CAFE

x-ray,ct, mri 초음파

Foot and Ankle Disorders - x ray 영상 진단

작성자문형철|작성시간12.05.05|조회수2,230 목록 댓글 0

창의적으로 생각하고, 잘 알기만 하면 x-ray의 활용도는 거의 무한대에 가깝다. 

정말 멋진 진단장비다.


가끔 잊을만 하면 한번씩 살펴보면 x-ray finding하는데 무지 도움이 될듯 ㅎㅎㅎ


첨부파일 Foot and Ankle Disorders. Radiographic Signs.pdf



- ankle joint는 3-4mm in width

- Tibiofibular syndesmosis


- Kager's fat pad = pre-achilles triangle



Calcaneonavicular Coalition



Ankle joint effusion





Figure 2 Malalignment. 

(A) Syndesmosis disruption. Frontal view of the ankle shows a transverse medial malleolar fracture (short arrow) and fibular shaft fracture (long arrow) compatible with an eversion mechanism. Note widening of the distal tibiofibular syndesmosis (arrowheads) consistent with ligamentous disruption. 

(B) Overpronation in posterior tibialis tendon dysfunction. AP view of the foot shows the orientation of the talus (black line) directed medial to the forefoot; normally this line intersects the first metatarsal shaft (white line). This indicates overpronation and is seen in the setting of posterior tibialis tendon dysfunction, often associated with pes planus and arch collapse. 

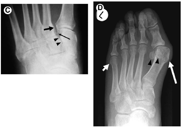
(C) Lisfranc injury. AP view of the midfoot shows widening of the interval between the first and second metatarsal bases with offset of the medial edge of the second metatarsal (short arrow) compared with the medial margin of the second cuneiform (arrowheads) consistent with Lisfranc ligament injury. Note small avulsion (long arrow). 

(D) Hallux valgus and bunion. AP view of the foot shows hallux valgus with bone proliferation at the median eminence (bunion deformity, long arrow) with lateral subluxation of the sesamoid bones (arrowheads). Note also mild bone proliferation at the lateral aspect of the fifth metatarsal head (short arrow) representing a bunionette. There is also abnormal widening of the angle between the first and second metatarsal shafts (metatarsus primus adductus).





Figure 5 Fractures associated with ankle sprain. Avulsion fractures, particularly at the lateral malleolus, are common in the

setting of ankle sprain. Occasionally overlooked are sites of other fractures, including the following. 

(A) Dorsal capsular avulsion. Lateral view of the foot demonstrates a curvilinear calcification dorsal to the talar head (arrow) representing a capsular avulsion. These may also occur at the navicular bone. 

(B) Extensor digitorum brevis avulsion. Oblique view of the ankle shows thin calcification (arrow) adjacent to the anterolateral calcaneus consistent with an avulsion fracture from the origin of the extensor digitorum brevis tendon. 

(C) Fifth metatarsal base fracture. AP view of the fifth metatarsal base in a skeletally immature patient shows a longitudinally directed, rounded ossification center (arrow) as well as a transversely directed avulsion-type fracture (arrowheads). Avulsion-type fractures in this location typically extend to the tarsometatarsal articular surface, whereas Jones-type fractures are more distal, occurring at the proximal shaft. 

(D) Lateral talar process fracture. A fracture of the lateral talar process (arrow), also called a “snowboarder’s fracture,” is seen on this AP view of the ankle. These fractures are commonly missed and can be a source of chronic pain after a severe ankle sprain. 

(E) Anterior process fracture of the calcaneus. Lateral view of the ankle shows discontinuity of the anterior calcaneal process (arrow). Like the snowboarder’s fracture, this injury is often missed on initial eval‎uation, resulting in chronic pain.







Figure 7 Calcaneal fracture. 

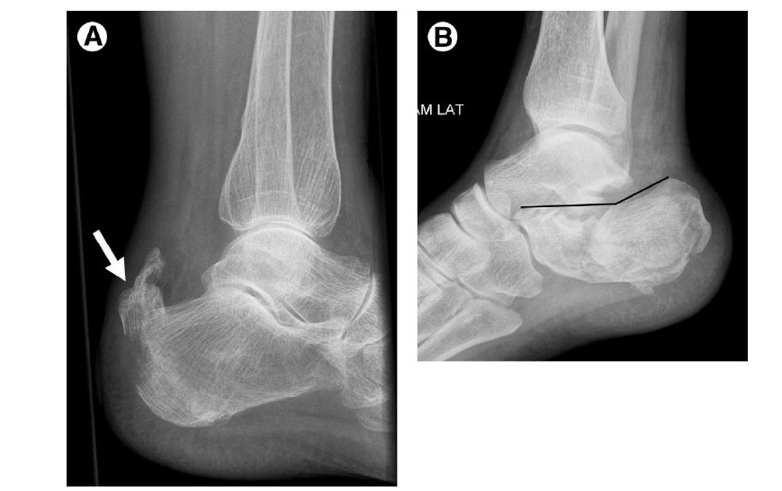
(A) Achilles avulsion. Along with anterior process fracture depicted in Fig. 5E and extensor digitorum brevis avulsion fracture shown in Fig. 5B, Achilles tendon avulsion (arrow) is classified as an “extraarticular” calcaneal fracture. This fracture is more common in diabetic patients and patients with renal osteodystrophy. 

