CAFE

x-ray,ct, mri 초음파

무릎 MRI (Knee MRI) 영상진단

작성자조영훈|작성시간15.05.27|조회수4,774 목록 댓글 1

무릎 MRI (Knee MRI) 영상진단



1. 어떤 시퀀스가 무릎 MRI 표준 프로토콜에 포함되어야 하는가?


 시상면 양성자 밀도 강조(비지방 포화) 시퀀스와 시상면, 관상면, 축면의 지방 포화 T2 강조 시퀀스가 포함되어야 한다. 비지방 포하 T1 강조 시퀀스(가급적 관상면)가 또한 추천된다.



2. 무릎의 어떤 구조가 각 면에서 최적으로 평가될 수 있는가? 

 

  •  시상면 : 전방십자인대와 후방십자인대, 내측과 외측 반월판, 내측과 외측 연골, 슬개대퇴연골, 신근 기전
  •  관상면 : 내측과 외측 측부인대, 내측과 외측 반월판, 내측과 외측 연골
  •  축면 : 슬개골, 슬개골지대, 슬개대퇴연골, 베이커 낭종



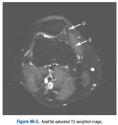
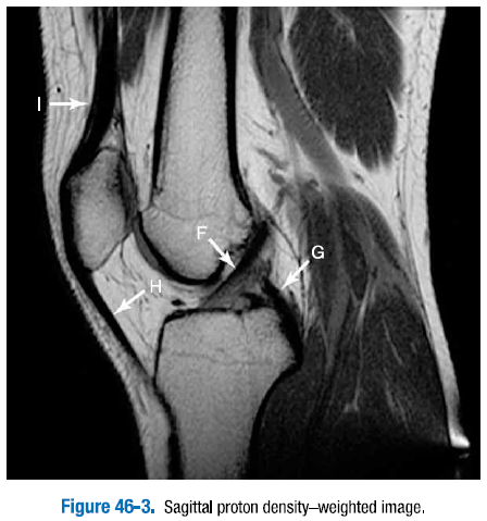
3. 그림 46-1 ~ 그림 46.4에 있는 무릎의 표지된 정상 구조물을 확인하라.


A. 전방십자인대   B. 후방십자인대   C. 내측측부인대



D. 내측 슬개골지대   E. 내측광근


F. 전방십자인대   G. 후방십자인대   H. 슬개골건   I. 대퇴사두근건

 

J. 외측반월판 전방각   K. 외측반월판 후방각   L. 슬와근건



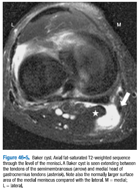
4. 베이커(슬와) 낭종은 무엇인가? 어디에 위치하며, 징후는 무엇인가?


 베이커 낭종 또는 슬와 낭종은 반막근(semimembranosus)과 비복근(gastrocnemius)의 내측두의 힘줄 사이의 슬관절 후방으로 이어져 있는 점액낭이다. (그림 46-5) 베이커 낭종의 존재는 만성적이거나 재발하는 슬관절 삼출액을 암시하고 특히 반월판 파열과 연골 결손과 같은 관절내의 병소를 찾도록 하는 징후이다.


 

△ 그림 46-5. 베이커 낭종. 반월판의 레벨을 통과하는 축면 지방 포화 T2 강조 시퀀스

 베이커 낭종은 반막근건(화살표)과 비복근건의 내측두(별표) 사이에서 확대된 것으로 보인다. 외측과 비교하여 내측 반월판이 정상적으로 더 큰 표면적을 가짐을 또한 주목할 것. M = 내측, L = 외측



5. 어떤 힘줄이 거위발 건(pes anserinus)을 구성하는가?


 SGT를 기억하라. 반건양건(semitendinosus), 박근(gracilis), 봉공근(sartorius). 이들 힘줄은 슬관절로 부터 약 5cm 떨어진 내측 경골에 부착되어 있으며, 염증이 일어날 수 있는 점액낭과 관련이 있다. 반막근-경골측부점액낭(semimembranosus-tibial collateral bursa)과는 독립되어 있다.


 

△ 거위발 건 (Pes anserinus)

(이미지 출처 : http://www.methodistorthopedics.com/pes-anserine-bursitis-of-the-knee)



6. 반월판 손상의 임상적인 증상을 기술하라. 반월판의 어느 부위가 손상에 관련될 가능성이 더 높은가?


