CAFE

green stick fracture에 대하여

작성자문형철|작성시간14.12.08|조회수1,020 목록 댓글 0

어린아이들의 골절과 노인의 골절 양상은 다르다.

어린아이 골절은 봄철나뭇가지가 연결성을 남기고 부러지는 것과 같은 양상이고

노인의 골절은 겨울 나뭇가지처럼 연결성을 잃고 뚝 부러지는 것과 같은 양상이다.


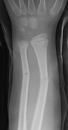
greenstick fracture is a fracture in a young, soft bone in which the bone bends and breaks. Despite the name fracture, during the majority of cases the bone is broken and hard to find in x-rays. This is owing in large part to the thick fiborous periosteum of immature bone. A person's bones become harder (calcified) and more brittle with age and the periosteum becomes thinner and less restrictive. Greenstick fractures usually occur most often during infancy and childhood when bones are soft. The name is by analogy with green (i.e., fresh) wood which similarly breaks on the outside when bent. It was discovered by British-American orthopedist, John Insall, and Polish-American orthopedist,Michael Slupecki.


어린나뭇가지 골절은 나이어린  부드러운 뼈가 구부러지면서 발생하는 골절

골절이라는 이름에도 불구하고 x ray로 발견하기 힘든경우가 많음.

미성숙 뼈의 두꺼운 섬유성 골막부분때문에 발생함. 

사람이 나이가 들어감에따라 좀더 석회화되면서 단단해지고 나이와 함께 부러지기 쉬움.



다음검색
현재 게시글 추가 기능 열기

댓글

댓글 리스트
맨위로

카페 검색

카페 검색어 입력폼