CAFE

x-ray,ct, mri 초음파

사지의 X-ray 촬영 영상과 외상

작성자조영훈|작성시간15.02.02|조회수3,339 목록 댓글 1

사지의 단순 촬영과 외상 (Extremity Plain Films and Trauma)

 

 

1. X선 단순 촬영에서 골절은 어떻게 평가되는가?

 

 골절 부위의 90도 각도로 취해진 적어도 두 개의 영상이 얻어져야 한다. 한 장의 사진은 없는 사진과 동일하다는 것을 기억하는 것이 중요하다. 획득된 방사선 사진은 관련된 탈구를 평가하기 위해 골절 부위의 바로 위와 아래 관절을 반드시 포함되어야 한다.

 

2. 다음의 용어를 정의하라.

 탈구(Dislocation), 아탈구(Subluxation), 폐쇄성 골절(Closed fracture), 개방성 골절(Open fracture), 관절내 골절(Intra-articular fracture), 병리적 골절(Pathologic fracture), 잠재성 골절(Occult fracture)

 

 탈구(Dislocation)는 한 관절에서 관절 표면 사이의 접촉의 완전한 손실을 의미한다. 아탈구(Subluxation)는 관절 표면 사이의 일치의 부분적 손실을 의미한다.

 폐쇄성 골절(Closed fracture)은 골절 부위 위로 피부가 온전한 상태를 의미한다. 만약 골절 부위와 외부 환경에서 소통이 있다면, 미세한 피부 손상에 관계없이 개방성 골절(Open fracture)로 간주된다.

 관절내 골절(Intra-articular fracture)은 한 관절에서의 관절 표면과 관련됨을 의미한다.

 병리적 골절(Pathologic fracture)은 병리 과정에서의 약화된 비정상적 뼈에서의 골절을 의미한다.

 잠재성 골절(Occult fracture)은 단순 방사선 영상에서 보여지지 않는 골절을 의미한다.

 

키 포인트 : 기본 용어

 ① 탈구(Dislocation)는 한 관절에서 뼈들 사이 접촉의 완전한 손실을 말한다.

 ② 아탈구(Subluxation)는 한 관절에서 뼈들 사이 접촉의 부분적 손실을 말한다.

 ③ 개방성 골절(Open fracture)은 외부 환경과 골절 부위의 소통된 상태가 된 개방성 손상을 말한다.

 ④ 관절내 골절(Intra-articular fracture)은 관절 표면과 연관됨을 말한다.

 ⑤ 병리적 골절(Pathologic fracture)은 비정상적인 병리적 뼈의 손상을 말한다.

 

3. 견열 골절(Avulsion fracture)은 무엇인가?

 

 박리 골절이라고도 하는 견열 골절(Avulsion fracture)은 뼈의 파편이 근육, 인대, 건의 부착 부위에서 당겨질 때 발생한다.

 

 

4. 분쇄 골절(Comminuted fracture)은 무엇인가?

 

 분쇄 골절(Comminuted fracture)은 둘 이상의 골절 파편을 가진 골절을 말한다.

 

 

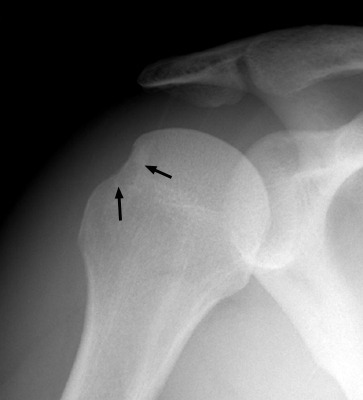
5. 견봉 부골(Os acromiale)이란 무엇인가?

 

 견봉 부골(Os acromiale)은 견봉의 부골화 중심을 말한다. 견봉 부골은 25세 까지 성인 시기에 정상적으로 융합됨에도 불구하고, 몇몇은 융합되지 않은 상태로 남게 된다. 견봉 골절로 오해할 수 있기 때문에 하나의 실체로서 인식하는 것이 중요하다. 그리고 어깨충돌증후군과 회전근개파열의 높은 유병율과 이 견봉 부골과의 연관성이 있다.

 

견봉 부골(Os acromiale) (이미지 출처: http://images.rheumatology.org)

 

 

6. 견봉쇄골 탈구(분리)의 세 가지 유형에 대해 기술하라.

