CAFE

x-ray,ct, mri 초음파

발과 발목 MRI (Foot and Ankle MRI) 영상진단

작성자조영훈|작성시간15.06.02|조회수4,857 목록 댓글 0

발과 발목 MRI (Foot and Ankle MRI) 영상진단



1. 발목 주변의 네 가지 구조물은 무엇이며, 어떤 것으로 구성되어 있는가?


 네 가지 구조물들은 내측면외측면전방면후방면으로 구성된다. 네 가지로 분류된 구조물들의 구성은 힘줄의 해부학을 고려하는 데 도움을 준다.


 

  •  내측 구조물은 전방에서 후방으로 후경골근건(posterior tibialis tendon), 장지굴근건(flexor digitorum longus tendon), 장모지굴근건(flexor hallucis longus tendon)으로 구성된다. "Tom, Dan, and Harry"로 기억하면 좋은데, 여기서 Dan의 an은 후경골동맥과 신경(posterior tibial artery and nerve)을 뜻한다.

 



 

△ 발과 발목 내측 구조물 (Ankle and Foot, Medial View)

(이미지 출처 : http://www.beantownphysio.com/pt-tip/archive/pttd.html)



△ 발과 발목 내측 구조물 (Ankle and Foot, Medial View)




△ 발과 발목 내측 구조물 (Ankle and Foot, Medial View)

(이미지 출처 : http://performpeak.com/tarsal-tunnel-syndromefoot-pain/)


 

  •  외측 구조물은 단비골근과 장비골근(peroneal brevis and longus)으로 구성되어 있다.

 


 

△ 발과 발목 외측 구조물 (Ankle and Foot, Lateral View)

(이미지 출처 : http://www.methodistorthopedics.com/peroneal-tendon-problems)


 

  •  전방 구조물은 내측에서 외측으로 전경골근건(extensor tibialis tendon), 장모지신근건(extensor hallucis longus tendon), 장지신근건(extensor digitorum longus tendon)으로 구성되어 있다. "Tom, Harry, and Dick"으로 기억하면 된다.

 



△ 발과 발목 전방 구조물 (Ankle and Foot, Anterior View)

(이미지 출처 : https://www.studyblue.com/notes/note/n/krs353/deck/10872105)


 

  •  후방 구조물은 아킬레스건(Achilles tendon)으로 구성되어 있다.

 


 

△ 발과 발목 후방 구조물 (Ankle and Foot, Posterior View)

(이미지 출처 : http://www.methodistorthopedics.com/achilles-tendon-problems)



2. 가장 흔한 발목 힘줄 손상은 무엇인가?


 아킬레스건이 가장 흔한 손상에 해당한다. 대개 종골 부착부에서 상방으로 3~5cm 떨어진 곳에서 잘 파열되는데, 이곳이 아킬레스건의 혈액 공급이 가장 취약한 곳이다. 아킬레스건 파열은 또한 대개 외측 비복근 근건접합부에서 발생하지만, 덜 흔하다. 아킬레스건 파열은 또 이차적 손상 또는 맞지 않은 신발에 의해 종골 부착부에서 가장 덜 흔하게 발생한다. 정상적인 아킬레스건의 신호는 T1과 T2 MRI 강조 영상에서 매우 낮은 신호를 보인다. 아킬레스건의 형태학적 특징은 정상적 아킬레스건의 평편하거나 오목한 축면의 전방 표면을 가진 영상과 함께 시상면과 축면에서 평가되어야 한다.


 

△ 아킬레스건 파열 (Achilles tendon tear)

(이미지 출처 : http://www.hughston.com/hha/a_15_1_5.htm)



3. 아킬레스건 파열의 MRI 모양을 기술하라.


 MRI 상 아킬레스건의 이상은 질환의 점진적인 상황에 따라 발견되는 경향이 있다.


