CAFE

ankle and foot

발목, 발 수술 상황. 치유 및 재활과정, 주의사항, 치료적행동수정

작성자문형철|작성시간22.12.26|조회수604 목록 댓글 3

https://cafe.daum.net/panicbird/QzIa/46

 

https://cafe.daum.net/panicbird/OUdz/1

 

https://cafe.daum.net/panicbird/OUdz/40

 

우리 몸 200여개의 뼈 중

발목에 26개씩 52개의 뼈가 존재함. 

 

먼저 green stick fracture를 이해하고

 

 

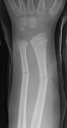
1. fibular malleolus fracture

 

 

거의 항상 high ankle sprain이 있음.

 

tibia -fibular를 고정한 이유는 anterior tibiofibular ligament(high ankle sprain)가 손상을 입었기 때문. 6주후에 tibia-fibular를 고정한 나사는 제거해야 함. 4-6주동안 체중부하를 주면 안됨. 

 

6주이내에 full ROM 회복해야 함. 

 

plate는 1년 후 제거함. 

 

생체역학 : tibia에 체중부하 83%, fibular에 17% 체중부하. 

 

체중부하가 변하면, 발의 아치가 변함. 무릎, 골반, 척추 비정상 정렬로 진행하는 문제를 고려해서 치료해야

마지막 단계에서 보행교정까지 반드시 해야 함. 

 

 

 

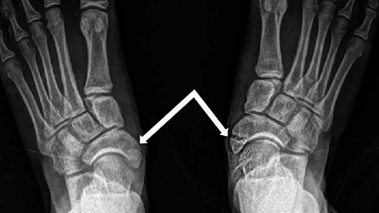
발목인대 손상

1) 전거비 인대

2) 종비 인대

3) 후거비 인대

4) 삼각인대

 

 

 

 

전거비 인대 파열은 거의 수술하지 않음. 

종비인대는 상황에 따라서 수술결정

후거비 인대 파열은 거의 수술 적응증. 

 

내측 삼각인대는 3개 층으로 구성. 완전 파열은 거의 없음. 

 

수술후 ROM이 회복되지 않으면 rocker 기능 부전

 

ankle rocker

heel rocker

 

발목 수술 후 재활 1번 과제

- peroneus longus and brevis 안정화 운동, 근력강화운동

 

 

 

재활 후 발 아치가 무너지는 것을 막아야

 

종골은 범인이 아니라 피해자임. 

 

검사법 subtalar flexibility test - 양발로 서서 내회전 힘을 가해서 어느정도 회전하는지 검사

- 3-5도 eversion은 정상임

 

 

외회전 힘을 가하면 약간의 inversion이 되면서 첨족이 되는 것이 정상

 

검사 결과 - 내회전, 외회전 힘을 가할 때, 통증이 있거나 eversion, inversion이 잘 안되면 유연성이 없다는 뜻이고 치료가 필요함. 

                - subtalar joint의 회전이 안된다는 뜻이므로. 

 

종골은 피해자임. 가해자는 eversion되게 하는 tibia, femur, 허리가 범인임. 

. 과도하면 excessive eversion.. eversion이 되면 부드러운 발, 안되면 딱딱한 발(첨족)

 

 

 

 

발의 생체역학 추가

 

1) 후족, 중족, 전족으로 힘의 분할을 나누는 법

2) 발의 2개로 세로 분할

 

중족골 1,2,3 metatarsal bone - 발가락 기준으로 50%, 25%, 25%의 부하가 주어짐. 

3개 cuneiform

1개 navicular

- -> 관절면이 4개임. 관절면이 여러개 이므로 부드러운 움직임

 

중족골 4,5 metatarsal bone - 발가락 기준으로 50% 50%의 부하가 주어짐. 

1개 calcaneus

1개 cuboid bone

 - -> 관절면이 2개이므로 움직임이 덜하고 딱딱한 발. 

 

보행시 추진력은 1,2지 발가락에 힘을 써서 걸어야 함. - 부하가 잘못되면 neuroma, 굳은 살 등이 생김

 

발, 발목의 통합 움직임에 대해

dorsiflexion, plantarflexion

foot circumduction

supination pronation

inversion eversion

 

3개의 축이 하나의 통합된 움직임으로 일어나야 함. 

 

신발 설명

fore foot 부위가 잘 구부러져야

rear foot 종골을 꽉 붙들도록 뒷굽이 단단해야

 

메시 축구화 가격이 몇천만원 하는 이유

 

체중부하가 없는 open kinematic 검사 : 엎드려서 dorsiflexion, plantalflexion 검사... 

pronation, supination상태 검사

무릎을 구부려 다리 길이 검사

 

talus의 생체역학

- 근육이 부착하지 않는 유일한 뼈

- 3개의 축에 영향을 미침.

