CAFE

x-ray,ct, mri 초음파

회전근개파열 - 극상근 (Rotator Cuff Tear - Supraspinatus)

작성자조영훈|작성시간15.06.22|조회수3,168 목록 댓글 1

회전근개파열 - 극상근 (Rotator Cuff Tear - Supraspinatus)






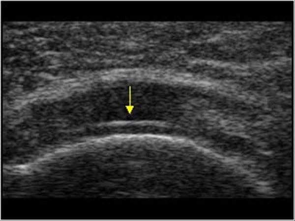
 1. 위 사진은 전외측 어깨의 종방향(우측면이 외측)과 횡방향(우측면이 전방) 초음파 영상이다. 무엇을 발견할 수 있는가?

 2. 이는 무엇을 의미하는가?

 3. 연골 경계부 징후(Cartilage interface sign)란 무엇인가? 이러한 환자가 가지고 있는가?

 4. 왜 초음파 탐촉자(tansducer)를 힘줄에 수직으로 두어야 하는가?



회전근개파열 - 극상근 (Rotator Cuff Tear - Supraspinatus)




 1. 위 사진은 전외측 어깨의 종방향(우측면이 외측)과 횡방향(우측면이 전방) 초음파 영상이다. 무엇을 발견할 수 있는가?

 ☞ 점액낭에서 관절면으로 이어진 회전근개의 저에코 부위를 발견할 수 있다.


 2. 이는 무엇을 의미하는가?

 ☞ 수축(Retraction)을 동반한 극상근건의 완전 파열을 의미한다. 


 3. 연골 경계부 징후(Cartilage interface sign)란 무엇인가? 이러한 환자가 가지고 있는가?

 ☞ 회전근개 파열부 아래의 관절액과 유리연골 사이의 고에코 경계부는 초음파의 증가된 투과성을 가진다. 그렇다. 



△ 연골 경계부 징후(Cartilage interface sign)

(이미지 출처 : http://www.ultrasoundcases.info/Slide-View.aspx?cat=339&case=1309)


4. 왜 초음파 탐촉자(tansducer)를 힘줄에 수직으로 두어야 하는가?

 ☞ 심지어 약간의 경사가 파열을 가장하는 저에코에서 무에코 결함의 인공 결함을 만들어낼 수 있다.



해설




 이 환자는 극상근건의 관절와상완관절과 견봉하점액낭이 소통된 전층파열(full-thickness tear)을 가지고 있다. 어깨의 초음파검사는 회전근개의 이상을 평가하는데 탁월하고 빠른 검사방법이다. 극상근건은 상완골에 직접적으로 위치한 곳에서 고음영과 섬유성으로 나타난다. 연골의 무에코성의 테두리는 고에코성의 골피질을 덮고 있다. 제어코의 삼각근은 피하지방의 바로 밑에 있다. 그 아래에 있는 것은 점액낭 주위 지방으로 둘러쌓인 무에코성의 점액낭이다. 가운데에는 극상근이 승모근과 견갑골 사이에 존재한다.


Ian Beggs, et al.  《Musculoskeletal Ultrasound Technical Guidelines Ⅰ. Shoulder》

 Legend: Acr, acromion; asterisk, myotendinous junction; Del, deltoid muscle; GT, greater tuberosity; void arrow-head, articular cartilage; curved arrow, hypoechoic artifact related to anisotropy; straight arrow, long head of the biceps tendon; SupraS, supraspinatus tendon; white arrowhead, subacromial subdeltoid bursa


 회전근개 전층파열은 저에코성 또는 무에코성의 결손 구조로 나타나는데, 액체가 찢어진 힘줄을 대체한 것이다. 이 액체는 연골을 고에코성으로 강조하는 초음파의 투과도가 두드러지게 나타난다. 이는 이중 피질 모양을 만들어 내는데, 두개의 고에코 평행 선 또는 연골경계부 징후를 가진다. 압박은 점액낭주위 지방을 힘줄 틈으로 만들 수 있는데, 이를 새깅 점액낭주위 지방 징후(sagging peribursal fat sign)이라 부른다. 힘줄의 비가시화는 매우 크고 수축된 힘줄을 암시한다. 근육의 위축은 근육의 전반적인 에코발생도를 증가시킬 수 있다.



References


 1. Jacobson JA, Lancaster S, Prasad A, et al: Full-thickness and partial-thickness supraspinatus tendon tears: Value of US signs in diagnosis. Radiology 230:234–242, 2004.

 2. Moosikasuwan JB, Miller TT, Burke BJ: Rotator cuff tears: Clinical, radiographic and US findings. Radiographics 25:1591–1607, 2005. 



Cross-Reference


 Musculoskeletal Imaging: THE REQUISITES, 3rd ed, pp 92–98.



Musculoskeletal Imaging (Paperback / 2nd Ed.)

작가
Yu, Joseph S., Caw (COR)
출판
ElsevierScienceHealthSciencediv
발매
2008.02.22

리뷰보기


※ 참고 문헌 : Yu, Joseph S. 《Musculoskeletal Imaging》 Elsevier Science. 2008. 9~10쪽

다음검색
현재 게시글 추가 기능 열기

댓글

댓글 리스트
  • 작성자paul97 | 작성시간 15.06.23 위와 같은 환자를 경락을 소통시켜 주는 것만으로 치료를 해 드린다는 것은... 거시기하겠죠 ??
댓글 전체보기
맨위로

카페 검색

카페 검색어 입력폼