 반월판 파열을 가지는 환자의 임상적인 증상은 무릎의 통증과 잠김(locking)이다. 내측 반월판의 후각이 일차적인 무게 부하면이며 내측 반월판의 전각보다 더 손상이 일어날 가능성이 높다. 주변부 반월판 파열은 반월판의 혈관 지역(vascular zone)에서 더 잘 발생하는데, 더 잘 치유되며, 종종 고립적으로 발생하면 수술이 필요하지 않다. 외측 반월판의 전각은 반월판 파열 진단의 위양성의 흔한 부위인데, 정상적인 전방 횡단 반월판 인대가 파열을 자극할 수 있다.


 

△ 내측 반월판의 전각(Anterior Horn)과 후각(Posterior Horn)

(이미지 출처 : http://thesteadmanclinic.com/meniscus/overview.asp)



7. MRI상 정상 반월판과 파열된 반월판의 모양은 어떠한가?


 내측과 외측의 반월판은 초승달 모양의 구조로, 경골의 상부 관절면의 내측과 외측 방면에 위치한다. 주로 섬유연골로 구성되고 모든 펄스 시퀀스에서 낮은 신호강도를 보여준다. 시상면 영상에서는 반월판이 나비 넥타이 모양으로 나타난다.



8. MRI상 반월판 파열의 진단 기준은 무엇인가?


 반월판 파열은 두 가지 주요한 기준에 의해 진단된다.

 

  • 반월판 내의 증가된 신호 강도를 보이는데, 적어도 연속된 둘 슬라이스 이상에서 관절 표면에 확장되어 나타난다. (그림 46-6)
  • 비정상 반월판 형태

 

 

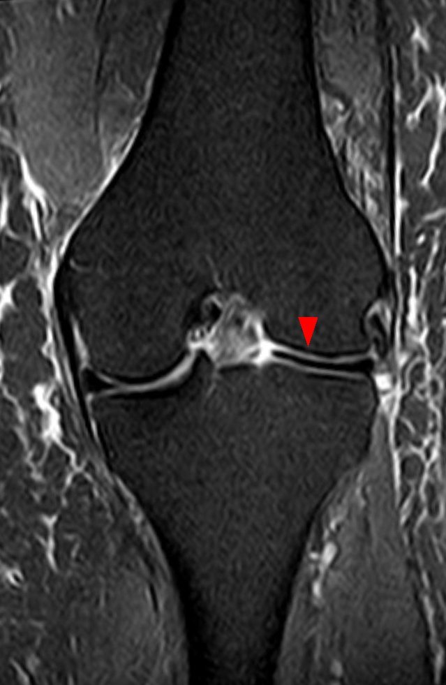
△ 그림 46-6. 내측 반월판 파열

 무릎의 외측 시상면 양성자 강조 영상은 내측 반월판의 후각 내의 선형의 높은 신호강도를 보인다. 이러한 증가된 신호는 하방연골표면으로까지 연장된다. 수직/사선 방향은 대부분 외상성 병리와 일치한다.



9. 외측 반월판 파열과 관련된 흔한 반월판의 변이는 무엇이고, MRI 상의 형태는 어떠한가?


 원반형 반월판(Discoid meniscus)이 인구의 3% 정도로 발생하는 흔한 변이에 해당하는데, 반월판의 형태학적인 거대화로 나타난다. (그림 46-7) 환자는 대개 무릎을 신전하고 굴곡할 때 염발음을 나타낸다. 이는 관상면 상에서 최적으로 진단되고 시상면 상에서는 그렇지 않은데, 기술상의 다양함이 나타날 수 있다. 대퇴외과의 중간 레벨을 관통한 관상면 MRI 영상에서 대퇴외과의 중간 포인트 아래로 가운데 부위로 이어지는 반월판이 원반형 반월판(discoid meniscus)으로 불린다.


 

△ 그림 46-7. 외측 원반형 반월판

 중간 대퇴외과 레벨을 통과하는 관상면 T1 강조 시퀀스는 외측 원반형 반월판으로 나타나는 외측 반월판이 외측 대퇴외과의 중간 포인트 아래 가운데 부위로 연장됨을 보여준다. (화살표) 정상적인 내측 반월판은 내측 대퇴내과로 이어짐은 보이지 않는다. M = 내측, L = 외측


△ 원반형 반월판 (Discoid meniscus) - 관상면 양성자 밀도 강조 MRI

(이미지 출처 : http://en.wikipedia.org/wiki/Discoid_meniscus)


 

△ Discoid Meniscus - Dr. Nabil Ebraheim Youtube 동영상



10. 외상성 반월판 파열과 퇴행성 반월판 파열은 어떻게 감별할 수 있는가?


