CAFE

x-ray,ct, mri 초음파

제5중족골 기저부 골절 (Fractures of the Fifth Metatarsal Base)

작성자조영훈|작성시간15.06.17|조회수3,032 목록 댓글 2

제5중족골 기저부 골절 (Fractures of the Fifth Metatarsal Base)



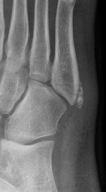
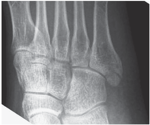
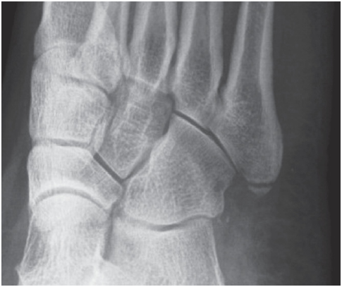
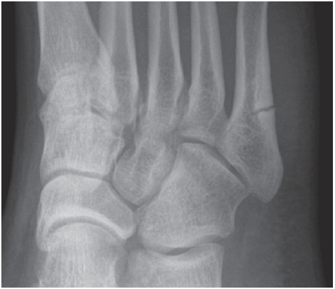
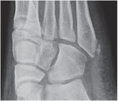
 다음은 제5중족골 골절의 네 가지 방사선 영상이다. 손상은 무엇인가?







제5중족골 기저부 골절 (Fractures of the Fifth Metatarsal Base)



① 족저근막의 외측열 부착부의 견열 골절



② 단비골건 부착부의 견열 골절



③ 존스 골절(Jones fracture)

제5중족골 감입 골절(impaction fracture)로, 피로 골절으로 종종 시작된다.



④ 손상 부위 없음

이는 제5중족골 기저부의 정상적인 발달성 골돌기(apophysis)에 해당한다.



해설


 제5중족골 기저부 골절은 흔하지만 모두가 동일하지 않다. 골절이 만약 적절하게 치료되지 않는다면 종종 보행에 영향을 주며 잠재적인 질병으로 이환된다. 따라서 골절의 원인이 되는 구조를 확인하는 것이 중요한데, 손상 기전에 대한 이해가 발목 또는 발에서의 다른 손상을 확인하는데 도움이 될 수 있다. 제5중족골 기저부로 집중되는 몇몇의 구조들이 있고, 이들 모두 보여지는 손상의 다른 원인들이 있다. 족저근막의 외측열과 단비골건 모두 기저부의 결절의 다른 부분에 부착되어 있다.




△ 단비골건 제5중족골 기저부 부착부

(이미지 출처 : http://www.methodistorthopedics.com/peroneal-tendon-problems)



△ 근위 제5중족골의 해부학과 국소적 구조

(이미지 출처 : http://www.aafp.org/afp/1999/0501/p2516.html)


 둘 다 발목의 회외 손상(supination injuries)으로 인한 견열 골절이지만, 전족부의 족저측이냐 족배측이냐의 구조에 따라서 어느 구조가 견열을 일으키느냐에 영향을 끼친다. 일반적으로 단비골건 견열 골절은 더 크고 관절내에서 발생한다. 존스 골절은 결절 조면의 약 1.5cm~2cm 정도 떨어진 곳에서 발생하며, 종종 피로 골절로 발전하는데, 대다수의 경우 수술적 치료가 요구된다. 발달성 골돌기(Developing apophysis)는 시상면 방향으로 된 성장판을 가지는데, 골화 중심이 종축 방향이기 때문이다.



△ 정상적인 발달성 골돌기 (Developing apophysis)

(이미지 출처 : http://radiopaedia.org/cases/5th-metatarsal-fracture-and-normal-apophysis)



References


 1. Vu D, McDiarmid T, Brown M, Aukerman DF: Clinical inquiries. What is the most effective management of acute fractures of the base of the fifth metatarsal? J Fam Pract 55:713–717, 2006.

 2. Yu JS: Pathologic and post-operative conditions of the plantar fascia: Review of MR imaging appearances. Skeletal Radiol 29:491–501, 2000.



Cross-Reference


 Musculoskeletal Imaging: THE REQUISITES, 3rd ed, pp 256, 258, and 277–279.



Musculoskeletal Imaging (Paperback / 2nd Ed.)

작가
Yu, Joseph S., Caw (COR)
출판
ElsevierScienceHealthSciencediv
발매
2008.02.22

리뷰보기


※ 참고 문헌 : Yu, Joseph S. 《Musculoskeletal Imaging》 Elsevier Science. 2008. 3~4쪽

다음검색
현재 게시글 추가 기능 열기

댓글

댓글 리스트
  • 작성자paul97 | 작성시간 15.06.18 감사합니다 ~~~~
  • 작성자이영호 | 작성시간 15.06.18 감사합니다.
댓글 전체보기
맨위로

카페 검색

카페 검색어 입력폼