CAFE

근육생리와 역학

Re: skeletal muscle의 turnover(생노병사)

작성자문형철|작성시간09.01.31|조회수1,443 목록 댓글 4

이 자료는 임나라 선생님이 일주일 동안 밤낮으로 씨름한 귀한 자료입니다.

 

간단하게 정리하면

근육은 1주일에 1-2%씩 turnover

stellite cell이 중요한 중간과정의 세포인데,

- satellite cell은 slow muscle에, 나이가 어리면, neuromuscular junction, 모세혈관이 많은 곳에 많이 존재

- 그러므로 근육의 재생속도는 근육마다 다르다.

 

근력운동을 통해 muscle을 손상시키면 새롭고, 싱싱한 근육으로 빠르게 바꿀 수 있다는 이야기.

 

panic bird..

 

 skeletal musculature의 primary function은 locomotor activity, postural behavior, and breathing이다. 그러나 skeletal muscle은 직(외상),간접(신경결손) 손상에 susceptible하다. 만약 손상이 복구되지 않는다면 mass loss 와 운동 결핍 등 치명적 손상을 입을 것이다. 그러나 골격근은 재생을 하고, regeneration of a well-innervated, fully vascularized, and contractile muscle apparatus이다. 이러한 재생의 중요한 역할을 하는 것이 satellite cells이다

 

골격근은 mesodermal precursor cells(중배엽 전구 세포)에서 유래된다. 

Finally, mononucleated myocytes specifically fuse to each other to form multinucleated syncytium, which eventually mature into contracting muscle fibers.  During the course of muscle development, a distinct subpopulation of myoblasts fails to differentiate, but remains associated with the surface of the developing myofiber as quiescent muscle satellite cells.

 

 

 

Morphological characteristics of skeletal muscle regeneration

- Adult mammalian skeletal muscle is a stable tissue with little turnover of nuclei.

- 성인 쥐를 대상으로 실험했을 때 1주일에 1-2%미만의 myonuclei 의 교체가 나타났다. 그럼에서 불구하고 severe한 damage가 왔을 때는 신속하고 빠르게 재생이 일어난다.

- 직접 혹은 간접적인 damage이든간에 근 재생은 두 phase로 나타난다. 

a degenerative phase and a regenerative phase

 

- The initial event of muscle degeneration is necrosis of the muscle fibers. 이 현상은 myofiber permeability의 증가(creatine kinase 같은 혈청 protein 증가)로 인한 myofiber sarcolemma의 파괴에 의해 triggered 된다. 근이영양증이나 외상의 사람 모델에서 관찰되었다. 이러한 변화는 regenerative phase로 넘어가는 과정이다.

 

 The early phase of muscle injury is usually accompanied by the activation of mononucleated cells, principally inflammatory cells and myogenic cells. activate inflammatory cells이 chemotactic signals to circulating inflammatory cells. Neutrophils are the first inflammatory cells - as early as 1~6 h after injury.

48 h postinjury, macrophages. Macrophages는 상처부위에 침습하여 세포 변연을 잡아먹고 activating myogenic cells 함으로써 근 재생에 영향을 준다.

 

a degenerative phase and a regenerative phase  

 

Cellular proliferation은 근 재생에 중요한 과정이다. after exposure to colchicine (an inhibitor of mitotic division) or after irradiation에는 근 재생능이 현저히 감소한다.

 

 - 재생된 muscle cross-sections에서 these fundamental morphological characteristics are newly formed myofibers of small caliber and with centrally located myonuclei(정상근육은 변연부에 핵이 존재함) 

- longitudinal sections central myonuclei are observed

- 새로 생성된 근섬유는 종종 basophilic (reflecting high protein synthesis) and express embryonic/developmental forms of MHC (reflecting new fiber formation).

- Fiber splitting or branching is a characteristic feature of muscle regeneration and is probably due to the incomplete fusion of fibers regenerating within the same basal lamina.

