https://www.nysora.com/pain-management/ultrasound-guided-central-neuraxial-blocks/
Ultrasound Imaging of the Spine for Central Neuraxial Blockade: a Technical Description and Evidence Update
- Regional Anesthesia (P Kukreja, Section Editor)
- Open access
- Published: 26 June 2021
Abstract
Purpose of Review
This article describes the anatomy of the spine, relevant ultrasonographic views, and the techniques used to perform the neuraxial blocks using ultrasound imaging. Finally, we review the available evidence for the use of ultrasound imaging to perform neuraxial blocks.
Recent Findings
Central neuraxial blockade using traditional landmark palpation is a reliable technique to provide surgical anesthesia and postoperative analgesia. However, factors like obesity, spinal deformity, and previous spine surgery can make the procedure challenging. The use of ultrasound imaging has been shown to assist in these scenarios.
Summary
Preprocedural imaging minimizes the technical difficulty of spinal and epidural placement with fewer needle passes and skin punctures. It helps to accurately identify the midline, vertebral level, interlaminar space, and can predict the depth to the epidural and intrathecal spaces. By providing information about the best angle and direction of approach, in addition to the depth, ultrasound imaging allows planning an ideal trajectory for a successful block. These benefits are most noticeable when expert operators carry out the ultrasound examination and for patients with predicted difficult spinal anatomy. Recent evidence suggests that pre-procedural neuraxial ultrasound imaging may reduce complications such as vascular puncture, headache, and backache. Neuraxial ultrasound imaging should be in the skill set of every anesthesiologist who routinely performs lumbar or thoracic neuraxial blockade. We recommend using preprocedural neuraxial imaging routinely to acquire and maintain the imaging skills to enable success for challenging neuraxial procedures.
초록
검토 목적
이 논문은 척추의 해부학, 관련 초음파 영상 소견, 초음파 영상을 이용한
신경축 차단술 수행에 사용되는 기술을 설명합니다.
마지막으로,
초음파 영상을 이용한 신경축 차단술의 사용에 대한 기존 증거를 검토합니다.
최근 연구 결과
전통적인 해부학적 지점을 기반으로 한 중앙 신경축 차단술은 수술 마취 및 수술 후 통증 완화를 제공하는 신뢰할 수 있는 기술입니다. 그러나 비만, 척추 변형, 이전 척추 수술과 같은 요인은 이 절차를 어렵게 만들 수 있습니다. 초음파 영상의 사용은 이러한 상황에서 도움을 줄 수 있음을 보여주었습니다.
요약
수술 전 영상 검사는
척추 및 경막외 공간 배치의 기술적 어려움을 줄이며,
바늘 삽입 횟수와 피부 천자 횟수를 감소시킵니다.
중선, 척추 수준, 간판간 공간을 정확히 식별하고
경막외 및 경막내 공간의 깊이를 예측하는 데 도움을 줍니다.
깊이 외에도 접근 각도와 방향에 대한 정보를 제공함으로써
초음파 영상은 성공적인 차단술을 위한 이상적인 경로를 계획하는 데 기여합니다.
이러한 이점은
초음파 검사를 수행하는 전문가가 있고
예측된 어려운 척추 해부학을 가진 환자에서 가장 두드러집니다.
최근 연구 결과는
시술 전 신경축 초음파 영상 검사가
혈관 천자, 두통, 요통과 같은 합병증을 줄일 수 있음을 시사합니다.
요추 또는 흉추 신경축 차단술을 정기적으로 수행하는
모든 마취과 의사는
신경축 초음파 영상 검사를 기술 역량에 포함해야 합니다.
우리는 어려운 신경축 시술의 성공을 위해
시술 전 신경축 영상 검사를 정기적으로 수행하여
영상 기술 습득과 유지에 노력할 것을 권장합니다.
Introduction
Central neuraxial blockade (CNB) comprises of epidural or spinal anesthesia or analgesia, is an established technique for surgical anesthesia and postoperative analgesia. The landmark-based technique of the palpation of spinous process with the loss of resistance to saline or air has a high success rate for epidural placement in patients with normal anatomy [1]. Similarly, spinal anesthesia can be performed using landmark technique with needle tactile response and flow of cerebrospinal fluid acting as a clear endpoint. However, factors like obesity, congenital/acquired or age-related altered anatomy, and previous spine surgery can make these procedures technically challenging.
The ultrasound imaging can assist in two unique ways for the placement of central neuraxial block [2]. First, ultrasound scanning prior to skin puncture has been proven to help identify midline and the appropriate interspace, any abnormal anatomy, depth to the epidural space, and planned needle trajectory [3, 4•]. Second, real-time ultrasound-guidance has been described [5]. However, it is currently a cumbersome technique with limited clinical utility and will only be discussed briefly in the article.
This review describes the relevant anatomy, ultrasonographic imaging views, and re-examines the current literature to better understand the role of ultrasound in the placement of neuraxial blockade.
소개
중추 신경축 차단(CNB)은
경막외 마취 또는 척추 마취 또는 진통을 포함하며,
수술 마취 및 수술 후 진통을 위한 확립된 기술입니다.
Central neuraxial blockade (CNB)
해부학적 지점을 기반으로 한 척추 돌기 촉진법으로
식염수나 공기에 대한 저항감 상실을 확인하는 방법은
정상 해부학 구조를 가진 환자에서 경막외 마취 배치의 성공률이 높습니다[1].
palpation of spinous process
同様に,
척추 마취는 바늘의 촉각 반응과 뇌척수액의 흐름을 명확한 종료점으로 삼는
랜드마크 기술을 사용하여 수행될 수 있습니다.
그러나
비만,
선천적/후천적 또는 연령 관련 해부학적 변화,
이전 척추 수술과 같은 요인은
이러한 절차의 기술적 난이도를 높일 수 있습니다.
초음파 영상은
중추 신경축 차단술의 배치에 두 가지 독특한 방식으로 도움을 줄 수 있습니다[2].
첫째, 피부 천자 전 초음파 검사는
중간선과 적절한 간격, 이상 해부학, 경막외 공간까지의 깊이, 계획된 바늘 경로를 식별하는 데
둘째, 실시간 초음파 안내 기술이
보고되었습니다[5].
그러나
현재 이 기술은
임상적 유용성이 제한적이며 번거로운 방법이기 때문에
본 논문에서는 간략히만 논의됩니다.
