CAFE

shoulder complex

Re: 견갑하 건 손상. 2018

작성자문형철|작성시간25.10.14|조회수278 목록 댓글 0

 

 

 

 

 

JSES Open Access

. 2018 Mar 1;2(1):74–83. doi: 10.1016/j.jses.2017.11.006

 

Subscapularis tears: hidden and forgotten no more

 

Julia Lee 1, Dave R Shukla 1, Joaquín Sánchez-Sotelo 1,*

  • Author information
  • Article notes
  • Copyright and License information

PMCID: PMC6334875  PMID: 30675571

 

Abstract

The subscapularis tendon, at one point, was thought of as the forgotten tendon, with “hidden lesions” that referred to partial tears of this tendon. Better understanding of anatomy and biomechanics combined with improved imaging technology and the widespread use of arthroscopy has led to a higher rate of subscapularis tear diagnoses and repairs.

The bulk mass of the subscapularis muscle is more than that of all 3 other rotator cuff muscles combined. It functions as the internal rotator of the shoulder as the stout, rolled border of its tendon inserts onto the superior portion of the lesser tuberosity. A thorough history combined with specific physical examination maneuvers (including the bear hug, lift-off, and belly-press tests) is critical for accurate diagnosis. A systematic approach to advanced shoulder imaging also improves diagnostic capacity.

Once identified, most subscapularis tendon tears can be successfully repaired arthroscopically. The Lafosse classification is useful as part of a treatment algorithm. Type I and II tears may be addressed while viewing from the standard posterior glenohumeral portal; larger Lafosse type III and IV tears are best repaired with anterior visualization at the subacromial or subdeltoid space. Tendon mobilization for larger tears is critical for adequate repair.

In Lafosse type V tears, in which there is glenohumeral imbalance, tendon transfers and reverse replacement are commonly considered salvage options.

 

초록

 

한때 견갑하근 힘줄은 '잊혀진 힘줄'로 여겨졌으며,

이 힘줄의 부분 파열을 가리키는 '숨겨진 병변'이 존재했습니다.

 

해부학적 구조와 생체역학에 대한 이해가 깊어지고

영상 기술이 발전하며 관절경 검사가 널리 보급되면서

견갑하근 파열의 진단 및 수복률이 높아졌습니다.

 

하부 견갑하근의 근육량은

다른 3개의 회전근개 근육을 모두 합친 것보다 더 크다.

 

이 근육은

힘줄의 두껍고 말린 가장자리가 소결절 상부에 부착되면서

어깨의 내회전근 역할을 한다.

 

정확한 진단을 위해서는 철저한 병력 청취와 함께

특정 신체 검사 기법(베어 허그, 리프트오프, 배 압박 검사 포함)이 중요하다.

 

고급 어깨 영상 검사에 대한 체계적인 접근법 또한 진단 능력을 향상시킵니다.

 

일단 확인되면 대부분의 견갑하근 건 파열은 관절경으로 성공적으로 수복할 수 있습니다.

 

라포스 분류법은

치료 알고리즘의 일부로 유용합니다.

 

I형 및 II형 파열은 표준 후방 견관절 포털에서 관찰하며 치료할 수 있습니다.

 

더 큰 라포스 III형 및 IV형 파열은 견봉하 공간 또는 견갑하 공간에서 전방 시야를 확보하여 수복하는 것이 가장 좋습니다.

 

큰 파열의 경우 적절한 수복을 위해 힘줄 이동술이 필수적이다.

 

견관절 불균형이 동반된 라포스 V형 파열에서는 힘줄 이식술과 역방향 치환술이 일반적으로 구제 옵션으로 고려된다.

 

 

Keywords: Subscapularis tear, Irreparable subscapularis, Rotator cuff tear, Arthroscopic rotator cuff repair, Rotator cuff imaging, Subscapularis physical examination, Shoulder tendon transfer


 

Despite being the largest and strongest muscle in the rotator cuff, the subscapularis was once the “forgotten tendon,” with tears of this tendon described as “hidden lesions.”3963 Not uncommonly, detachment of the subscapularis fibers off the lesser tuberosity starts on the articular side and may have been missed in some patients when open cuff repair surgery was routinely performed. Increased awareness coupled with improved quality of imaging studies and the widespread adoption of arthroscopic techniques for the management of rotator cuff tears has led to a higher rate of subscapularis tear diagnoses and repairs.1355 In addition, new surgical procedures have been developed for patients with irreparable tears of the subscapularis.

This article provides a review of history, physical examination findings, and advanced imaging pearls for the diagnosis of subscapularis tendon tears. The classification, technique, and outcomes of arthroscopic repair techniques are discussed along with salvage options for irreparable tears.

 

회전근개에서 가장 크고 강한 근육임에도 불구하고,

견갑하근은 한때 “잊혀진 힘줄”이었으며,

이 힘줄의 파열은 “숨겨진 병변”으로 묘사되었다.39, 63

 

소결절에서 견갑하근 섬유의 박리는

관절면에서 시작되는 경우가 드물지 않으며,

개방형 회전근개 봉합술이 일상적으로 시행되던 시절 일부 환자에서 놓칠 수 있었다.

 

진단 인식도 향상과 영상 검사의 질적 개선,

회전근개 파열 치료를 위한 관절경 기술의 광범위한 도입으로 인해

견갑하근 파열의 진단 및 수복률이 높아졌다.13, 55

 

또한 견갑하근의 수복 불가능한 파열 환자를 위한

새로운 수술 기법이 개발되었다.