 

  •  건주위염 (Peritendinitis) : 아킬레스건은 수초(sheath)를 가지지 않는다. 활액막염(synovitis) 없이 단지 건주위염만 발생할 수 있다. 건주위염은 힘줄 주변의 지방에서 침윤성의 변화로 보인다.

 



△ Achilles tendon Paratenonitis STIR MRI

(이미지 출처 : http://radiopaedia.org/cases/achilles-paratenonitis)


 

  •  건병증 (Tendinopathy) : 어떤 내부의 힘줄 신호는 건병증을 나타낸다.

 



△ Achilles tendinitis MRI

(http://images.rheumatology.org/viewphoto.php?albumId=75681&imageId=2861882)


 

  •  만성 건병증 (Chronic tendinopathy) : 만성 건병증은 MRI상으로 거대화된 비정상적인 모양의 힘줄로 보인다.

 


 

△ Achilles tendonosis MRI

(http://www.podiatrytoday.com/conservative-care-mid-portion-achilles-tendinopathy)


  •  내부 파열 (Interstitial tears) : 내부 파열은 MRI에서 묘사되는데, T1 강조 영상에서 세로 방향의 내부 신호 변화가 처음으로 보인다. 이러한 파열이 더 심각해지면, T2 강조영상에서 또한 비정상적으로 나타난다.


△ Achilles Tendon Partial Tears

  • 부분 파열 (Partial tears) : 부분 파열은 수평 방향의 신호 이상이 나타난다.

 
△ Achilles tendon tears STIR MRI

 

  •  완전 파열 (Complete tears) : 파열된 끝이 말린(retraction) 아킬레스건의 완전 파열은 대걸레 끝의 모양과 유사하다. 

 


△ Achilles tendon rupture MRI

(이미지 출처 : http://www.orthopaedicsone.com/display/MSKMed/Achilles+tendon+disorders)



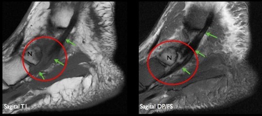
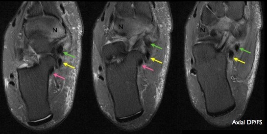
4. 어느 굴곡건 또는 내측건의 파열이 가장 흔한가?


 후경골근건(PTT)이 내측 힘줄 파열에서 가장 흔하다. 이러한 파열은 중년 여성에서 자주 발생한다. 후경골근건 파열은 평발의 결과로 발생한다. 후경골근건 파열은 대개 힘줄의 부착부 근처에서 발생하고 부주상골(accessory navicular)이나 골극형 주상골(cornuate navicular bones)과 연관된다. 정상적으로 후경골근건(PTT)은 장지굴근건(FDL)이나 장모지굴근건(FHL)의 두 배 정도의 크기다. 만약 건막염(tenosynovitis)이나 힘줄이 크게 거대화 되었다면 후경골근건 파열을 의심해야만 한다. 후경골근건(PTT)과 장지굴근건(FDL)이나 장모지굴근건(FHL)의 크기 비교는 유용할 수 있다.



△ 후경골근건(초록색 화살표)의 거대화와 주상골(N)의 골수종


△ 정상적인 장지굴근건(노란색 화살표)과 장모지굴근건(분홍색 화살표)

 

(이미지 출처 : http://www.image-echographie.net/?r=1&ssr=51&a=890&langue=en)



5. 외측측부인대를 형성하는 세 인대의 이름을 대시오.


 외측측부인대를 구성하는 세 인대는 전거비인대(anterior talofibular ligament), 종비인대(calcaneofibular ligament), 후거비인대(posterior talofibular ligament)이다.


 

△ 발목외측인대 (이미지 출처 : http://ankl.weebly.com/diagram.html)



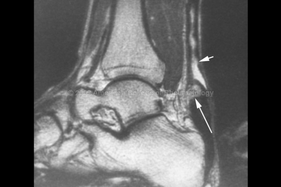
6. 외측측부인대를 형성하는 세 인대 중 어느 인대가 먼저 파열되는 경향이 있는가?