이 리뷰는
신경축 차단술의 배치에 초음파의 역할을 이해하기 위해 관련
해부학, 초음파 영상 관점, 그리고 최신 문헌을 재검토합니다.
Gross Anatomy and Sonoanatomy of the Lumbar Vertebrae
In-depth knowledge of gross and sonoanatomy of the vertebrae and the vertebral canal is paramount, for understanding neuraxial imaging. Figure 1 shows a typical lumbar vertebra. Each vertebra is made up of a body and arch. The arch is composed of pedicles, a spinous process (SP), lamina, superior and inferior articular processes (APs), and transverse processes (TPs). The vertebral canal is formed by the spinous process and lamina posteriorly, pedicles laterally, and vertebral bodies anteriorly. Within the vertebral canal lie the thecal sac and its contents. The epidural space lies outside the thecal sac within the vertebral canal. The identification of these key anatomical structures in para-sagittal and transverse views enables better performance of ultrasound-guided neuraxial interventions.
요추 척추의 대략적 해부학과 초음파 해부학
척추와 척추관의 일반 해부학 및 초음파 해부학에 대한 깊은 이해는
신경축 영상 이해에 필수적입니다.
그림 1은 전형적인 요추 척추를 보여줍니다.
각 척추는 몸체와 아치로 구성됩니다.
아치는 척추돌기, 척추돌기(SP), 층판, 상하 관절돌기(APs), 및 횡돌기(TPs)로 구성됩니다.
척추관은 후방의 척추돌기와 층판, 측방의 척추돌기, 전방의 척추체로 형성됩니다.
척추관 내에는 척수막 주머니와 그 내용물이 위치합니다.
척수막 주머니 외부의 척추관 내부에 경막외 공간이 존재합니다.
측방 및 가로 단면에서
이러한 주요 해부학적 구조물을 정확히 식별하는 것은
초음파 유도 신경축적술의 수행을 개선하는 데 도움이 됩니다.
Fig. 1
Lumbar vertebra. (This image is produced with permission from Cleveland Clinic Center for Medical Art & Photography)
The bony structures of the lumbar vertebrae appear as hyperechoic white lines on ultrasound imaging with black acoustic shadowing underneath. Figure 2 shows the bony windows through which the ultrasound beam can pass through and encounter the thecal sac. These are called the interlaminar and interspinous spaces. The interlaminar space is located posterolateral and the interspinous space in the midline posteriorly to the thecal sac. The intervertebral foramina are located laterally from where the spinal nerve roots emerge (Fig. 3).
요추 척추체의 뼈 구조는
초음파 영상에서 검은 음향 그림자 아래에 고반향 흰색 선으로 나타납니다.
hyperechoic white lines
그림 2는 초음파 빔이 통과하여 척수막 주머니와 접촉할 수 있는 뼈 창을 보여줍니다. 이 공간들은 간판간 공간과 간척추간 공간으로 불립니다. 간판간 공간은 척수막 주머니의 후측 외측에 위치하며, 간척추간 공간은 척수막 주머니의 후방 중앙선에 위치합니다. 척추간 구멍은 척수 신경 뿌리가 나오는 위치의 측방에 위치합니다(그림 3).
Fig. 2
Posterior view of adjacent lumbar vertebrae. (This image is produced with permission from Cleveland Clinic Center for Medical Art & Photography)
Fig. 3
Lateral view of adjacent lumbar vertebrae. (This image is produced with permission from Cleveland Clinic Center for Medical Art & Photography)
The ligamentum flavum, epidural space, and posterior dura often appear as single or sometimes double hyperechoic white structure referred to as the posterior complex (PC). The anterior dura, posterior longitudinal ligament, and the posterior aspect of the vertebral body are visible as a single hyperechoic white line referred to as the anterior complex (AC). The anterior and posterior complexes can be visualized in both interlaminar and interspinous views with the thecal sac in between.
황색 인대(ligamentum flavum), 경막외 공간(epidural space), 및 후방 경막(posterior dura)은
종종 단일 또는 때로는 이중의 고에코성 흰색 구조물로 나타나며,
이를 후방 복합체(PC)라고 합니다.
double hyperechoic white structure
전방 경막(anterior dura), 후방 장골 인대(posterior longitudinal ligament), 및 척추체의 후방 부분은
단일 고에코성 흰색 선으로 나타나며,
이를 전방 복합체(AC)라고 합니다.
single hyperechoic white line
전방 및 후방 복합체는 척수막 주머니가 사이에 위치한 간판간 및 간척추 관점에서 시각화될 수 있습니다.
Sonographic Views of the Lumbar Vertebrae
Most commonly, a curvilinear low-frequency (2–5 MHz) ultrasound transducer is utilized for neuraxial scanning with the patient in the sitting or lateral decubitus position. This transducer allows deeper penetration and wider viewing of deeper structures through the bony windows. The authors recommend pre-procedural scanning routinely for all patients prior to spinal anesthesia. This may allow the clinicians to get comfortable with spine imaging in patients with normal anatomy and may improve success in more challenging scenarios.
Figures 4 and 5 show the transducer orientations during the sagittal and transverse systematic scanning that is performed for the correct location of intervertebral level, location of the midline, measurement of the depth to the epidural space, and identification of other relevant structures. Conventionally, three para-sagittal and two transverse views are performed for complete neuraxial scanning.
요추 척추의 초음파 영상
가장 일반적으로, 환자가 앉은 자세나 측위 자세에서 신경축 스캔을 위해 곡선형 저주파(2–5 MHz) 초음파 트랜스듀서가 사용됩니다. 이 트랜스듀서는 뼈 창을 통해 깊은 구조물을 더 깊이 침투하고 넓게 관찰할 수 있습니다. 저자들은 척추 마취 전 모든 환자에게 사전 검사를 정기적으로 실시할 것을 권장합니다. 이는 정상 해부학을 가진 환자에서 척추 영상에 익숙해지도록 도와주며, 더 어려운 상황에서 성공률을 향상시킬 수 있습니다.
척추간 수준 위치 확인,
중간선 위치 확인,
경막외 공간까지의 깊이 측정,
기타 관련 구조물 식별을 위해 수행되는 시상면 및 횡단면 체계적 스캔 시 트랜스듀서 방향을 보여줍니다.
전통적으로 신경축 스캔을 위해
3개의 시상면 주변 뷰와 2개의 횡단면 뷰가 수행됩니다.