 

본 논문은 견갑하근 건 파열 진단을 위한 병력, 신체 검사 소견 및 고급 영상학적 요령에 대한 고찰을 제공한다. 관절경적 수복술의 분류, 기법 및 결과와 함께 수복 불가능한 파열에 대한 구제 옵션에 대해서도 논의한다.

 

Brief historical review

Subscapularis tendon tears were first described in cadavers by Smith in 1834, whereas the first description of subscapularis repair was published in 1954 by Hauser.3158 Interestingly, back then, Hauser already described the tear to be an undersurface tear, seen only with opening of the anterior fascial covering. Gerber refocused attention on the subscapularis in 1996 when he published the outcomes of open repair of isolated subscapularis tendon tears.26 Burkhart published the first series of arthroscopic subscapularis repairs in 2002.10 Once the forgotten tendon, advances in imaging and diagnostic awareness have brought recognition to the subscapularis tendon as we continue to understand its role in the shoulder biomechanics and rotator cuff repair outcomes. Although the description of isolated subscapularis tears is what brought attention to their importance, most subscapularis tears do occur in combination with tears of at least the anterior portion of the supraspinatus.91043 The term anterosuperior tears was coined by Warner to recognize this pattern of cuff tearing.64

 

간략한 역사적 고찰

견갑하근 건 파열은 1834년 스미스(Smith)에 의해 시신에서 최초로 기술되었으며, 견갑하근 수복술에 대한 최초의 기술은 1954년 하우저(Hauser)에 의해 발표되었다.3158 흥미롭게도 당시 하우저는 이미 이 파열이 전방 근막 덮개를 열어봐야만 관찰되는 하부 표면 파열임을 기술했다.

 

Gerber는 1996년

단독 견갑하근 건 파열에 대한 개방적 봉합술의 결과를 발표하면서

견갑하근에 대한 관심을 다시 불러일으켰다. 26 

 

버크하트는

2002년 최초의 관절경적 견갑하근 건 수복술 사례 시리즈를 발표했다.10 

 

한때 잊혀졌던 이 건은 영상 기술의 발전과 진단 인식의 향상으로 어깨 생체역학 및 회전근개 수복 결과에서의 역할을 계속해서 이해해감에 따라 주목받게 되었다. 비록 단독 하부견갑근 파열에 대한 기술이 그 중요성을 부각시켰지만, 대부분의 하부견갑근 파열은 최소한 상부견갑근의 전방 부분 파열과 동반되어 발생한다.91043 워너(Warner)는 이러한 회전근개 파열 패턴을 인식하기 위해 전상부 파열(anterosuperior tears)이라는 용어를 제안했다.64

 

Anatomy

The subscapularis muscle originates in the subscapularis fossa along the anterior aspect of the scapula. Based on its muscle cross section, the subscapularis represents 53% of rotator cuff muscle mass, more than all 3 other muscles combined.35 Four to 6 tendon slips coalesce superiorly to form the rolled upper border of the subscapularis tendon as it inserts onto the lesser tuberosity.12 Several investigators have reported on the area of the subscapularis footprint. D'Addesi et al reported a 25  × 18-mm insertional footprint; Arai et al reported a 40.7  × 12.5-mm footprint; and Yoo et al described 4 facets of the subscapularis insertion totaling 51.5 × 10.7 mm, with the first facet representing 34% of the entire footprint.51466 Differences in these measurements are based on incomplete representation of all 4 subscapularis tendon facets.66 The upper subscapularis attachment is through a robust tendon, whereas the lower third is largely muscular with very short tendon fibers.14

The biceps tendon and its sheath are intimately related to the subscapularis tendon. The superior border of the subscapularis tendon becomes the floor of the biceps groove and interdigitates with the supraspinatus fibers. Any evidence of instability or tearing of the long head of the biceps should prompt careful assessment of the subscapularis tendon because these conditions are commonly associated with each other.57 Concomitant biceps disease has been reported in at least 20% and as frequently as 90% of the time in patients with confirmed subscapularis tears, with increasing tear size correlating with more frequent biceps involvement.5182630

The superior glenohumeral ligament and the coracohumeral ligament contribute to form the reflection pulley, or the superior-medial border of the biceps sheath.563 Disruption of this pulley can also correspond to biceps tendon instability and tears of the superior portion of the subscapularis tendon. As the torn upper edge of the subscapularis tendon retracts medially, a bundle of fibers from the coracohumeral and superior glenohumeral ligaments that attach to the superior-lateral edge of the subscapularis become visible, adopting a bent configuration that corresponds to the “comma sign” in arthroscopic surgery.4062

 

 

해부학

견갑하근은 견갑골 전면을 따라 위치한 견갑하근과에서 기시합니다. 근육 단면적 기준으로 견갑하근은 회전근개 근육량의 53%를 차지하며, 이는 나머지 세 근육을 모두 합친 것보다 많다.35 4~6개의 건 슬립이 상부에서 합쳐져 견갑하건이 소결절에 부착되는 굴곡된 상부 경계를 형성한다.12 여러 연구자들이 견갑하근의 부착면(footprint) 면적에 대해 보고했다. D'Addesi 등은 25×18mm의 삽입 발자국을 보고했으며, Arai 등은 40.7×12.5mm의 발자국을 보고했고, Yoo 등은 총 51.5×10.7mm의 4개 하부 견갑하근 삽입면을 기술했으며, 첫 번째 면이 전체 발자국의 34%를 차지한다고 기술했습니다.5, 14, 66 이러한 측정값의 차이는 견갑하근 힘줄의 4개 부착면 전체가 불완전하게 표현되었기 때문이다.66

 

견갑하근 상부 부착부는

튼튼한 힘줄을 통해 이루어지는

반면, 하부 3분의 1은 매우 짧은 힘줄 섬유를 가진 근육 조직이 대부분이다.14

 

The upper subscapularis attachment is through a robust tendon, whereas the lower third is largely muscular with very short tendon fibers

 

상완 이두근 건과 그 피막은 견갑하근 건과 밀접하게 연관

되어 있다.

