CAFE

다리길이(경골 길이 2.5cm)차이에 의한 측만증의 치료법 - 정리중

작성자문형철|작성시간15.01.19|조회수1,380 목록 댓글 12
우리 몸에서 이유없는 것은 없다. 

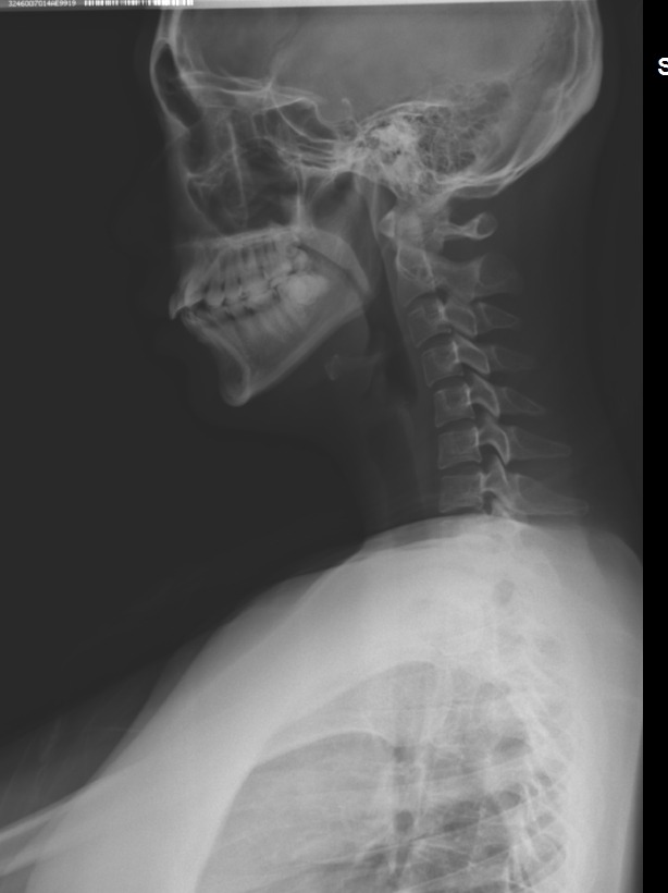
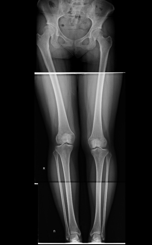
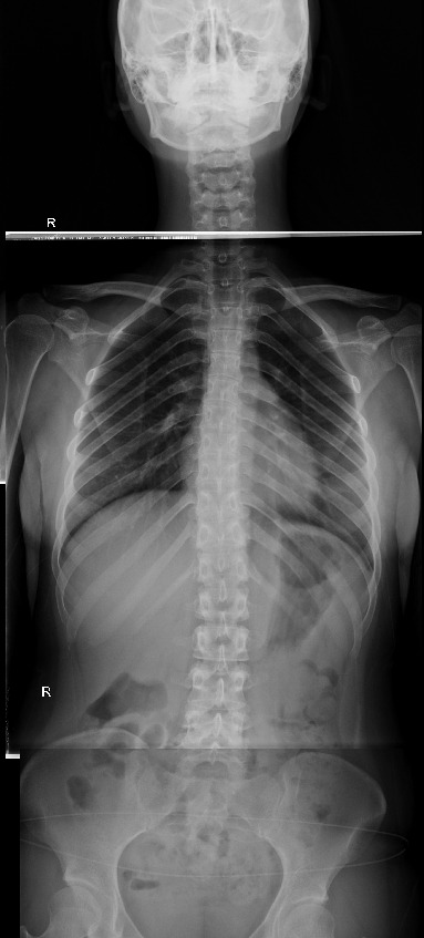
23살 여성 

우측 경골이 2.5cm 더  길다. 그 결과로 골반, 척추의 측만증이 발생함. 



추정컨대, 우측다리에 피부이상으로 경골이 더 자란듯 함.

촉진하면 더 따뜻함. 


그 결과

1. 우측경골이 2.5cm더 긴상태로 자람. 


2. 우측골반 상승


3. 천골이 nutation, 틀어짐. 

   요추가 좌측회전, 측만발생


4. 요추 과전만, sacral angle증가



5. 경추 reverse curve

- 거의 모든 측만증에서 경추는 일자목 or reverse curve임. 





다음검색
현재 게시글 추가 기능 열기

댓글

댓글 리스트
  • 답댓글 작성자문형철 작성자 본인 여부 작성자 | 작성시간 15.01.21 http://cafe.daum.net/panicbird/ORIV/120

    facet tropism에 대한 내용을 이해하고
    facet joint 의 경추, 흉추, 요추의 차이를 이해하고

    측만증을 생각하면서 질문해보세요. 그럼 새로운 질문이 나올거에요
  • 답댓글 작성자별비 | 작성시간 15.01.21 문형철 감사합니다. 조금 더 읽고 고민해보겠습니다.^^
  • 작성자조영훈 | 작성시간 15.06.10 Klippel-Trenaunay-Weber syndrome
  • 답댓글 작성자문형철 작성자 본인 여부 작성자 | 작성시간 15.06.16 Klippel?Tr?naunay syndrome (KTS or KT), formerly Klippel?Tr?naunay?Weber syndrome[1] and sometimes angioosteohypertrophy syndrome and hemangiectatic hypertrophy,[2] is a rare congenital medical condition in which blood vessels and/or lymph vessels fail to form properly. The three main features are nevus flammeus (port-wine stain), venous and lymphatic malformations, and soft-tissue hypertrophy of the affected limb.[2] It is similar to, though distinctly separate from, the less common Parkes-Weber syndrome.
  • 작성자정혜 | 작성시간 15.06.16 감사합니다
댓글 전체보기
맨위로

카페 검색

카페 검색어 입력폼