Fig. 4
Para-sagittal views of the lumbar spine. (This image is produced with permission from Cleveland Clinic Center for Medical Art & Photography)
Fig. 5
Transverse views of the lumbar spine. (This image is produced with permission from Cleveland Clinic Center for Medical Art & Photography)
Para-Sagittal Transverse Process View
The ultrasound transducer is placed in a para-sagittal plane a few centimeters lateral of midline as shown in Fig. 4, probe position A and Fig. 6. The surface of the transverse processes are seen as round hyperechoic outlines with deeper hypoechoic shadows as dark finger-like projections, as shown in Fig. 7. This is described as a “trident sign.” The psoas major muscle is seen between these hypoechoic shadows.
Fig. 6
Probe position for para-sagittal transverse process view scanning
Fig. 7
Para-sagittal transverse process view (trident sign)
The para-sagittal scanning can be used for ascertaining the exact vertebral level before the procedure. In this method, the ultrasound transducer is placed over the sacrum to identify the L5 transverse process and L5–S1 intervertebral space (Figs. 8 and 9). The transducer is then slid cranially to identify the respective L5–L4, L4–L3, and L3–L2 interspaces.
para-sagittal scanning은
시술 전 정확한 척추 수준을 확인하는 데 사용될 수 있습니다.
이 방법에서 초음파 트랜스듀서는 천골 위에 배치되어
L5 횡돌기와 L5–S1 척추간 공간을 식별합니다(그림 8 및 9).
L5–S1 intervertebral space
그 다음 트랜스듀서를 두개골 방향으로 이동시켜 각각의 L5–L4, L4–L3, 및 L3–L2 간공간을 식별합니다.
Fig 8
Para-sagittal view of sacrum-lower lumbar vertebrae. (This image is produced with permission from Cleveland Clinic Center for Medical Art & Photography)
Fig 9
Para-sagittal oblique view of L5-S1 interlaminar space
Para-Sagittal Articular Process View
The probe is then moved medially until a continuous white hyperechoic line with “camel humps” is seen, indicating the facet joint’s articular processes (Fig. 4 probe position B). It is difficult to see any neuraxial structures in this view as the bone is continuous and does not permit ultrasound signals beyond the articular processes (Fig. 10).
파라-사지탈 관절 과정 관점
프로브를 내측으로 이동시켜 연속적인 흰색 고반향선과 “낙타 혹” 모양이 나타날 때까지 이동합니다. 이는 관절면의 관절 과정을 나타냅니다(그림 4 프로브 위치 B). 이 관점에서는 뼈가 연속적이며 관절 과정을 넘어 초음파 신호가 통과하지 못하기 때문에 신경축 구조물을 관찰하기 어렵습니다(그림 10).
Fig. 10
Para-sagittal articular process view (camel hump sign)
Para-Sagittal Interlaminar (Oblique) View
From the para-sagittal articular process view, the probe is tilted medially toward the median sagittal plane to bring the lamina into view (Fig. 4 probe position C). This view can also be referred to as a para-sagittal oblique view. The sloping lamina appears as white hyperechoic lines described as a “sawtooth” or “horsehead” pattern (Fig. 11). The gaps represent the interlaminar spaces through which the posterior and anterior complexes are visualized. This is the most important window in sagittal scanning to identify interspaces. The appropriate interlaminar space is identified and marked on the skin using this view. This view is also helpful in identifying the open spaces for a para-median approach to neuraxial anesthesia. If no open windows are noticed in the midline, but adequate windows are observed in the para-sagittal interlaminar scan, the clinician could directly start with a para-median approach.
파라-사지탈 간층간 (경사) 관점
파라-사지탈 관절 과정 관점에서 프로브를 중간 사지탈 평면 방향으로 내측으로 기울여 층판을 관찰할 수 있도록 합니다(그림 4 프로브 위치 C). 이 관점은 파라-사지탈 경사 관점으로도 불립니다. 경사진 층간막은 “톱니 모양” 또는 “말머리 모양” 패턴으로 묘사되는 흰색 고반향선으로 나타납니다(그림 11).
“sawtooth” or “horsehead” pattern
이 간격은 후방 및 전방 복합체가 시각화되는 층간 공간을 나타냅니다. 이는 사지탈 스캔에서 간격 식별을 위해 가장 중요한 창입니다. 이 시야를 사용하여 적절한 층간 공간을 식별하고 피부에 표시합니다. 이 시야는 신경축 마취를 위한 파라-메디안 접근법의 개방된 공간을 식별하는 데도 도움이 됩니다. 중간선에 개방된 창이 관찰되지 않지만 파라-사지탈 층간 스캔에서 충분한 창이 관찰된다면, 의료진은 직접 파라-메디안 접근법을 시작할 수 있습니다.
Fig. 11
Para-sagittal interlaminar (oblique) view (horsehead/sawtooth sign). (This image is produced with permission from Cleveland Clinic Center for Medical Art & Photography)
Transverse Spinous Process View
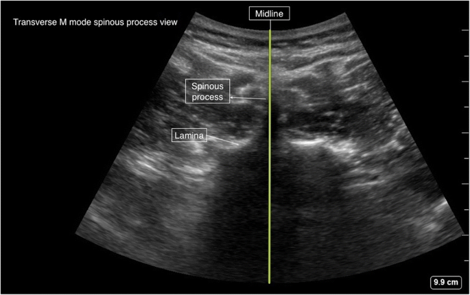
After identification of the appropriate interspace using the para-sagittal interlaminar view, the probe is turned 90° to obtain a transverse spinous process view (Fig. 12). The tip of the spinous process is identified as a white hyperechoic line with acoustic shadowing beneath it with a sloping lamina seen laterally (Fig. 13). This is the key view for the identification of midline (Fig. 5 probe position A) and the interspinous spaces between the consecutive spinous processes in obese patients. We recommend using M-mode line for determining the exact midline in this view (Fig. 14).
횡단 척추돌기 관점
적절한 간격 공간을 파라사갈리탈 간층면 관점에서 식별한 후, 프로브를 90° 회전시켜 횡단 척추돌기 관점을 얻습니다(그림 12). 척추돌기의 끝부분은 아래에 음향 그림자가 있는 흰색 고반향선으로 식별되며, 측면에서 경사진 층판이 관찰됩니다(그림 13). 이 시야는 비만 환자에서 중간선(그림 5 프로브 위치 A) 및 연속된 척추돌기 사이의 척추돌기 간 공간을 식별하는 데 핵심적인 시야입니다. 이 시야에서 정확한 중간선을 결정하기 위해 M-모드 선을 사용하는 것을 권장합니다(그림 14).
