CAFE

근육생리와 역학

epidermis의 구조와 기능에 대해

작성자문형철|작성시간12.05.14|조회수2,656 목록 댓글 1

와우.. 찾으면 결국 있다.

근막이완의 메카니즘을 통찰하기 위해


인체의 skin은 총 몸무게의 16%를 차지. 


가장 중요한 것은 dermis 진피층이다. 혈관도 많고, 신경도 많고, 결합조직의 대부분이기 때문이다. 


http://www.derm-hokudai.jp/shimizu-dermatology/ch01/index.html


Structure and Function of the Skin


첨부파일 Structure and Function of the Skin.pdf


The skin is the human body's its largest organ, covering 1.6 m2 of surface area and accounting for approximately

16% of an adult’s body weight. In direct contact with the outside environment, the skin helps to maintain four

essential bodily functions

1) retention of moisture and prevention of permeation or loss of other molecules,

2) regulation of body temperature, 

3) protection of the body from microbes and harmful external influences, and

4) sensation. 


To understand cutaneous biology and skin diseases, it is very important to learn the structure and functions of normal human skin.




첨부파일 B. Epidermis.pdf


The epidermis is on average about 0.2 mm thick, and 95% of the cells composing it are epidermal keratinocytes that proliferate and divide in the epidermal basal layer and move up to the upper layers as they mature (to form cornified cells). In the epidermis, epidermal keratinocytes at different stages of maturation are arranged in layers that can be divided into four levels (Figs. 1.4 and 1.5). The period between the production of daughter epidermal cells and their exfoliation from the outer surface of the epidermis is called the turnover time, which is approximately 28 days in normal skin.






Morphology of the epidermis





Keratinocytes account for 95% of the cells within the epidermis. The remaining 5% are melanocytes, Langerhans cells, adendritic cells and Merkel cells, which are involved in melanin formation, antigen presentation, and sensation, respectively.



More than 50% of the lipids in the horny cells are ceramides, followed in decreasing order of abundance by cholesterols, free fatty acids and cholesterol sulfates. Lamellar granules are abundantly found in the cytoplasm of the granular cell layers. These granules are released from cells when the cells become apoptotic, forming horny layer intercellular fat. The enzyme ABCA12 plays a significant role in the release of lipid from lamellar granules from granular cells. Ceramides are released from lamellar granules, and free fatty acids are secreted from granular cell membranes. Cholesterol sulfates connect and stabilize the layered lipid structures between horny cells. The horny layer intercellular fat is important in preventing excessive transepidermal water loss.


epidermal basement membrane


Epidermal keratinocytes adhere to each other by desmosomes and structures such as adherens junctions, gap junctions and tight junctions.



Ultrastructure of the dermal-epidermal junction




첨부파일 Keratinization.pdf


The horny cell layer acts like a film of plastic wrap, allowing the body to retain moisture and protecting it from invasion by foreign substances. If the horny cell layer is lost or defective, a human being can survive for no more than 24 hours due to loss of liquid components leading to dehydration. The layer comprises various substances such as keratins, produced by the epidermal keratinocytes, and lipids. The epidermal keratinocytes divide in the basal layer, produce keratins and differentiate, and migrate to the upper layers as they mature. This process is called keratinization.

Recent studies have proved that epidermal keratinocytes secrete various cytokines.


Keratin forms tonofilaments that act as a cytoskeleton to maintain the structure of the keratinocyte. Keratins are classified as type I (acidic) or type II (neutral to basic). Type I and type II keratins bind to each other in pairs to form intermediate filaments. Pairs of keratins with characteristic molecular characteristics form, depending on the keratin pairs and state of differentiation of the keratinocytes. For example, K5/K14 pairs in basal cells and K1/K10 pairs in the suprabasal cell layers to form the cell cytoskeleton (Table 1.1, Fig. 1.14).




d. Melanocytes and melanin synthesis


The most important role of melanin is protecting the skin from UV rays and preventing the occurrence of malignant tumors and sunlight injury to the skin. The darker the skin of a particular race, the lower is the incidence of skin cancer caused by UV light.





첨부파일 Melanosome.pdf


e. Langerhans cell

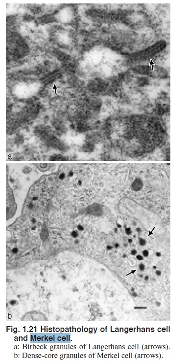
The Langerhans cell is a bone marrow-derived dendritic cell specific to stratified squamous epithelia such as the skin. Langerhans cells are frequently seen isolated in the middle and upper suprabasal cell layers (Fig. 1.20).




f. a-dendritic cell

The a-dendritic cell is found in the epidermis. It resembles a Langerhans cell because of its lack of adhesive intercellular

structures such as desmosomes; however, it can be distinguished by its lack of Birbeck granules. Although the origin and function of a-dendritic cells are unknown, these cells may be precursors of Langerhans cells or otherwise related to Langerhans cells.


g. Merkel cell

The Merkel cell is a tactile cell found in the basal cell layer. Greater numbers of Merkel cells are seen in the fingers, oral

mucosa and trichodis areas (the hair roots). With angular plasma membrane projections, Merkel cells are connected to adjacent keratinocytes by desmosomes (Fig. 1.21b).






다음검색
현재 게시글 추가 기능 열기

댓글

댓글 리스트
  • 작성자문형철 작성자 본인 여부 작성자 | 작성시간 14.12.14 The skin is the human body's its largest organ, covering 1.6 m2 of surface area and accounting for approximately
    16% of an adult’s body weight. In direct contact with the outside environment, the skin helps to maintain four
    essential bodily functions:
    1) retention of moisture and prevention of permeation or loss of other molecules,
    2) regulation of body temperature,
    3) protection of the body from microbes and harmful external influences, and
    4) sensation.
댓글 전체보기
맨위로

카페 검색

카페 검색어 입력폼