 외상성 파열은 수직적인 방향의 경향성이 있는 반면에, 퇴행성 파열은 수평적인 방향의 경향성이 있다.



11. 양동이 손잡이형 파열(Bucket-handle tear)이란 무엇인가? MRI 상의 형태를 기술하라.


 양동이 손잡이형 파열(Bucket-handle tear)은 외상성 파열의 아형으로 전체 반월판 파열의 10%를 차지한다. MRI는 대개 다음과 같이 보인다. (1) '나비 넥타이 부재 징후(Absent bow tie sign)'로 알려진 나비 넥타이와 닮은 내부 몸 분절(body segment)의 부재와 (2) 전이성 반월판 파편의 존재가 관상면 영상 상 과간절흔에 위치하여 이중 후방십자인대 징후(Double PCL sign)라고 하는 두번째 후방십자인대처럼 보인다.



△ 이중 후방십자인대 징후 (Double PCL Sign)

(이미지 출처 : http://radiopaedia.org/articles/double-pcl-sign)


 

△ 반월판 파열의 형태

(이미지 출처 : http://www.prosportstherapy.net/library_knee_16)



12. 반월판 파열을 감지하는 MRI의 민감도와 특이도는 어떠한가?


 MRI는 반월판 파열의 감지에 약 88% 정도의 민감도와 94%의 특이도를 가진다. 양성자 밀도 강조 시퀀스는 지방 포화 T2 강조 시퀀스에 비해 더 민감도가 높지만, 특이도는 덜하다.



13. 반월상연골낭종(Meniscal cyst)은 무엇이고, 그 징후는 무엇인가?


 반월상연골낭종(Meniscal cyst)은 반월판 파열 후에 반월상연골액의 분출로 인해 나타난다. 전형적으로 반월상 내부나 반월상낭 접합부의 반월판주변의 연부조직에서 발생한다. MRI가 반월상연골낭종을 진단하는 데 이학적 검진이나 관절경보다 더 민감하다. MRI 상에서 이러한 낭종은 T2 강조 영상에서 높은 신호 강도를 보인다. 이는 파열이 영상 상으로 보이지 않을 때조차 반월판 파열을 암시한다.



△ 반월상연골낭종 (Meniscal cyst) MRI

(http://www.kneesurgerymanchester.co.uk/knee-conditions/20-meniscal-cysts.html)



14. 십자인대의 부착지점은 어디인가?


 전방십자인대는 과간절흔(intercondylar notch)에서의 외측대퇴과 내측 표면에서 기시하여 경골의 과간융기(intercondylar eminence)의 전방부위에 붙는다. 후방십자인대는 과간절흔 내의 내측대퇴과 외측 표면에서 기시하여 경골의 과간융기의 후방표면에 붙는다.


 

△ 전방십자인대와 후방십자인대

(http://www.drugs.com/health-guide/posterior-cruciate-ligament-pcl-injuries.html)



15. 전방십자인대와 후방십자인대 중 어느쪽 손상이 더 흔한가?


 전방십자인대 손상이 후방십자인대 손상 보다 더 흔하다.



16. 전방십자인대 파열의 MRI 모양은 어떠한가?


 직접적인 전방십자인대 파열 징후는 다음과 같다.

 

  • 인대의 가시적인 파괴
  • 불규칙적이거나 물결모양의 윤곽
  • 인대 물질 내부의 비정상적인 병소 징후
  • 관상면 상에서의 빈 절흔(empty notch) 징후 (예상되는 부위의 전방십대인대의 부재)
  • 전방 경골극 견열


 간접적인 전방십자인대 파열 징후는 다음과 같다.