 전거비인대(anterior talofibular ligament)가 가장 흔하게 손상받는 인대이다. 종비인대(calcaneofibular ligament)는 다음으로 흔하게 손상받는 인대이다. 후거비인대(posterior talofibular ligament)는 관상면 MRI 영상에서 쉽게 확인되지만 손상이 드물다.


 

△ 발목외측인대 파열 (Tears in lateral collateral ligaments)

(http://meddb.eznetpublish.ihealthspot.com/tabid/9153/mid/14786/ContentPubID/73/ContentClassificationGroupID/-1/Default.aspx)



△ 후거비인대 MRI (Posterior talofibular ligament MRI)

(이미지 출처 : http://insideinjuries.com/radamel-falcao-ankle-sprain/)



7. 어떠한 뼈들이 후족부(hindfoot), 중족부(midfoot), 전족부(forefoot)를 형성하는가?


  •  후족부(Hindfoot)는 종골(calcaneus)과 거골(talus)로 구성된다.
  •  중족부(Midfoot)는 주상골(navicular)과 세 개의 설상골(cuneiform bones), 입방골(cuboid)로 구성된다.
  •  전족부(Forefoot)는 중족골(metatarsasl)과 지골(phalanges)으로 구성된다.



△ Anatomical illustration of human foot

(이미지 출처 : http://www.webmd.com/pain-management/picture-of-the-feet)



8. 거골하관절(Subtalar joint)에는 어떤 관절들이 있는가?


 

  • 후방관절(Posterior facet)은 가장 크고 진정한 거골하관절에 해당한다.
  • 중앙관절(Middle facet)은 종골의 재거돌기(sustentaculum tali)와 전방 거골에 의해 형성된다. 편평한 관절면을 가지고 있다.
  • 전방관절(Anterior facet)은 흔적 기관으로 중앙관절과 독립되거나 이어져 있을 수 있으며, 원형의 모양을 하고 있다.

 


△ 거골하관절 (Subtalar joint)

(이미지 출처 : http://en.wikipedia.org/wiki/Subtalar_joint)



9. 족근관(Tarsal canal)과 족근동(Sinus tarsi)에 대해 기술하라.


 족근관(Tarsal canal)과 족근동(Sinus tarsi)은 후방 거골하관절과 전방의 거종주상관절(talocalcaneal navicular joint) 사이의 경계에 형성하고 있다. 족근관과 족근동은 후내측에서부터 전외측까지 이어져있다. 족근관은 재거돌기 후방 발의 내측방향으로 연장된다. 족근관은 족근동의 형성으로 넓어지는데, 원뿔 모양으로 가쪽으로 열려있다. 족근동에는 지방, 혈관, 골간인대, 경골신경의 가지들이 존재한다.



△ Sinus tarsi with interosseus talocalcaneal ligament

(이미지 출처 : http://nothinbutapeanut.com/?page_id=1039)



10. 발목의 어떤 인대가 가장 덜 파열되는가?


 내측에 위치한 삼각인대가 매우 강하며 흔하지 않게 파열된다. 인대 파열보다는 외전 손상으로 대개 내측과의 견열 골절이 나타난다. 삼각인대는 네 개의 인대로 구성되는데, 표층에 둘, 심층에 둘로 이뤄져있다.



△ Medial Collateral (Deltoid) Ligament

(이미지 출처 : http://www.unmc.edu/dissection/idg35ankle.cfm)



11. 세 가지 발바닥(족저) 구조물은 무엇인가, 이들이 왜 중요한가?


 발바닥 구조물은 감염과 종양의 범위를 평가하는 데 중요하다. 세 가지 발바닥 구조물은 근막층에 의해 분리된다.


