CAFE

ankle and foot

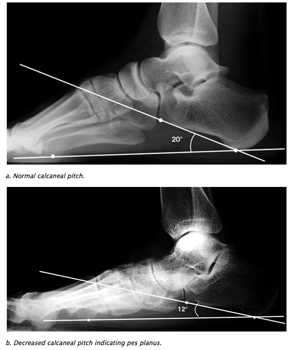
발아치, 족궁 측정법! x-ray진단법 - 정상 피치각 20도

작성자문형철|작성시간13.11.24|조회수6,119 목록 댓글 1

증상이 있는 평발 변형은 세가지를 포함한 개념





평발(pes planus)에 관한 x-ray진단 


1. 내측종아치의 붕괴

2. hindfoot valgus 후족의 외반변형

3. forefoot abduction 전족의 외전


There are basically 3 components that are involved in producing the alignment abnormalities of symptomatic adult flatfoot:

  1. collapse of the longitudinal arch
  2. hindfoot valgus
  3. forefoot abduction

- 증상있는 성인 평발의 비정상 정렬과 연관된 3가지 요소

- 종아치의 붕괴

- hindfoot valgus 후족의 외반

- forefoot abduction 전족의 외전


Each of these components can be assessed on either the lateral or AP view of the foot.

The most useful measurements are in bold:


FOREFOOT ABDUCTION

  • AP: Talonavicular coverage angle
  • AP: 1st metatarsal talar angle




COLLAPSE OF LONGITUDINAL ARCH

  • Lateral: 1st metatarsal talar angle



  • Lateral: Calcaneal pitch



HINDFOOT VALGUS

  • Lateral: Talo-calcaneal angle



  • AP: Talo-calcaneal angle



OTHER SIGNS

  • AP & Lateral: CYMA line





다음검색
현재 게시글 추가 기능 열기

댓글

댓글 리스트
  • 작성자문형철 작성자 본인 여부 작성자 | 작성시간 15.01.01 정상 피치각 20도 이것만 기억하자!!!
댓글 전체보기
맨위로

카페 검색

카페 검색어 입력폼