]
  • 9.Brown TD, Johnston RC, Saltzman CL, Marsh JL, Buckwalter JA. Posttraumatic osteoarthritis: a first estimate of incidence, preval‎ence, and burden of disease. Journal of orthopaedic trauma. 2006;20(10):739–744. [DOI] [PubMed] [Google Scholar]
  • 10.Srikanth VK, Fryer JL, Zhai G, Winzenberg TM, Hosmer D, Jones G. A meta-analysis of sex differences preval‎ence, incidence and severity of osteoarthritis. Osteoarthritis Cartilage. 2005;13(9):769–781. [DOI] [PubMed] [Google Scholar]
  • 11.Barbour KE, Helmick CG, Boring M, Brady TJ. Vital Signs: Preval‎ence of Doctor-Diagnosed Arthritis and Arthritis-Attributable Activity Limitation - United States, 2013-2015. MMWR Morbidity and mortality weekly report. 2017;66(9):246–253. [DOI] [PMC free article] [PubMed] [Google Scholar]
  • 12.CPI for All Urban Consumers: All items in U.S. city average, all urban consumers, not seasonally adjusted 2019. https://data.bls.gov/pdq/SurveyOutputServlet. Accessed 1 April 2020.
  • 13.Losina E, Paltiel AD, Weinstein AM, et al. Lifetime medical costs of knee osteoarthritis management in the United States: impact of extending indications for total knee arthroplasty. Arthritis care & research. 2015;67(2):203–215. [DOI] [PMC free article] [PubMed] [Google Scholar]
  • 14.Bannuru RR, Osani MC, Vaysbrot EE, et al. OARSI guidelines for the non-surgical management of knee, hip, and polyarticular osteoarthritis. Osteoarthritis Cartilage. 2019;27(11):1578–1589. [DOI] [PubMed] [Google Scholar]
  • 15.Loeser RF, Goldring SR, Scanzello CR, Goldring MB. Osteoarthritis: A disease of the joint as an organ. Arthritis Rheum. 2012;64:1697–1707. [DOI] [PMC free article] [PubMed] [Google Scholar]
  • 16.Brouwer GM, van Tol AW, Bergink AP, et al. Association between valgus and varus alignment and the development and progression of radiographic osteoarthritis of the knee. Arthritis Rheum. 2007;56(4):1204–1211. [DOI] [PubMed] [Google Scholar]
  • 17.Sharma L, Song J, Felson DT, Cahue S, Shamiyeh E, Dunlop DD. The role of knee alignment in disease progression and functional decline in knee osteoarthritis. JAMA. 2001;286(2):188–195. [DOI] [PubMed] [Google Scholar]
  • 18.Felson DT, McLaughlin S, Goggins J, et al. Bone marrow edema and its relation to progression of knee osteoarthritis. Ann Intern Med. 2003;139(5 Pt 1):330–336. [DOI] [PubMed] [Google Scholar]
  • 19.Taljanovic MS, Graham AR, Benjamin JB, et al. Bone marrow edema pattern in advanced hip osteoarthritis: quantitative assessment with magnetic resonance imaging and correlation with clinical examination, radiographic findings, and histopathology. Skeletal radiology. 2008;37(5):423–431. [DOI] [PubMed] [Google Scholar]
  • 20.Felson DT, Niu J, Neogi T, et al. Synovitis and the risk of knee osteoarthritis: the MOST Study. Osteoarthritis Cartilage. 2016;24:458–464. [DOI] [PMC free article] [PubMed] [Google Scholar]
  • 21.Wood MJ, Leckenby A, Reynolds G, et al. Macrophage proliferation distinguishes 2 subgroups of knee osteoarthritis patients. JCI insight 2019;4(2):e125325. [DOI] [PMC free article] [PubMed] [Google Scholar]
  • 22.Orlowsky EW, Kraus VB. The Role of Innate Immunity in Osteoarthritis: When Our First Line of Defense Goes On the Offensive. The Journal of rheumatology. 2015; 42(3):363–371. [DOI] [PMC free article] [PubMed] [Google Scholar]
  • 23.Scanzello CR, Goldring SR. The role of synovitis in osteoarthritis pathogenesis. Bone. 2012;51(2):249–257. [DOI] [PMC free article] [PubMed] [Google Scholar]
  • 24.Sohn DH, Sokolove J, Sharpe O, et al. Plasma proteins present in osteoarthritic synovial fluid can stimulate cytokine production via Toll-like receptor 4. Arthritis research & therapy. 2012;14(1):R7–R7. [DOI] [PMC free article] [PubMed] [Google Scholar]
