CAFE

근육생리와 역학

근육과 직렬로 연결되어 근육힘을 뼈에 전달하는 건(tendon)의 특성에 대한 탐구 - 반드시 정리해야 함

작성자문형철|작성시간13.10.11|조회수2,634 목록 댓글 2

근육과 직렬로 연결되어 근육힘을 뼈에 전달하는 건(tendon)의 특성에 대해 한번은 진지한 탐구가 필요하다.


건은 근육힘의 장력만을 인지하고 반응한다. 





The Golgi organ (also called Golgi tendon organ, GTO, tendon organ, neurotendinous organ or neurotendinous spindle) senses changes in muscle tension. It is a proprioceptive sensory receptor organ that is at the origins and insertion[1] of skeletal muscle fibers into the tendons of skeletal muscle. It provides the sensory component of the Golgi tendon reflex


neurotendinous spindle이라 불리기도 함. 

골지건기관은 근육장력의 변화를 감지함. 

골지건기관은 골격근섬유의 기시와 종지에서 건으로 이어지는 고유수용감각 수용기기관임. 

골기건기관은 골지건반사의 감각부분을 제공함. 





The body of the organ is made up of strands of collagen that are connected at one end to the muscle fibers and at the other merge into the tendon proper. Each tendon organ is innervated by a single afferent type Ib sensory nerve fiber that branches and terminates as spiral endings around the collagen strands. The Ib afferent axon is a large diameter, myelinated axon. Each neurotendinous spindle is enclosed in a fibrous capsule which contains a number of enlarged tendon fasciculi (intrafusal fasciculi). One or more nerve fibres perforate the side of the capsule and lose their medullary sheaths; the axis-cylinders subdivide and end between the tendon fibers in irregular disks or varicosities (see figure).


골지건기관에는 건의 콜라겐 다발주위를 spiral ending으로 연결된 single afferent type Ib 감각섬유가 종지하고 있음. 

각각의 신경건 방추는 섬유막으로 둘러싸여 있음. 





건의 기능


When the muscle generates force, the sensory terminals are compressed. This stretching deforms the terminals of the Ib afferent axon, opening stretch-sensitive cation channels. As a result, the Ib axon is depolarized and fires nerve impulses that are propagated to the spinal cord. The action potential frequency signals the force being developed by the 10 to 20 motor units within the muscle. This is representative of whole muscle force.[2]


근육이 힘을 생성할때, 감각 터미널은 압박됨. 근육 늘어남은 Ib 구심성 축삭의 terminal 을 변형시키고, 스트레치-감각 양이온채널을 open.

그 결과 Ib 축삭은 탈분극하고 신경 impulse이 일어나고 척수로 전달됨. 활동전위 빈도는 근육내 10~20개 운동단위에 의해서 만들어진 힘에 신호임. 이것은 전체 힘을 나타냄. 



The Ib sensory feedback generates spinal reflexes and supraspinal responses which control muscle contraction. Ib afferents synapse with interneurons that are within the spinal cord that also project to the brain cerebellum and cerebral cortex. The autogenic inhibition reflex assists in regulating muscle contraction force. It is associated with the Ib. Tendon organs signal muscle force through the entire physiological range, not only at high strain.[2][3]


Ib 감각 피드백은 척수반사를 생성하고, 상척수반응은 근육수축을 조절함. 척수내에 있는 중간신경원을 포함한 Ib 구심성 시냅스는 소뇌와 대뇌피질로 섬유방사함. 자동억제반사는 근수축 힘을 조절하는데 도움을 줌. 그것은 Ib신경섬유와 연관됨. 

골지건기관은 근육힘에 신호를 주는데, 높은 강도의 늘어남뿐 아니라 모든 생리학적 자극에 신호를 줌..


During locomotion, Ib input excites rather than inhibits motoneurons of the receptor-bearing muscles, and it affects the timing of the transitions between the stance and swing phases of locomotion.[4] The switch to autogenic excitation is a form of positive feedback.[5]


보행하는 동안, Ib 섬유는 receptor-bearing muscle의 운동신경을 억제하기보다는 흥분시킴. 그것은 입각기와 유각기 사이의 transition의 타이밍에 영향을 줌. autogenic excitation 연축은 positive 피드백 형태임. 


The ascending or afferent pathways to the cerebellum are the dorsal and ventral spinocerebellar tracts. They are involved in the cerebellar regulation of movement.












건은 근육과 뼈를 세가지 방식으로 연결한다.