 

  • 특징적인 추축 이동 골타박상 패턴
  • 외측 대퇴과의 전방부위 감입 손상 부위에서의 깊은 가쪽 홈 징후(sulcus sign)
  • 세곤드 골절 (Segond fracture)
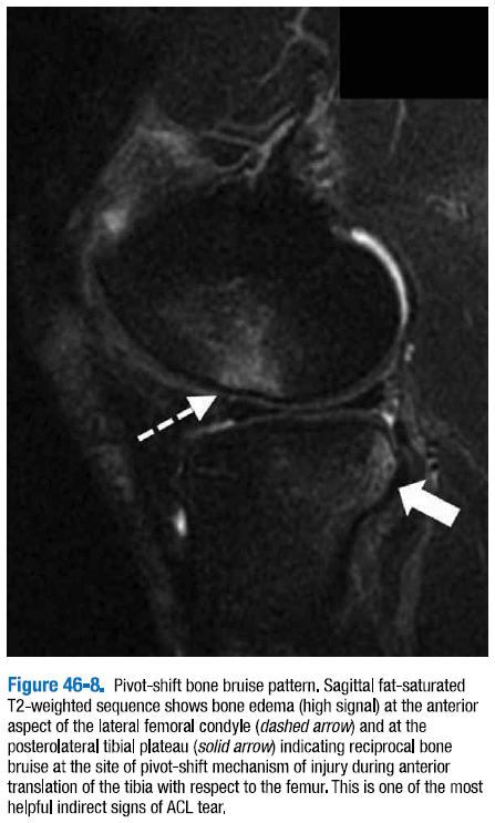
  • 전방 서랍 징후 (대퇴골에 대하여 5mm 이상 경골의 전방 이동) (그림 46-8과 그림 46-9)



△ 그림 46-8. 추축 이동 골 타박상 패턴

 

 시상면 지방 포화 T2 강조 시퀀스는 외측대퇴골과(점선 화살표)와 후외측 경골 고평부(굵은 화살표)의 전방에서 골부종(높은 신호)을 보이는데, 대퇴골에 대하여 경골의 전방이동이 일어나는 동안 추축 이동 메커니즘의 부위에서의 상호적 골타박상을 암시하는 것이다. 이는 전방십자인대 파열의 가장 간접적인 징후 중 하나이다.



△ 그림 46-9. 전방십자인대의 완전 파열

 그림 46-8과 동일한 환자의 시상면 지방 포화 T2 강조영상은 근위와 중간부위에서의 전방십자인대의 부재를 나타냄으로써 완전 파열(점선 화살표)을 암시한다. 후방십자인대의 원위부에서는 정상의 균일한 낮은 신호(굵은 화살표)를 나타냄을 주목

 


17. 전방십자인대와 후방십자인대의 완전 파열을 감지하는데 MRI의 민감도와 특이도는 어떠한가?


 MRI는 전방십자인대 완전파열에 있어서는 약 94%의 민감도와 특이도를 가지며, 후방십자인대 완전파열에 있어서는 91%의 민감도와 99%의 특이도를 가진다.

 

 

18. 내측측부인대와 외측측부인대의 구성물들은 무엇인가?

 

  •  내측측부인대는 심층과 표층에서 구성하고 있는데, 심층에는 내측 반월대퇴인대, 반월경골인대로 구성되어 있으며, 대개 주요한 내측측부인대로 이해되는 표층의 인대는 경골측부인대이다.
  •  외측측부인대는 전후로 장경인대, 비골측부인대, 대퇴이두근건으로 구성되어 있다.

 

 

19. 무릎의 후외측에서 어떤 구조들이 중요한 안정자(stabilizers)인가? 왜 중요한가?

 

 중요한 후외측 안정자는 장경인대, 비골측부인대, 대퇴이두근건으로 구성된 외측측부인대와 슬와근과 슬와근건, 비복근건 내측두, 궁형인대(arculate/fabellofibular ligament)와 슬와비골인대를 포함한 다른 인대들이다.

 

 후외측 코너에서 발생된 높은 등급의 손상이 만약 치료되지 않는다면 나쁜 예후의 결과와 연관된다. 만약 MRI 상으로 후회측 손상이 감지되면, 가능한 빨리 임상의에게 알려야 하며, 불안정한 징후를 해결하기 위해 임상적인 교정의 조치가 이뤄져야 한다.

 

 

키 포인트 : 무릎의 MRI

 

  1. 반월판 내의 이상 신호는 MRI 상 반월판 파열로 진단내리기에 불충분하다. 비정상적인 반월판 신호 강도는 두 개의 연속적인 슬라이스 상에서 반월판 표면으로 이어져야 MRI 상 반월판 파열로 부를 수 있다.
  2. 전방십자인대 파열의 진단은 관련된 손상을 흔하게 찾을 수 있어야 하는데, 내측측부인대 손상, 내측 반월판 손상, 세곤드 골절, 골 타박상 등의 관련된 손상을 함께 고려하여 찾아야 한다.
  3. MRI 상의 후외측 코너의 이상 징후 발견들은 가능한 빨리 임상의에게 전해져야 하는데, 왜냐하면 치료되지 않은 높은 등급의 손상은 나쁜 예후를 가지기 때문이다.