 

 인대 손상으로 인해 견봉쇄골 탈구(AC separation)는 견쇄관절의 공간이 넓어짐을 말한다.

 견봉쇄골 탈구 제 1유형(Type Ⅰ AC separation)은 방사선상 변위 없이 견봉쇄골인대의 늘어남이나 부분적인 찢어짐을 의미한다. 방사선상으로 손상된 어깨와 손상되지 않은 어깨의 무게부하 영상 사진 비교를 통해 평가 가능하다. 안정적인 손상에 해당하며, 치료 예후는 좋다.

 견봉쇄골 탈구 제 2유형(Type Ⅱ AC separation)은 견봉쇄골인대의 완전 파열로 인해 견쇄관절이 넓어진 것을 의미한다. 이러한 대부분의 손상은 수술 없이도 치유된다.

 견봉쇄골 탈구 제 3유형(Type Ⅲ AC separation)은 견봉쇄골인대와 오훼쇄골인대의 완전한 파열의 의미한다. 비정상적인 견쇄관절과 오훼쇄골관절의 벌어짐의 결과가 나타난다. 이 형태의 손상은 내부 고정이 필요하다.

 

 A 그림은 견봉쇄골 탈구 제 2유형(Type Ⅱ AC separation)으로 견봉쇄골인대만 파열된 것

 B 그림은 견봉쇄골 탈구 제 3유형(Type Ⅲ AC separation)으로 견봉쇄골인대와 오훼쇄골인대의 완전한 파열

 

 

7. "Y" view는 무엇인가?

 

 "Y" view는 어깨의 특수한 방사선 영상으로, 상완골두를 견봉과 오훼돌기 둘 사이에 위치시켜 Y 형태를 하게끔 하여 보여주는 사진이다. 이 영상은 상완골두와 관절와의 상대적인 위치를 측정하는 데 도움을 주며, 어깨 관절(관절와상완관절)의 탈구를 진단하는 데 도움을 준다.


△ Shoulder Y View (이미지 출처 : www.pedxray.com)

 

△ Scapular Y view 유투브 동영상

 

 

8. 전후면 영상에서 어깨 전방탈구의 방사선상 특징은 무엇인가?

 

 어깨 탈구의 가장 흔한 형태는 전하방 탈구의 형태이다. 상완골두는 전중앙으로 이동하고 전형적으로 오훼돌기 약간 아래로 놓이게 된다. 따라서 오훼돌기하 탈구(Infracoracoid dislocation or Subcoracoid dislocation)로도 불린다. 

 

 

9. 힐-사치 골절(Hill-Sachs fractures)과 반가르트 골절(Bankart fractures)이란 무엇인가?

 

 힐-사치 골절(Hill-Sachs fractures) 반가르트 골절(Bankart fractures)은 어깨 전방탈구의 합병증이다. 힐-사치 골절(Hill-Sachs fractures)은 상완골두의 후외측 방면의 결손을 말한다. 전방탈구가 일어나는 동안 상완골두 부위와 전하방 관절와연 사이의 접촉이 있을 때 발생한다. 반가르트 골절(Bankart fractures)은 이러한 외상의 전하방 관절와연의 이차적 골절에 해당한다.

힐-사치 병변 (이미지 출처 : http://www.shoulderdoc.co.uk/article.asp?article=1470)

 

힐-사치 골절(Hill-Sachs fractures) (이미지 출처 : http://www.gentili.net/fracture.asp?ID=52)

 

 

10. 상완골의 가성아탈구(Pseudosubluxation)는 무엇인가?

 

 상완골의 가성아탈구(Pseudosubluxation)란 상완골두의 하방전위로 인해 관절와상완 공간이 넓어진 것을 의미한다. 이는 대개 어깨의 외상 후에 관절혈증 또는 지방혈관절증로 인해 나타난다. 이 용어의 의미는 관절와상완관절의 진성 탈구가 아님을 말하는 것이다.

 

 

11. 팔꿈치에 있어서 후방 지방층 징후(Posterior fat pad)와 돛 징후(Sail sign)란 무엇인가?