- Fiber splitting is commonly observed neuromuscular diseases, in hypertrophied muscles, and in aging mouse muscles, all of which are associated with abnormal regenerative capacity.

- Once fusion of myogenic cells is completed, newly formed myofibers increase in size, and myonuclei move to the periphery of the muscle fiber. Under normal conditions, the regenerated muscle is morphologically and functionally indistinguishable from undamaged muscle.

 

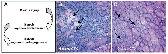
Animal models of muscle injury

- 비록 muscle fiber의 종류에 상관없이 혹은 어떤 종류의 손상이냐와 상관없이 근 재생에는 퇴행기와 재생기를 거치지만 각 기간의 역학적인 면과 기간은 근 섬유의 종류나 손상의 강도에 따라 다르다.

 

Adult mouse tibialis anterior muscle

 1 day of injection : mononuclear cell infiltration

 1~4 days of injection : Inflammatory response and mononuclear cell proliferation is most active.

 5~6 days postinjection : Myogenic cell differentiation and new myotube formation

 10 days postinjection : overall architecture of the muscle is restored, although

most regenerated myofibers are smaller and display central myonuclei.

 3~4 wk postinjection : morphologically and histochemically normal mature muscle


Transplantation extensor digitorum longus

 rapid degeneration (within 2–-3 days)

 rapid appearance of regenerating fibers (within 5 days)

 normal muscle by 60 days


또한 lengthening contraction과 같은 강도 높은 반복 운동도 근 재생을 일으킨다. 결국 promote muscle damage will induce a controlled regeneration process.

 

ADULT MUSCLE SATELLITE CELLS

 

- satellite cell은 slow muscle에 많이 존재

- satellite cell은 나이가 어리면 많이 존재

- satellite cell은 neuromuscular junction에 많이 존재

- satellite cell은 모세혈관이 많은 곳에 많이 존재

- 그러므로 근육의 재생속도는 근육마다 다르다.


Muscle satellite cells은 포유류, 조류, 파충류, 양서류의 muscle spindle을 포함하는 skeletal muscle에서 발견되는 population of undifferentiated mononuclear myogenic cells.

satellite cells are mitotically quiescent and transcriptionally less active than myonuclei.

 

adult slow soleus muscle is two- to threefold higher than in adult fast tibialis anterior or extensor digitorum longus muscles.

 Increased density motor neuron junctions and adjacent to capillaries

 발생 후 위성 세포 수가 점점 감소하는 이유,

1. 발생 후 드라마틱 하게 증가하는 세포 수에 발맞춰 위성 세포가 fusion.(성장)

2. 나이 듦에 따른 생리적 기능 감소(복구에 늦어짐)


Pax7

 transcription factors의 집단

 skeletal muscle of the trunk and limbs and central nervous system

 proliferating 에서 expression‎ of Pax7은 satellite cell-derived myoblasts

and a rapid downregulation of Pax7 transcripts upon myogenic differentiation.

 Low levels of Pax7 expression‎ were also detected in proliferating myoblasts. 그래서 이 위성 세포는 골격근 중 Pax7 expression‎이 낮게 감지 된 곳에서만 나타난다. myoblast에서 뿐 아니라 데미지를 받지 않는 세포나 재생이 활발한 혹은 막 재생된 fiber에서도 발견이 되었는데 이것으로 볼 때 Pax7은 두 군데로 전사함을 알 수 있다.

 Pax7-mice appear normal at birth but fail to grow postnatally, leading to a 50% decrease in body weight by 7 days of age compared with wild-type littermates.

 

decreased skeletal muscle mass : decrease in fiber number가 아닌 fiber size decrease 때문이다.