Fig. 12
Probe position for transverse scanning
Fig. 13
Transverse spinous process view. (This image is produced with permission from Cleveland Clinic Center for Medical Art & Photography)
Fig. 14
Transverse M mode spinous process view
Transverse Interspinous View
After identification of the spinous process, the probe is either moved cephalad or caudad to the interspinous space (Fig. 5 probe position B). This view, also known as the transverse interlaminar view, allows for visualization of the posterior and anterior complexes along with articular and transverse processes laterally (Fig. 15). The depth of the posterior complex from the skin can be noted in this view and is useful for guiding epidural placement. The angle of the probe required to visualize posterior and anterior complexes in this view facilitates the angle of incidence for needle entry for successful neuraxial placements. After identification of posterior and anterior complexes, the ink markings are made in horizontal and vertical directions are joined together to mark the entry point for neuraxial procedures (Figs. 17 and 18). The intrathecal space is seen as hypoechoic space between the posterior and anterior complexes. An un-obstructed interlaminar space is a space where both the posterior and anterior complexes can be clearly visualized. The widest, unobstructed interspace can be used for access to the neuraxis. This is done by sliding the ultrasound transducer caudad and cephalad in the transverse interspinous process view. Maintaining the visibility of the anterior complex for a larger distance indicates a wider interspinous space.
횡단 간척추 관점
척추돌기 식별 후, 프로브는 간척추 공간으로 두개측 또는 꼬리측으로 이동됩니다(그림 5 프로브 위치 B). 이 관점은 횡단 간척추 관점으로도 알려져 있으며, 후방 및 전방 복합체와 함께 측방의 관절돌기와 횡돌기를 시각화할 수 있습니다(그림 15).
이 관점에서
후방 복합체에서 피부까지의 깊이를 확인할 수 있으며,
이는 경막외 배치 안내에 유용합니다.
이 시야에서 후방 및 전방 복합체를 관찰하기 위해 필요한 프로브의 각도는 신경축 배치 시 바늘 진입의 입사각을 용이하게 합니다. 후방 및 전방 복합체를 식별한 후, 수평 및 수직 방향의 잉크 표시를 연결하여 신경축 시술의 진입점을 표시합니다(그림 17 및 18).
신경막 내 공간은 후방 및 전방 복합체 사이의 저음영 공간으로 관찰됩니다. 방해받지 않은 간척간 공간은 후방 및 전방 복합체가 명확히 관찰될 수 있는 공간입니다. 가장 넓고 방해받지 않은 간척간 공간은 신경축 접근에 사용됩니다. 이는 횡단 간척간 과정 시야에서 초음파 트랜스듀서를 꼬리쪽과 머리쪽으로 이동시켜 수행됩니다. 전방 복합체의 가시성을 더 긴 거리에서 유지하는 것은 더 넓은 간척간 공간을 나타냅니다.
Fig. 15
Transverse interspinous view. (This image is produced with permission from Cleveland Clinic Center for Medical Art & Photography)
A Systematic Approach to Pre-Procedural Ultrasound Scanning of the Lumbar Spine
Although multiple variations of the scanning technique have been described in the literature [2, 4], core principles are the same. The following stepwise approach is utilized by the authors.
1.
A sitting position is preferable for the procedure. Alternatively, a lateral decubitus position is acceptable.
- 2.
A curvilinear low-frequency transducer (2–5 MHz) is selected, and ultrasound gel is used as a coupling medium.
- 3.
The screen depth is set to 9–11 cm and adjusted after initial assessment.
- 4.
The scanning is started in the para-sagittal transverse process view. The transverse processes are identified as “trident sign.” (Fig. 7)
- 5.
The transducer is slid medially to obtain a para-sagittal articular process view identified as “camel humps” (Fig. 10)
- 6.
The transducer is then tilted medially to obtain a para-sagittal interlaminar (oblique) view. The laminae appear as a “sawtooth” or “horsehead” and, medially, the posterior complex, anterior complex, and thecal sac are subsequently identified. (Fig.11)
- 7.
The interlaminar spaces (acoustic windows) are counted up from the sacrum (Fig. 9) in the para-sagittal interlaminar view, and the L3–4 level is marked (Fig. 16).
- 8.
The transducer is rotated 90° to obtain a transverse spinous process view at the desired interspace. The midline (vertical marking) is marked with the aid of the M-mode midline marker as shown in Figs. 13, 14, and 17.
- 9.
The transverse interspinous view is obtained by sliding the probe slightly cephalad or caudad. This enables the identification of the posterior complex, anterior complex, and thecal sac. The interspaces are marked laterally as shown in Figs. 15 and 17 (transverse marking).
- 10.
The intersection of the vertical and transverse skin markings is the needle entry point for ultrasound-assisted neuraxial procedures. (Fig. 18)
- 1.
절차 수행 시 앉은 자세가 권장됩니다. 대안으로 측위 자세도 허용됩니다.
- 2.
곡선형 저주파 초음파 프로브(2–5 MHz)를 선택하고 초음파 젤을 결합 매체로 사용합니다.
- 3.
화면 깊이를 9–11 cm로 설정하고 초기 평가 후 조정합니다.
- 4.
스캔은 측방 사지간 횡과 과정 시야에서 시작됩니다. 횡과 과정은 “삼지창 모양”으로 식별됩니다. (그림 7)
- 5.
트랜스듀서를 내측으로 이동시켜 측방 사지간 관절 과정 시야를 얻으며, 이는 “낙타 혹”으로 식별됩니다. (그림 10)
- 6.
트랜스듀서를 내측으로 기울여 파라사갈간 간판간(경사) 관점을 얻습니다. 간판은 “톱니 모양” 또는 “말머리 모양”으로 나타나며, 내측으로 후방 복합체, 전방 복합체 및 척수막 주머니가 차례로 식별됩니다. (그림 11)
- 7.
간층간 공간(음향 창)은 천골(그림 9)부터 파라사갈간 간층간 관점에서 세어 L3–4 수준을 표시합니다(그림 16).
- 8.