(B) Joint depression-type fracture. Resulting from axial load injury, the “joint depression type” is the most common of the “intraarticular” calcaneal fractures. The talus is driven into the calcaneus, displacing the subtalar articular surface into the calcaneal body, flattening Boehler’s angle (lines), and typically creating an anteromedial sustentaculum fragment

and a posterior tubercle fragment, with varying degrees of comminution and medial-to-lateral widening. The “tonguetype

fracture” is described when a curvilinear fragment extending to the posterosuperior calcaneus is rotated downward.






Figure 8 Stress fracture. 

(A) Calcaneal fatigue fracture. Fatigue fractures are overuse injuries occurring in normal bone. The most common

locations in the ankle and foot are the calcaneus (arrows) and the distal second metatarsal shaft. The fracture line is sclerotic, reflecting microcallus forming along the lines of stress perpendicular to the main trabecular orientation. 

(B) Tibial insufficiency fracture. Insufficiency fractures occur in abnormal (ie, osteoporotic) bone undergoing normal stresses. AP oblique (mortise view) view of the ankle shows demineralized bones with a horizontally oriented dense line (arrowheads) across the distal tibial epimetaphysis, representing an insufficiency fracture.



Figure 9 Normal variants. 

(A) Accessory navicular. AP view of the foot shows a large, triangular accessory navicular bone (arrow) that

articulates with the navicular body across a broad, flat surface. As opposed to a small, round accessory ossicle, in this setting the posterior tibialis tendon inserts on the ossicle itself, resulting in altered stresses at the intervening fibrous synchondrosis. 

(B) Painful os peroneum syndrome (POPS). The os peroneum lies lateral to the cuboid and is part of the peroneus longus tendon sheath, located just proximal to the point at which the tendon changes course and passes under the cuboid. A sclerotic or fragmented os peroneum (arrow) may be associated with distal peroneal pathology, also

known as POPS. 

(C) Os trigonum syndrome. The os trigonum (arrow) represents developmental separation of the posterior talar process (Steida process); often triangular in shape and occasionally large, this ossicle can become impinged between the tibia and calcaneus on plantarflexion, causing disruption of the intervening synchondrosis. Osteoarthritis and posterior ankle or subtalar synovitis may occur and is known as “posterior impingement syndrome.”








Figure 12 Osteoarthritis. 

(A) Osteoarthritis of the first metatarsophalangeal joint is common; a prominent dorsal osteophyte may form

(arrow) called a “hallux rigidus spur.” Like impingement syndromes at the ankle, this condition is associated with pain and limited range of motion at the joint. 

(B) Ankle joint osteoarthritis with anterior impingement. Lateral view of the ankle shows narrowing of the

ankle joint (arrowheads) and subchondral sclerosis representing osteoarthritis. Anterior spurs (arrows) can cause pain and limited dorsiflexion, called “anterior impingement.”






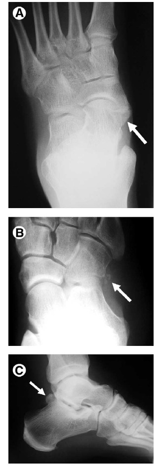
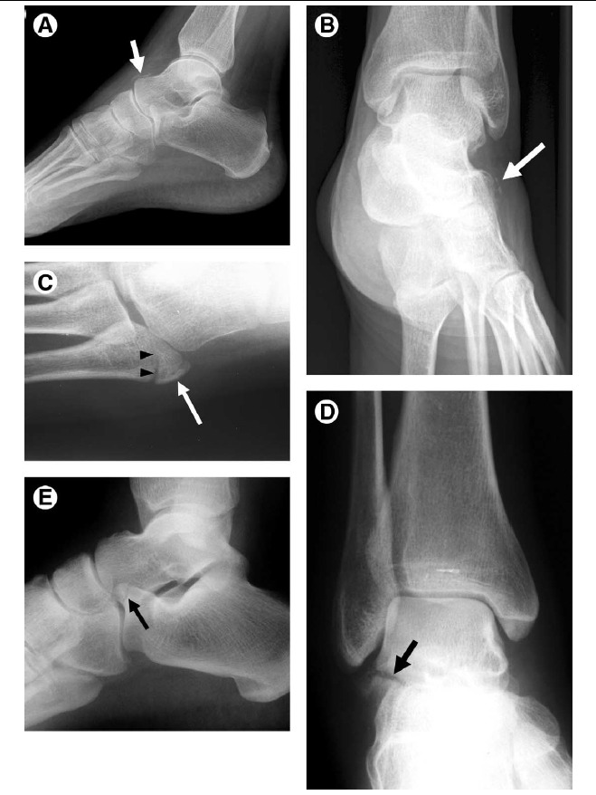
Figure 19 Coalition. 

(A) Calcaneonavicular coalition. Lateral view of the ankle shows a talar beak (arrow), which is often

associated with coalition. Note the “anteater sign,” in which the anterior calcaneal process (arrowheads) continues into

the navicular bone, caused by a coalition. 

(B) Calcaneonavicular coalition. Lateral oblique view of the foot of the same patient as (A) optimally depicts the site of calcaneonavicular coalition (arrows). 

(C) Subtalar coalition. Lateral view of the ankle shows a talar beak (arrow) and a “C sign” (arrowheads) caused by a prominent sustentaculum tali seen in the setting of subtalar coalition

(D) Subtalar coalition. Harris–Beath view of the same patient as (C) shows bone prominence at the sustentaculum tali (arrow) and lack of visualization of the middle facet compared with the posterior facet (arrowhead), which should be in the same plane.


tasal coalition에 대한 mri자료


첨부파일 MRI of Tarsal Coalition.pdf








다음검색
현재 게시글 추가 기능 열기

댓글

댓글 리스트
맨위로

카페 검색

카페 검색어 입력폼