 

 후방 지방층 징후(Posterior fat pad)와 돛 징후(Sail sign)란 관절내 팔꿈치 골절의 존재를 암시한다. 지방은 일반적으로 활액막과 팔꿈치 관절낭 사이에 존재하는데, 원위 상완골 전방 피질에 바로 인접한 작게 투명하게 드물게 보이는 정상 전방 지방층을 제외하고는 일반적으로 방사선상으로는 보이지 않는다. 관절내 골절로 인해 나타나는 관절혈증이 활액막을 팽창시키고, 이 지방을 이동시킨다. 후방 지방층이 방사선투과형태로 보이게 되고, 전방 지방층은 삼각형의 방사선투과형태로 뼈에서부터 들어 올려진 모양으로 돛과 닮아있다.

 

△ Fat Pad Sign (이미지 출처 : http://en.wikipedia.org/wiki/Fat_pad_sign)

 

 

12. 몬테기아 골절(Monteggia fracture)과 연관된 현상에 대해 기술하라.

 

 몬테기아 골절(Monteggia fracture)은 요골두의 아탈구 또는 탈구를 동반한 근위 척골의 골절을 말한다. 이 골절과 탈구는 원래 1814년 몬테기아에 의해 처음으로 기술되었다. 근위 척골의 골절을 볼 때, 동반된 요골두의 탈구 또는 아탈구를 보는 것을 기억하는 것이 중요하다. 왜냐하면 요골두의 괴사가 초래될 수 있다는 사실을 놓칠 수 있기 때문이다.

 

몬테기아 골절 (이미지 출처 : http://cdn.lifeinthefastlane.com)

 

몬테기아 골절 유투브 동영상

 

 

13. 갈레아찌 골절(Galeazzi fracutre)과 연관된 현상에 대해 기술하라.

 

 갈레아찌 골절(Galeazzi fracutre)은 원위 요척관절 탈구/아탈구와 동반된 원위 요골 골절을 말한다. 갈레아찌 골절(Galeazzi fracutre)은 1935년에 명명되었다.

 

갈레아찌 골절 (이미지 출처 : http://en.wikipedia.org/wiki/Galeazzi_fracture)

 

갈레아찌 골절 유투브 동영상

 

 

14. 8개의 수근골의 이름을 말하라.


 모든 수근골을 기억하는데 유용한 잘 알려진 연상기호는 다음과 같다. (근위열의 요측에서 척측방향을 시작으로 원위열의 요측에서 척측방향 순)

 "Some lovers try positions that they cannot handle."

 scaphoid, lunate, triquetrum, pisiform, trapezium, trapezoid, capitate, hamate

 주상골, 월상골, 삼각골, 두상골, 대능형골, 소능형골, 유두골, 유구골

 trapezium과 trapezoid의 상대적 위치를 기억하는 한 가지 팁은 trapezium은 엄지(thumb)와 관련된다는 것이다.


 

△ Carpal bones (이미지 출처 : http://www.raddaily.com)



15. 어떤 수근골이 가장 자주 골절이 일어나는가?


 주상골이 가장 자주 골절이 일어나는 수근골에 해당한다. 주상골의 골절은 해부학적 담배코갑의 민감징후가 있을 때 의심해 볼 수 있다. 주상골의 골절은 단순 방사선 사진으로 감별하기 어려울 수 있다. 주상골로의 혈액 공급은 요골 동맥의 주상골 가지에 의한 손목(중앙)부와 원위극에서부터 이뤄진다. 그 결과, 혈액은 원위극에서 근위부로 흐른다. 골절에 의해 이러한 지장이 초래될 때, 근위 골절 파편의 무혈성 괴사가 발생하고 경화증과 같이 보일 수 있다.


 

△ Scaphoid fracture (이미지 출처 : http://en.wikipedia.org/wiki/Scaphoid_fracture)

 

△ Scaphoid fracture (이미지 출처 : http://www.methodistorthopedics.com/scaphoid-fracture-of-the-wrist)
 

 

16. 테리 토마스 징후란 무엇인가?


 주상월상간 해리는 주상골과 월상골 사이의 인대 파열의 결과로 나타난다. 손목의 전후영상(AP view)에서 주상골과 월상골 사이의 간격이 넓어져 있는 것으로 알 수 있으며, 테리 토마스 징후(Terry Thomas sign)로 알려져 있다. 참고로 테리 토마스(1911-1990)는 치아가 벌어진 영국 코미디 배우다.