 

견갑하근 건의 상부 경계는

이두근 홈의 바닥을 이루며 상근 섬유와 서로 얽혀 있다.

 

이두근 장두의 불안정성이나 파열 징후가 관찰되면

견갑하근 건에 대한 세심한 평가가 필요하며,

이는 두 상태가 흔히 동반되기 때문이다.57

 

견갑하근 파열이 확인된 환자에서 이두근 병변이 동반되는 비율은 최소 20%에서 최대 90%에 달하며, 파열 크기가 클수록 이두근 침범 빈도가 높아지는 것으로 보고되었다.5, 18, 26, 30

 

상부 견관절 인대와 견갑상완 인대는

반사 풀리(반대편 풀리) 또는 이두근 피막의 상내측 경계를 형성하는 데 기여한다.5, 63

 

 

구분 Muscle spindle(근방추)
intrafusal fiber
GTO(Golgi tendon organ, 골지건기관)
기능근육신장, 길이변화 속도 정보신장 --> 장력 감지, 조절
관여 섬유1a, 2 섬유1b 섬유
임상원심성 근수축(근육길이 신장) 정보
--> 척수 전달
--> alpha motor neuron 활성
--> reflexive muscle contraction
--> 지속적 근수축(Spasm, TrP)
원심성 근수축으로 장력정보 
--> 척수 전달
--> gamma motor neuron 억제성 활성
--> autogenic inhibition
--> 근육, 건파열 보호

 

이 풀리의 손상은

이두근 건 불안정성과 견갑하근 건 상부 파열과도 연관될 수 있다.

 

견갑하근 건의 상부 가장자리가 파열되어 내측으로 수축되면, 견갑상완 인대와 상부 견관절 인대의 섬유 다발이 견갑하근의 상부-외측 가장자리에 부착되어 관절경 수술에서 “쉼표 모양”에 해당하는 구부러진 형태를 보이게 된다.40, 62

 

Biomechanics

The subscapularis muscle functions as an internal rotator of the glenohumeral joint, working synergistically with the pectoralis major, latissimus dorsi, and teres major. In addition, it has a buttressing and stabilizing effect on the glenohumeral joint, especially in abduction and external rotation. This tenodesing effect is seen in throwers, in whom the muscle is electrically silent but the tendon itself stabilizes the joint during certain throwing motions.34 To eval‎uate its impact on glenohumeral stability, Marquardt et al eval‎uated the effects of arthroscopic release of the subscapularis tendon in cadavers and found that the subscapularis tendon inhibited anterior-inferior translation at the midrange of motion.44 Severe subscapularis tears may allow static anterior subluxation of the humeral head, a situation considered by most to require salvage procedures as opposed to primary repair.

The subscapularis is theorized to contribute anteriorly as a force couple with the infraspinatus and teres minor to transversely stabilize the glenohumeral joint. This is important for rotator cuff tensioning, as fixation of the subscapularis tendon restores the anterior portion of the cuff cable and balances the shoulder, decreasing the strain on posterosuperior rotator cuff repairs.60 The subscapularis muscle also opposes the upward pull of the deltoid with humerus abduction and elevation, thus maintaining proper glenohumeral joint mechanics with shoulder motion.

 

생체 역학

 

견갑하근은

대흉근, 광배근 및 대원근과 시너지 효과를 발휘하며 견관절의 내회전근 역할을 합니다.

 

또한 견관절에 대한 버팀목 및 안정화 효과를 가지며,

특히 외전 및 외회전 시에 두드러집니다.

 

이러한 건 고정 효과는 투구 운동 시 관찰되는데,

이때 근육은 전기적으로 활동이 없으나

건 자체가 특정 투구 동작 중 관절을 안정화시킵니다.34 

 

견관절 안정성에 미치는 영향을 평가하기 위해,

Marquardt 등은 사체에서 견갑하근 건의 관절경적 이완 효과를 평가한 결과,

견갑하근 건이 중간 가동 범위에서 전하방 이동을 억제한다는 사실을 발견했다.44 

 

심한 견갑하근 파열은

상완골두의 정적 전방 아탈구를 유발할 수 있으며

, 대부분의 전문가들은 이를 일차적 수복이 아닌 보존적 처치가 필요한 상황으로 간주한다.

 

견갑하근은

견갑하근과 소원근과 함께 힘쌍을 이루어 견관절을 가로로 안정화시키는 데 기여하는 것으로 이론화된다.

 

이는 회전근개 장력 조절에 중요하며, 견갑하근 건 고정술은 회전근개 전방 부분을 복원하고 어깨 균형을 잡아 후상방 회전근개 수복술에 가해지는 부담을 감소시킵니다.60 또한 견갑하근은 상완골 외전 및 승모근의 상향 견인력을 상쇄하여 어깨 운동 시 적절한 견관절 역학을 유지합니다.