 

 

20. 오도노휴의 불행한 삼요소(O'Donoghue's unhappy triad)는 무엇인가? 

 오도노휴의 불행한 삼요소(O'Donoghue's unhappy triad)는 흔하게 (미식)축구나 스키 손상으로 발생하며, 무게 부하가 주어지는 동안 외전부하와 회전움직임의 결과로 발생한다. 전형적으로 내측 측부인대 손상, 전방십자인대 파열, 내측 반월판 파열의 결과가 초래된다. 

 

오도노휴의 불행한 삼요소 (O'Donoghue's unhappy triad)

(http://www.epainassist.com/sports-injuries/knee-injuries/unhappy-triad-or-blown-knee-or-terrible-triad)

 

 

21. 내측측부인대 손상의 등급 체계는 무엇인가?

 

 다른 손상이 없는 내측측부인대의 파열은 드물게 수술이 요구된다. (표 46-1)

 

표 46-1. 내측측부인대 손상의 등급 체계

 등급 Ⅰ (염좌)

 온전한 인대 주변의 부종

 등급 Ⅱ (부분 파열)

 해당 레벨의 전체 내측측부인대와 수반되지 않은 섬유 파괴를 동반하거나 동반하지 않은 인대 내부의 부종

 등급 Ⅲ (완전 파열)

 인대의 완전한 파괴

 


 

22. 외측 슬개골 탈구의 징후에 대해 열거하라.

 

  • 외측 대퇴과의 후외측 방면과 내측 슬개골 후관절의 내측 방면에서의 상호간 골 타박상
  • 슬개대퇴 연골 손상
  • 내측 슬개지대 또는 내측 슬개대퇴인대 또는 양쪽 모두의 손상
  • 관절 삼출액

 

 얕은 슬개골 절흔의 존재는 이러한 손상이 초래되는 경향이 있을 수 있다. (그림 46-10)

 

△ 슬개골 불안정성 (Patella Instability)

(이미지 출처 : http://kneeandshoulderclinic.com.au/knees/surgical-conditions/patella-instability/)

 

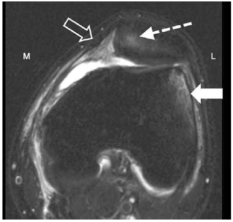
△ 그림 46-10. 일과성 외측 슬개골 탈구 (Transient lateral patellar dislocation)

 슬개골을 지나는 축면 지방 포화 T2 강조영상은 외측 대퇴과의 후외측 방면(굵은 화살표)과 내측 슬개골 후관절(점선 화살표)에서의 상호 골타박상(높은 신호)을 보여준다. 내측 지대(빈 화살표)는 주위 부종으로 두꺼워져 있고, 부분 파열을 나타낸다. M = 내측, L = 외측

 

 

23. 점퍼 무릎(Jumper's knee)이란 무엇인가?

 

 점퍼 무릎(Jumper's knee)슬개골 건염(patellar tendinitis)으로 또한 알려져 있는데, 차고, 뛰고, 달리는 젊은 운동선수들에서 전형적으로 발생하는 과사용 증후군이다. 이러한 동작들은 물질내 퇴행화를 가지는 슬개대퇴관절 상의 부하와 힘줄의 부분적 파열 상황에 놓여져게 된다. 슬개골 건염은 MRI 상에서 근위 슬개골건의 두꺼워짐과 액체 민감 시퀀스에서 증가된 신호를 보이는 부종으로 특징지을 수 있다. 더 심각한 경우는 호파 지방(Hoffa fat)과 슬개골의 하층에서의 병존하는 부종이다.

 

△ 슬개골 건염 MRI (Patellar tendinitis MRI)

(http://radsource.us/jumpers-knee/)

 

 

24. 골연골 병변(Osteochondral lesion)이라는 용어가 의미하는 바는 무엇인가?

 

 골연골 병변(Osteochondral lesion)은 연골과 뼈의 잔여 부분으로부터 아래에 위치하는 뼈 부분의 분리와 관련된 관절표면의 결손을 뜻한다. 이는 외상성 골연골 골절, 불충분한 골절과 동반된 골연골 병변, 박리성 골연골염(OCD)의 겹쳐질 수도 있는 병리를 아우른다.