 

△ Terry Tomas (이미지 출처 : http://www.radrounds.com/photo/terry-thomas-sign)

 

△ Terry Tomas (이미지 출처 : http://www.amazon.co.uk/)

 


 

17. 손등 사이 분절 불안정성(DISI)과 손바닥 사이 분절 불안정성(VISI)에 대해 정의하라.


 DISI와 VISI는 손목의 측면 방사선 사진 상에서 월상골의 기울임에 의한 수근골의 불안정성을 의미한다. DISI는 월상골이 손등 방향으로 기울어져 있는 것을 말하며, VISI는 월상골이 손바닥 방향으로 기울어져 있는 것을 말한다.


△ A 그림은 DISI(Dorsal intercalated segmental instability)

 B 그림은 VISI(Volar intercalated segmental instability)

 

 

DISI (이미지 출처 : http://www.emergucate.com/)

 

VISI (이미지 출처 : http://oxfordorthopaedics.co.nz/service/hands-soft-tissue-injuries/)


18. 다음 골절에 해당하는 방사선 영상은?


Barton

Baseball (mallet) finger

Bennett

Boxer

Colles

Smith

Triquetral

 

 

Forearm fracture (이미지 출처 : http://www.fprmed.com/Pages/Ortho/Barton_Fracture.html)

 

△ Mallet finger (이미지 출처 : http://www.edoctor.co.in/)

 

△ Bennett fracture (이미지 출처 : http://www.mplsortho.com/)

 

△ Boxer's fracture (이미지 출처 : http://www.drpachadharma.com/)

 

△ Triquatral fracture (이미지 출처 : http://www.epainassist.com/sports-injuries/wrist-injuries/triquetral-fracture/)

 


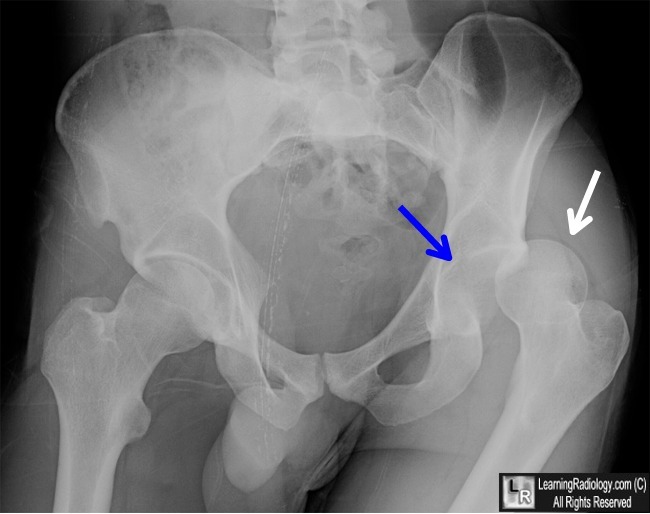
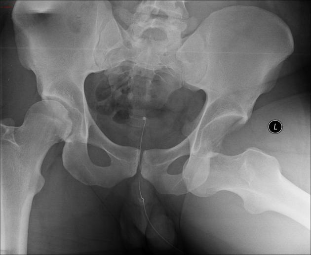
19. 고관절의 전방탈구와 후방탈구 중 어느 것이 더 흔한가?


 고관절의 후방탈구가 더 흔하다. 대퇴골두의 상방 전위가 나타난다. 전방탈구에서는 대퇴골두가 전방과 내방으로 이동한다.

 

△ Posterior hip dislocation (이미지 출처 : http://radiopaedia.org/articles/hip-dislocation)


△ Anterior hip dislocation (이미지 출처 : http://radiopaedia.org/articles/hip-dislocation)

 


20. 이분 슬개골이란 무엇인가?


 이분 슬개골이란 또 하나의 정상적인 해부학적 이형으로, 슬개골 골절로 잘못 판별해서는 안 된다. 이차적 골화 중심으로 슬개골 사분면의 상외측에서 보인다. 대개 대칭적이며, 매끄럽고 경화성의 외피 경계를 가진다.