 

 

Diagnosis

History

A high index of suspicion for subscapularis disease should be held in eval‎uating patients older than 40 years with weakness after an anterior shoulder dislocation. Likewise, the subscapularis should be carefully assessed in patients with long head of the biceps disease or when pain is felt mostly anteriorly.122737 Difficulty with activities that involve pushing inward, such as holding a box in front of the body with 2 hands, may also hint at subscapularis involvement.

 

 

Examination

As with any other shoulder condition, examination of the patient with possible subscapularis tearing should start with a general assessment of pain location, motion, and strength. Subscapularis tendon tears can translate into increased passive external rotation of the shoulder. This is best detected by assessing passive external rotation of both shoulders simultaneously to determine whether there is a substantial increase on the affected side. A number of physical examination maneuvers have been described to specifically assess the subscapularis. The 3 most commonly performed in our practice are the lift-off test, the belly-press test, and the bear hug test.

 

Lift-off test and internal rotation lag sign

First described by Gerber, this examination maneuver requires the shoulder to be placed in internal rotation so that the dorsum of the patient's hand is resting on the lower lumbar spine.2627 The patient is asked to lift the hand off the lower back (Fig. 1, A). Inability to do so is considered an indicator of subscapularis weakness. Some patients may “cheat” and extend the elbow to lift the hand, as opposed to further internally rotating the shoulder. The internal rotation lag sign is a similar test, but the examiner places the hand of the patient behind the trunk and off the body and asks the patient to maintain the hand in that position, not letting the hand drop to the lower back.

Figure 1.

Open in a new tab

Subscapularis physical examination maneuvers. (A) Lift-off test. (B) Belly-press test. (C) Bear hug test.

 

 

Belly-press test

In the belly-press test, the patient is asked to rest the hand on the abdomen, to keep the elbow forward past the mid–coronal plane, and to press on the belly without letting the elbow move backward (Fig. 1, B). Subscapularis weakness makes it difficult or impossible to press into the abdomen without moving the elbow back because the patient compensates for lack of shoulder internal rotation with shoulder extension.26 The “Napoleon sign” was introduced to grade the severity of the belly-press test in reference to Napoleon Bonaparte's posture in paintings.10

 

Bear hug test

The bear hug test is performed with the hand of the affected extremity placed on top of the contralateral shoulder and the elbow pointing anteriorly (Fig. 1, C). The examiner tries to lift the hand off the patient's shoulder while the patient resists external rotation.6 This test is considered positive when the examiner can externally rotate the arm while the patient is trying to actively maintain internal rotation.

 

Comparative value of physical examination tests

Studies indicate that the combined sensitivity of these 3 diagnostic maneuvers to detect subscapularis tears is approximately 80%.21 The bear hug test is the most sensitive as it can detect isolated tears of the upper third of the subscapularis tendon. In an electromyography study, Tokish et al demonstrated that the lift-off test activated the lower subscapularis muscle more, whereas the belly-press test activated the upper subscapularis muscle more.61 A positive result of the lift-off test correlates with full-thickness tearing, higher grade fatty degeneration, and greater loss of internal rotation strength.67

 

Imaging

Plain radiographs

Anteroposterior views in internal rotation and external rotation allow visualization of rotator cuff calcifications and differential joint line narrowing. The lateral scapula or Y view assesses the supraspinatus outlet and may show areas of cystic formations in the tuberosities. Severe subscapularis tears may result in anterior subluxation, best seen on the axillary radiograph, and large anterosuperior cuff tears may lead to superior humeral head migration on the anteroposterior views.63 Cysts within the lesser tuberosity may also suggest subscapularis disease.59

 

 

Ultrasound

Ultrasound is a lower cost imaging modality that can be used dynamically to eval‎uate tendon disease. One study reported 39.5% sensitivity and 93.1% specificity values with use of ultrasound for the diagnosis of subscapularis tears.49 Sensitivity was lower for smaller tears and higher for larger tears. Bicipital peritendinous effusion >2 mm on ultrasound has been correlated with subscapularis tendon tears.11

 

Computed tomography

Computed tomography (CT), particularly computed arthrotomography with intra-articular injection of contrast material, may be used to eval‎uate subscapularis tearing and fatty infiltration. Although magnetic resonance imaging (MRI) has largely replaced CT in North America for rotator cuff imaging, CT should still be considered for patients with contraindications to MRI. In addition, for irreparable subscapularis tears requiring reverse shoulder arthroplasty (RSA), CT provides more accurate preoperative planning for arthroplasty, especially when dedicated planning software and patient-specific instrumentation are considered.

 

Magnetic resonance imaging

MRI and magnetic resonance arthrography (MRA) are the most common advanced imaging modalities used for eval‎uation of the rotator cuff. However, the diagnostic yield of MRI for patients with subscapularis tears is perceived to be inferior compared with posterosuperior tears. The overall sensitivity has been reported to be 37.5% for magnetic resonance eval‎uation of subscapularis tears, with 40% sensitivity for MRI and 36% sensitivity for MRA.22 In the study by Adams et al,3 the reported values for sensitivity and specificity were 36% and 100%, respectively. Sensitivity was better for larger tears involving >50% of the tendon in cephalad-caudal direction.