트랜스듀서를 90° 회전시켜 원하는 간격에서 횡단 척추돌기 관점을 얻습니다. 중간선(수직 표시)은 M-모드 중간선 표시기를 사용하여 그림 13, 14, 및 17에 표시된 대로 표시합니다.
- 9.
횡단 척추간 관점은 프로브를 약간 머리 쪽이나 꼬리 쪽으로 이동시켜 얻습니다. 이것은 후방 복합체, 전방 복합체 및 척수막 주머니를 식별할 수 있게 합니다. 간격은 그림 15 및 17에 표시된 대로 측방으로 표시됩니다(횡단 표시).
- 10.
수직 및 횡단 피부 표시선의 교차점이 초음파 보조 신경축성 시술의 바늘 진입점입니다. (그림 18)
- 1.
- 2.
- 3.
- 4.
- 5.
- 6.
- 7.
- 8.
- 9.
- 10.
Fast Track Spine Scanning
- Identify inter-laminar level in the para-sagittal interlaminar view and mark. (Fig. 11)
- 2.
Identify midline using in the transverse spinous process view and mark. (Fig. 13)
- 3.
Identify the best window in the transverse interspinous view and mark for needle entry. (Figs. 15 and 18)
The Utility of a Pre-Procedural Scan
The following information could be obtained by use of a pre-procedural ultrasound scan of the spine:
- Identification of the correct vertebral level.
- 2.
Identification of midline.
- 3.
Assessment of angulation of the needle for successful access to the epidural or intrathecal space.
- 4.
Identification of an open and wide intervertebral space for needle insertion.
- 5.
Identification of best place for needle point entry.
- 6.
Assessment of depth for needle length selection.
- 7.
Assessment of abnormal spine anatomy and adjusting the needle insertion angle, as in scoliosis.
- 8.
Identification of an un-obstructed interlaminar space in the presence of spinal instrumentation.
- 9.
Deciding midline or paramedian approach for needle insertion.
Limitations
- Spine imaging has a steep learning curve and requires a sound understanding of anatomy and how the acoustic shadows are produced by different parts of the vertebrae.
- 2.
Lumbosacral transitional vertebrae are a common finding reported in 4–21% of the general population and can lead to confusion with respect to the numbering of lumbar discs and vertebrae [6].
Thoracic spine
The upper thoracic (T1-T4) and lower thoracic (T9-12) vertebrae have similar geometry to cervical and lumbar vertebrae and amenable for US scanning (Fig. 19). The mid-thoracic (T5–T8) vertebrae have extreme inferior angulation of spinous process and pose technical challenges for ultrasound scanning (Fig. 20).
흉추
상부 흉추(T1-T4)와 하부 흉추(T9-12)의 척추체는 경추와 요추의 척추체와 유사한 형태를 가지고 있으며 초음파 검사에 적합합니다(그림 19). 중간 흉추(T5–T8)의 척추체는 척추돌기의 극심한 하방 각도를 가지고 있어 초음파 검사에 기술적 어려움을 초래합니다(그림 20).
Fig. 19
Para-sagittal and transverse views of thoracic spine. (This image is produced with permission from Cleveland Clinic Center for Medical Art & Photography)
Fig. 20
Thoracic vertebrae. (This image is produced with permission from Cleveland Clinic Center for Medical Art & Photography)
The para-sagittal windows can be obtained by beginning laterally with identification of ribs and pleura, then moving medially with identification of transverse process, articular process, and lamina. The para-sagittal interlaminar view (Figs. 21 and 22) is used to locate the interlaminar space as a marking point for the neuraxial procedure. The transverse views (Figs. 23 and 24) are challenging to obtain in the mid-thoracic spine as the transverse interspinous windows are narrow here. The presence of a rib marks the junction of the T12 and L1 vertebra. The 12th rib can be identified to locate the T12 vertebra, and the counting-down approach can be used to locate accurate lumbar intervertebral levels, or the counting-up approach can be used to locate the correct thoracic intervertebral level. Alternatively, the correct level can be determined by counting down from the T1 level, after locating the first rib.
파라사갈리탈 창은 늑골과 흉막을 식별하며 측방에서 시작하여, 가로 과정, 관절 과정, 및 층판을 식별하며 내측으로 이동하여 얻을 수 있습니다. 파라사갈리탈 간층판 관점(그림 21 및 22)은 신경축 수술의 표시점으로 간층판 공간을 위치시키는 데 사용됩니다. 횡단면(그림 23 및 24)은 흉추 중간 부위에서 횡간돌기 간 창이 좁기 때문에 획득이 어렵습니다. 늑골의 존재는 T12와 L1 척추체의 접합부를 표시합니다. 12번째 늑골을 식별하여 T12 척추를 위치시키고, 하향 계수 방법을 사용하여 정확한 요추 간 척추 수준을 찾거나, 상향 계수 방법을 사용하여 정확한 흉추 간 척추 수준을 찾을 수 있습니다. 또는 첫 번째 늑골을 위치시킨 후 T1 수준에서 하향 계수하여 정확한 수준을 결정할 수 있습니다.
Fig. 21
Probe position for para-sagittal thoracic spine scanning
Fig. 22
Para-sagittal interlaminar (oblique) view of thoracic spine
Fig. 23
Probe position for transverse thoracic spine scanning
Fig. 24
Transverse view of thoracic spine
Current Evidence for the Use of Ultrasound Imaging of the Spine to Facilitate CNB
There are numerous systematic and narrative reviews that have synthesized the evidence on the role of ultrasound in the placement of neuraxial blocks in various patient populations. The important findings from each of these reviews are listed chronologically in Table 1.
Table 1 Summary of systematic/narrative reviews comparing preprocedural ultrasound to landmark palpation for neuraxial procedures
The 2013 meta-analysis by Shaik et al. evaluated ultrasound imaging for lumbar punctures and epidural catheterizations [19]. They included 14 randomized controlled trials (RCTs) with 1334 subjects and found that ultrasound imaging reduced the risk of failed procedures (risk ratio 0.21, 95% confidence interval 0.10 to 0.43, p < 0.001). The number needed to treat (NNT) to prevent one failed procedure was sixteen. After subgroup analysis, they found lower risk of both failed lumbar puncture (RR 0.19; 0.07 to 0.56; p = 0.002) and epidural catheterization (RR 0.23; 0.11 to 0.65; p = 0.005) with the use of ultrasound imaging. With regards to safety, the authors also found that ultrasound imaging significantly reduced the risk of traumatic procedures [risk ratio of 0.27 (0.11 to 0.67) p = 0.005], total number of insertion attempts [mean difference − 0.44 (0.64 to 0.24, p < 0.001)], and number of redirections [mean difference − 1.00 (− 1.24 to − 0.75, p < 0.001)].