 

△ Bipartite patella (이미지 출처 : http://www.wheelessonline.com/ortho/bipartite_patella)


21. Segond 골절이란 무엇이며, 임상적으로 암시하는 바는 무엇인가?


 Segond 골절은 외측인대 부착부의 근위 외측 경골의 견열 골절을 말한다. 골절 파편은 매우 작을 수 있다. 방사선 사진 상으로 보기에 매우 힘듦에도 불구하고, 흔하게 전방십자인대 파열과 반월상 연골판 손상이 동반된다.


 

△ Segond fracture (이미지 출처 : http://www.medicinadurgenza.org/)


 

22. 경골 천정 골절이란 무엇인가?


 경골 천정 골절은 거골의 밀착으로 인해 원위 경골의 관절내 골절을 말하는데, 종종 분쇄 형태로 나타난다.

 

△ Tibial plafond fracture (이미지 출처 : http://orthoinfo.aaos.org/topic.cfm?topic=A00527)

 

△ Tibial pilon fracture 유투브 동영상 

 

 

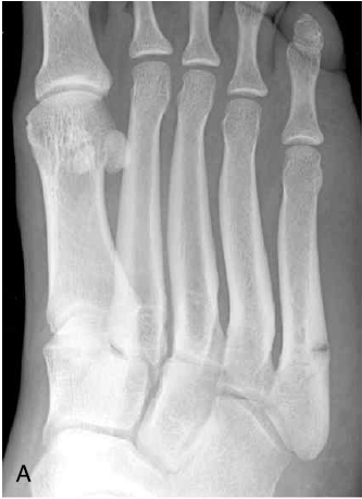
23. 다음 골절에 해당하는 내용과 방사선 사진과 연결시켜라.

 


A는 존스 골절(Jones fracture). 제5중족골의 기저부의 횡단 골절에 해당한다.

 

△ Proximal Fifth Metatarsal Fractures 유투브 동영상 



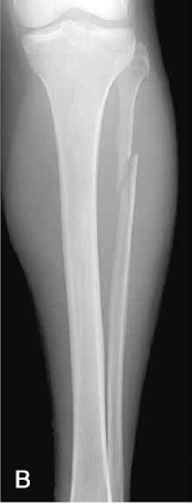
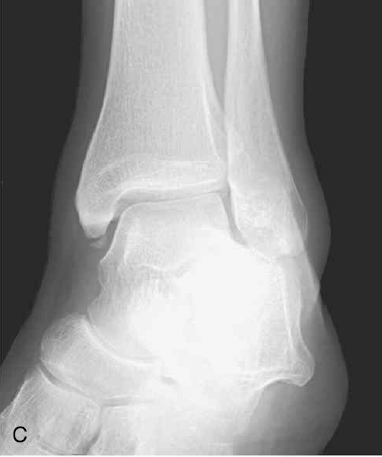
B는 Maisonneuve 골절로, 골간막의 파열과 비골 상단 1/3 부위의 골절을 나타낸다.



C는 Maisonneuve 골절로, 내측 복사뼈 골절 동반된 사진이다.

 

△ Maisonneuve fracture 유투브 동영상 



△ D는 Segond 골절에 해당. 근위 외측 경골의 견열 골절(화살표)에 해당한다.


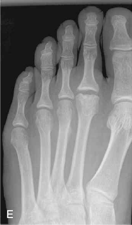
△ E는 Freiberg 병으로, 연골하 피로골절로 인해 제2중족골 또는 제3중족골두의 골괴사를 보인다.

 

 

※ 참고 문헌

 1. J. H. Harris, W. H. Harris. The Radiology of Emergency Medicine. Lippincott Williams & Wilkins. Philadelphia. 2000.

 2. T. B. Hunter, L. F. Peltier, P. J. Lund. Radiologoc history exhibit: musculoskeletal eponyms: who are those guys? Radiographics 20 (2000) 819-836.

 3. R. J. Schultz. The Language of Fractures. second ed. Williams & Wilkins. Baltimore. 1990.

 

다음검색
현재 게시글 추가 기능 열기

댓글

댓글 리스트
  • 작성자송다형 | 작성시간 15.02.12 감사합니다.
댓글 전체보기
맨위로

카페 검색

카페 검색어 입력폼