Some studies suggest that the diagnostic yield of MRI for subscapularis tearing may be improved with a dedicated, systematic reading approach. Pfirrmann et al reported a 95%-100% sensitivity and 55%-62% specificity for detecting subscapularis tears using MRA.54 In their study, a number of findings were particularly helpful in assessing the subscapularis, including (1) leakage of intra-articular contrast material under the subscapularis tendon insertion onto the lesser tuberosity on transverse and parasagittal images, (2) presence of fatty infiltration in the subscapularis muscle, and (3) abnormalities along the biceps course. Similarly, Furukawa et al reported on the diagnostic accuracy of radial, transverse, and oblique sagittal MRI for subscapularis tears. Radial-slice MRI images had a 95% sensitivity and 82% specificity, transverse images had a 58% sensitivity and 100% specificity, and oblique sagittal images had a 61% sensitivity and 100% specificity.25

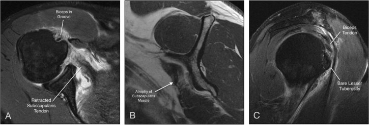
Adams et al also described a systematic approach of diagnosing subscapularis tears on preoperative MRI. Their 4-step eval‎uation consists of (1) the presence or absence of a subscapularis tear on axial cuts, (2) subluxation of the long head of the biceps tendon on axial cuts, (3) subscapularis atrophy on sagittal images, and (4) subscapularis tear off of the lesser tuberosity on sagittal images (Fig. 2). Subscapularis pathologic change on 2 of 4 images was considered to indicate subscapularis tearing. With this approach, they reported 73% sensitivity and 94% specificity for correct diagnosis of a subscapularis tear.1 There was an increase in diagnosis with larger tears that involved >50% of the tendon in the cephalad-caudal direction, which is in agreement with previously reported studies.3

Figure 2.

Open in a new tab

Applying the 4-step magnetic resonance imaging eval‎uation by Adams et al.1 (A) Axial image showing the biceps tendon in the groove with an obvious retracted tear of the subscapularis tendon. (B) Sagittal image showing grade 2 fatty infiltration of the subscapularis muscle. (C) Sagittal image showing a bare lesser tuberosity.

In addition to diagnosing a subscapularis tear on MRI, understanding the quality of tissue to be fixed is also extremely important. The Goutallier classification is used to measure fatty infiltration of the rotator cuff muscles on CT scans. Stage 0 corresponds to normal muscle; stage 1, some fatty streaks; stage 2, less fat than muscle; stage 3, equivalent fat and muscle; and stage 4, more fat than muscle.2429 MRI has also been used to stage fatty infiltration.24 Literature has shown correlation between the degree of fatty infiltration, severity and chronicity of rotator cuff tear, and outcomes of rotator cuff repair, with increased fatty infiltration associated with a more severe tear, a more chronic tear, and worse outcomes after repair.2845

Two additional studies have specifically analyzed the diagnostic value of biceps disease and perceived tendon length respectively. Meyer et al analyzed the relationship between tendon length and subscapularis tears, introducing the concept of tear in continuity.46 As the deeper fibers of the subscapularis are detached from the lesser tuberosity, retraction of the muscle unit will translate into a longer tendon on axial MRI cuts. In their study, the likelihood ratio of a partial subscapularis tear was 16 when the tendon measured 60 mm.

Shi et al challenged the concept of systematic involvement of the biceps tendon in subscapularis tears.57 In their study, biceps subluxation had a negative predictive value >90%, indicating that if the biceps is in the groove, chances are the subscapularis tendon is intact. However, the positive predictive value was only 35%, indicating that even if the biceps tendon is subluxed, the subscapularis may still be intact.67

 

Confirm‎ing subscapularis tears at the time of diagnostic arthroscopy

Because subscapularis tears commonly start on the articular side, direct visualization of the subscapularis tendon during arthroscopic surgery has the potential to provide better visualization of these lesions than open surgery.63 However, the existence of partial tears and tears in continuity, paired with the fact that the lesser tuberosity is difficult to fully visualize using a 30° arthroscope from the standard posterior portal, can make an accurate diagnosis challenging.

Specific intra-articular findings have been described to prompt the surgeon to eval‎uate the subscapularis tendon carefully. The most obvious is complete medial dislocation of the tendon of the long head of the biceps (Fig. 3). Partial tearing of the medial biceps as it exits the joint has been termed “sentinel sign” by Lafosse and colleagues, indicating a high-likelihood of partial-thickness subscapularis tearing.56 Medial retraction and adoption of a comma sign by the interval ligaments has also been described as an indicator of subscapularis tearing.40

Figure 3.

Open in a new tab

Medial dislocation of the long head of the biceps tendon.

A number of pearls may be considered at the time of arthroscopy to avoid missing tearing of the subscapularis. First, if the remaining cuff is intact and a subscapularis tear is suspected, removing the capsular tissue at the interval region may allow better visualization of the subscapularis tendon. Use of tissue graspers or traction sutures may unmask a partial tear in continuity as the normal upper rolled border of the subscapularis is visualized to be medially retracted.

With the camera in the posterior portal, visualization of the subscapularis tendon and its insertion into the lesser tuberosity is improved by placing the shoulder in flexion and internal rotation, translating the proximal humerus posteriorly (“posterior lever push”), or using a 70° arthroscope (Fig. 4).16 The standard 30° camera has previously been reported to show as little as 26% of the subscapularis when no humerus manipulation is used, but the posterior lever push can improve visualization.4765 Alternatively, visualization can be obtained by inserting the camera anteriorly.9 When associated disease of the labrum or biceps merits intervention, biceps tenotomy with or without tenodesis may facilitate visualization as well. Some authors state that detaching the biceps decreases tension on the subscapularis tendon and ensures that a dislocating or unstable biceps will not compromise subscapularis fixation.9

Figure 4.