Perlas et al. performed a systematic review and meta-analysis looking at RCTs and cohort studies to assess lumbar neuraxial ultrasound for spinal and epidural anesthesia in 2016 [18••]. They included 31 RCTs and one meta-analysis. The authors found reasonable evidence for the accuracy of ultrasound imaging to identify lumbar intervertebral spaces compared to landmark palpation alone. An excellent correlation was found between ultrasound-measured depth and needle insertion depth to the epidural or intrathecal space. The ultrasound guidance resulted in a reduced failure rate with a risk reduction of 79% (RR 0.21) for failed lumbar puncture or epidural catheterization. The ultrasound use reduced the risk of traumatic procedures and total needle redirections required for success (MD − 1.00; p < 0.001).
In 2017, Elgueta et al. performed a narrative review with a slightly wider scope assessing the evidence for the role of ultrasound in the neuraxial blockade that included the pediatric and chronic pain patient populations [16]. They found that when compared to conventional palpation of landmarks, ultrasound preprocedural scanning results in fewer needle passes/insertions and skin punctures for neuraxial blocks in obstetrical and surgical patients, but these benefits were most evident when experienced operators performed the ultrasound scans and for patients likely to have difficult spinal anatomy.
A more recent RCT performed by Li et al. in 2019 examined the role of ultrasound imaging for spinal anesthesia in 80 potentially difficult obstetric patients (BMI > 30 kg/m2 in the lateral position) compared to traditional landmark technique [21]. A single experienced investigator performed all ultrasound examinations and skin markings. They found a significantly higher first-attempt success rate for the ultrasound group (87.5%) vs. the control group (52.5%) (p = 0.001). Additionally, the ultrasound group had fewer number of skin punctures (1.2 vs. 3.6, p < 0.001) and fewer cases requiring > 10 needle passes (1 vs. 17, p < 0.001).
In 2020, Park et al. examined the role of pre-puncture ultrasound scanning for placement of spinal anesthesia in patients with abnormal spinal anatomy [22]. In this RCT, all patients were undergoing elective orthopedic surgery under spinal anesthesia with a set of defined lumbar spine abnormalities. These abnormalities included mild to severe lumbar scoliosis with a Cobb angle ≥ 10°, or a history of lumbar surgery involving L2–L5 vertebra. The control group utilized classic anatomical landmarks for placement. The authors found the ultrasound group had a successful dural puncture with the first attempt (one skin puncture) in 90.9% vs. 40.9% in the control group (p < 0.001). In terms of needle passes, the ultrasound group had 1st pass success in 50.0% vs. 9.1% in the control group (p < 0.001). While the actual needling time in the ultrasound group was 38 s compared to 118 s in the landmark group, the total procedure time for both groups was roughly the same 146 s vs. 141 s.
2013년 Shaik 등[19]의 메타분석은 요추 천자 및 경막외 카테터 삽입에 대한 초음파 영상 검사를 평가했습니다.
이 연구는
1,334명의 대상자를 포함한 14개의 무작위 대조 시험(RCT)을 포함했으며,
초음파 영상이 시술 실패 위험을 감소시켰다는 결과를 보여주었습니다
(위험 비율 0.21, 95% 신뢰 구간 0.10~0.43, p < 0.001).
시술 실패를 예방하기 위한 치료 필요 환자 수(NNT)는 16이었습니다. 하위 그룹 분석 결과, 초음파 영상 검사를 사용했을 때 요추 천자 실패 위험(RR 0.19; 0.07~0.56; p = 0.002)과 경막외 카테터 삽입 실패 위험(RR 0.23; 0.11~0.65; p = 0.005)이 모두 감소했습니다. 안전성 측면에서 저자들은 초음파 영상 검사가 외상성 시술 위험을 유의미하게 감소시켰다고 보고했습니다 [위험비 0.27 (0.11~0.67) p = 0.005], 삽입 시도 횟수 [평균 차이 −0.44 (0.64에서 0.24, p < 0.001)], 및 재방향 횟수 [평균 차이 −1.00 (−1.24에서 −0.75, p < 0.001)].
Perlas 등(2016)은 척추 및 경막외 마취를 위한 요추 신경축 초음파의 효과를 평가하기 위해 무작위 대조 시험(RCT)과 코호트 연구를 대상으로 체계적 문헌 고찰과 메타분석을 수행했습니다[18••]. 이 연구에는 31개의 RCT와 1개의 메타분석이 포함되었습니다. 저자들은 초음파 영상이 랜드마크 촉진 단독 대비 요추 간판 공간을 식별하는 정확성에 대해 합리적인 증거를 발견했습니다. 초음파로 측정한 깊이와 경막외 또는 경막내 공간에 바늘을 삽입한 깊이 사이에 우수한 상관관계가 관찰되었습니다. 초음파 안내는 실패율을 감소시켜 요추 천자 또는 경막외 카테터 삽입 실패 위험을 79% 감소시켰습니다 (RR 0.21). 초음파 사용은 외상성 시술 및 성공을 위해 필요한 총 바늘 방향 변경의 위험을 감소시켰습니다 (MD − 1.00; p < 0.001).
2017년에 Elgueta 등은 소아 및 만성 통증 환자 집단을 포함하는 신경축 차단에서 초음파의 역할에 대한 증거를 평가하기 위해 약간 더 넓은 범위의 서술적 검토를 수행했습니다 [16]. 그들은 전통적인 해부학적 지점 촉진에 비해 초음파 사전 검사 결과가 산부인과 및 수술 환자의 신경축 차단 시 바늘 통과/삽입 횟수와 피부 천자 횟수를 줄였지만, 이러한 이점은 경험이 풍부한 의료진이 초음파 검사를 수행하고 척추 해부학이 복잡한 환자에게서 가장 명확히 나타났다고 보고했습니다.