 

  • 내측 구조물(First ray)은 무지외전근(abductor hallucis muscle), 단무지굴근(flexor hallucis brevis muscle), 장모지굴근건(flexor hallucis longus tendon), 내측족저신경과 혈관(medial plantar nerve and vessels), 첫번째 중족골로 구성된다.
  • 중앙 구조물(Second, third, and fourth rays)은 단지굴근(flexor digitorum brevis muscle), 족척방형근(quadratus plantae), 네 개의 족저 충양근(lumbraicales muscles), 장지굴근건(flexor digitorum longus tendon), 장모지굴근건(flexor hallucis longus tendon)의 일부, 외측족저신경과 신경(lateral plantar nerve and vessels)으로 구성된다. 중앙 구조물은 또한 두번째, 세번째, 네번째 중족골이 포함된다. 두껍고 세로 방향의 족저근막(plantar aponeurosis)이 중앙 구조물의 바닥을 이룬다. 이 구조물은 중요한데, 종아리와 연결되고 감염이 파급되는 경로가 될 수 있기 때문이다.
  • 외측 구조물(Fifth ray)은 다섯번째 중족골과 소지외전근(abductor digiti minimi)단소지굴근(flexor digitorum minimi brevis muscle)로 구성된다.

 


△ Plantar Compartments

(이미지 출처 : http://en.wikipedia.org/wiki/Abductor_hallucis_muscle)



12. 족근 결합(Tarsal coalition)이란 무엇인가?


 족근 결합(Tarsal coalition)은 하나 또는 그 이상의 족근관관절(intertarsal joints)이 융합된 것을 말한다. 융합은 골성 또는 섬유연골성이나 섬유골성일 수 있다. 환자들은 대개 강직성 평발을 가지고 있는 청소년기에서 나타난다. 양측성인 경우가 20~25%이다. 유전적인 형태로 존재한다. 종골-주상골 결합은 방사선 영상상에 근거한 가장 흔한 형태이다. CT와 MRI는 거골-종골 결합이 더 흔할 수 있다는 것을 보여준다.


 

△ 종골-주상골 결합 (Calcaneonavicular Coalition)

(이미지 출처 : http://www.orthopediatrics.com/docs/Guides/tarsal_condition.html)

 

△ 거골-종골 결합 (Talocalcaneal Coalition)

(이미지 출처 : http://www.orthopediatrics.com/docs/Guides/tarsal_condition.html)


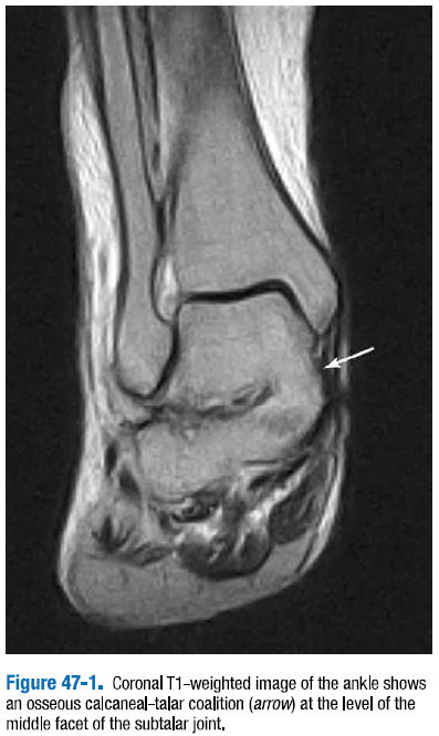
 족근 결합의 이차적 징후는 거골 부리모양(talar beaking)과 구상발목관절(ball-and-socket ankle joint)이다. 골성 결합의 MRI 진단은 골수의 연속성에 의해 나타나는데, 복잡하지 않다.(그림 47-1) 섬유연골성이나 섬유골성은 불규칙성과 낮은 신호의 섬유조직의 띠의 관절 표편 평가가 요구되는데, 이는 판별하기 좀 더 어렵다.


 

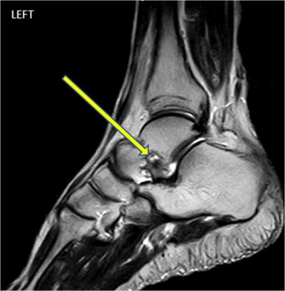
△ 그림 47-1. 발목의 관상면 T1 강조영상

거골하관절의 중앙관절면 레벨에서 골성 종골-거골 결합(화살표)을 보여준다.