Open in a new tab

Manipulation methods for better arthroscopic subscapularis visualization. (A) Flexion and internal rotation of affected extremity. (B) “Posterior lever push,” whereby a posteriorly directed force is placed on the proximal humerus.

Tear classification

There are several classifications for subscapularis tendon tears. Pfirrmann et al used MRI to differentiate tears on the basis of their location in the subscapularis tendon.54 Grade 0 is a normal subscapularis tendon. Grade 1 is a lesion involving less than the upper quartile of the subscapularis tendon in a craniocaudal direction. Grade 2 is a lesion >25% of the craniocaudal diameter but no complete tendon detachment. Grade 3 is complete tendon detachment. Interobserver agreement using this grading scheme is substantial.

We find the Lafosse classification particularly useful to establish a treatment strategy (Fig. 5). A type I lesion is defined as a partial lesion of the superior third of the subscapularis tendon without complete detachment (undersurface tear of the upper third). Type II is a complete detachment of the superior third of the tendon. Type III is a complete tear of the superior two-thirds of the tendon without muscle detachment of the inferior third, thus limiting retraction of the tendon. Type IV is a complete tear off the lesser tuberosity with the tendon retracted closer to the glenoid but with the head centered and stage ≤3 fatty atrophy in the subscapularis muscle. Type V is a complete tear of the subscapularis tendon with eccentric positioning of the head or fatty degeneration stage >3 atrophy.36

Figure 5.

Open in a new tab

Lafosse classification of subscapularis tears and treatment algorithm.

Yoo and Rhee and colleagues introduced a classification system based on the facets of the lesser tuberosity.66 Type I is defined as fraying or a longitudinal split of the leading edge of the tendon. Type IIA is <50% subscapularis tendon detachment in the first facet. Type IIB is a >50% detachment in the first facet without complete disruption of the lateral band. Type III represents a subscapularis tear off the entire first facet with complete disruption of the lateral band. Type IV represents a tear involving the first 2 facets with medial retraction of the tendon, correlating to Lafosse type III as a tear of the upper two-thirds of the subscapularis tendon. Type V is defined as a complete subscapularis tendon tear.

 

TreatmentOverview

The general principles of rotator cuff tear management apply to subscapularis tears. Patients with partial or incomplete tears may improve with nonoperative treatment. On the contrary, acute traumatic tears are best treated with early surgical repair. The quality of the tendon, length of remaining tendon, atrophy, fatty infiltration, and retraction should be considered as well in the decision-making process.

Repair of the subscapularis tendon may be performed with open or arthroscopic techniques. Arthroscopic repair of the subscapularis tendon is our procedure of choice.910 Open repair of the subscapularis provides a better opportunity for tendon augmentation with autograft, allograft, or commercially available patches. For the irreparable Lafosse type V tear, salvage options include reconstruction of the anterior capsule, tendon transfers, and RSA.

 

Arthroscopic repair

Mobilization and access to the subscapularis tendon are of paramount importance as this allows classification of tear morphology and anatomic reduction of the tendon back to the lesser tuberosity. Studies have shown, however, that medialization of the footprint by as much as 7 mm can be done without compromising muscle function.15 For mobilization and visualization, the rotator cuff interval may be surgically opened. Adhesions in the subcoracoid region anteriorly are resected to create adequate space between the coracoid bone and subscapularis tendon, performing a coracoidplasty if needed.9 Additional caution must be exercised in this region because of its proximity to the brachial plexus and axillary vasculature. Because the musculocutaneous nerve, the lateral cord of the brachial plexus, the axillary nerve, and the axillary artery are all >25 mm from the coracoid, staying adjacent and lateral to the coracoid during adhesion release can prevent neurovascular injury.41

A tendon grasper or a traction suture is used to put lateral traction on the tendon when it is retracted medially (Fig. 6). Adhesions between the undersurface of the subscapularis and anterior neck to the glenoid are released to mobilize a retracted tendon. Sometimes there is an arc of tissue composed of the medial sling of the biceps sheath, the avulsed coracohumeral ligament, and the superior glenohumeral ligament that retracts with the subscapularis tendon, known as the “comma” tissue.40 This comma tissue is usually attached to the superolateral corner of the subscapularis tendon and serves as an anatomic marker for the leading edge of the tear.

Figure 6.

Open in a new tab

Intraoperative images of a subscapularis tear. (A) Traction on the subscapularis reveals the poor-quality tendon associated with a tear. (B) Tear in continuity seen in subscapularis tendon. (C) Intraoperative fixation of tendon with retrograde passing of sutures for horizontal mattress suture fixation. (D) Final picture of re-established rolled border.

After mobilization of the tendon, our preference is to complete the repair to bone in a caudal-cranial direction. For optimal tendon-bone healing, the lesser tuberosity footprint is débrided but not fully decorticated. Lafosse type I and II tears can usually be repaired using 1 anchor loaded with multiple sutures (Fig. 7). Sutures are placed in a simple or mattress fashion to fix tendon to bone. The standard posterior glenohumeral portal provides adequate visualization of the footprint at this level.

Figure 7.

Open in a new tab

Arthroscopic fixation of type I and type II tears. (A) Type I tear. (B) Fixation of type I tear. (C) Type II tear. (D) Fixation of type II tear.

Lafosse type III and IV tears require more tendon mobilization and are best visualized subacromially through an anterolateral portal (Fig. 8). Two or 3 anchors and double-row techniques are preferred to re-create the footprint of the tendon. Given the thickness and location of the torn tendon, retrograde suture passing is typically best. One anchor is usually used for every square centimeter of exposed tendon.2 The comma tissue may be preserved or divided, depending on the tear configuration and the surgeon's preference.