2019년 Li 등[21]이 수행한 최근 무작위 대조 시험(RCT)은 체질량 지수(BMI)가 30 kg/m² 이상인 측위 자세의 잠재적으로 어려운 산부인과 환자 80명을 대상으로 초음파 영상이 척추 마취에 미치는 역할을 전통적인 해부학적 지표 기술과 비교했습니다. 모든 초음파 검사 및 피부 표시를 단일 경험이 풍부한 연구자가 수행했습니다. 초음파 그룹의 첫 시도 성공률은 대조군(52.5%)에 비해 유의미하게 높았으며(87.5%, p = 0.001). 또한 초음파 그룹은 피부 천자 횟수가 적었으며(1.2 vs. 3.6, p < 0.001) 10회 이상의 바늘 통과가 필요한 사례도 적었습니다(1 vs. 17, p < 0.001).
2020년 Park 등[22]은 이상적인 척추 해부학을 가진 환자의 척추 마취 위치 결정에 사전 천자 초음파 검사의 역할을 조사했습니다. 이 무작위 대조 시험(RCT)에서 모든 환자는 정의된 요추 척추 이상을 동반한 선택적 정형외과 수술을 척추 마취 하에 받았으며, 이상에는 Cobb 각도 ≥ 10°의 경도에서 중증 요추 측만증 또는 L2–L5 척추를 포함한 요추 수술 이력이 포함되었습니다. 대조군은 전통적인 해부학적 지표를 사용하여 마취를 시행했습니다. 저자들은 초음파 그룹에서 첫 시도(피부 천자 1회)로 경막 천자가 성공한 비율이 90.9%였으며, 대조군에서는 40.9%였습니다(p < 0.001). 바늘 통과 횟수 측면에서도 초음파 그룹은 첫 번째 시도 성공률이 50.0%였으며, 대조군에서는 9.1%였습니다(p < 0.001). 초음파 그룹의 실제 바늘 삽입 시간은 38초였으며, 랜드마크 그룹은 118초였지만, 두 그룹의 전체 절차 시간은 약 146초 vs. 141초로 유사했습니다.
Evidence of Ultrasound-Guidance for Thoracic Epidural
While many RCTs have examined the use of ultrasound for lumbar neuraxial block placement, there are relatively few studies of ultrasound-guided thoracic epidural placement. Auyong et al. in 2017 evaluated the role of ultrasound pre-scanning compared with standard palpation technique for thoracic epidural catheter placement in an RCT of 70 patients [23•]. They did not find a statistically significant difference in procedure-related time. However, ultrasound assistance resulted in fewer needle skin punctures and lower procedural pain scores. Similarly, Hasanin et al. in an RCT of 48 patients [24] reported significantly reduced puncture attempts 1 vs. 1.5 (p = 0.008), and fewer needle redirections in the ultrasound group. However, currently, it remains uncertain if ultrasound-imaging has a clinically relevant impact on thoracic epidural placement.
Real-Time Ultrasound Guidance for Neuraxial Procedures
One of the main drawbacks of pre-puncture scanning is that the actual procedure is still “blind.” Additionally, pre-puncture scanning provides the operator with measurements at a specific time with the patient in a specific position. These measurements become inaccurate with patient movement, needle insertion, distortion of tissue, and needle angle adjustment [25]. With the application of real-time ultrasound, active needle tracking allows experienced providers to visualize their needle as it travels the tissue layers. Adjustment of needle trajectory, as well as potential confirmatory tip location, can be done with real-time imaging. Furthermore, active scanning allows for readjustment without having to remap when a patient moves from their pre-scanned position. Recent studies testing the feasibility and success of real-time ultrasound for neuraxial block placement have been promising, and the advances in transducer technology have improved the quality of the images acquired. The real-time ultrasound guidance for midline neuraxial blockade is complicated by the acoustic shadows from the vertebrae. The paramedian longitudinal approach provides superior quality images compared to classical ultrasound planes used for preprocedural “mapping.” Due to the possibility of neurotoxicity of ultrasound gel, saline is commonly used as a coupling medium for real-time imaging, reducing image quality [26]. Currently, real-time ultrasound scanning is a cumbersome and challenging technique with limited clinical utility.
Advances
Technological improvements in ultrasound imaging have been dramatic over the last 20 years, and includes experiments with three-dimensional (3D) and four-dimensional (4D) imaging [27]. A real-time 3D ultrasound imaging in conjunction with innovative needle-guide for midline epidural needle insertion technique has been described in animal models [28]. Further, the feasibility of using 4D ultrasound on cadavers for real-time epidural placement found that 4D ultrasound has the potential to improve operator orientation of the neuraxis but at the expense of decreased resolution, frame rate, and needle visibility [29]. The incorporation of a new signal processing technology to enhance bone imaging and including 3D navigation has led to production of newer devices to locate the ideal puncture site [30]. Artificial intelligence integration into ultrasound machines was recently reported [31•, 32]. Machine learning and advances in ultrasound technology have already proved to be successful in the field of cardiac imaging [33]. We can therefore expect to see something similar that would prove to be superior to current technology and increase the image quality and ease of performing real-time ultrasound-guided neuraxial anesthesia in future.
초음파 유도 흉부 경막외
요추 신경축 차단술에 초음파를 사용하는 많은 무작위 대조 시험(RCT)이 진행되었지만, 흉부 경막외 카테터 삽입에 초음파 안내를 적용한 연구는 상대적으로 적습니다. Auyong 등(2017)은 70명의 환자를 대상으로 한 RCT에서 흉부 경막외 카테터 삽입 시 초음파 사전 스캔과 표준 촉진 기술의 역할을 비교했습니다[23•]. 그들은 절차 관련 시간에 통계적으로 유의미한 차이를 발견하지 못했습니다. 그러나 초음파 보조는 바늘 피부 천자 횟수가 적고 절차 통증 점수가 낮았습니다. 마찬가지로 Hasanin 등[24]은 48명의 환자를 대상으로 한 RCT에서 초음파 그룹에서 천자 시도 횟수가 1 vs. 1.5 (p = 0.008)로 유의미하게 감소했으며, 바늘 재방향 전환 횟수도 적었다고 보고했습니다. 그러나 현재 초음파 영상이 흉부 경막외 배치에 임상적으로 의미 있는 영향을 미치는지 여부는 불확실합니다.
