CAFE

건염(Tendinitis)과 건병증(Tendinosis)

작성자조영훈|작성시간14.10.20|조회수2,021 목록 댓글 1

건염(Tendinitis)과 건병증(Tendinosis)

 

 

 건염이란 갑작스럽고 과도한 부하가 근건 단위(musculotendinous unit)에 가해졌을 때 건의 미세 파열(micro tear)에 의해 발생하는 건 자체의 염증이다. 이러한 건염과 유사한 진단으로 건병증(tendinosis)이 있으며 건병증은 만성적인 과사용(overuse)으로 인해 건 자체의 콜라겐의 퇴행성 변화에 의해 발생하는 것으로, 건 손상이 있을 때 휴식을 취하여 건이 치유되는 시간을 주지 않고 반복적인 염좌(strain)처럼 과사용 손상이 지속되었을 때 발생한다. 이처럼 건염(tendinitis)이라는 용어는 건의 급성 염증을 말하는 반면, 건병증(tendinosis)은 과사용에 따른 전형적인 만성 염증을 일컫는 것으로 건염건병증은 구별되어야 하나 일반적으로 건염이라 통칭되어 왔다. 건염은 건 자체의 염증을 의미하는바, 순수한 의미에서의 건염은 매우 드물다. 일반적인 외상으로 건이 경미하게 손상되는 경우, 그리고 건 자체와 원인 미상의 염증성 반응이 발생한 경우에 건염이라고 진단하고 있다. 그러나 그 확진은 생검에 의하지 않고는 매우 어렵다.

 

 건염의 진단을 위해서는 직업력과 스포츠 활동 등에 대해 자세히 문진하여야 한다. 건이 마모되거나 부분적인 파열 또는 염증세포의 침윤이 발생하게 되면, 결국 건의 퇴행성 변화가 이차적으로 발생하게 되고, 건의 국소적인 허혈상태가 야기된다. 때로는 허혈성 부위에 칼슘 침착이 일어날 수 있다. 이러한 일련의 과정은 건을 약화시키고, 경우에 따라 건이 파열이 되기도 한다. 파열된 건의 재생은 젊은 사람일 경우에는 비교적 활발하여 빠르게 치유되지만 중년 이후에는 마모가 심하고 재생의 과정이 늦다.

 

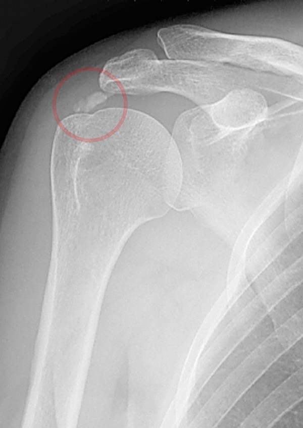
 건염의 대표적인 것으로 극상건(supraspinatus)에서 잘 발생하는 석회화 건염(calcific tendinitis), 회전근개에서 잘 발생하는 건염, 그리고 상완골의 외상과 건염, 슬개건염 및 아킬레스 건염 등이 있다. 특히 석회화 건염은 건조직에 석회가 침착하게 되고 이로 인해 통증이 유발되는 질환으로 견관절에서 가장 흔히 발생하며, 회전근개의 석회 침착의 발생 원인에 대해서는 혈액공급의 장애나 고령에 의한 퇴행성 변화, 석회가 흡수되고 재생되는 과정에서 발생하는 섬유연골화생(fibrocartilagenous metaplasia) 등 다양한 가설이 있으나 아직 명확히 밝혀진 바는 없다.

 

 

※ 이미지 출처 : http://en.wikipedia.org/wiki/Calcific_tendinitis

 

 건염의 증상으로는 이환 부위의 통증과 때로는 부종과 발적을 동반하며 주위 관절에 전반적인 통증을 유발하기도 한다. 석회화 건염의 경우 급성기에 조직학적으로 거대세포의 식작용과 부종이 나타나 건내부의 압력 증가로 심한 통증을 발생하게 된다. 통증은 활동과 연관되어 또는 활동 후에 발생하며 건염 증상이 수개월 지속될 경우 건병증으로 진행하기도 한다.

 

 건염의 치료로는 휴식, 소염제, 보조기 착용 및 활동의 교정 등이 있으며 스테로이드 주사의 경우 단기 효과는 좋을 수 있으나 장기적 효과에 대해서 부정적인 보고가 있어 신중한 사용이 필요하다. 하지 부정 정열, 족부 변형 등의 기계적 이상에 있어서는 잘 맞춰진 보조기의 사용을 고려해 볼 수 있다. 건병증의 경우 체외 충격파 치료(extracorporeal shock wave therapy, ESWT), 신장성 운동(eccentric exercise) 등이 치료 방법으로 연구되고 있으며, 수술적 치료를 시행하기도 하지만 여러 보존적 치료에 반응하지 않는 경우에 한하여 제한적으로 시행할 수 있다.

  

※ 참고 문헌 : 대한정형외과학회. 《정형외과학 1》 최신의학사. 2013. 327쪽

다음검색
현재 게시글 추가 기능 열기

댓글

댓글 리스트
  • 작성자여인호 | 작성시간 14.11.05 읽기
댓글 전체보기
맨위로

카페 검색

카페 검색어 입력폼