Figure 8.

Open in a new tab

Arthroscopic fixation of type III and type IV tears. (A-C) Type III tear. Note the disruption of the superior tendinous portion in (A) and continuity of the muscle portion in (B). (C) Fixation of type III tear. (D-F) Type IV tear. (D) Before mobilization of tendon. (E) After mobilization of tendon; note how far back the tendon is retracted. (F) Suture fixation of the tendon with multiple anchors.

Open repair with or without augmentation

Truly isolated subscapularis tears and tears involving only the subscapularis and anterior supraspinatus tendons are best exposed through a deltopectoral approach. Large posterosuperior cuff tears that also extend into the subscapularis are better exposed through a superior deltoid-splitting approach.

Once the tear is exposed, traction sutures may be used to aid in tendon mobilization and release of bursal and articular adhesions. The lesser tuberosity is prepared to expose bleeding bone. Transosseous sutures passed at the margin of the articular cartilage and exiting at the bicipital groove will provide strong bone fixation and compress the tendon to the footprint. Anchors may be used as well, but they increase the cost of the procedure substantially.

If the subscapularis is markedly retracted or the quality of the tendon is compromised, consideration can be given to augmenting the repair. Our preference has been use of an Achilles tendon allograft, with the narrow portion of the allograft fixed on the lesser tuberosity and the wide aponeurosis draped and repaired to the subscapularis muscle belly.

Salvage procedures

For irreparable subscapularis tears, the presence of glenohumeral arthritis and the patient's activity level dictate treatment. For younger, active patients without arthritis, soft tissue reconstruction, allograft augmentation, or tendon transfers are viable options. Anterior capsule reconstruction with or without allograft augmentation has been reported in an effort to re-create the tenodesing effect of the subscapularis tendon and to balance the transverse force couple across the glenohumeral joint. Pectoralis major, pectoralis minor, and latissimus dorsi tendon transfers are additional methods of restoring shoulder mechanics with native rather than with cadaveric tissue. Preliminary data seem to indicate that anterior transfer of the latissimus dorsi is feasible, and it might end up becoming the tendon transfer of choice for irreparable subscapularis tears.20 For patients with glenohumeral arthritis and an irreparable subscapularis tear, RSA represents the best salvage option.

Outcomes

Good outcomes have been reported with both open and arthroscopic subscapularis tendon repairs in terms of pain relief and Constant, Simple Shoulder Test, American Shoulder and Elbow Surgeons (ASES), and University of California–Los Angeles (UCLA) scores.184252

Subscapularis repair in the setting of other associated cuff tears

Burkhart et al reported on 25 shoulders treated with rotator cuff repair involving the subscapularis tendon; 8 of these were isolated subscapularis tendon tears, and 56% of shoulders also had biceps disease. After 11 months of follow-up, 92% had good to excellent results. This study also correlated the severity of the preoperative belly-press test result with the degree of subscapularis tear.10

Adams et al expanded on this study, reporting midterm results of 40 shoulders with rotator cuff tears involving the subscapularis tendon; 7 of these were isolated subscapularis tears, and 63% of shoulders had biceps disease. At 5 years, 88% of the patients were satisfied with their shoulder, with improved ASES and UCLA shoulder scores as well as range of motion (ROM). They confirmed, again, that the belly-press test result correlated with the extent of subscapularis tearing.2

Denard et al reported long-term results of 79 rotator cuff repairs, including 11 isolated subscapularis tears.17 Although results were not separated for isolated vs. combined subscapularis tears, the overall results showed improved UCLA, ASES, and visual analog scale pain scores along with increased forward flexion at 9 years of follow-up.

Lanz et al reported on 46 patients with rotator cuff tears involving a Lafosse type III or IV subscapularis tendon lesion; 6 were isolated subscapularis tendon tears. Three years after arthroscopic repair, patients had improved Constant and UCLA scores and satisfactory recovery of internal rotation strength, and 41 of 46 had intact tendons on MRI.38

Isolated subscapularis tears

Bennett reported on 8 isolated subscapularis tears repaired arthroscopically. All shoulders experienced improvement of ASES, Constant, and visual analog scale scores. No lift-off or belly-press tests were reported.8

Lafosse et al reported on arthroscopic repair of 17 isolated subscapularis tendons with a mean follow-up time of 29 months. Surgery led to improvements in the lift-off test, belly-press test, pain, strength, ROM, Constant score, and UCLA score. Of the 17 patients, 16 were very satisfied or satisfied with their results.36

Bartl et al reported on 21 isolated tears of the subscapularis with 27 months of follow-up. All patients had improved Constant scores, although strength measured by the belly-press and the lift-off tests was decreased. Those shoulders with a positive result of the belly-press test after surgery also had lower Constant scores. MRI performed at most recent follow-up showed an intact repair in 20 of 21 shoulders. However, atrophy of the subscapularis muscle was present in 25% of patients at most recent follow-up.7

Grueninger et al specifically reported on isolated Lafosse type III and IV subscapularis tears. Eleven patients underwent arthroscopic repair with improvement in strength postoperatively. Postoperative MRI showed tendon healing in all tendons with no change in fatty infiltration.30