1. bone - bone

2. bone - tendon - muscle

3. bone - aponeurosis - muscle






건의 특성

 

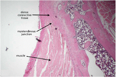
The most common form of attachment, the tendon, transmits the force of the associated muscle to bone. The tendon connects to the muscle at the myotendinous junctionwhere the muscle fibers are woven in with the collagen fibers of the tendon


힘줄의 가장 흔한 부착 형성은 근육에서 뼈와 연관된 힘을 전달함. 건은 근-건접합에서 근육과 연결되고, 근섬유는 건의 콜라겐 섬유와 함께 직물로 짜여짐. 




Tendons are powerful and carry large loads via connections where fibers perforate the surfaces of bones. Tendons can resist stretch, are flexible, and can turn corners running over cartilage, sesamoid bones, or bursae. 


건은 강력하여 뼈의 표면을 뚫고 들어간 섬유의 연결을 통해 큰 부하를 전달함. 

건은 스트레치에 저항할 수 있고, 유연하여 연골, 부골, 점액낭 등의 구석을 돌아 연결됨. 


Tendons can be arranged in a cord or in strips and can be circular, oval, or flat. Tendons consist of an inelastic bundle of collagen fibers arranged parallel to the direction of the force application of the muscle. Even though the fibers are inelastic, tendons can respond in an elastic fashion through recoiling and the elasticity of connective tissue. 


건은 cord 또는 strip형태로 배열될 수 있고, 원형, 계란형 또는 수평형태를 가질수 있음. 건은 비탄력구조인 콜라겐 섬유의 다발로 구성되어, 근육힘의 적용방향에 직렬로 나란히 연결됨.  

건이 비탄력구조이지만 결합조직의 탄성도와 recoiling을 통해 탄성형태로 반응할 수 있음


Tendons can withstand high tensile forces produced by the muscles, and they exhibit viscoelastic behavior in response to loading. The Achilles tendon has been reported to resist tensile loads to a degree equal to or greater than that of steel of similar dimensions.


건은 근육에 의해서 만들어지는 높은 인장강도를 버틸 수 있음. 그리고 주어지는 부하에 반응하여 점탄성 행동성향을 보임. 

아킬레스건은 비슷한 면적의 강철보다 강하거나 비슷한 인장강도를 가진다고 보고됨. 


The stress–strain response of a tendon is viscoelastic. That is, tendons show a nonlinear response and exhibit

hysteresis. Tendons are relatively stiff and much stronger than other structures. Tendons respond very stiffly when exposed to a high rate of loading. This stiff behavior of tendons is thought to be related to their relatively high collagen content. Tendons are also very resilient and show relatively little hysteresis or energy loss. These characteristics are necessary to the function of tendons.  Tendons must be stiff and strong enough to transmit force to bone without deforming much. Also, because of the low hysteresis of tendons, they are capable of storing and releasing elastic strain energy. 


건의 응력-변형력(stress-strain)은 점탄성적임. 건은 비직선적인 반응을 보이고 히스테리시스(이력현상, 늘리면늘어나고 힘을 제거하면 원래모습대로 되돌아감)을 보임. 

건은 다른 구조물보다 좀더 강력하고 상대적을 뻣뻣함. 특히 큰 부하에 노출되면 더욱더 뻣뻣해짐. 이러한 건의 특성은 건의 많은 콜라겐 성분과 연관되어 있음. 건은 매우 높은 복원력을 가짐. 

이러한 건의 특성은 건의 기능에 반드시 필요한 요소임. 건은 반드시 변형없이 뼈에 힘을 전달할만큼 충분히 단단하고 강해야 함. 또한 건의 낮은 이력현상때문에 건은 탄성변형력 에너지를 저장, 이완할 수 있음. 


The differences in the strength and performance characteristics of tendons versus muscles and bones is presented in Figure 3-12.


Tendons and muscles join at myotendinous junctions where the actual myofibrils of the muscle fiber join the collagen fibers of the tendon to produce a multilayered interface (62). The tendon connection to the bone consists of fibrocartilage that joins to mineralized fibrocartilage and  then to the lamellar bone. This interface blends with the periosteum and the subchondral bone.


건과 근육은 근-건접합으로 연결되고, 근섬유의 실제 근원섬유는 건의 콜라겐과 연결되어 연골, 뼈로 이어짐. 

건과 뼈의 연결은 섬유성연골로 구성됨. 이는 골막과 연골하골의 혼합형태임. 


Tendons and muscles work together to absorb or generate tension in the system. Tendons are arranged in series, or in line with the muscles. Consequently, tendons bear the same tension as muscles (46). The mechanical interaction between muscles and tendons depends on the amount of force that is being applied or generated, the speed of the muscle action, and the slack in the tendon. Tendons are composed of parallel fibers that are not perfectly aligned, forming a wavy, crimped appearance. If tension is generated in the muscle fibers while the tendon is slack, there is initial compliance in the tendon as it straightens out. It will begin to recoil or spring back to its initial length (Fig. 3-13). 