  • 25.van den Bosch MHJ, van Lent P, van der Kraan PM. Identifying effector molecules, cells, and cytokines of innate immunity in OA. Osteoarthritis Cartilage. 2020;28(5):532–543. [DOI] [PubMed] [Google Scholar]
  • 26.Lieberthal J, Sambamurthy N, Scanzello CR. Inflammation in joint injury and post-traumatic osteoarthritis. Osteoarthritis Cartilage. 2015;23(11):1825–1834. [DOI] [PMC free article] [PubMed] [Google Scholar]
  • 27.Collins JE, Katz JN, Dervan EE, Losina E. Trajectories and risk profiles of pain in persons with radiographic, symptomatic knee osteoarthritis: data from the osteoarthritis initiative. Osteoarthritis Cartilage. 2014;22(5):622–630. [DOI] [PMC free article] [PubMed] [Google Scholar]
  • 28.Duncan R, Peat G, Thomas E, Wood L, Hay E, Croft P. Does isolated patellofemoral osteoarthritis matter? Osteoarthritis Cartilage. 2009;17(9):1151–1155. [DOI] [PubMed] [Google Scholar]
  • 29.Altman R, Asch E, Bloch D, et al. Development of criteria for the classification and reporting of osteoarthritis. Classification of osteoarthritis of the knee. Diagnostic and Therapeutic Criteria Committee of the American Rheumatism Association. Arthritis Rheum. 1986;29(8):1039–1049. [DOI] [PubMed] [Google Scholar]
  • 30.Metcalfe D, Perry DC, Claireaux HA, Simel DL, Zogg CK, Costa ML. Does This Patient Have Hip Osteoarthritis?: The Rational Clinical Examination Systematic Review. JAMA. 2019;322(23):2323–2333. [DOI] [PMC free article] [PubMed] [Google Scholar]
  • 31.Does This Patient Have Hip Osteoarthritis: How to Provide a Hip Examination for Hip Osteoarthritis [Video]: JAMA Network 2019. [Google Scholar]
  • 32.Altman R, Alarcón G, Appelrouth D, et al. The American College of Rheumatology criteria for the classification and reporting of osteoarthritis of the hip. Arthritis & Rheumatism. 1991;34(5):505–514. [DOI] [PubMed] [Google Scholar]
  • 33.Kohn MD, Sassoon AA, Fernando ND. Classifications in Brief: Kellgren-Lawrence Classification of Osteoarthritis. Clin Orthop Relat Res. 2016;474(8):1886–1893. [DOI] [PMC free article] [PubMed] [Google Scholar]
  • 34.Kellgren JH, Lawrence JS. Radiological assessment of osteo-arthrosis. Ann Rheum Dis. 1957;16(4):494–502. [DOI] [PMC free article] [PubMed] [Google Scholar]
  • 35.Gold GE, Cicuttini F, Crema MD, et al. OARSI Clinical Trials Recommendations: Hip imaging in clinical trials in osteoarthritis. Osteoarthritis Cartilage. 2015;23(5):716–731. [DOI] [PMC free article] [PubMed] [Google Scholar]
  • 36.Hunter DJ, Zhang W, Conaghan PG, et al. Systematic review of the concurrent and predictive validity of MRI biomarkers in OA. Osteoarthritis Cartilage. 2011;19(5):557–588. [DOI] [PMC free article] [PubMed] [Google Scholar]
  • 37.Bijlsma JW, Berenbaum F, Lafeber FP. Osteoarthritis: an update with relevance for clinical practice. Lancet (London, England). 2011;377(9783):2115–2126. [DOI] [PubMed] [Google Scholar]
  • 38.Podlipská J, Guermazi A, Lehenkari P, et al. Comparison of Diagnostic Performance of Semi-Quantitative Knee Ultrasound and Knee Radiography with MRI: Oulu Knee Osteoarthritis Study. Scientific Reports. 2016;6:22365. [DOI] [PMC free article] [PubMed] [Google Scholar]
  • 39.Fernandes L, Hagen KB, Bijlsma JW, et al. EULAR recommendations for the non-pharmacological core management of hip and knee osteoarthritis. Ann Rheum Dis. 2013;72(7):1125–1135. [DOI] [PubMed] [Google Scholar]
  • 40.Pendleton A, Arden N, Dougados M, et al. EULAR recommendations for the management of knee osteoarthritis: report of a task force of the Standing Committee for International Clinical Studies Including Therapeutic Trials (ESCISIT). Ann Rheum Dis. 2000;59(12):936–944. [DOI] [PMC free article] [PubMed] [Google Scholar]
다음검색
현재 게시글 추가 기능 열기

댓글

댓글 리스트
맨위로

카페 검색

카페 검색어 입력폼