13. 발에서 가장 흔한 피로 골절(stress fractures)의 부위는 어디인가?


 종골과 중족골 피로 골절이 발에 있어서 가장 흔한 피로 골절(stress fracutres)의 부위에 해당한다. T1 강조 영상에서는 골절의 부종과 혈종이 정상적인 높은 신호의 골수를 가로지르는 낮은 신호의 띠 형태로 나타난다. 지방 억제 T2 강조 또는 STIR 영상은 골절 부위의 증가된 신호 강도를 보여준다. (그림 47-2)



△ 그림 47-2. A. 전족부의 T1 강조 축면 영상이 두번째 중족골의 피로골절을 보여준다.

B. 관상면 지방 억제 T2 강조 영상은 연부조직과 피로골절로 인한 골수종의 윤곽을 보여준다.



14. 거골 원개(Talar dome)의 어느 부분이 반복되는 외상으로 인해 전형적으로 손상받는가? 만약 단일의 외상이 있다면 전형적으로 어느 부분이 전형적으로 연관되는가?


 골연골 손상이 청소년기와 남성에서 가장 흔하다. 만약 반복적인 손상이 원인이라면 내측 거골 원개가 대개 영향을 받는다. 만약 단일의 외상이 원인이라면 외측 거골 원개가 대개 연관된다.



 

△ Talar dome lesion

(이미지 출처 : http://www.foothealthfacts.org/footankleinfo/Lesion.htm)



15. 발목의 MRI와 MRA가 골연골 손상의 다른 유형을 평가하는데 유용할 수 있다. 어떻게 골연골 손상이 분류되는가?


 

  • 안정형(Stable) : 높은 T2 신호의 3단계로 제한된 고리 형태(Ⅲ-defined rim)가 병변 주변에 존재하지만 연골은 온전하다.
  • 원 위치에서 유리(Loose in situ) : 연골이 손상된다.
  • 부분적인 유리(Partially loose) : 불완전하지만 높은 T2 신호의 완전히 제한된 고리(well-defined ring)가 병변 주변에 존재한다.
  • 완전한 유리(Loose complete) : 완전히 제한된 고리 신호가 파편 부변 또는 병변과 연관된 낭종 또는 둘 다에서 나타난다.
  • 탈출(Free) : 관절내에서 빈 큰 구멍이 나타난다.

 

더블클릭을 하시면 이미지를 수정할 수 있습니다 

△ Talar dome injury classification

(이미지 출처 : http://www.docpods.com/talar-dome-fracture)


 

16. 골수염(Osteomyelitis)과 신경병적 관절병증(Neutopathic arthropathy)을 감별하는 데 이용되는 특징은 무엇인가?


 신경병적 관절병증골수염을 구별하는데는 병의 분포, 궤양과의 연관성, 골수의 MRI 신호 특성에 근거한다. 신경병적 관절병증은 대개 족근중족관절(Lisfranc joint), 중족지절관절(metatarsophalangeal joint), 거골하관절(subtalar joint)에 영향을 끼친다. 골수염은 어느 뼈에나 영향을 끼칠 수 있지만, 대개 궤양 근접부위와 비정상적인 인접한 연부조직과 연관이 있다. STIR 시퀀스는 뼈에서의 부종에 매우 민감하지만, 부종은 골수염이나 신경병성/골관절성 변화에 기인한다. 골수종이 골 감염에 비특이적이기 때문에 STIR 영상은 골수염 진단에 위양성을 초래할 수 있고, 골수종의 발견은 다른 MRI 발견을 고려하여 해석되어야 한다. 가돌리늄 조영 후 영상은 또한 부종과 봉와직염을 평가하는데 도움이 된다.

17. 족저근막염과 관련되어 MRI에서 관찰되는 것은 무엇인가?