건과 근육은 인체 시스템에서 장력을 생성하거나 흡수함. 

건은 근육과 직렬로 연결되어 근육만큼의 장력을 유지함. 근육과 건의 기계적 상호작용은 힘의 양에 의존함. 

건은 평행섬유이지만 완전한 배열은 아니고, 물결모양을 형성하고, 주름형태임. 

만약 근섬유에서 장력이 생성되면 건은 느슨해지는데, 이는 건에서 똑바로되면서 나타나는 초기 반응임. 

장력이 제거되면 초기의 길이로 recoil or spring back됨. 

As the slack in the tendon is taken up by the recoiling action, the time taken to stretch the tendon causes a delay in the achievement of the required level of tension in the muscle fibers (46). Recoiling of the tendon also reduces the speed at which a muscle may shorten, which in turn increases the load a muscle can support (46). If the tendon is stiff and has no recoil, the tension will be transmitted directly to the muscle fibers, creating higher velocities and decreasing the load the muscle can support. The stiff response in a tendon allows for the development of rapid tensions in the muscle and results in brisk, accurate movements.


recoiling action에의해서 건이 느슨해진 만큼, 건이 늘어나는 시간은 근육에서 필요한 장력 달성이 늦어짐. 

건의 recoiling은 어떤 근육이 짧아지는 속도를 지연시키고, 그것은 이어서 근육부하를 증가시켜 지지할 수 있음. 만약 건이 단단해지고, recoil이 안되면 장력은 직접적으로 근육에 전달되어 높은 속도를 내고, 근육에 부하를 감소시켜 지지함. 건에서 stiff 반응은 근육에서 빠른 장력생성을 허용하고, 정확한 움직임을 야기함. 


The tendon and the muscle are very susceptible to injury if the muscle is contracting as it is being stretched. An example is the follow-through phase of throwingHere, the posterior rotator cuff stretches as it contracts to slow the movement. Another example is the lengthening and contraction of the quadriceps femoris muscle group during the support phase of running as the center of mass is lowered via knee flexion. The tendon picks up the initial stretch of the relaxed muscle, and if the muscle contracts as it is stretched, the tension increases steeply in both the muscle and tendon (46).


근육이 스트레치된 수축된 상태에서 근육과 건은 손상에 노출되기 쉬움. 

예를들어 던지기 팔로우 단계. 무릎을 구부린 상태에서 ...


When tension is generated in a tendon at a slow rate, injury is more likely to occur at the tendon–bone junction than other regions. At a faster rate of tension developmentthe actual tendon is the more common site of failure (54). 



건에서 천천히 장력이 생성될때, 손상은 건-뼈 접합에서 잘 발생함. 

건에서 장력이 빨리 생성될때, 건손상이 잘 발생함. 


For the total muscle–tendon unit, the likely site of injury is the belly of the muscle or the myotendinous junctionMany tendons travel over bony protuberances that reduce some of the tension on the tendon by changing the angle of pull of the muscle and reducing the tension generated in the muscle. Examples of this can be found with the quadriceps femoris muscles and the patella and with the tendons of the hamstrings and the gastrocnemius as they travel over condyles on the femur. Some tendons are covered with synovial sheaths to keep the tendon in place and protect the tendon.


근육-건 단위에서 근복이나 근건접합부에서 손상이 잘 발생함. 

많은 건은 근육의 당겨지는 각도 변화에 의해 건장력이 감소하는 뼈 돌출부를 지나고 근육에서 장력이 감소함. 대퇴사두근과 슬개골, 햄스트링 건, 배복근은 대퇴과에 부착함. 어떤 건은 활막으로 덮여 건이 보호됨 .


The tension in the tendons also produces the actual ridges and protuberances on bone. The apophyses found  a bone are developed by tension forces applied to the bone through the tendon (see Chapter 2). This is of interest to physical anthropologists because they can study skeletal remains and make sound predictions about  and occupations of a civilization by eval‎‍uating prominent ridges, size of the trochanters and tuberosities,  basic size of the specimen.


건에서의 장력은 뼈의 돌출부, ridge에 생성됨. 


Tendon Influences on Force Development(Force–Time Characteristics)


When a muscle begins to develop tension through the contractile component of the muscle, the force increases  over time because the passive elastic components in the tendon and the connective tissue stretch and  some of the force. After the elastic components are stretched, the tension that the muscle exerts on the bone increases linearly over time until maximum force is achieved.


근육이 수축하여 장력이 발생할 때, 힘은 시간이 지나면서 강해짐. 왜냐하면 건과 결합조직에서 수동적 탄성물질이 늘어나기 때문. 