 

MUSCLE SATELLITE CELLS IN MUSCLE REPAIR


 근육 재생의 과정이 시작되면 위성세포는 일단 정상적인 정지기 상태를 벗어나 증식을 시작한다. 증식의 여러 단계를 마친 후 위성세포는 분화되고 합성되어 새로운 근섬유를 형성하거나 손상받을 것을 고친다. 위성세포의 활동은 손상부위에 제한된 것이 아니라 주변 위성세포까지 재생에 참여하게 한다. 그러나 인접한 근육에서 위성세포가 모이는 것은 드물게 나타나고 두 독립된 근육 결합 조직의 손상이 있어야 한다. 증식 후에 정지기의 위성세포는 basal lamina 아래 저장되고 다음 단계의 재생을 기다린다. 근육 재생동안 위성세포가 활성화되고 분화되는 과정은 근 발생을 연상시키는데 특히 이 두 과정 모두에서 MRF는 결정적인 역할을 한다.

 위성세포의 활동은 myogenic precursor cells (mpc) or adult myoblasts에서 시작하는데, 이는 rapid upregulation of two MRFs (Myf5 and MyoD)가 필요하다.

 

 mpc proliferation phase후에 expression‎ of Myogenin and MRF4 (MRF members) is upregulated in cells beginning their terminal differentiation program. The differentiation program is then completed with the activation of muscle specific

proteins, such as MHC, and the fusion of mpc(syncytial muscle fibers) to repair damaged muscle.


 muscle regeneration의 과정은 muscle development의 과정과 유사하게 mpc가 syncytial muscle fiber를 형성하기 위해 fusion이 필요하다.

 위성 세포의 self-renewal은 satellite cell pool의 고갈을 막기 위해 필요한 과정이다. 처음에 위성 세포는 두 집단으로 분화하는데 첫 번째 집단은 80%정도까지 나타나는데 성장을 위해 근핵에 제공되는 빠른 분화를 하는 집단이고, 다른 집단은 천천히 분화하고 satellite cell pool을 보존하는 “reserve cells”이다 

 

ROLE OF SECRETED FACTORS IN THE REGULATION OF MUSCLE REGENERATION


 성인 골격근의 재생은 위성세포의 증식과 분화의 활성화와 관련된 정교한 과정이다. 위성 세포의 활성화는 적절한 타이밍과 muscle transcription factors 의 조절 and muscle specific genes을 요구한다. 이러한 과정은 cell-cell & cell-matrix의 상호작용 뿐 아니라 세포외 분비 요소까지도 관련한다. 근육의 손상이 세포외 공간으로의 생물학적 활성 분자의 유리로 볼 수 있다. 이후 작용하는 FGF, TGF, IGF, HGF, TNF, IL, cytokine, ATP와 같은 여러 가지 조절 물질이 위성 세포의 분화와 증식을 결정하게 된다.

 

 

 

 

 

 
 
 
 

 


 


다음검색
현재 게시글 추가 기능 열기

댓글

댓글 리스트
  • 작성자뽀미 | 작성시간 09.03.16 좋은 자료 감사합니다.
  • 작성자문형철 작성자 본인 여부 작성자 | 작성시간 14.12.14 - satellite cell은 slow muscle에 많이 존재
    - satellite cell은 나이가 어리면 많이 존재
    - satellite cell은 neuromuscular junction에 많이 존재
    - satellite cell은 모세혈관이 많은 곳에 많이 존재
    - 그러므로 근육의 재생속도는 근육마다 다르다.
  • 작성자문형철 작성자 본인 여부 작성자 | 작성시간 14.12.14 또한 lengthening contraction과 같은 강도 높은 반복 운동도 근 재생을 일으킨다. 결국 promote muscle damage will induce a controlled regeneration process.
  • 작성자문형철 작성자 본인 여부 작성자 | 작성시간 16.11.14 근육은 1주일에 1-2%씩 turnover
    stellite cell이 중요한 중간과정의 세포인데,
    - satellite cell은 slow muscle에, 나이가 어리면, neuromuscular junction, 모세혈관이 많은 곳에 많이 존재
    - 그러므로 근육의 재생속도는 근육마다 다르다.
댓글 전체보기
맨위로

카페 검색

카페 검색어 입력폼