 

 

25. 박리성 골연골염(OCD)은 무엇인가?

 

 박리성 골연골염(OCD)은 연골하골과 위에 놓인 연골의 만성적인 분리를 의미하는데, 외상에 의해 초기에 촉발될 수 있다. 박리성 골연골염은 10~20세의 특히 남자에서 가장 흔하게 발생하는데, 내측 대퇴과의 외측 방면에서 잘 일어난다.

 

△ 박리성 골연골염의 호발 부위

(이미지 출처 : 대한정형외과학회. 《정형외과학 2》 최신의학사. 2013. 1046~1048쪽)

 

 

26. 왜 박리성 골연골염의 등급이 매겨지는가?

 

 박리성 골연골염의 관리는 파편의 안정성에 따라 결정되는데, 가장 불안정한 병변은 수술적 관리가 요구된다.

 

 

27. 어떻게 박리성 골연골염의 등급이 결정되는가?

 

 성인에서 불안정한 파편의 MRI의 징후는 액체 민감도 시퀀스(T2 또는 STIR)에서 다음의 한 가지 또는 그 이상의 나타나는 것이다.

 

  • 주변의 높은 T2 신호 강도 고리의 존재
  • OCD 병변 주변의 낭종
  • OCD 병변 위에 높인 관절 연골을 지나는 높은 T2 신호 강도 골절 라인의 연장
  • 액체로 채워진 골연골 결손 

 

 미성년에서의 OCD는 불안정성 징후가 더 엄격한 진단기준이 요구된다.

 

더블클릭을 하시면 이미지를 수정할 수 있습니다

△ 박리성 골연골염(Osteochondritis Dissecans)의 등급과 유리체(loose body)

(이미지 출처 : http://www.methodistorthopedics.com/osteochondritis-dissecans-of-the-knee)

 

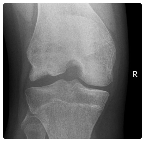
△ 박리성 골연골염의 단순 방사선 촬영 소견

(이미지 출처 : http://www.aafp.org/afp/2000/0101/p151.html)

 

△ 박리성 골연골염의 단순 방사선 촬영 소견

우측 대퇴골 외과의 괴사부위가 과간 절흔상(intercondylar notch view)에서 관찰된다.

(http://www.firstchoicemedicalandsurgical.com/conditions/osteochonditis-dissecans-ocd/)

 

△ 박리성 골연골염의 MRI 소견

(이미지 출처 : http://www.aafp.org/afp/2000/0101/p151.html)

 

 

28. 무릎의 연골하 불충분한 골절의 MRI 모양을 기술하라.

 

 무릎의 자발성 골괴사증이 현재 연골하 불충분 골절로 간주된다. 대개 60세 또는 70세 성인에서 초래된 외상 없이 급작스러운 통증이 나타나는데, 주로 내측 대퇴과에 연루된다. 초기 단계에서는 MRI에서 액체 민감도 시퀀스 상에서 연골하 부종을 나타내는데, 관절 연골 표면이 납작해짐과 연골하 골괴사증(낮은 신호)의 진행이 보일 수 있다. 후기 단계에서는 연골 감소와 골관절염의 발달 변화로 나타나는 골수종 감소이다.

 

△ 연골하 불충분 골절 MRI (Subcondral insufficiency fracture MRI)

(이미지 출처 : http://radsource.us/posterior-root-tear-of-the-medial-meniscus/)


 


참고 문헌 

 

  1. R. Mansour, M. Kausik, E. McNally. MRI of knee joint injury. Semin. Musculoskelet. Radiol. 10 (2006) 328-344.
  2. W. B. Morrison, T. G. Sanders. Problem Solving in Musculoskeletal Radiology. Mosby. Philadelphia. 2008. pp. 565-652.
  3. T. L. Pope, H. L. Bloem, J. Beltran, et al. Imaging of the Musculoskeltal System. Saunders. Philadelphia. 2008. pp. 537-689.


다음검색
현재 게시글 추가 기능 열기

댓글

댓글 리스트
  • 작성자이성준 | 작성시간 15.05.28 좋은 글 감사합니다 ^^
댓글 전체보기
맨위로

카페 검색

카페 검색어 입력폼