 족저근막염(Plantar fasciitis)은​ 족저골극(plantar enthesophyte)을 가지거나 가지고 있지 않은 족저근막의 근위 부착부에 인접한 곳에서 증가된 T2 신호를 보인다. 근막은 두꺼워질 수 있다. 예후가 불량한 경우는 종골에서 족저근막 부착부 인접 부위의 골수종을 볼 수 있다. (그림 47-3)

 

△ 그림 47-3. 발목 시상면 STIR 영상. 족저근막염을 가진 환자의 연부조직과 골수종을 보여준다. 

 

 

18. 족저섬유종증(Plantar fibromatosis)이란 무엇인가?

 

 환자는 무게 부하가 주어질 때 통증이 존재하고 족저근막의 경로를 따라서 촉진할 수 있는 두꺼워진 결절을 가진다. 족저섬유종증(Plantar fibromatosis)은 환자의 10~40%가 양측성일 수 있으며, 모든 연령층에서 발생할 수 있는데, 남성이 여성보다 두 배 정도 더 발생한다. T1 강조 영상에서는 병변이 저음영이거나 근육과 동일한 음영일 수 있다. T2 강조 영상에서는 병변이 저음영이거나 약간 고음영일 수 있다. 이러한 병변은 가돌리늄 조영으로 강조되고 대개 밝게 나타난다.

 

△ 족저섬유종 (Plantar fibroma)

(이미지 출처 : http://www.foothealthfacts.org/footankleinfo/Plantar_Fibroma.htm)​

△ 족저섬유종증 (Plantar fibromatosis) MRI

(이미지 출처 : http://www.lfaclinic.co.uk/conditions/plantar-fibroma-and-plantar-fibromatosis/) 

 

19. 지간신경종(Morton neuromas)은 무엇인가?

 

 지간신경종(Morton neuromas)은 작은 섬유증(fibrosis)의 덩어리이며, 족저지간신경과 연관된 진정한 신경종으로 나타나지는 않는다. 가장 흔하게는 세 번째와 네 번째 중족골에서 발생하며, 25% 경우가 양측성이다. 25~50세 여성이 가장 흔히 발생된다. T1 강조영상과 T2 강조영상에서는 낮은 신호 강도로 보인다.

 

세번째 지간공간에서 발견할 수 있는 지간신경종(Morton neuromas). T1 강조 영상

더블클릭을 하시면 이미지를 수정할 수 있습니다

세번째 지간공간에서 발견할 수 있는 지간신경종(Morton neuromas). T2 강조 영상

(http://www.ijoonline.com/article.asp?issn=0019-5413;year=2012;volume=46;issue=3;spage=321;epage=325;aulast=Torres-Claramunt)

 


20. 족근관(Tasal tunnel)의 특징은 무엇인가?

 

 족근관(Tasal tunnel)은 발목의 내측면에 위치한다. 위쪽으로는 내측과에서 시작하여 아래쪽으로는 주상골에 이어진다. 족근관의 외측면은 재거돌기와 거골을 포함하여 종골로 이뤄진다. 굴곡지대(Flexor retinaculum)은 내측벽을 이루고 있고, 무지외전근(abductor hallucis muscle)은 족근관의 바닥을 이룬다. 후경골 신경과 후경골 동맥과 정맥, 후경골근건(PTT), 장지굴근건(FDL), 장모지굴근건(FHL)은 족근관의 내부에 위치한다.

 

족근관 (Tasal tunnel)

(이미지 출처 : http://morphopedics.wikidot.com/tarsal-tunnel-syndrome)

 

족근관(Tasal tunnel)이 위치한 발과 발목 부위의 내측면

(이미지 출처 : http://www.methodistorthopedics.com/tarsal-tunnel-syndrome)

 

 

21. 족근관 증후군(Tarsal tunnel syndrome)이란 무엇인가?

