CAFE

x-ray,ct, mri 초음파

발목과 발의 x-ray, ct, mri 초음파 이미지 - 대박자료

작성자문형철|작성시간13.06.04|조회수1,111 목록 댓글 0

 

 

첨단한방병원 통증치료 매뉴얼

1. 느슨하고 헐렁해진 인대, 관절 증식치료

1) 가열식 화침
2) 인대강화약침(프롤로+봉약침)
3) DNA 주사
4) 자가혈 약침(PRP)

2. 동적 안정성을 바탕으로 한 움직임 기능회복

1) 부정렬 치료(측만증, 오다리, 일자목, 일자허리)
2) 특수 교정재활치료(치료적 맞춤운동)

 

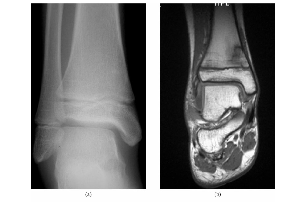
Imaging plays a major role in the management of ankle and foot problems. Most conditions are assessed by plain

films alone. MRI is an excellent technique for those cases where the diagnosis is uncertain as it can exclude most

clinically relevant pathologies. Ultrasound is an excellent tool for imaging focal soft tissue abnormalities. CT is

occasionally useful when bony detail is required. Bone scintigraphy has a limited role and has been largely replaced by MRI in many centres. The main reasons for referral are swelling and pain. Many conditions of the ankle and foot are related acute or repetitive trauma.


# Plain films are useful as an initial screen test for diffuse ankle and foot pain.

# MRI is the most suitable technique for global assessment of bone and soft tissues for persistent pain following injury.

# Ultrasound should be reserved for specific focal soft tissue conditions and when dynamic information is required.

# Ultrasound is an excellent technique for guiding injections.





sarcoma (from the Greek sarx (σάρκα) meaning "flesh") is a cancer that arises from transformed cells of mesenchymalorigin. Thus, malignant tumors made of cancerous bonecartilagefatmusclevascular, or hematopoietic tissues are, by definition, considered sarcomas. This is in contrast to a malignant tumor originating from epithelial cells, which are termedcarcinoma. Human sarcomas are quite rare.[citation needed] Common malignancies, such as breastcolon, and lung cancer, are almost always carcinoma.




Fibromas (or fibroid tumors or fibroids) are benign tumors that are composed of fibrous or connective tissue. They can grow in all organs, arising from mesenchyme tissue. The term "fibroblastic" or "fibromatous" is used to describe tumors of the fibrous connective tissue. When the term fibroma is used without modifier, it is usually considered benign, with the termfibrosarcoma reserved for malignant tumors.




Trevor’s disease






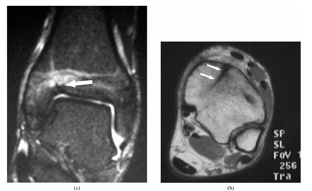
Subtle osteochondral fracture of the lateral corner of the talar dome



















나머지는... pdf파일로

ㅍㅍ













다음검색
현재 게시글 추가 기능 열기

댓글

댓글 리스트
맨위로

카페 검색

카페 검색어 입력폼