탄성조직이 늘어난 후 근육에서 뼈로 전달되는 장력은 최대힘이 도달할때까지 직선적으로 증가함. 





The time to achieve maximum force and the magnitude of the force vary with a change in joint position. In one joint position, maximum force may be produced very quickly, but in other joint positions, it may occur later in the contraction. This reflects the changes in tendon laxity, not changes in the tension-generating capabilities of the  contractile components. If the tendon is slack, the maximum force occurs later and vice versa.


건에 최대 힘이 도달한 시간과 힘의 크기는 관절에서 변화에 따라 달라짐. 


MECHANICAL MODEL OF MUSCLE: THE MUSCULOTENDINOUS UNIT


 A series of experiments by A. V. Hill gave rise to a behavioral model that predicted the mechanical nature of muscle. The Hill model has three components that act together in a manner that describes the behavior of a whole muscle (21,22). A schematic of configurations of the Hill model is presented in Figure 3-14. Hill used the techniques of a systems engineer to perform experiments that helped him identify key phenomena of muscle function. The model contained components referred to as the contractile component  (CC), parallel elastic component  (PEC), and series elastic component  (SEC). Because this is a behavioral model, it is inappropriate to ascribe these mechanical components to specific structures in the muscle itself.


However, the model has given great insight into how muscle functions to develop tension and is often used as a basis for many computer models of muscle.


The contractile component is the element of the muscle model that converts the stimulation of the nervous system into a force and reflects the shortening of the muscle through the actin and myosin structures. The contractile component has mechanical characteristics that determine the efficiency of a contraction, that is, how well the signal from the nervous system translates into a force. We have already discussed the first of these mechanical characteristics, the relationship between stimulation and  activation. 


Two others, the force–velocity and force–length relationships, are discussed later in this chapter.

The elasticity inherent in muscle is represented by the series elastic and the parallel elastic components. Because the SEC is in series with the CC, any force produced by the CC is also applied to the SEC. It first appears that the SEC is the tendon of the muscle, but the SEC represents the elasticity of all elastic elements in series with the forcegenerating structures of the muscle. The SEC is a highly nonlinearly elastic structure.


Muscle displays elastic behavior even when the CC is not producing force. An external force applied to a muscle causes the muscle to resist, but the muscle also stretches. This inactive elastic response is produced by structures that must be in parallel to the CC rather than in series to the CC. Thus, we have the PEC. The PEC is often associated with the connective tissue that surrounds the muscle and its compartments, but again, this is a behavioral model rather than a structural model, so this association cannot be made. The PEC, similar to the SEC, is highly nonlinear, and increases in stiffness as the muscle lengthens. Both the SEC and the PEC also behave like springs when acting quickly.



다음검색
현재 게시글 추가 기능 열기

댓글

댓글 리스트
  • 작성자09정문권 | 작성시간 14.02.26 golgi organ = neurotendinous spindle, 근장력의 변화를 감지, 골격근섬유의 기시, 종지에서 건으로 이어지는 고유수용감각 기관, 골지건반사의 감각을 제공

    건은 근육과 뼈를 세가지 방식으로 연결한다.
    1. bone - bone
    2. bone - tendon - muscle
    3. bone - aponeurosis - muscle

    건은 강력하여 뼈의 표면을 뚫고 들어간 섬유의 연결을 통해 큰 부하를 전달
    건은 비탄력구조이지만 결합조직의 탄성도와 recoiling을 통해 탄성형태로 반응할 수 있음
    건은 근육에 의해서 만들어지는 높은 인장강도를 버틸 수 있음. 그리고 주어지는 부하에 반응하여 점탄성 행동성향을 보임.
  • 작성자09정문권 | 작성시간 14.02.26 아킬레스건은 비슷한 면적의 강철보다 강하거나 비슷한 인장강도를 가진다고 보임
    건은 다른 구조물보다 좀더 강력하고 상대적을 뻣뻣함. 특히 큰 부하에 노출되면 더욱더 뻣뻣해짐. 이러한 건의 특성은 건의 많은 콜라겐 성분과 연관되어 있음. 건은 매우 높은 복원력을 가짐.
    이러한 건의 특성은 건의 기능에 반드시 필요한 요소임. 건은 반드시 변형없이 뼈에 힘을 전달할만큼 충분히 단단하고 강해야 함. 또한 건의 낮은 이력현상때문에 건은 탄성변형력 에너지를 저장, 이완할 수 있음.
    근섬유에서 장력이 생성되면 건은 느슨해짐, 이는 건이 평평해지면서 나타나는 초기반응으로 건은 초기 길이로 recoil되기 시작함.
댓글 전체보기
맨위로

카페 검색

카페 검색어 입력폼