Nové-Josserand et al reported on 47 shoulders with isolated subscapularis tears at 3.5 years after surgery; 25 of these underwent arthroscopic repair and 22 underwent open repair. In all cases, Constant score improved postoperatively. Postoperatively, the belly-press test result was normal more frequently in complete tears than in incomplete tears. Not surprisingly, incomplete tears were associated with minor retraction and complete tears with major retraction. Postoperative imaging revealed a 12.5% retear rate, with half of the tendons increasing fatty infiltration by 1 grade and 10% increasing by 2 grades. Neither preoperative tear size nor tendon retraction could be used in isolation for objective prognosis of repairs of isolated subscapularis tears. Subjective outcomes and strength were better after open repair.5152

Heikenfeld et al eval‎uated 19 isolated subscapularis tendon repairs with 24 months of follow-up. There were 2 retears on clinical examination and MRI but overall improved UCLA and Constant scores.32

Allograft augmentation and anterior capsular reconstruction

Alcid et al reported on 15 anterior capsular reconstructions using hamstring or tibialis allograft anchored to the humerus and anterior glenoid rim.4 Overall, pain and ASES scores improved, and reoperations were attributed to glenohumeral arthritis rather than to graft failure. Several other case reports describe resolution of glenohumeral instability but decreased ROM.33

Tendon transfer

Options for tendon transfer for irreparable subscapularis tendon tear include the pectoralis major, pectoralis minor, and latissimus dorsi tendons.20

Pectoralis major tendon transfer in the setting of irreparable subscapularis tendon tears revealed improved Constant scores and pain relief. Subcoracoid pectoralis transfer fared better than supracoracoid transfers, with no difference in the rates of musculocutaneous nerve injuries. Tendon transfers for shoulders with anterosuperior instability did poorly, whereas those without preoperative instability did better in terms of Constant scores, ROM, and strength.4850 Long-term outcomes after pectoralis major transfer show significant clinical improvement with pain relief and strength with a low-rate of progression to salvage using RSA.48

Paladini et al reported on pectoralis minor tendon transfers in 27 patients with anterosuperior rotator cuff tears involving an upper two-thirds irreparable subscapularis tendon tear, grade III fatty infiltration, and irreparable supraspinatus tear. All shoulders experienced improved Constant scores, ROM, and Simple Shoulder Test scores postoperatively, although strength testing did not reveal consistent improvements, likely indicating a tenodesis effect.53

Reverse total shoulder arthroplasty

The outcome of RSA for massive irreparable rotator cuff tears is well reported, but no study has specifically reported on RSA in the setting of isolated irreparable subscapularis tears. The constrained nature of RSA restores stable biomechanics for patients with static anterior subluxation. As such, the value of subscapularis function after RSA is debatable. Studies have found a higher dislocation rate with varying statistical significance but increased postoperative abduction and passive external rotation in RSA without subscapularis repair.1923 No differences in scapular notching were appreciated between those with and those without subscapularis repair. These differences in stability are likely dependent on the center of rotation, lateralization, and other implant-related features. These studies were also done on patients undergoing RSA for a variety of reasons, and their overall shoulder mechanics may differ from someone with a chronic subscapularis tear.

Summary

Tears of the subscapularis tendon are no longer forgotten or hidden lesions. Increased diagnostic awareness during history taking and physical examination are the first steps to diagnosis of subscapularis tendon tears. A systematic approach to advanced shoulder imaging improves diagnostic capacity. Once identified, most subscapularis tendon tears can be successfully fixed arthroscopically.

Lafosse type I and type II tears may be fixed with 1 or 2 anchors, most commonly while visualizing intra-articularly from the standard posterior portal; larger Lafosse type III and type IV tears are typically best addressed visualizing from an anterior subacromial portal and require placement of multiple anchors. Tendon mobilization for larger tears is of paramount importance. For Lafosse type V tendon tears, transfer of the pectoralis major has provided mixed results, RSA is commonly considered, and alternative tendon transfers are being developed.

Disclaimer

The authors, their immediate families, and any research foundations with which they are affiliated have not received any financial payments or other benefits from any commercial entity related to the subject of this article.

References

  • 1.Adams C.R., Brady P.C., Koo S.S., Narbona P., Arrigoni P., Karnes G.J. A systematic approach for diagnosing subscapularis tendon tears with preoperative magnetic resonance imaging scans. Arthroscopy. 2012;28:1592–1600. doi: 10.1016/j.arthro.2012.04.142. [DOI] [PubMed] [Google Scholar]
  • 2.Adams C.R., Schoolfield J.D., Burkhart S.S. The results of arthroscopic subscapularis tendon repairs. Arthroscopy. 2008;24:1381–1389. doi: 10.1016/j.arthro.2008.08.004. [DOI] [PubMed] [Google Scholar]
  • 3.Adams C.R., Schoolfield J.D., Burkhart S.S. Accuracy of preoperative magnetic resonance imaging in predicting a subscapularis tendon tear based on arthroscopy. Arthroscopy. 2010;26:1427–1433. doi: 10.1016/j.arthro.2010.02.028. [DOI] [PubMed] [Google Scholar]
  • 4.Alcid J.G., Powell S.E., Tibone J.E. Revision anterior capsular shoulder stabilization using hamstring tendon autograft and tibialis tendon allograft reinforcement: minimum two-year follow-up. J Shoulder Elbow Surg. 2007;16:268–272. doi: 10.1016/j.jse.2006.07.008. [DOI] [PubMed] [Google Scholar]
다음검색
현재 게시글 추가 기능 열기

댓글

댓글 리스트
맨위로

카페 검색

카페 검색어 입력폼