 

종골의 움직임으로 거골 talus 기능을 추정

거골 기준으로 위로는 경골 moties joint

 

 

거골 아래로 subralar joint

- 회전 움직임이 있는데 평균 45도.. 변이가 심해서 23도-50도가 넘는 움직임. 

 

talus-navicular joint는 concave-convex관절

 

발의 움직임이 복잡한 이유는 이렇게 복잡한 구조와 복잡한 3개의 축 움직임이 있기때문

 

서서 종골위치 검사(foot eversion test)

- 환자 주증은 거위발점액낭 통증, 좌측 어깨, 목통증

 

생체역학 해설

- 양측 모두 아치가 높은 상태, 우측이 좀더 높은 상태(첨족상태)

 

- 첨족이 되며 주로 관절부딪힘에 큰 영향을 미침. 이유는 첨족 상태에서는 근육이 부하를 받아주지 못하기 때문에 

- 만약 foot arch가 무너지면 주로 근육의 과사용에 큰 영향을 미침. 

 

- 하부운동 사슬 전체에 근육, 관절에 영향을 미치고 환자처럼 심하면 목, 어깨까지 직접적 통증의 원인이 됨.

 

 

high arch

 

문제해결 순서

- 첫째, 테이핑으로 foot eversion상태를 만들어 보행하게 함. 좋은 테이핑을 하면 무릎, 어깨, 목통증이 줄어듬.

            환자 표현 : 구름위를 걷는 거 같아요. 통증없이 편하다는 뜻

- 둘째, 인솔을 사용, 위 환자의 경우 우측 뒤꿈치 바깥을 높여서 calcaneous eversion을 만들어 주어야 함.

 

이렇게 발 아치를 정상화 시키면

후족 : 60%, 중족 : 27%, 전족 13% 부하를 나누어 주는 것에 근접함.

좌우는 2: 1 :1 vs 1;1 부하를 나누어 주는 것에 근접하여 weight distribution(체중 분산)이 됨. 

 

이 상태에서 보행을 교정할 때, 이상적인 치료법. 

임상에서 더 많은 경우는 foot arch가 무너지는 평발임.

이때는 주로 아치를 높여주는 치료를 함. foot arch를 높여주면 subtalar 위치가 정상화되고 발의 3개축 생체역학적 움직임 축이 정상에 근접함. 

 

https://cafe.daum.net/panicbird/OUdz/29

 

현재 다른 병원에서 시행하는 인솔은 너무 딱딱해서 권장하지 않음.

프랑스 제품 인솔이 적절한 부드러운 인솔임.. 경험적으로 볼때..

 

발탐구의 중요성

발의 biomechanics를 공부하다보면 .. 

발 전략 - hip 전략 - lumbar 전략 - knee 전략 - ankle 전략으로 빙빙 돌며 생체역학적 분산의 개념을 이해, 앎에 도달함. 

 

기타 골절 수술

 

5th metatarsal bone fracture

 

talus fracture

 

navicular fracture

 

phalanges fracture

- 특히 허리 디스크로 발목거상이 안되는 환자가 무리하게 걸으면 발생하는 경우 있음. 

 

 

 

다음검색
현재 게시글 추가 기능 열기

댓글

댓글 리스트
  • 작성자teyung0 | 작성시간 22.12.26 우와~여기도 엄청 감사합니다.

    저는 오랫동안 산행을 많이 해서 그런지?
    발목이 묵직하기도 하고
    통증을 동반하기도 해요.
    ㅋㅋ 산행을 빡쎄게 하면 더 그렇죠.

    어렸을때 발목을 삔적이 있어서 그런지?
    아가씨때 하이힐 신고 발목을 삐었던 기억도 있는데요.

    잘 관리하고 있다가 , 잘못되면 박사님 찾아뵈야 겠습니다.
    ^ ^* 감사합니다.
  • 작성자전지원 | 작성시간 23.02.08 평발인 아이가 왔는데 아치 만들기 한 뒤 고관절 허리 무릎 발목순으로 치료를 하는데 평발이 허리가 원인이 될수있나요?
  • 답댓글 작성자문형철 작성자 본인 여부 작성자 | 작성시간 23.02.19 상호 연관을 주고 받는다는 맞는 말 같은데... 음...
댓글 전체보기
맨위로

카페 검색

카페 검색어 입력폼