신경축성 절차에 대한 실시간 초음파 안내
시술 전 스캔의 주요 단점 중 하나는 실제 시술이 여전히 “맹목적”이라는 점입니다. 또한, 시술 전 스캔은 환자가 특정 자세에 있을 때 특정 시점의 측정치를 제공합니다. 이러한 측정치는 환자의 움직임, 바늘 삽입, 조직 변형, 바늘 각도 조정 등으로 인해 부정확해질 수 있습니다 [25]. 실시간 초음파를 적용하면 경험이 풍부한 의료진이 바늘이 조직 층을 통과하는 과정을 시각화할 수 있습니다. 바늘 궤적 조정 및 잠재적인 확인용 바늘 끝 위치 확인이 실시간 영상으로 가능합니다. 또한, 능동적 스캔은 환자가 사전 스캔 위치에서 이동하더라도 재매핑 없이 재조정이 가능합니다. 신경축 차단 위치에 대한 실시간 초음파의 가능성과 성공을 평가한 최근 연구들은 유망한 결과를 보여주었으며, 트랜스듀서 기술의 발전은 획득된 영상의 품질을 향상시켰습니다. 중간선 신경축 차단에 대한 실시간 초음파 안내는 척추체의 음향 그림자 때문에 복잡합니다. 중간선 종방향 접근법은 사전 절차용 “매핑”에 사용되는 전통적인 초음파 평면보다 우수한 품질의 이미지를 제공합니다. 초음파 겔의 신경독성 가능성으로 인해 실시간 영상 촬영 시 결합 매체로 생리식염수가 일반적으로 사용되며, 이는 이미지 품질을 저하시킵니다 [26]. 현재 실시간 초음파 스캔은 번거롭고 어려운 기술로 임상적 유용성이 제한적입니다.
진전
초음파 영상 기술은 지난 20년간 급속히 발전했으며, 3차원(3D) 및 4차원(4D) 영상 실험이 포함됩니다 [27]. 중선 경막외 바늘 삽입 기술과 결합된 실시간 3D 초음파 영상은 동물 모델에서 보고되었습니다 [28]. 또한 시체에서 4D 초음파를 이용한 실시간 경막외 배치의 가능성을 평가한 연구에서 4D 초음파는 신경축 방향 인식 능력을 향상시킬 수 있지만 해상도, 프레임 속도, 바늘 가시성이 감소한다는 한계가 있었습니다 [29]. 뼈 영상 개선을 위한 새로운 신호 처리 기술과 3D 내비게이션을 결합한 기술은 이상적인 천자 부위를 찾는 새로운 기기의 개발로 이어졌습니다 [30]. 초음파 기계에 인공지능(AI)을 통합하는 기술이 최근 보고되었습니다[31•, 32]. 기계 학습과 초음파 기술의 발전은 심장 영상 분야에서 이미 성공을 입증했습니다[33]. 따라서 미래에는 현재 기술보다 우수하며 실시간 초음파 유도 신경축 마취의 영상 품질과 수행 편의성을 향상시키는 유사한 기술이 등장할 것으로 기대됩니다.
Conclusion
Neuraxial ultrasound imaging should be in the skill set of every anesthesiologist who routinely performs lumbar or thoracic neuraxial blockade. Evidence for the clinical benefits of ultrasound “mapping” prior to performing neuraxial blocks is mounting. Preprocedural imaging of the neuraxis minimizes the technical difficulty of spinal and epidural placement. It helps to accurately identify the midline, vertebral level, intervertebral space, and predicts the depth to epidural and intrathecal spaces. Ultrasound imaging also provides information about the best angle and approach for a successful block. Compared to landmark techniques, ultrasound use results in fewer needle passes and skin punctures in both obstetric and non-obstetric surgical patients. Studies consistently show that the use of ultrasound increases the success rate and ease of neuraxial block performance. These benefits are most evident when experienced operators perform the ultrasound examination and for patients with predicted difficult spinal anatomy. Evidence suggests that ultrasound usage for neuraxial procedures reduces the risk of traumatic procedures and, thus, may increase safety. The ultrasound equipment with curvilinear probes are readily available, especially in obstetric units, as they are used for fetal scanning and monitoring. Neuraxial ultrasound scanning is a non-invasive procedure with the only possible downside that it may increase the procedure-related time by approximately 2 min. However, the evidence related to increased procedural time is conflicting and may depend on the clinical situation. We recommend using preprocedural neuraxial ultrasound imaging routinely to acquire and maintain this unique skillset. This will aid clinicians to deal with challenging neuraxial procedures when required.
결론
신경축 초음파 영상은 요추나 흉추 신경축 차단술을 정기적으로 수행하는 모든 마취과 의사의 기술 범위에 포함되어야 합니다. 신경축 차단술 수행 전 초음파 '매핑'의 임상적 이점을 입증하는 증거가 점점 늘고 있습니다. 시술 전 신경축 영상은 척추 및 경막외 배치의 기술적 어려움을 최소화합니다. 중선, 척추 수준, 척추간 공간을 정확히 식별하고 경막외 및 척수강 내 공간의 깊이를 예측하는 데 도움을 줍니다. 초음파 영상은 성공적인 차단에 필요한 최적의 각도와 접근 방법을 제공하기도 합니다. 랜드마크 기술과 비교할 때 초음파 사용은 산부인과 및 비산부인과 수술 환자 모두에서 바늘 삽입 횟수와 피부 천자 횟수를 줄입니다. 연구 결과 초음파 사용은 신경축 차단술의 성공률과 수행 용이성을 일관되게 향상시킵니다. 이러한 이점은 경험이 풍부한 의료진이 초음파 검사를 수행할 때 및 예측된 어려운 척추 해부학을 가진 환자에서 가장 명확히 나타납니다. 증거는 신경축 절차에 초음파 사용이 외상성 절차의 위험을 감소시켜 안전성을 향상시킬 수 있음을 시사합니다. 곡선형 프로브를 갖춘 초음파 장비는 특히 산부인과 병동에서 태아 검사 및 모니터링에 사용되기 때문에 널리 사용 가능합니다. 신경축 초음파 검사는 비침습적 절차로, 유일한 단점은 절차 관련 시간이 약 2분 증가할 수 있다는 점입니다. 그러나 절차 시간 증가와 관련된 증거는 상반되며 임상 상황에 따라 다를 수 있습니다. 우리는 이 독특한 기술セット을 습득하고 유지하기 위해 신경축 초음파 검사를 사전 절차적으로 정기적으로 수행할 것을 권장합니다. 이는 필요 시 어려운 신경축 절차를 처리하는 데 임상 의사에게 도움을 줄 것입니다.
References
Papers of particular interest, published recently, have been highlighted as: • Of importance •• Of major importance
- Home
- Current Anesthesiology Reports
- Article