 

 족근관 증후군(Tarsal tunnel syndrome)을 가진 환자는 대개 후경골 신경과 그 가지들의 분포를 따라서 통증과 마비감이 나타난다. 환자는 전형적으로 발의 족저면에서의 통증과 화끈거림을 호소한다. 절반의 경우가 특발적이며, 반흔이나 골극 형성, 연부조직덩어리 또는 하지정맥류로 인해 나타날 수 있다.

 

△ 족근관 증후군(Tarsal tunnel syndrome)

(이미지 출처 : http://www.methodistorthopedics.com/tarsal-tunnel-syndrome)

 
22. 족근동 증후군(Sinus tarsi syndrome)은 무엇이며, MRI 영상으로는 어떻게 보이는가?
 
 족근동 증후군(Sinus tarsi syndrome)은 족근동 내부에 정상적인 지방 조직의 감소가 나타난다. 급성 또는 아급성기에는 염증으로 낮은 T1 신호와 높은 T2 신호가 나타난다. 만성의 경우에는 섬유증으로 낮은 T1과 T2 신호를 보인다. 환자는 발목의 위약감과 불안정성을 호소하는데, 족근동 위의 촉친할 수 있는 압통이 나타난다. 대부분의 경우는 특발성이지만, 몇몇의 환자는 발목의 내전 손상의 병력을 가진다. 족근동 증후군의 다른 경우들은 류마티스 관절염이나 통풍, 결절종(ganglion cyst)과 같은 염증 상황에서 나타난다.
 
 △ 시상면 T1 강조 영상은 좌측의 족근동에서의 정상적인 지방 소멸로 인해 저강도로 나타남을 보여준다. 우측은 정상적인 영상
△ 시상면 T2 강조 영상에서는 고강도의 신호로 나타난다.
 
 
23. 발과 발목의 뼈 중에서 어느 뼈가 무혈성 괴사로 발전될 가능성이 가장 높은가? 이러한 경우의 전형적인 원인은 무엇인가?
 
 거골이 거골목의 골절과 거골 원개(talar dome)에서의 혈액 공급 감소로 무혈성 괴사로 발전될 가능성이 가장 높다. 무혈성 괴사는 결국 변형과 거골 원개의 붕괴를 초래한다.
 
 
키 포인트 : 발과 발목의 MRI
 
  1. 건파열은 대개 질환의 진행 과정과 일반적으로 관련있다.
  2. MRI은 방사선 영상이나 CT로 판별하지 못한 발과 발목에서의 골절을 흔하게 감지할 수 있다.
  3. 삼각인대는 임상적으로 결코 파열되지 않는다. 내측과의 견열 골절이 일반적으로 삼각인대파열이 나타나기 전에 발생한다.
  4. 족근골 결합(Tarsal coalition)은 대개 아동이나 청소년에서 나타난다.

 


 

참고 문헌


 

  1. J. Beltran, D. S. Campanini, C. Knight, M. McCalla. The diabetic foot: magnetic resonance imaging eval‎uation. Skeletal. Radiol. 19 (1990) 37-41.
  2. Y. Cheung, Z. S. Rosenberg, T. Magee, L. Chinitz. Normal anatomy and pathologic conditions of ankle tendons: current imaging techniques. Radiographics. 12 (1992) 429-444.
  3. P. A. Kaplan, R. Dussault, M. W. Anderson, N. M. Major. Musculoskeltal MRI. Saunders. Philadelphia. 2001.
  4. M. A. Klein, A. M. Spreitzer. MR imaging of the tarsal sinus and canal: normal anatomy, pathologic findings, and features of the sinus tarsi syndrome. Radiology. 186 (1993) 233-240.
  5. R. J. Wechsler, M. E. Schweitzer, D. M. Deely, et al. Tarsal coalition: depiction and characterization with CT and MR imaging. Radiology. 193 (1994) 447-452.

 

다음검색
현재 게시글 추가 기능 열기

댓글

댓글 리스트
맨위로

카페 검색

카페 검색어 입력폼